JavaScript is disabled in your browser. Please enable JavaScript to view this website.
AB314757

Anti-CITED2 antibody [EPR27399-62]

  • BOND RX™ Validated
  • 20ul selling size
  • RabMAb
  • Recombinant
  • What is this?

Be the first to review this product! Submit a review

|

(0 Publication)

Rabbit Recombinant Monoclonal CITED2 antibody. Suitable for IHC-P, WB, IP, ICC/IF, Dot and reacts with Mouse, Rat, Human, Recombinant full length protein - Human samples.

View Alternative Names

MRG1, CITED2, Cbp/p300-interacting transactivator 2, MSG-related protein 1, P35srj, MRG-1

13 Images
Immunocytochemistry/ Immunofluorescence - Anti-CITED2 antibody [EPR27399-62] (AB314757)
  • ICC/IF

Supplier Data

Immunocytochemistry/ Immunofluorescence - Anti-CITED2 antibody [EPR27399-62] (AB314757)

Immunofluorescent analysis of 4% Paraformaldehyde-fixed, 0.1% TritonX-100 permeabilized HT-1080 (human fibrosarcoma epithelial cell) cells labelling CITED2 with ab314757 at 1/50 (10.34 ug/ml) dilution, followed by ab150081 Goat Anti-Rabbit IgG H&L (Alexa Fluor® 488) preadsorbed antibody at 1/1000 (2ug/ml) dilution (Green). Confocal image showing nuclear staining in HT-1080 cell line. Image was taken with a confocal microscope(Leica-Microsystems, TCS SP8). ab195889 Anti-alpha Tubulin mouse monoclonal antibody - Microtubule Marker (Alexa Fluor® 594) was used to counterstain tubulin at 1/200 (2.5ug/ml) dilution (Red). The Nuclear counterstain was DAPI (Blue). Secondary antibody only control : Secondary antibody is ab150081 Goat Anti-Rabbit IgG H&L (Alexa Fluor® 488) preadsorbed at 1/1000 (2ug/ml) dilution.

Immunoprecipitation - Anti-CITED2 antibody [EPR27399-62] (AB314757)
  • IP

Supplier Data

Immunoprecipitation - Anti-CITED2 antibody [EPR27399-62] (AB314757)

CITED2 was immunoprecipitated from 0.35 mg K-562 (human chronic myelogenous leukemia lymphoblast) whole cell lysate with ab314757 at 1/30 dilution (2ug in 0.35mg lysates). Western blot was performed on the immunoprecipitate using ab314757 at 1/1000 dilution. VeriBlot for IP secondary antibody(HRP)(ab131366) was used at 1/5000 dilution. Lane 1 : K-562 (human chronic myelogenous leukemia lymphoblast) whole cell lysate 10 ug Lane 2 : ab314757 IP in K-562 (human chronic myelogenous leukemia lymphoblast) whole cell lysate Lane 3 : Rabbit monoclonal IgG (ab172730) instead of ab314757 in K-562 whole cell lysate Blocking and dilution buffer and concentration : 5% NFDM/TBST.

All lanes:

Immunoprecipitation - Anti-CITED2 antibody [EPR27399-62] (ab314757) at 1/30 dilution

All lanes:

K-562 (human chronic myelogenous leukemia lymphoblast) whole cell lysate

Secondary

All lanes:

Immunoprecipitation - VeriBlot for IP Detection Reagent (HRP) (<a href='/en-us/products/reagents/veriblot-for-ip-detection-reagent-hrp-ab131366'>ab131366</a>) at 1/5000 dilution

false

Exposure time: 3min

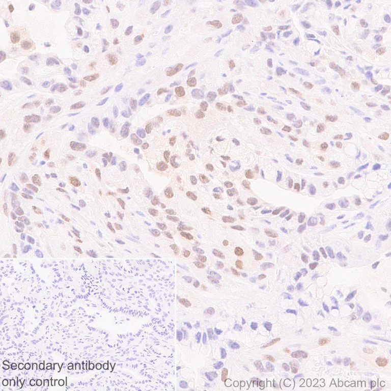
Immunohistochemistry (Formalin/PFA-fixed paraffin-embedded sections) - Anti-CITED2 antibody [EPR27399-62] (AB314757)
  • IHC-P

