JavaScript is disabled in your browser. Please enable JavaScript to view this website.
AB302954

Anti-CITED1 antibody [EPR24375-81]

  • BOND RX™ Validated
  • 20ul selling size
  • RabMAb
  • Recombinant
  • What is this?

Be the first to review this product! Submit a review

|

(0 Publication)

Rabbit Recombinant Monoclonal CITED1 antibody. Suitable for WB, IHC-P, ICC/IF, Flow Cyt (Intra) and reacts with Human, Mouse, Rat samples.

View Alternative Names

MSG1, CITED1, Cbp/p300-interacting transactivator 1, Melanocyte-specific protein 1

14 Images
Flow Cytometry (Intracellular) - Anti-CITED1 antibody [EPR24375-81] (AB302954)
  • Flow Cyt (Intra)

Supplier Data

Flow Cytometry (Intracellular) - Anti-CITED1 antibody [EPR24375-81] (AB302954)

Flow cytometric analysis of 4% paraformaldehyde fixed 90% methanol permeabilized SK-MEL-2(human skin malignant melanoma cell) cells labelling CITED1 with ab302954 at 1/50 dilution (1ug) (Red) compared with a Rabbit monoclonal IgG (ab172730) (Black) isotype control and an unlabelled control (cells without incubation with primary antibody and secondary antibody) (Blue). A Goat Anti-Rabbit IgG (Alexa Fluor® 488, ab150081) at 1/2000 dilution was used as the secondary antibody.

Immunohistochemistry (Formalin/PFA-fixed paraffin-embedded sections) - Anti-CITED1 antibody [EPR24375-81] (AB302954)
  • IHC-P

Supplier Data

Immunohistochemistry (Formalin/PFA-fixed paraffin-embedded sections) - Anti-CITED1 antibody [EPR24375-81] (AB302954)

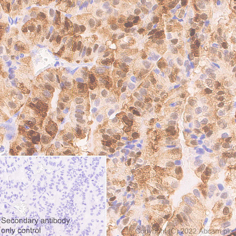
Immunohistochemical analysis of paraffin-embedded Human testis tissue labeling CITED1 with ab302954 at 1/500 (1.022 µg/ml) followed by a LeicaDS9800 (Bond™ Polymer Refine Detection) was used at Ready to use dilution. Positive staining on human testis. The section was incubated with ab302954 for 30 mins at room temperature. The immunostaining was performed on a Leica Biosystems BOND® RX instrument Counterstained with Hematoxylin. Secondary antibody only control : Secondary antibody is LeicaDS9800 (Bond™ Polymer Refine Detection) was used at Ready to use dilution. Heat mediated antigen retrieval was performed with Tris-EDTA buffer (pH 9.0, Epitope Retrieval Solution2) for 20 mins

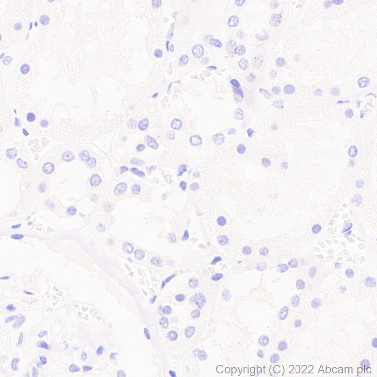
Immunohistochemistry (Formalin/PFA-fixed paraffin-embedded sections) - Anti-CITED1 antibody [EPR24375-81] (AB302954)
  • IHC-P

Supplier Data

Immunohistochemistry (Formalin/PFA-fixed paraffin-embedded sections) - Anti-CITED1 antibody [EPR24375-81] (AB302954)

