JavaScript is disabled in your browser. Please enable JavaScript to view this website.
AB302638

Anti-CK1 epsilon antibody [1/Casein Kinase Iε]

Be the first to review this product! Submit a review

|

(4 Publications)

Mouse Recombinant Monoclonal CK1 epsilon antibody. Suitable for WB, ICC/IF and reacts with Human, Mouse, Rat samples. Cited in 4 publications.

View Alternative Names

Casein kinase I isoform epsilon, CKI-epsilon, CKIe, CSNK1E

5 Images
Immunocytochemistry/ Immunofluorescence - Anti-CK1 epsilon antibody [1/Casein Kinase Iε] (AB302638)
  • ICC/IF

Supplier Data

Immunocytochemistry/ Immunofluorescence - Anti-CK1 epsilon antibody [1/Casein Kinase Iε] (AB302638)

Immunofluorescent analysis of 100% methanol-fixed, 0.1% TritonX-100 permeabilized HeLa (human cervix adenocarcinoma epithelial cell) cells labelling CK1 epsilon with ab302638 at 1/100 9.9ug/ml dilution, followed by ab150117 Goat Anti-Mouse IgG H&L (Alexa Fluor® 488) preadsorbed antibody at 1/1000 2 ug/ml dilution (Green). Confocal image showing mainly cytoplasmic staining in HeLa cell line is observed. ab179513 Anti-beta Tubulin rabbit monoclonal antibody was used to counterstain tubulin at 1/200 10ug/ml dilution (Red). The Nuclear counterstain was DAPI (Blue). Secondary antibody only control : Secondary antibody is ab150117 Goat Anti-Mouse IgG H&L (Alexa Fluor® 488) preadsorbed at 1/1000 2 ug/ml dilution.

Immunocytochemistry/ Immunofluorescence - Anti-CK1 epsilon antibody [1/Casein Kinase Iε] (AB302638)
  • ICC/IF

Supplier Data

Immunocytochemistry/ Immunofluorescence - Anti-CK1 epsilon antibody [1/Casein Kinase Iε] (AB302638)

Immunofluorescent analysis of 100% methanol-fixed, 0.1% TritonX-100 permeabilized NIH/3T3 (mouse embryonic fibroblast) cells labelling CK1 epsilon with ab302638 at 1/100 9.9ug/ml dilution, followed by ab150117 Goat Anti-Mouse IgG H&L (Alexa Fluor® 488) preadsorbed antibody at 1/1000 2 ug/ml dilution (Green). Confocal image showing mainly cytoplasmic staining in NIH/3T3 cell line is observed. ab179513 Anti-beta Tubulin rabbit monoclonal antibody was used to counterstain tubulin at 1/200 10ug/ml dilution (Red). The Nuclear counterstain was DAPI (Blue). Secondary antibody only control : Secondary antibody is ab150117 Goat Anti-Mouse IgG H&L (Alexa Fluor® 488) preadsorbed at 1/1000 2 ug/ml dilution.

Immunocytochemistry/ Immunofluorescence - Anti-CK1 epsilon antibody [1/Casein Kinase Iε] (AB302638)
  • ICC/IF

Supplier Data

Immunocytochemistry/ Immunofluorescence - Anti-CK1 epsilon antibody [1/Casein Kinase Iε] (AB302638)

Immunofluorescent analysis of 100% methanol-fixed, 0.1% TritonX-100 permeabilized PC-12 (rat adrenal gland pheochromocytoma small irregularly shaped cells) cells labelling CK1 epsilon with ab302638 at 1/100 9.9ug/ml dilution, followed by ab150117 Goat Anti-Mouse IgG H&L (Alexa Fluor® 488) preadsorbed antibody at 1/1000 2 ug/ml dilution (Green). Confocal image showing mainly cytoplasmic staining in PC-12 cell line is observed. ab179513 Anti-beta Tubulin rabbit monoclonal antibody was used to counterstain tubulin at 1/200 10ug/ml dilution (Red). The Nuclear counterstain was DAPI (Blue). Secondary antibody only control : Secondary antibody is ab150117 Goat Anti-Mouse IgG H&L (Alexa Fluor® 488) preadsorbed at 1/1000 2 ug/ml dilution.