Supplier Data

Immunohistochemistry (Formalin/PFA-fixed paraffin-embedded sections) - Anti-CITED2 antibody [EPR27399-62] (AB314757)

Immunohistochemical analysis of paraffin-embedded rat colon tissue labeling CITED2 with ab314757 at 1/500 (1.034 ug/ml) followed by a ready to use LeicaDS9800 (Bond™ Polymer Refine Detection). Nuclear staining on rat colon. The section was incubated with ab314757 for 30 mins at room temperature. The immunostaining was performed on a Leica Biosystems BOND® RX instrument. Counterstained with Hematoxylin. Secondary antibody only control : Secondary antibody is a ready to use LeicaDS9800 (Bond™ Polymer Refine Detection). Heat mediated antigen retrieval was performed with Tris-EDTA buffer (pH 9.0, Epitope Retrieval Solution2) for 20 mins.

Immunohistochemistry (Formalin/PFA-fixed paraffin-embedded sections) - Anti-CITED2 antibody [EPR27399-62] (AB314757)
  • IHC-P

Supplier Data

Immunohistochemistry (Formalin/PFA-fixed paraffin-embedded sections) - Anti-CITED2 antibody [EPR27399-62] (AB314757)

Immunohistochemical analysis of paraffin-embedded mouse colon tissue labeling CITED2 with ab314757 at 1/500 (1.034 ug/ml) followed by a ready to use LeicaDS9800 (Bond™ Polymer Refine Detection). Nuclear staining on mouse colon. The section was incubated with ab314757 for 30 mins at room temperature. The immunostaining was performed on a Leica Biosystems BOND® RX instrument. Counterstained with Hematoxylin. Secondary antibody only control : Secondary antibody is a ready to use LeicaDS9800 (Bond™ Polymer Refine Detection). Heat mediated antigen retrieval was performed with Tris-EDTA buffer (pH 9.0, Epitope Retrieval Solution2) for 20 mins.

Immunohistochemistry (Formalin/PFA-fixed paraffin-embedded sections) - Anti-CITED2 antibody [EPR27399-62] (AB314757)
  • IHC-P

Supplier Data

Immunohistochemistry (Formalin/PFA-fixed paraffin-embedded sections) - Anti-CITED2 antibody [EPR27399-62] (AB314757)

Immunohistochemical analysis of paraffin-embedded mouse pancreatic cancer tissue labeling CITED2 with ab314757 at 1/500 (1.034 ug/ml) followed by a ready to use LeicaDS9800 (Bond™ Polymer Refine Detection). Nuclear staining on mouse pancreatic cancer. The section was incubated with ab314757 for 30 mins at room temperature. The immunostaining was performed on a Leica Biosystems BOND® RX instrument. Counterstained with Hematoxylin. Secondary antibody only control : Secondary antibody is a ready to use LeicaDS9800 (Bond™ Polymer Refine Detection). Heat mediated antigen retrieval was performed with Tris-EDTA buffer (pH 9.0, Epitope Retrieval Solution2) for 20 mins.

Immunohistochemistry (Formalin/PFA-fixed paraffin-embedded sections) - Anti-CITED2 antibody [EPR27399-62] (AB314757)
  • IHC-P

Supplier Data

Immunohistochemistry (Formalin/PFA-fixed paraffin-embedded sections) - Anti-CITED2 antibody [EPR27399-62] (AB314757)

Immunohistochemical analysis of paraffin-embedded rat cerebrum tissue labeling CITED2 with ab314757 at 1/500 (1.034 ug/ml) followed by a ready to use LeicaDS9800 (Bond™ Polymer Refine Detection). Nuclear staining on rat cerebrum. The section was incubated with ab314757 for 30 mins at room temperature. The immunostaining was performed on a Leica Biosystems BOND® RX instrument. Counterstained with Hematoxylin. Secondary antibody only control : Secondary antibody is a ready to use LeicaDS9800 (Bond™ Polymer Refine Detection). Heat mediated antigen retrieval was performed with Tris-EDTA buffer (pH 9.0, Epitope Retrieval Solution2) for 20 mins.