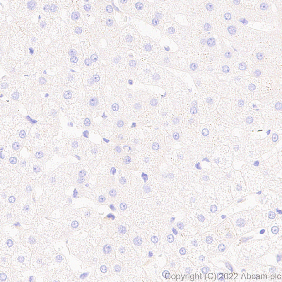
Immunohistochemical analysis of paraffin-embedded Human kidney tissue labeling CITED1 with ab302954 at 1/500 (1.022 µg/ml) followed by a LeicaDS9800 (Bond™ Polymer Refine Detection) was used at Ready to use dilution. Negative control : No staining on human kidney. The section was incubated with ab302954 for 30 mins at room temperature. The immunostaining was performed on a Leica Biosystems BOND® RX instrument Counterstained with Hematoxylin. Secondary antibody only control : Secondary antibody is LeicaDS9800 (Bond™ Polymer Refine Detection) was used at Ready to use dilution. Heat mediated antigen retrieval was performed with Tris-EDTA buffer (pH 9.0, Epitope Retrieval Solution2) for 20 mins

Immunocytochemistry/ Immunofluorescence - Anti-CITED1 antibody [EPR24375-81] (AB302954)
  • ICC/IF

Supplier Data

Immunocytochemistry/ Immunofluorescence - Anti-CITED1 antibody [EPR24375-81] (AB302954)

Immunofluorescent analysis of 4% Paraformaldehyde-fixed, 0.1% TritonX-100 permeabilized SK-MEL-2(human skin malignant melanoma cell) cells labelling CITED1 with ab302954 at 1/50 dilution, followed by ab150081 Goat Anti-Rabbit IgG H&L (Alexa Fluor® 488) preadsorbed antibody at 1/1000 dilution (Green). Confocal image showing nuclear and cytoplasmic staining in SK-MEL-2 cell line. Image was taken with a confocal microscope (Leica-Microsystems, TCS SP8). ab195889 Anti-alpha Tubulin mouse monoclonal antibody - Microtubule Marker (Alexa Fluor® 594) was used to counterstain tubulin at 1/200 dilution (Red). The Nuclear counterstain was DAPI (Blue). Secondary antibody only control : Secondary antibody is ab150081 Goat Anti-Rabbit IgG H&L (Alexa Fluor® 488) preadsorbed at 1/1000 dilution.

Immunocytochemistry/ Immunofluorescence - Anti-CITED1 antibody [EPR24375-81] (AB302954)
  • ICC/IF

Supplier Data

Immunocytochemistry/ Immunofluorescence - Anti-CITED1 antibody [EPR24375-81] (AB302954)

Immunofluorescent analysis of 4% Paraformaldehyde-fixed, 0.1% TritonX-100 permeabilized SK-MEL-28(human malignant melanoma cell) cells labelling CITED1 with ab302954 at 1/50 dilution, followed by ab150081 Goat Anti-Rabbit IgG H&L (Alexa Fluor® 488) preadsorbed antibody at 1/1000 dilution (Green). Confocal image showing nuclear and cytoplasmic staining in SK-MEL-28 cell line. Low expression control : A431. Image was taken with a confocal microscope (Leica-Microsystems, TCS SP8). ab195889 Anti-alpha Tubulin mouse monoclonal antibody - Microtubule Marker (Alexa Fluor® 594) was used to counterstain tubulin at 1/200 dilution (Red). The Nuclear counterstain was DAPI (Blue). Secondary antibody only control : Secondary antibody is ab150081 Goat Anti-Rabbit IgG H&L (Alexa Fluor® 488) preadsorbed at 1/1000 dilution.

Flow Cytometry (Intracellular) - Anti-CITED1 antibody [EPR24375-81] (AB302954)
  • Flow Cyt (Intra)

Supplier Data

Flow Cytometry (Intracellular) - Anti-CITED1 antibody [EPR24375-81] (AB302954)

Flow cytometric analysis of 4% paraformaldehyde fixed 90% methanol permeabilized SK-MEL-28(human malignant melanoma cell) cells labelling CITED1 with ab302954 at 1/50 dilution (1ug) (Red) compared with a Rabbit monoclonal IgG (ab172730) (Black) isotype control and an unlabelled control (cells without incubation with primary antibody and secondary antibody) (Blue). A Goat Anti-Rabbit IgG (Alexa Fluor® 488, ab150081) at 1/2000 dilution was used as the secondary antibody.