Western blot - Anti-CK1 epsilon antibody [1/Casein Kinase Iε] (AB302638)
  • WB

Lab

Western blot - Anti-CK1 epsilon antibody [1/Casein Kinase Iε] (AB302638)

Western blot : Anti-CK1 epsilon antibody [1/Casein Kinase Iepsilon] ab302638 staining at 1/1000 dilution, shown in green; Rabbit anti-ACTN4 ab108198 loading control staining at 1/20000 dilution, shown in magenta. A band was observed at 47 kDa in Wild-type A549 cell lysates with no signal observed at this size in CSNK1E knockout A549 cell line. To generate this image, samples were run on an SDS-PAGE gel then transferred onto a nitrocellulose membrane. Membranes were blocked in 5pc Milk in TBS-0.1 % Tween® 20 (TBS-T) before incubation with primary antibodies overnight at 4 °C. Blots were washed four times in TBS-T, incubated with secondary antibodies for 1 h at room temperature, washed again four times then imaged. Secondary antibodies used were Goat anti-Mouse 800CW and Goat anti-Rabbit 680RD at 1/20,000 dilution.

All lanes:

Western blot - Anti-CK1 epsilon antibody [1/Casein Kinase Iε] (ab302638) at 1/1000 dilution

Lane 1:

Wild-type A549 at 20 µg

Lane 2:

CSNK1E knockout A549 at 20 µg

Lane 3:

Jurkat at 20 µg

Lane 4:

PC-3 at 20 µg

Secondary

All lanes:

Goat anti-Mouse 800CW & Goat anti-Rabbit 680RD at 1/20000 dilution

Predicted band size: 47 kDa

Observed band size: 47 kDa,110 kDa

false

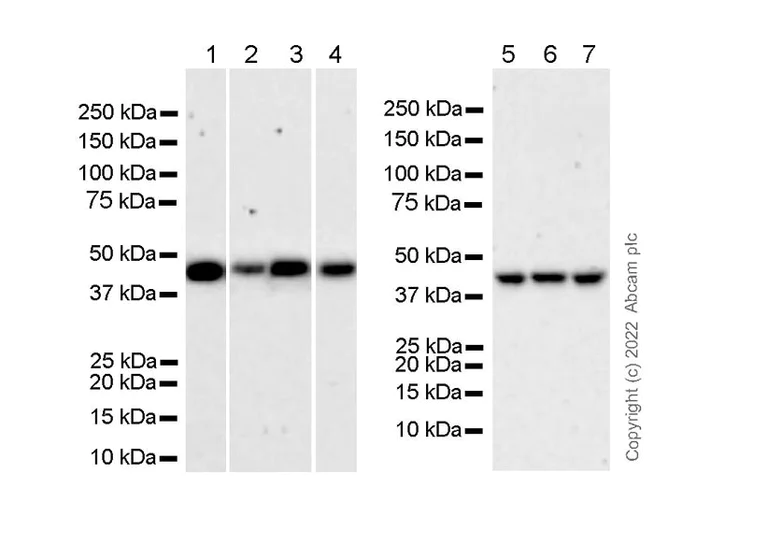
Western blot - Anti-CK1 epsilon antibody [1/Casein Kinase Iε] (AB302638)
  • WB

Supplier Data

Western blot - Anti-CK1 epsilon antibody [1/Casein Kinase Iε] (AB302638)

WB also tested the KO lysated side by side with published Rabmab (ab270997), please find the in internal WB. Blocking and diluting buffer and concentration : 5% NFDM/TBST Exposure time : 3 minutes

All lanes:

Western blot - Anti-CK1 epsilon antibody [1/Casein Kinase Iε] (ab302638) at 1/1000 dilution

Lane 1:

293T (human embryonic kidney epithelial cell), whole cell lysate

Lane 2:

HeLa (human cervix adenocarcinoma epithelial cell), whole cell lysate

Lane 3:

U-87 MG (human glioblastoma-astrocytoma epithelial cell), whole cell lysate

Lane 4:

C2C12 (mouse myoblasts), whole cell lysate

Lane 5:

RAW264.7 (mouse Abelson murine leukemia virus-induced tumor macrophage), whole cell lysate

Lane 6:

PC-12 (rat adrenal gland pheochromocytoma), whole cell lysate

Lane 7:

NIH/3T3 (mouse embryonic fibroblast), whole cell lysate

Secondary

All lanes:

Peroxidase-Conjugated Goat anti-Mouse IgG (H+L) at 1/10000 dilution

false

Exposure time: 3min

Key facts

Host species

Mouse

Clonality

Monoclonal

Clone number

1-Casein Kinase Iε

Isotype

IgG1

Carrier free

No

Reacts with

Human, Mouse, Rat

Applications

ICC/IF, WB

applications

Immunogen

The exact immunogen used to generate this antibody is proprietary information.

Reactivity data

{ "title": "Reactivity Data", "filters": { "stats": ["", "Species", "Dilution Info", "Notes"], "tabs": { "all-applications": {"fullname" : "All Applications", "shortname": "All Applications"}, "WB" : {"fullname" : "Western blot", "shortname":"WB"}, "IHCP" : {"fullname" : "Immunohistochemistry (Formalin/PFA-fixed paraffin-embedded sections)", "shortname":"IHC-P"}, "ICCIF" : {"fullname" : "Immunocytochemistry/ Immunofluorescence", "shortname":"ICC/IF"}, "IP" : {"fullname" : "Immunoprecipitation", "shortname":"IP"} }, "product-promise": { "all": "all", "testedAndGuaranteed": "tested", "guaranteed": "expected", "predicted": "predicted", "notRecommended": "not-recommended" } }, "values": { "Human": { "WB-species-checked": "testedAndGuaranteed", "WB-species-dilution-info": "1/1000", "WB-species-notes": "<p></p>", "IHCP-species-checked": "notRecommended", "IHCP-species-dilution-info": "", "IHCP-species-notes": "<p></p>", "ICCIF-species-checked": "testedAndGuaranteed", "ICCIF-species-dilution-info": "1/100", "ICCIF-species-notes": "<p></p>", "IP-species-checked": "notRecommended", "IP-species-dilution-info": "", "IP-species-notes": "<p></p>" }, "Mouse": { "WB-species-checked": "testedAndGuaranteed", "WB-species-dilution-info": "1/1000", "WB-species-notes": "<p></p>", "IHCP-species-checked": "notRecommended", "IHCP-species-dilution-info": "", "IHCP-species-notes": "<p></p>", "ICCIF-species-checked": "testedAndGuaranteed", "ICCIF-species-dilution-info": "1/100", "ICCIF-species-notes": "<p></p>", "IP-species-checked": "notRecommended", "IP-species-dilution-info": "", "IP-species-notes": "<p></p>" }, "Rat": { "WB-species-checked": "testedAndGuaranteed", "WB-species-dilution-info": "1/1000", "WB-species-notes": "<p></p>", "IHCP-species-checked": "notRecommended", "IHCP-species-dilution-info": "", "IHCP-species-notes": "<p></p>", "ICCIF-species-checked": "testedAndGuaranteed", "ICCIF-species-dilution-info": "1/100", "ICCIF-species-notes": "<p></p>", "IP-species-checked": "notRecommended", "IP-species-dilution-info": "", "IP-species-notes": "<p></p>" } } }

Product details

What are the advantages of a recombinant monoclonal antibody?
This product is a recombinant monoclonal antibody, which offers several advantages including:

  • - High batch-to-batch consistency and reproducibility
  • - Improved sensitivity and specificity
  • - Long-term security of supply
  • - Animal-free batch production

For more information, read more on recombinant antibodies.