Immunohistochemistry (Formalin/PFA-fixed paraffin-embedded sections) - Anti-CITED2 antibody [EPR27399-62] (AB314757)
  • IHC-P

Supplier Data

Immunohistochemistry (Formalin/PFA-fixed paraffin-embedded sections) - Anti-CITED2 antibody [EPR27399-62] (AB314757)

Immunohistochemical analysis of paraffin-embedded mouse cerebrum tissue labeling CITED2 with ab314757 at 1/500 (1.034 ug/ml) followed by a ready to use LeicaDS9800 (Bond™ Polymer Refine Detection). Nuclear staining on mouse cerebrum. The section was incubated with ab314757 for 30 mins at room temperature. The immunostaining was performed on a Leica Biosystems BOND® RX instrument. Counterstained with Hematoxylin. Secondary antibody only control : Secondary antibody is a ready to use LeicaDS9800 (Bond™ Polymer Refine Detection). Heat mediated antigen retrieval was performed with Tris-EDTA buffer (pH 9.0, Epitope Retrieval Solution2) for 20 mins.

Immunoprecipitation - Anti-CITED2 antibody [EPR27399-62] (AB314757)
  • IP

Supplier Data

Immunoprecipitation - Anti-CITED2 antibody [EPR27399-62] (AB314757)

CITED2 was immunoprecipitated from 0.35 mg MEF (mouse embryo fibroblast) treated with 5 μM MG-132 for 6 hours whole cell lysate with ab314757 at 1/30 dilution (2ug in 0.35mg lysates). Western blot was performed on the immunoprecipitate using ab314757 at 1/1000 dilution. VeriBlot for IP secondary antibody(HRP)(ab131366) was used at 1/5000 dilution. Lane 1 : MEF (mouse embryo fibroblast) treated with 5 μM MG-132 for 6 hours whole cell lysate Lane 2 : ab314757 IP in MEF (mouse embryo fibroblast) treated with 5 μM MG-132 for 6 hours whole cell lysate Lane 3 : Rabbit monoclonal IgG (ab172730) instead of ab314757 in MEF treated with 5 μM MG-132 for 6 hours whole cell lysate Blocking and dilution buffer and concentration : 5% NFDM/TBST.

All lanes:

Immunoprecipitation - Anti-CITED2 antibody [EPR27399-62] (ab314757) at 1/30 dilution

All lanes:

MEF (mouse embryo fibroblast) treated with 5 μM MG-132 for 6 hours whole cell lysate

Secondary

All lanes:

Immunoprecipitation - VeriBlot for IP Detection Reagent (HRP) (<a href='/en-us/products/reagents/veriblot-for-ip-detection-reagent-hrp-ab131366'>ab131366</a>) at 1/5000 dilution

false

Exposure time: 3min

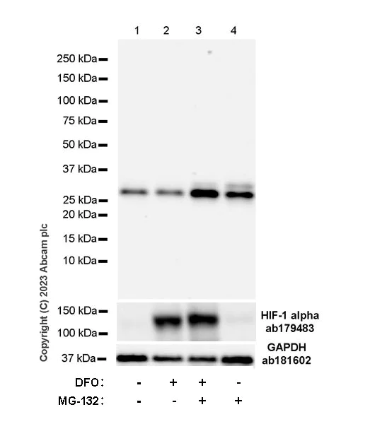
Western blot - Anti-CITED2 antibody [EPR27399-62] (AB314757)
  • WB

Supplier Data

Western blot - Anti-CITED2 antibody [EPR27399-62] (AB314757)

Blocking and diluting buffer and concentration : 5% NFDM/TBST.

The expression profile observed is consistent with what has been described in the literature (PMID : 17906695).

Lysates were freshly made and used immediately to minimize protein degradation.

In Western Blot, Anti HIF-1 alpha antibody [EPR16897-101] (ab179483) is applied at 1/1000 dilution to prove the DFO induction is successful.

In Western blot, Anti-GAPDH antibody [EPR16891] - Loading Control (ab181602) staining at 1/200000 dilution.