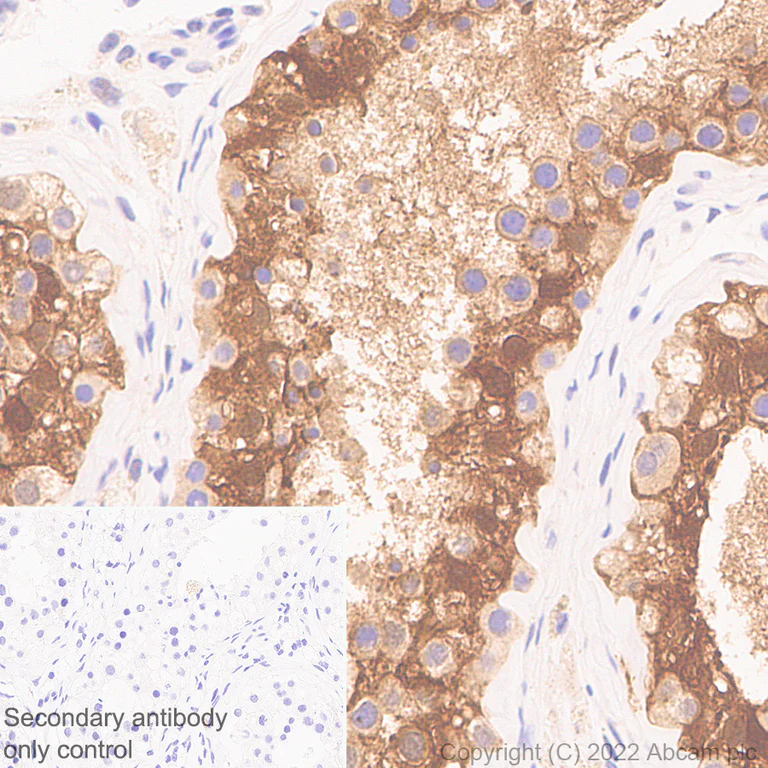
Immunohistochemistry (Formalin/PFA-fixed paraffin-embedded sections) - Anti-CITED1 antibody [EPR24375-81] (AB302954)
  • IHC-P

Supplier Data

Immunohistochemistry (Formalin/PFA-fixed paraffin-embedded sections) - Anti-CITED1 antibody [EPR24375-81] (AB302954)

Immunohistochemical analysis of paraffin-embedded Human thyroid cancer tissue labeling CITED1 with ab302954 at 1/500 (1.022 µg/ml) followed by a LeicaDS9800 (Bond™ Polymer Refine Detection) was used at Ready to use dilution. Positive staining on human thyroid cancer (PMID : 15272279).The section was incubated with ab302954 for 30 mins at room temperature. The immunostaining was performed on a Leica Biosystems BOND® RX instrument Counterstained with Hematoxylin. Secondary antibody only control : Secondary antibody is LeicaDS9800 (Bond™ Polymer Refine Detection) was used at Ready to use dilution. Heat mediated antigen retrieval was performed with Tris-EDTA buffer (pH 9.0, Epitope Retrieval Solution2) for 20 mins

Immunohistochemistry (Formalin/PFA-fixed paraffin-embedded sections) - Anti-CITED1 antibody [EPR24375-81] (AB302954)
  • IHC-P

Supplier Data

Immunohistochemistry (Formalin/PFA-fixed paraffin-embedded sections) - Anti-CITED1 antibody [EPR24375-81] (AB302954)

