JavaScript is disabled in your browser. Please enable JavaScript to view this website.
AB248292

Anti-Citrate synthetase antibody [EPR8066] - BSA and Azide free

Be the first to review this product! Submit a review

|

(1 Publication)

Rabbit Recombinant Monoclonal Citrate synthetase antibody. Carrier free. Suitable for IHC-P, WB and reacts with Human samples. Cited in 1 publication.

View Alternative Names

Citrate (Si)-synthase, CS

2 Images
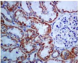
Immunohistochemistry (Formalin/PFA-fixed paraffin-embedded sections) - Anti-Citrate synthetase antibody [EPR8066] - BSA and Azide free (AB248292)
  • IHC-P

Unknown

Immunohistochemistry (Formalin/PFA-fixed paraffin-embedded sections) - Anti-Citrate synthetase antibody [EPR8066] - BSA and Azide free (AB248292)

This data was developed using ab129088, the same antibody clone in a different buffer formulation.

ab129088, at a dilution of 1/100, staining Citrate synthetase in paraffin-embedded Human kidney tissue by Immunohistochemistry.

Perform heat mediated antigen retrieval with citrate buffer pH 6 before commencing with IHC staining protocol.

Western blot - Anti-Citrate synthetase antibody [EPR8066] - BSA and Azide free (AB248292)
  • WB

Unknown

Western blot - Anti-Citrate synthetase antibody [EPR8066] - BSA and Azide free (AB248292)

This data was developed using ab129088, the same antibody clone in a different buffer formulation.

All lanes:

Western blot - Anti-Citrate synthetase antibody [EPR8066] (<a href='/en-us/products/primary-antibodies/citrate-synthetase-antibody-epr8066-ab129088'>ab129088</a>) at 1/1000 dilution

Lane 1:

HepG2 cell lysate at 10 µg

Lane 2:

Caco-2 cell lysate at 10 µg

Lane 3:

293T cell lysate at 10 µg

Lane 4:

HeLa cell lysate at 10 µg

Secondary

All lanes:

HRP labelled goat anti-rabbit at 1/2000 dilution

Predicted band size: 51 kDa

false

Key facts

Host species

Rabbit

Clonality

Monoclonal

Clone number

EPR8066

Isotype

IgG

Carrier free

Yes

Reacts with

Human

Applications

WB, IHC-P

applications

Immunogen

The exact immunogen used to generate this antibody is proprietary information.

Reactivity data

{ "title": "Reactivity Data", "filters": { "stats": ["", "Species", "Dilution Info", "Notes"], "tabs": { "all-applications": {"fullname" : "All Applications", "shortname": "All Applications"}, "IHCP" : {"fullname" : "Immunohistochemistry (Formalin/PFA-fixed paraffin-embedded sections)", "shortname":"IHC-P"}, "FlowCyt" : {"fullname" : "Flow Cytometry", "shortname":"Flow Cyt"}, "WB" : {"fullname" : "Western blot", "shortname":"WB"} }, "product-promise": { "all": "all", "testedAndGuaranteed": "tested", "guaranteed": "expected", "predicted": "predicted", "notRecommended": "not-recommended" } }, "values": { "Human": { "IHCP-species-checked": "testedAndGuaranteed", "IHCP-species-dilution-info": "", "IHCP-species-notes": "<p></p>", "FlowCyt-species-checked": "notRecommended", "FlowCyt-species-dilution-info": "", "FlowCyt-species-notes": "<p></p>", "WB-species-checked": "testedAndGuaranteed", "WB-species-dilution-info": "", "WB-species-notes": "<p></p>" }, "Rat": { "IHCP-species-checked": "predicted", "IHCP-species-dilution-info": "", "IHCP-species-notes": "", "FlowCyt-species-checked": "notRecommended", "FlowCyt-species-dilution-info": "", "FlowCyt-species-notes": "", "WB-species-checked": "predicted", "WB-species-dilution-info": "", "WB-species-notes": "" } } }

Product details

ab248292 is the carrier-free version of ab129088.

Species reactivity
Mouse: We have preliminary internal testing data to indicate this antibody may not react with this species.
Please contact us for more information.

Patented technology
Our RabMAb® technology is a patented hybridoma-based technology for making rabbit monoclonal antibodies. For details on our patents, please refer to RabMAb® patents.

