JavaScript is disabled in your browser. Please enable JavaScript to view this website.
AB198188

Anti-CKAP2/LB1 antibody

Be the first to review this product! Submit a review

|

(2 Publications)

Rabbit Polyclonal CKAP2/LB1 antibody. Suitable for IHC-P and reacts with Human samples. Cited in 2 publications. Immunogen corresponding to Recombinant Full Length Protein corresponding to Human CKAP2.

View Alternative Names

LB1, TMAP, CKAP2, Cytoskeleton-associated protein 2, CTCL tumor antigen se20-10, Tumor- and microtubule-associated protein

2 Images
Immunohistochemistry (Formalin/PFA-fixed paraffin-embedded sections) - Anti-CKAP2/LB1 antibody (AB198188)
  • IHC-P

Supplier Data

Immunohistochemistry (Formalin/PFA-fixed paraffin-embedded sections) - Anti-CKAP2/LB1 antibody (AB198188)

Immunohistochemical analysis of formalin fixed paraffin embedded human tonsil tissue labeling CKAP2/LB1 with ab198188 at 1/70

Immunohistochemistry (Formalin/PFA-fixed paraffin-embedded sections) - Anti-CKAP2/LB1 antibody (AB198188)
  • IHC-P

Supplier Data

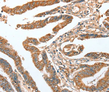
Immunohistochemistry (Formalin/PFA-fixed paraffin-embedded sections) - Anti-CKAP2/LB1 antibody (AB198188)

Immunohistochemical analysis of formalin fixed paraffin embedded human colon cancer labeling CKAP2/LB1 with ab198188 at 1/70

Key facts

Host species

Rabbit

Clonality

Polyclonal

Isotype

IgG

Carrier free

No

Reacts with

Human

Applications

IHC-P

applications

Immunogen

Recombinant Full Length Protein corresponding to Human CKAP2.

Q8WWK9

Reactivity data

{ "title": "Reactivity Data", "filters": { "stats": ["", "Species", "Dilution Info", "Notes"], "tabs": { "all-applications": {"fullname" : "All Applications", "shortname": "All Applications"}, "IHCP" : {"fullname" : "Immunohistochemistry (Formalin/PFA-fixed paraffin-embedded sections)", "shortname":"IHC-P"} }, "product-promise": { "all": "all", "testedAndGuaranteed": "tested", "guaranteed": "expected", "predicted": "predicted", "notRecommended": "not-recommended" } }, "values": { "Human": { "IHCP-species-checked": "testedAndGuaranteed", "IHCP-species-dilution-info": "1/50 - 1/200", "IHCP-species-notes": "<p></p>" } } }

Properties and storage information

Form
Liquid
Purification technique
Affinity purification Immunogen
Storage buffer
pH: 7.4 Preservative: 0.05% Sodium azide Constituents: PBS, 50% Glycerol (glycerin, glycerine)
Shipped at conditions
Blue Ice
Appropriate short-term storage duration
1-2 weeks
Appropriate short-term storage conditions
+4°C
Appropriate long-term storage conditions
-20°C
Aliquoting information
Upon delivery aliquot
Storage information
Avoid freeze / thaw cycle

Product protocols

For this product, it's our understanding that no specific protocols are required. You can visit:

Target data

Possesses microtubule stabilizing properties. Involved in regulating aneuploidy, cell cycling, and cell death in a p53/TP53-dependent manner (By similarity).
See full target information CKAP2

Publications (2)

Recent publications for all applications. Explore the full list and refine your search

Bioengineered 12:8217-8232 PubMed34596006

2021

LncRNA DARS-AS1 aggravates the growth and metastasis of hepatocellular carcinoma via regulating the miR-3200-5p-Cytoskeleton associated protein 2 (CKAP2) axis.

Applications

Unspecified application

Species

Unspecified reactive species

Yanqing Feng,Gang Wei,Linfei Zhang,Huadong Zhou,Wei Wang,Peng Guo,Caitao Cheng,Lei Ji,Qinghe Cai,Yong Feng,Huahua Tu

Scientific reports 7:2117 PubMed28522860

2017

Involvement of FAK-ERK2 signaling pathway in CKAP2-induced proliferation and motility in cervical carcinoma cell lines.

Applications

IHC-P

Species

Human

Qi-Sang Guo,Yu Song,Ke-Qin Hua,Shu-Jun Gao
View all publications

Product promise

We are committed to supporting your work with high-quality reagents, and we're here for you every step of the way. In the unlikely event that one of our products does not perform as expected, you're protected by our Product Promise.
For full details, please see our Terms & Conditions

Please note: All products are 'FOR RESEARCH USE ONLY. NOT FOR USE IN DIAGNOSTIC OR THERAPEUTIC PROCEDURES'.

For licensing inquiries, please contact partnerships@abcam.com