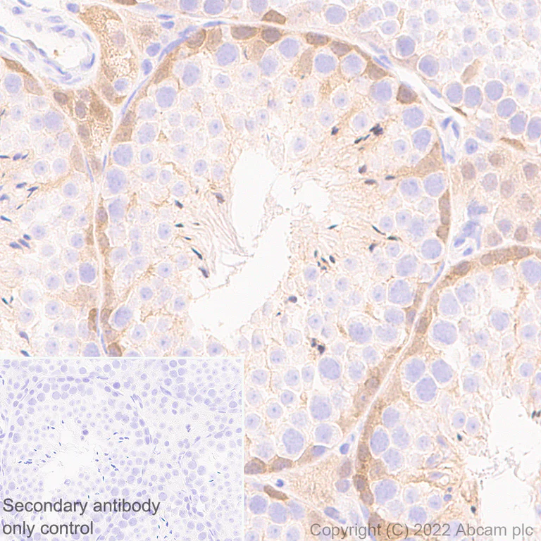
Immunohistochemical analysis of paraffin-embedded Mouse testis tissue labeling CITED1 with ab302954 at 1/500 (1.022 µg/ml) followed by a LeicaDS9800 (Bond™ Polymer Refine Detection) was used at Ready to use dilution. Positive staining on mouse testis. The section was incubated with ab302954 for 30 mins at room temperature. The immunostaining was performed on a Leica Biosystems BOND® RX instrument Counterstained with Hematoxylin. Secondary antibody only control : Secondary antibody is LeicaDS9800 (Bond™ Polymer Refine Detection) was used at Ready to use dilution. Heat mediated antigen retrieval was performed with Tris-EDTA buffer (pH 9.0, Epitope Retrieval Solution2) for 20 mins

Immunohistochemistry (Formalin/PFA-fixed paraffin-embedded sections) - Anti-CITED1 antibody [EPR24375-81] (AB302954)
  • IHC-P

Supplier Data

Immunohistochemistry (Formalin/PFA-fixed paraffin-embedded sections) - Anti-CITED1 antibody [EPR24375-81] (AB302954)

Immunohistochemical analysis of paraffin-embedded Rat testis tissue labeling CITED1 with ab302954 at 1/500 (1.022 µg/ml) followed by a LeicaDS9800 (Bond™ Polymer Refine Detection) was used at Ready to use dilution. Positive staining on rat testis.The section was incubated with ab302954 for 30 mins at room temperature. The immunostaining was performed on a Leica Biosystems BOND® RX instrument Counterstained with Hematoxylin. Secondary antibody only control : Secondary antibody is LeicaDS9800 (Bond™ Polymer Refine Detection) was used at Ready to use dilution. Heat mediated antigen retrieval was performed with Tris-EDTA buffer (pH 9.0, Epitope Retrieval Solution2) for 20 mins

Flow Cytometry (Intracellular) - Anti-CITED1 antibody [EPR24375-81] (AB302954)
  • Flow Cyt (Intra)

Supplier Data

Flow Cytometry (Intracellular) - Anti-CITED1 antibody [EPR24375-81] (AB302954)

Flow cytometric analysis of 4% paraformaldehyde fixed 90% methanol permeabilized B16-F10 (mouse skin melanoma cell) cells labelling CITED1 with ab302954 at 1/50 dilution (1ug) (Red) compared with a Rabbit monoclonal IgG (ab172730) (Black) isotype control and an unlabelled control (cells without incubation with primary antibody and secondary antibody) (Blue). A Goat Anti-Rabbit IgG (Alexa Fluor® 488, ab150081) at 1/2000 dilution was used as the secondary antibody.

Immunocytochemistry/ Immunofluorescence - Anti-CITED1 antibody [EPR24375-81] (AB302954)
  • ICC/IF

Supplier Data

Immunocytochemistry/ Immunofluorescence - Anti-CITED1 antibody [EPR24375-81] (AB302954)

Immunofluorescent analysis of 4% Paraformaldehyde-fixed, 0.1% TritonX-100 permeabilized B16-F10 (mouse skin melanoma cell) cells labelling CITED1 with ab302954 at 1/50 dilution, followed by ab150081 Goat Anti-Rabbit IgG H&L (Alexa Fluor® 488) preadsorbed antibody at 1/1000 dilution (Green). Confocal image showing nuclear and cytoplasmic staining in B16-F10 cell line. Low expression control : MEF (PMID : 24319640) Image was taken with a confocal microscope (Leica-Microsystems, TCS SP8) ab195889 Anti-alpha Tubulin mouse monoclonal antibody - Microtubule Marker (Alexa Fluor® 594) was used to counterstain tubulin at 1/200 dilution (Red). The Nuclear counterstain was DAPI (Blue). Secondary antibody only control : Secondary antibody is ab150081 Goat Anti-Rabbit IgG H&L (Alexa Fluor® 488) preadsorbed at 1/1000 dilution.