All lanes:

Western blot - Anti-CITED2 antibody [EPR27399-62] (ab314757) at 1/1000 dilution

Lane 1:

Untreated HT-1080 (human fibrosarcoma epithelial cell) whole cell lysate at 20 µg

Lane 2:

HT-1080 treated with 0.5 mM DFO for 24 hours whole cell lysate at 20 µg

Lane 3:

HT-1080 treated with 0.5 mM DFO for 24 hours, then added 10uM MG-132 for 4 hours, whole cell lysate at 20 µg

Lane 4:

HT-1080 treated with 10uM MG-132 for 4 hours, whole cell lysate at 20 µg

Secondary

All lanes:

Western blot - Goat Anti-Rabbit IgG H&L (HRP) (<a href='/en-us/products/secondary-antibodies/goat-rabbit-igg-h-l-hrp-ab97051'>ab97051</a>) at 1/100000 dilution

Observed band size: 30 kDa,36 kDa

false

Exposure time: 37s

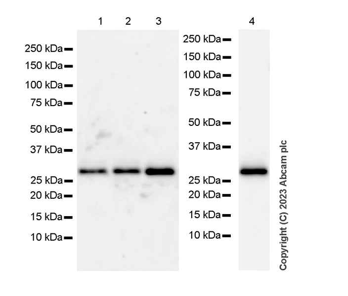
Western blot - Anti-CITED2 antibody [EPR27399-62] (AB314757)
  • WB

Supplier Data

Western blot - Anti-CITED2 antibody [EPR27399-62] (AB314757)

Blocking and diluting buffer and concentration : 5% NFDM/TBST Exposure time : Lane 1-3 : 48 seconds Lane 4 : 37 seconds

All lanes:

Western blot - Anti-CITED2 antibody [EPR27399-62] (ab314757) at 1/1000 dilution

Lane 1:

HeLa (human epithelial cell line from cervical adenocarcinoma) whole cell lysate at 20 µg

Lane 2:

293T (human embryonic kidney epithelial cell) whole cell lysate at 20 µg

Lane 3:

NIH/3T3 (mouse embryonic fibroblast) whole cell lysate at 20 µg

Lane 4:

K-562 (human chronic myelogenous leukemia lymphoblast) whole cell lysate at 20 µg

Secondary

All lanes:

Western blot - Goat Anti-Rabbit IgG H&L (HRP) (<a href='/en-us/products/secondary-antibodies/goat-rabbit-igg-h-l-hrp-ab97051'>ab97051</a>) at 1/100000 dilution

Observed band size: 30 kDa

false

Western blot - Anti-CITED2 antibody [EPR27399-62] (AB314757)
  • WB

Supplier Data

Western blot - Anti-CITED2 antibody [EPR27399-62] (AB314757)

Blocking and diluting buffer and concentration : 5% NFDM/TBST The expression profile observed is consistent with what has been described in the literature (PMID : 17906695). The band beneath the target band (30 kDa) is expected to be degradation products. In Western blot, Anti-GAPDH antibody [EPR16891] - Loading Control (ab181602) staining at 1/200000 dilution. Exposure time : Lane 1, 2 : 15 seconds Lane 3, 4 : 103 seconds

All lanes:

Western blot - Anti-CITED2 antibody [EPR27399-62] (ab314757) at 1/1000 dilution

Lane 1:

Untreated MEF (mouse embryo fibroblast) whole cell lysate at 20 µg

Lane 2:

MEF treated with 5 uM MG-132 for 6 hours, whole cell lysate at 20 µg

Lane 3:

Untreated PC-12 (rat adrenal gland pheochromocytoma ) whole cell lysate at 20 µg

Lane 4:

PC-12 treated with 20 uM MG-132 for 5 hours, whole cell lysate at 20 µg

Secondary

All lanes:

Western blot - Goat Anti-Rabbit IgG H&L (HRP) (<a href='/en-us/products/secondary-antibodies/goat-rabbit-igg-h-l-hrp-ab97051'>ab97051</a>) at 1/100000 dilution

Observed band size: 30 kDa,36 kDa

false

Western blot - Anti-CITED2 antibody [EPR27399-62] (AB314757)
  • WB

Supplier Data

Western blot - Anti-CITED2 antibody [EPR27399-62] (AB314757)

Blocking and diluting buffer and concentration : 5% NFDM/TBST Lysates were freshly made and used immediately to minimize protein degradation.

