JavaScript is disabled in your browser. Please enable JavaScript to view this website.
AB70110

Anti-CK1 epsilon antibody

Be the first to review this product! Submit a review

|

(2 Publications)

Rabbit Polyclonal CK1 epsilon antibody. Suitable for WB, IHC-P, ICC/IF and reacts with Human samples. Cited in 2 publications. Immunogen corresponding to Synthetic Peptide within Human Casein kinase I isoform epsilon.

View Alternative Names

Casein kinase I isoform epsilon, CKI-epsilon, CKIe, CSNK1E

3 Images
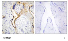
Immunohistochemistry (Formalin/PFA-fixed paraffin-embedded sections) - Anti-CK1 epsilon antibody (AB70110)
  • IHC-P

Unknown

Immunohistochemistry (Formalin/PFA-fixed paraffin-embedded sections) - Anti-CK1 epsilon antibody (AB70110)

ab70110 at 1/50 dilution staining CK1 epsilon in human placenta by Immunohistochemistry, Paraffin-embedded tissue, in the absence or presence of the immunising peptide

Immunocytochemistry/ Immunofluorescence - Anti-CK1 epsilon antibody (AB70110)
  • ICC/IF

Unknown

Immunocytochemistry/ Immunofluorescence - Anti-CK1 epsilon antibody (AB70110)

ab70110 at 1/500 dilution staining CK1 epsilon in HeLa cells by Immunofluorescence, in the absence or presence of the immunising peptide.

Western blot - Anti-CK1 epsilon antibody (AB70110)
  • WB

Unknown

Western blot - Anti-CK1 epsilon antibody (AB70110)

All lanes:

Western blot - Anti-CK1 epsilon antibody (ab70110) at 1/500 dilution

Lane 1:

LOVO cell extracts at 30 µg

Lane 2:

LOVO cell extracts at 30 µg with immunising peptide

Predicted band size: 47 kDa

Observed band size: 48 kDa

false

Key facts

Host species

Rabbit

Clonality

Polyclonal

Isotype

IgG

Carrier free

No

Reacts with

Human

Applications

ICC/IF, IHC-P, WB

applications

Immunogen

Synthetic Peptide within Human Casein kinase I isoform epsilon. The exact immunogen used to generate this antibody is proprietary information.

P49674

Reactivity data

{ "title": "Reactivity Data", "filters": { "stats": ["", "Species", "Dilution Info", "Notes"], "tabs": { "all-applications": {"fullname" : "All Applications", "shortname": "All Applications"}, "WB" : {"fullname" : "Western blot", "shortname":"WB"}, "IHCP" : {"fullname" : "Immunohistochemistry (Formalin/PFA-fixed paraffin-embedded sections)", "shortname":"IHC-P"}, "ICCIF" : {"fullname" : "Immunocytochemistry/ Immunofluorescence", "shortname":"ICC/IF"} }, "product-promise": { "all": "all", "testedAndGuaranteed": "tested", "guaranteed": "expected", "predicted": "predicted", "notRecommended": "not-recommended" } }, "values": { "Human": { "WB-species-checked": "testedAndGuaranteed", "WB-species-dilution-info": "1/500 - 1/1000", "WB-species-notes": "<p></p>", "IHCP-species-checked": "testedAndGuaranteed", "IHCP-species-dilution-info": "1/50 - 1/100", "IHCP-species-notes": "<p></p>", "ICCIF-species-checked": "testedAndGuaranteed", "ICCIF-species-dilution-info": "1/500 - 1/1000", "ICCIF-species-notes": "<p></p>" }, "Mouse": { "WB-species-checked": "predicted", "WB-species-dilution-info": "", "WB-species-notes": "", "IHCP-species-checked": "predicted", "IHCP-species-dilution-info": "", "IHCP-species-notes": "", "ICCIF-species-checked": "predicted", "ICCIF-species-dilution-info": "", "ICCIF-species-notes": "" } } }

Properties and storage information

Form
Liquid
Purification technique
Affinity purification Immunogen
Purification notes
ab70110 was affinity-purified from rabbit antiserum by affinity-chromatography using epitope-specific immunogen.
Storage buffer
pH: 7.4 Preservative: 0.02% Sodium azide Constituents: PBS, 50% Glycerol (glycerin, glycerine), 0.87% Sodium chloride
Shipped at conditions
Blue Ice
Appropriate short-term storage conditions
+4°C
Appropriate long-term storage conditions
-20°C
Storage information
Stable for 12 months at -20°C

Product protocols

For this product, it's our understanding that no specific protocols are required. You can visit:

Target data

Casein kinases are operationally defined by their preferential utilization of acidic proteins such as caseins as substrates (Probable). Participates in Wnt signaling (PubMed : 12556519, PubMed : 23413191). Phosphorylates DVL1 (PubMed : 12556519). Phosphorylates DVL2 (PubMed : 23413191). Phosphorylates NEDD9/HEF1 (By similarity). Central component of the circadian clock (PubMed : 16790549). In balance with PP1, determines the circadian period length, through the regulation of the speed and rhythmicity of PER1 and PER2 phosphorylation (PubMed : 15917222, PubMed : 16790549). Controls PER1 and PER2 nuclear transport and degradation (By similarity). Inhibits cytokine-induced granuloytic differentiation (PubMed : 15070676).
See full target information Casein kinase I isoform epsilon

Publications (2)

Recent publications for all applications. Explore the full list and refine your search

Oncotarget 6:30343-56 PubMed26327509

2015

High casein kinase 1 epsilon levels are correlated with better prognosis in subsets of patients with breast cancer.

Applications

IHC

Species

Unspecified reactive species

Jose Luis Lopez-Guerra,Eva M Verdugo-Sivianes,Daniel Otero-Albiol,Begoña Vieites,Maria J Ortiz-Gordillo,Jose M De León,Juan M Praena-Fernandez,Juan J Marin,Amancio Carnero

PloS one 6:e25382 PubMed21966515

2011

The de-ubiquitinylating enzyme, USP2, is associated with the circadian clockwork and regulates its sensitivity to light.

Applications

WB

Species

Human

Heather Dehlin Scoma,Monica Humby,Geetha Yadav,Qingjiong Zhang,Joseph Fogerty,Joseph C Besharse
View all publications

Product promise

We are committed to supporting your work with high-quality reagents, and we're here for you every step of the way. In the unlikely event that one of our products does not perform as expected, you're protected by our Product Promise.
For full details, please see our Terms & Conditions

Please note: All products are 'FOR RESEARCH USE ONLY. NOT FOR USE IN DIAGNOSTIC OR THERAPEUTIC PROCEDURES'.

For licensing inquiries, please contact partnerships@abcam.com