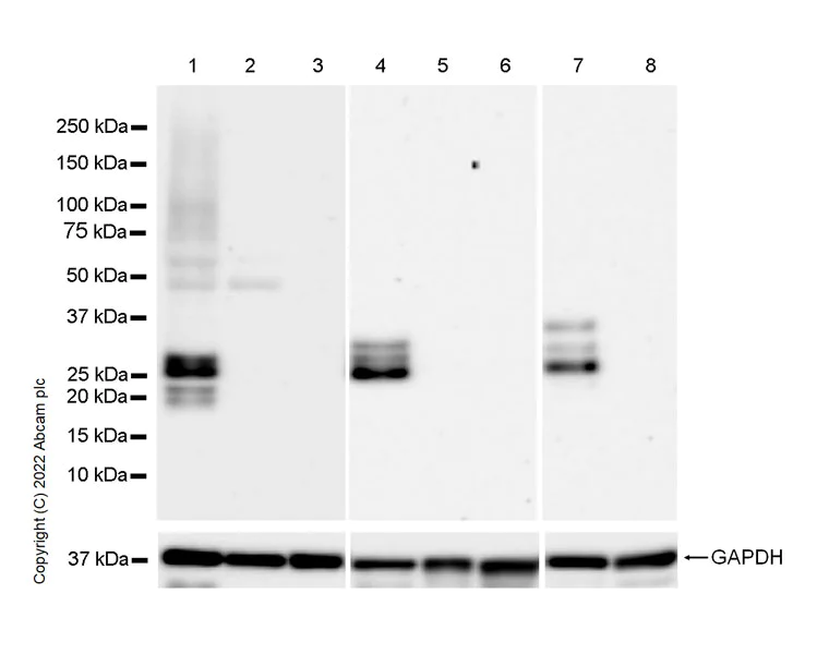
Western blot - Anti-CITED1 antibody [EPR24375-81] (AB302954)
  • WB

Supplier Data

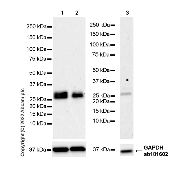
Western blot - Anti-CITED1 antibody [EPR24375-81] (AB302954)

Blocking and diluting buffer and concentration : 5% NFDM/TBST

Negative control : Lung, kidney (PMID : 8901575).

The molecular weight observed is consistent with what has been described in the literature (PMID : 16864582).

This blot was developed using a high sensitivity ECL substrate. The high-sensitivity ECL substrate used allows for the detection of proteins in the mid-femtogram range.

Exposure time :

Lane 1, 2 : 59 seconds

Lane 3-8 : 103 seconds

All lanes:

Western blot - Anti-CITED1 antibody [EPR24375-81] (ab302954) at 1/1000 dilution

Lane 1:

Human testis tissue lysate at 20 µg

Lane 2:

Human lung tissue lysate at 20 µg

Lane 3:

Human kidney tissue lysate at 20 µg

Lane 4:

Mouse testis tissue lysate at 20 µg

Lane 5:

Mouse lung tissue lysate at 20 µg

Lane 6:

Mouse kidney tissue lysate at 20 µg

Lane 7:

Rat testis tissue lysate at 20 µg

Lane 8:

Rat lung tissue lysate at 20 µg

Secondary

All lanes:

Western blot - Goat Anti-Rabbit IgG H&L (HRP) (<a href='/en-us/products/secondary-antibodies/goat-rabbit-igg-h-l-hrp-ab97051'>ab97051</a>) at 1/100000 dilution

Observed band size: 30 kDa

true

Western blot - Anti-CITED1 antibody [EPR24375-81] (AB302954)
  • WB

Supplier Data

Western blot - Anti-CITED1 antibody [EPR24375-81] (AB302954)

Blocking and diluting buffer and concentration : 5% NFDM/TBST Low expression : A431 Lysates were freshly made and used for Western blotting immediately to minimize protein degradation. Lane 3 was developed using a high sensitivity ECL substrate. Exposure time : 180 seconds