What are the advantages of a recombinant monoclonal antibody?
This product is a recombinant monoclonal antibody, which offers several advantages including:

  • - High batch-to-batch consistency and reproducibility
  • - Improved sensitivity and specificity
  • - Long-term security of supply
  • - Animal-free batch production

For more information, read more on recombinant antibodies.

Conjugation ready
Our carrier-free antibodies are typically supplied in a PBS-only formulation, purified and free of BSA, sodium azide and glycerol. This conjugation-ready format is designed for use with fluorochromes, metal isotopes, oligonucleotides, and enzymes, which makes them ideal for antibody labelling, functional and cell-based assays, flow-based assays (e.g. mass cytometry) and Multiplex Imaging applications.

Use our conjugation kits for antibody conjugates that are ready-to-use in as little as 20 minutes with 1 minute hands-on-time and 100% antibody recovery: available for fluorescent dyes, HRP, biotin and gold.

Compatibility
This product is compatible with the Maxpar® Antibody Labeling Kit from Fluidigm, without the need for antibody preparation. Maxpar® is a trademark of Fluidigm Canada Inc.

Properties and storage information

Form
Liquid
Purification technique
Affinity purification Protein A
Storage buffer
pH: 7.2 - 7.4 Constituents: PBS
Shipped at conditions
Blue Ice
Appropriate short-term storage conditions
+4°C
Appropriate long-term storage conditions
+4°C
Storage information
Do Not Freeze

Supplementary information

This supplementary information is collated from multiple sources and compiled automatically.

Citrate synthetase also known as citrate synthase is an important enzyme in the tricarboxylic acid cycle. It catalyzes the condensation of acetyl-CoA and oxaloacetate to form citrate and CoA. The enzyme weighs around 49 kilodaltons. It is expressed prominently in the mitochondria of eukaryotic cells where it initiates the Krebs cycle by providing citrate to be further processed. Citrate synthetase is an important point of control within this metabolic cycle.
Biological function summary

Citrate synthetase plays a central role in energy production by converting oxaloacetate and acetyl-CoA into citrate. This enzyme is not known to be part of any larger complex but associates with downstream enzymes such as aconitase in the metabolic pathway. Its activity is essential for cellular respiration impacting the overall metabolic rate of the organism. The concentration of citrate produced serves as a checkpoint both for the continuation of the Krebs cycle and for feedback inhibition of glycolysis.

Pathways

Citrate synthetase is integral to the Krebs cycle and the related oxidative phosphorylation pathway. These pathways are essential for efficient ATP production. Citrate synthetase works closely with enzymes like isocitrate dehydrogenase and alpha-ketoglutarate dehydrogenase within the Krebs cycle. Through these interactions citrate synthetase ensures the proper flow of carbon through the cycle impacting ATP yield and cellular energy homeostasis.

Citrate synthetase's function can influence metabolic diseases like diabetes and mitochondrial disorders. Alterations in its activity may contribute to the dysregulation of glucose metabolism seen in diabetes affecting enzymes like glucose transporter 4 (GLUT4). In mitochondrial disorders changes in its normal activity can cause energy production deficiencies influencing proteins such as cytochrome c which is critical in the electron transport chain. Understanding these interactions can help develop therapeutic strategies targeting metabolic pathways.

Product protocols

For this product, it's our understanding that no specific protocols are required. You can visit:

Target data

Key enzyme of the Krebs tricarboxylic acid cycle which catalyzes the synthesis of citrate from acetyl coenzyme A and oxaloacetate.
See full target information Citrate synthase, mitochondrial

Publications (1)

Recent publications for all applications. Explore the full list and refine your search

Cell proliferation 56:e13400 PubMed36642844

2023

Non-SMC condensin I complex subunit H participates in anti-programmed cell death-1 resistance of clear cell renal cell carcinomas.

Applications

Unspecified application

Species

Unspecified reactive species

Zhi Chen,Weiqiang Ruan,Chunhao Guo,Ke Chen,Le Li,Jihua Tian,Zhiquan Hu,Dan Peng,Xing Zeng
View all publications

Product promise

We are committed to supporting your work with high-quality reagents, and we're here for you every step of the way. In the unlikely event that one of our products does not perform as expected, you're protected by our Product Promise.
For full details, please see our Terms & Conditions

Please note: All products are 'FOR RESEARCH USE ONLY. NOT FOR USE IN DIAGNOSTIC OR THERAPEUTIC PROCEDURES'.

For licensing inquiries, please contact partnerships@abcam.com