All lanes:

Western blot - Anti-CITED2 antibody [EPR27399-62] (ab314757) at 1/1000 dilution

Lane 1:

Mouse brain tissue lysate at 20 µg

Lane 2:

Rat brain tissue lysate at 20 µg

Secondary

All lanes:

Western blot - Goat Anti-Rabbit IgG H&L (HRP) (<a href='/en-us/products/secondary-antibodies/goat-rabbit-igg-h-l-hrp-ab97051'>ab97051</a>) at 1/100000 dilution

Observed band size: 30 kDa

false

Exposure time: 3min

Dot Blot - Anti-CITED2 antibody [EPR27399-62] (AB314757)
  • Dot

Supplier Data

Dot Blot - Anti-CITED2 antibody [EPR27399-62] (AB314757)

Dot blot analysis of CITED2 using ab314757 at 1 : 1000 (0.517 ug/ml) followed by a Goat Anti-Rabbit IgG, (H+L), Peroxidase conjugated (ab97051) at 1 : 100,000 dilution. Exposure time : 48 seconds Blocking and diluting buffer and concentration : 5% NFDM/TBST

  • Carrier free

    Anti-CITED2 antibody [EPR27399-62] - BSA and Azide free

Key facts

Host species

Rabbit

Clonality

Monoclonal

Clone number

EPR27399-62

Isotype

IgG

Carrier free

No

Reacts with

Mouse, Rat, Human

Applications

IHC-P, Dot, WB, ICC/IF, IP

applications

Immunogen

The exact immunogen used to generate this antibody is proprietary information.

Specificity

Unsuitable for human IHC-P.
This antibody does not cross-react with human CITED1.

Reactivity data

{ "title": "Reactivity Data", "filters": { "stats": ["", "Species", "Dilution Info", "Notes"], "tabs": { "all-applications": {"fullname" : "All Applications", "shortname": "All Applications"}, "IHCP" : {"fullname" : "Immunohistochemistry (Formalin/PFA-fixed paraffin-embedded sections)", "shortname":"IHC-P"}, "WB" : {"fullname" : "Western blot", "shortname":"WB"}, "IP" : {"fullname" : "Immunoprecipitation", "shortname":"IP"}, "ICCIF" : {"fullname" : "Immunocytochemistry/ Immunofluorescence", "shortname":"ICC/IF"}, "Dot" : {"fullname" : "Dot Blot", "shortname":"Dot"}, "FlowCytIntra" : {"fullname" : "Flow Cytometry (Intracellular)", "shortname":"Flow Cyt (Intra)"} }, "product-promise": { "all": "all", "testedAndGuaranteed": "tested", "guaranteed": "expected", "predicted": "predicted", "notRecommended": "not-recommended" } }, "values": { "Human": { "IHCP-species-checked": "notRecommended", "IHCP-species-dilution-info": "", "IHCP-species-notes": "<p></p>", "WB-species-checked": "testedAndGuaranteed", "WB-species-dilution-info": "1/1000", "WB-species-notes": "<p></p>", "IP-species-checked": "testedAndGuaranteed", "IP-species-dilution-info": "1/30", "IP-species-notes": "<p></p>", "ICCIF-species-checked": "testedAndGuaranteed", "ICCIF-species-dilution-info": "1/50", "ICCIF-species-notes": "<p></p>", "Dot-species-checked": "guaranteed", "Dot-species-dilution-info": "", "Dot-species-notes": "", "FlowCytIntra-species-checked": "notRecommended", "FlowCytIntra-species-dilution-info": "", "FlowCytIntra-species-notes": "<p></p>" }, "Mouse": { "IHCP-species-checked": "testedAndGuaranteed", "IHCP-species-dilution-info": "1/500", "IHCP-species-notes": "<p></p>", "WB-species-checked": "testedAndGuaranteed", "WB-species-dilution-info": "1/1000", "WB-species-notes": "<p></p>", "IP-species-checked": "testedAndGuaranteed", "IP-species-dilution-info": "1/30", "IP-species-notes": "<p></p>", "ICCIF-species-checked": "guaranteed", "ICCIF-species-dilution-info": "", "ICCIF-species-notes": "", "Dot-species-checked": "guaranteed", "Dot-species-dilution-info": "", "Dot-species-notes": "", "FlowCytIntra-species-checked": "notRecommended", "FlowCytIntra-species-dilution-info": "", "FlowCytIntra-species-notes": "" }, "Rat": { "IHCP-species-checked": "testedAndGuaranteed", "IHCP-species-dilution-info": "1/500", "IHCP-species-notes": "<p></p>", "WB-species-checked": "testedAndGuaranteed", "WB-species-dilution-info": "1/1000", "WB-species-notes": "<p></p>", "IP-species-checked": "guaranteed", "IP-species-dilution-info": "", "IP-species-notes": "", "ICCIF-species-checked": "guaranteed", "ICCIF-species-dilution-info": "", "ICCIF-species-notes": "", "Dot-species-checked": "guaranteed", "Dot-species-dilution-info": "", "Dot-species-notes": "", "FlowCytIntra-species-checked": "notRecommended", "FlowCytIntra-species-dilution-info": "", "FlowCytIntra-species-notes": "" }, "Recombinant full length protein - Human": { "IHCP-species-checked": "notRecommended", "IHCP-species-dilution-info": "", "IHCP-species-notes": "", "WB-species-checked": "notRecommended", "WB-species-dilution-info": "", "WB-species-notes": "", "IP-species-checked": "notRecommended", "IP-species-dilution-info": "", "IP-species-notes": "", "ICCIF-species-checked": "notRecommended", "ICCIF-species-dilution-info": "", "ICCIF-species-notes": "", "Dot-species-checked": "testedAndGuaranteed", "Dot-species-dilution-info": "1/1000", "Dot-species-notes": "<p></p>", "FlowCytIntra-species-checked": "notRecommended", "FlowCytIntra-species-dilution-info": "", "FlowCytIntra-species-notes": "" } } }