All lanes:

Western blot - Anti-CITED1 antibody [EPR24375-81] (ab302954) at 1/1000 dilution

Lane 1:

SK-MEL-2 (human skin malignant melanoma cell) whole cell lysate at 20 µg

Lane 2:

SK-MEL-28 (human malignant melanoma cell) whole cell lysate at 20 µg

Lane 3:

A431 (human epidermoid carcinoma epithelial cell) whole cell lysate at 20 µg

Secondary

All lanes:

Western blot - Goat Anti-Rabbit IgG H&L (HRP) (<a href='/en-us/products/secondary-antibodies/goat-rabbit-igg-h-l-hrp-ab97051'>ab97051</a>) at 1/100000 dilution

Observed band size: 30 kDa

false

Exposure time: 180s

Western blot - Anti-CITED1 antibody [EPR24375-81] (AB302954)
  • WB

Supplier Data

Western blot - Anti-CITED1 antibody [EPR24375-81] (AB302954)

Blocking and diluting buffer and concentration : 5% NFDM/TBST

Low expression : MEF (PMID : 22958931).

This blot was developed using a high sensitivity ECL substrate. The high-sensitivity ECL substrate used allows for the detection of proteins in the mid-femtogram range.

All lanes:

Western blot - Anti-CITED1 antibody [EPR24375-81] (ab302954) at 1/1000 dilution

Lane 1:

B16-F10 (mouse skin melanoma cell), whole cell lysate at 20 µg

Lane 2:

MEF (mouse embryo fibroblast), whole cell lysate at 20 µg

Secondary

All lanes:

Western blot - Goat Anti-Rabbit IgG H&L (HRP) (<a href='/en-us/products/secondary-antibodies/goat-rabbit-igg-h-l-hrp-ab97051'>ab97051</a>) at 1/100000 dilution

Observed band size: 30 kDa

true

Exposure time: 3min

  • Carrier free

    Anti-CITED1 antibody [EPR24375-81] - BSA and Azide free

Key facts

Host species

Rabbit

Clonality

Monoclonal

Clone number

EPR24375-81

Isotype

IgG

Carrier free

No

Reacts with

Human, Mouse, Rat

Applications

ICC/IF, IHC-P, WB, Flow Cyt (Intra)

applications

Immunogen

The exact immunogen used to generate this antibody is proprietary information.

Reactivity data

{ "title": "Reactivity Data", "filters": { "stats": ["", "Species", "Dilution Info", "Notes"], "tabs": { "all-applications": {"fullname" : "All Applications", "shortname": "All Applications"}, "WB" : {"fullname" : "Western blot", "shortname":"WB"}, "IHCP" : {"fullname" : "Immunohistochemistry (Formalin/PFA-fixed paraffin-embedded sections)", "shortname":"IHC-P"}, "ICCIF" : {"fullname" : "Immunocytochemistry/ Immunofluorescence", "shortname":"ICC/IF"}, "FlowCytIntra" : {"fullname" : "Flow Cytometry (Intracellular)", "shortname":"Flow Cyt (Intra)"}, "IP" : {"fullname" : "Immunoprecipitation", "shortname":"IP"} }, "product-promise": { "all": "all", "testedAndGuaranteed": "tested", "guaranteed": "expected", "predicted": "predicted", "notRecommended": "not-recommended" } }, "values": { "Human": { "WB-species-checked": "testedAndGuaranteed", "WB-species-dilution-info": "1/1000", "WB-species-notes": "<p></p>", "IHCP-species-checked": "testedAndGuaranteed", "IHCP-species-dilution-info": "1/500", "IHCP-species-notes": "<p></p>", "ICCIF-species-checked": "testedAndGuaranteed", "ICCIF-species-dilution-info": "1/50", "ICCIF-species-notes": "<p></p>", "FlowCytIntra-species-checked": "testedAndGuaranteed", "FlowCytIntra-species-dilution-info": "1/50", "FlowCytIntra-species-notes": "<p></p>", "IP-species-checked": "notRecommended", "IP-species-dilution-info": "", "IP-species-notes": "<p></p>" }, "Mouse": { "WB-species-checked": "testedAndGuaranteed", "WB-species-dilution-info": "1/1000", "WB-species-notes": "<p></p>", "IHCP-species-checked": "testedAndGuaranteed", "IHCP-species-dilution-info": "1/500", "IHCP-species-notes": "<p></p>", "ICCIF-species-checked": "testedAndGuaranteed", "ICCIF-species-dilution-info": "1/50", "ICCIF-species-notes": "<p></p>", "FlowCytIntra-species-checked": "testedAndGuaranteed", "FlowCytIntra-species-dilution-info": "1/50", "FlowCytIntra-species-notes": "<p></p>", "IP-species-checked": "notRecommended", "IP-species-dilution-info": "", "IP-species-notes": "" }, "Rat": { "WB-species-checked": "testedAndGuaranteed", "WB-species-dilution-info": "1/1000", "WB-species-notes": "<p></p>", "IHCP-species-checked": "testedAndGuaranteed", "IHCP-species-dilution-info": "1/500", "IHCP-species-notes": "<p></p>", "ICCIF-species-checked": "guaranteed", "ICCIF-species-dilution-info": "", "ICCIF-species-notes": "", "FlowCytIntra-species-checked": "guaranteed", "FlowCytIntra-species-dilution-info": "", "FlowCytIntra-species-notes": "", "IP-species-checked": "notRecommended", "IP-species-dilution-info": "", "IP-species-notes": "" } } }

