JavaScript is disabled in your browser. Please enable JavaScript to view this website.
AB235318

Anti-CK068 antibody

Be the first to review this product! Submit a review

|

(0 Publication)

Rabbit Polyclonal CK068 antibody. Suitable for WB, IHC-P and reacts with Mouse, Human samples. Immunogen corresponding to Recombinant Full Length Protein corresponding to Human C11orf68.

View Alternative Names

BLES03, C11orf68, UPF0696 protein C11orf68, Basophilic leukemia-expressed protein Bles03, Protein p5326

2 Images
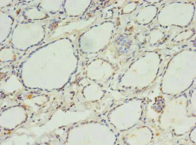
Immunohistochemistry (Formalin/PFA-fixed paraffin-embedded sections) - Anti-CK068 antibody (AB235318)
  • IHC-P

Supplier Data

Immunohistochemistry (Formalin/PFA-fixed paraffin-embedded sections) - Anti-CK068 antibody (AB235318)

Paraffin-embedded human thyroid tissue stained for CK068 using ab235318 at 1/100 dilution in immunohistochemical analysis.

Western blot - Anti-CK068 antibody (AB235318)
  • WB

Supplier Data

Western blot - Anti-CK068 antibody (AB235318)

All lanes:

Western blot - Anti-CK068 antibody (ab235318) at 1/500 dilution

All lanes:

Mouse liver lysate

Secondary

All lanes:

Goat polyclonal to rabbit at 1/10000 dilution

Predicted band size: 27 kDa

false

Key facts

Host species

Rabbit

Clonality

Polyclonal

Isotype

IgG

Carrier free

No

Reacts with

Mouse, Human

Applications

IHC-P, WB

applications

Immunogen

Recombinant Full Length Protein corresponding to Human C11orf68.

Q9H3H3

Reactivity data

{ "title": "Reactivity Data", "filters": { "stats": ["", "Species", "Dilution Info", "Notes"], "tabs": { "all-applications": {"fullname" : "All Applications", "shortname": "All Applications"}, "WB" : {"fullname" : "Western blot", "shortname":"WB"}, "IHCP" : {"fullname" : "Immunohistochemistry (Formalin/PFA-fixed paraffin-embedded sections)", "shortname":"IHC-P"} }, "product-promise": { "all": "all", "testedAndGuaranteed": "tested", "guaranteed": "expected", "predicted": "predicted", "notRecommended": "not-recommended" } }, "values": { "Human": { "WB-species-checked": "guaranteed", "WB-species-dilution-info": "", "WB-species-notes": "", "IHCP-species-checked": "testedAndGuaranteed", "IHCP-species-dilution-info": "1/20 - 1/200", "IHCP-species-notes": "<p></p>" }, "Mouse": { "WB-species-checked": "testedAndGuaranteed", "WB-species-dilution-info": "1/500 - 1/2000", "WB-species-notes": "<p></p>", "IHCP-species-checked": "guaranteed", "IHCP-species-dilution-info": "", "IHCP-species-notes": "" } } }

Properties and storage information

Form
Liquid
Purification technique
Affinity purification Protein G
Purification notes
Purity >95%.
Storage buffer
pH: 7.4 Preservative: 0.03% Proclin 300 Constituents: PBS, 50% Glycerol (glycerin, glycerine)
Shipped at conditions
Blue Ice
Appropriate short-term storage duration
1-2 weeks
Appropriate short-term storage conditions
+4°C
Appropriate long-term storage conditions
-20°C
Aliquoting information
Upon delivery aliquot
Storage information
Avoid freeze / thaw cycle

Product protocols

For this product, it's our understanding that no specific protocols are required. You can visit:

Product promise

We are committed to supporting your work with high-quality reagents, and we're here for you every step of the way. In the unlikely event that one of our products does not perform as expected, you're protected by our Product Promise.
For full details, please see our Terms & Conditions

Please note: All products are 'FOR RESEARCH USE ONLY. NOT FOR USE IN DIAGNOSTIC OR THERAPEUTIC PROCEDURES'.

For licensing inquiries, please contact partnerships@abcam.com