Want a custom formulation?
This antibody clone is manufactured by Abcam. If you require a custom buffer formulation or conjugation for your experiments, please contact orders@abcam.com

Properties and storage information

Form
Liquid
Purification technique
Affinity purification Protein A
Storage buffer
pH: 7.2 - 7.4 Preservative: 0.01% Sodium azide Constituents: PBS, 40% Glycerol (glycerin, glycerine), 0.05% BSA
Shipped at conditions
Blue Ice
Appropriate short-term storage duration
1-2 weeks
Appropriate short-term storage conditions
+4°C
Appropriate long-term storage conditions
-20°C
Aliquoting information
Upon delivery aliquot
Storage information
Avoid freeze / thaw cycle

Product protocols

For this product, it's our understanding that no specific protocols are required. You can visit:

Target data

Casein kinases are operationally defined by their preferential utilization of acidic proteins such as caseins as substrates (Probable). Participates in Wnt signaling (PubMed : 12556519, PubMed : 23413191). Phosphorylates DVL1 (PubMed : 12556519). Phosphorylates DVL2 (PubMed : 23413191). Phosphorylates NEDD9/HEF1 (By similarity). Central component of the circadian clock (PubMed : 16790549). In balance with PP1, determines the circadian period length, through the regulation of the speed and rhythmicity of PER1 and PER2 phosphorylation (PubMed : 15917222, PubMed : 16790549). Controls PER1 and PER2 nuclear transport and degradation (By similarity). Inhibits cytokine-induced granuloytic differentiation (PubMed : 15070676).
See full target information CSNK1E

Publications (4)

Recent publications for all applications. Explore the full list and refine your search

Cancer drug resistance (Alhambra, Calif.) 8:26 PubMed40521302

2025

PER2 expression and cellular localization play a critical role in tumor aggressiveness and drug resistance in an model of hepatocellular carcinoma.

Applications

Unspecified application

Species

Unspecified reactive species

Mariarosaria Negri,Feliciana Amatrudo,Donatella Paola Provvisiero,Roberta Patalano,Giovanna Trinchese,Fabiano Cimmino,Cristina de Angelis,Chiara Simeoli,Renata Simona Auriemma,Maria Pina Mollica,Annamaria Colao,Rosario Pivonello,Claudia Pivonello

BMC cardiovascular disorders 24:19 PubMed38172743

2024

Mechanisms by which silencing long-stranded noncoding RNA KCNQ1OT1 alleviates myocardial ischemia/reperfusion injury (MI/RI)-induced cardiac injury via miR-377-3p/HMOX1.

Applications

Unspecified application

Species

Unspecified reactive species

Tongcai Tan,Liang Tu,Yanmei Yu,MinJie He,Xingchao Zhou,Lei Yang

Aging 15:10193-10212 PubMed37787983

2023

CK1ε drives osteogenic differentiation of bone marrow mesenchymal stem cells via activating Wnt/β-catenin pathway.

Applications

Unspecified application

Species

Unspecified reactive species

Zhentang Yu,Xijia Jiang,Jianjian Yin,Lei Han,Chengwei Xiong,Zhennan Huo,Jie Xu,Jingjing Shang,Kun Xi,Luming Nong,Yong Huang,Xindie Zhou

Cancer cell international 23:46 PubMed36927769

2023

BRF2 is mediated by microRNA-409-3p and promotes invasion and metastasis of HCC through the Wnt/β-catenin pathway.

Applications

Unspecified application

Species

Unspecified reactive species

Jian-Hua Chang,Bo-Wen Xu,Di Shen,Wei Zhao,Yue Wang,Jia-Liang Liu,Guang-Xiao Meng,Guang-Zhen Li,Zong-Li Zhang
View all publications

Product promise

We are committed to supporting your work with high-quality reagents, and we're here for you every step of the way. In the unlikely event that one of our products does not perform as expected, you're protected by our Product Promise.
For full details, please see our Terms & Conditions

Please note: All products are 'FOR RESEARCH USE ONLY. NOT FOR USE IN DIAGNOSTIC OR THERAPEUTIC PROCEDURES'.

For licensing inquiries, please contact partnerships@abcam.com