Product details

Patented technology
Our RabMAb® technology is a patented hybridoma-based technology for making rabbit monoclonal antibodies. For details on our patents, please refer to RabMAb® patents.

What are the advantages of a recombinant monoclonal antibody?
This product is a recombinant monoclonal antibody, which offers several advantages including:

  • - High batch-to-batch consistency and reproducibility
  • - Improved sensitivity and specificity
  • - Long-term security of supply
  • - Animal-free batch production

For more information, read more on recombinant antibodies.

Properties and storage information

Form
Liquid
Purification technique
Affinity purification Protein A
Storage buffer
pH: 7.2 - 7.4 Preservative: 0.01% Sodium azide Constituents: PBS, 40% Glycerol (glycerin, glycerine), 0.05% BSA
Shipped at conditions
Blue Ice
Appropriate short-term storage duration
1-2 weeks
Appropriate short-term storage conditions
+4°C
Appropriate long-term storage conditions
-20°C
Aliquoting information
Upon delivery aliquot
Storage information
Avoid freeze / thaw cycle

Product protocols

For this product, it's our understanding that no specific protocols are required. You can visit:

Target data

Transcriptional coactivator of the p300/CBP-mediated transcription complex. Enhances SMAD-mediated transcription by strengthening the functional link between the DNA-binding SMAD transcription factors and the p300/CBP transcription coactivator complex. Stimulates estrogen-dependent transactivation activity mediated by estrogen receptors signaling; stabilizes the interaction of estrogen receptor ESR1 and histone acetyltransferase EP300. Positively regulates TGF-beta signaling through its association with the SMAD/p300/CBP-mediated transcriptional coactivator complex. Induces transcription from estrogen-responsive promoters and protection against cell death. Potentiates EGR2-mediated transcriptional activation activity from the ERBB2 promoter. Acts as an inhibitor of osteoblastic mineralization through a cAMP-dependent parathyroid hormone receptor signaling. May play a role in pigmentation of melanocytes. Associates with chromatin to the estrogen-responsive TGF-alpha promoter region in a estrogen-dependent manner.
See full target information CITED1

Product promise

We are committed to supporting your work with high-quality reagents, and we're here for you every step of the way. In the unlikely event that one of our products does not perform as expected, you're protected by our Product Promise.
For full details, please see our Terms & Conditions

Please note: All products are 'FOR RESEARCH USE ONLY. NOT FOR USE IN DIAGNOSTIC OR THERAPEUTIC PROCEDURES'.

For licensing inquiries, please contact partnerships@abcam.com