Product details

Patented technology
Our RabMAb® technology is a patented hybridoma-based technology for making rabbit monoclonal antibodies. For details on our patents, please refer to RabMAb® patents.

What are the advantages of a recombinant monoclonal antibody?
This product is a recombinant monoclonal antibody, which offers several advantages including:

  • - High batch-to-batch consistency and reproducibility
  • - Improved sensitivity and specificity
  • - Long-term security of supply
  • - Animal-free batch production

For more information, read more on recombinant antibodies.

Properties and storage information

Form
Liquid
Purification technique
Affinity purification Protein A
Storage buffer
pH: 7.2 - 7.4 Preservative: 0.01% Sodium azide Constituents: PBS, 40% Glycerol (glycerin, glycerine), 0.05% BSA
Shipped at conditions
Blue Ice
Appropriate short-term storage duration
1-2 weeks
Appropriate short-term storage conditions
+4°C
Appropriate long-term storage conditions
-20°C
Aliquoting information
Upon delivery aliquot
Storage information
Avoid freeze / thaw cycle

Product protocols

For this product, it's our understanding that no specific protocols are required. You can visit:

Target data

Transcriptional coactivator of the p300/CBP-mediated transcription complex. Acts as a bridge, linking TFAP2 transcription factors and the p300/CBP transcriptional coactivator complex in order to stimulate TFAP2-mediated transcriptional activation. Positively regulates TGF-beta signaling through its association with the SMAD/p300/CBP-mediated transcriptional coactivator complex. Stimulates the peroxisome proliferator-activated receptors PPARA transcriptional activity. Enhances estrogen-dependent transactivation mediated by estrogen receptors. Acts also as a transcriptional corepressor; interferes with the binding of the transcription factors HIF1A or STAT2 and the p300/CBP transcriptional coactivator complex. Participates in sex determination and early gonad development by stimulating transcription activation of SRY. Plays a role in controlling left-right patterning during embryogenesis; potentiates transcriptional activation of NODAL-mediated gene transcription in the left lateral plate mesoderm (LPM). Plays an essential role in differentiation of the adrenal cortex from the adrenogonadal primordium (AGP); stimulates WT1-mediated transcription activation thereby up-regulating the nuclear hormone receptor NR5A1 promoter activity. Associates with chromatin to the PITX2 P1 promoter region.
See full target information CITED2

Product promise

We are committed to supporting your work with high-quality reagents, and we're here for you every step of the way. In the unlikely event that one of our products does not perform as expected, you're protected by our Product Promise.
For full details, please see our Terms & Conditions

Please note: All products are 'FOR RESEARCH USE ONLY. NOT FOR USE IN DIAGNOSTIC OR THERAPEUTIC PROCEDURES'.

For licensing inquiries, please contact partnerships@abcam.com