JavaScript is disabled in your browser. Please enable JavaScript to view this website.
AB302539

Anti-CKAP4 antibody [EPR25713-62]

  • BOND RX™ Validated
  • 20ul selling size
  • RabMAb
  • Recombinant
  • What is this?

Be the first to review this product! Submit a review

|

(0 Publication)

Anti-CKAP4 antibody [EPR25713-62] is a Rabbit Monoclonal antibody that is used in CKAP4 Flow Cytometry (Intra), ICC/IF, IHC-P, IP, Western Blot. Suitable for Human, Mouse, Rat samples.

Cytoskeleton Associated Protein 4 (CKAP4) is a type II transmembrane protein which functions as a cell surface-activated receptor in the innate immune system. It has been implicated in a wide variety of biological functions, including cell proliferation, migration and differentiation. CKAP4 has also been descripted as a pro-tumor molecule and CKAP4 levels are significantly altered in different types of cancer. Additionally studies have shown that CKAP-4 is differentially expressed in mild, severe and critical cases of COVID-19, suggesting it may be associated with disease severity.

View Alternative Names

Cytoskeleton-associated protein 4, 63-kDa cytoskeleton-linking membrane protein, Climp-63, p63, CKAP4

15 Images
Immunocytochemistry/ Immunofluorescence - Anti-CKAP4 antibody [EPR25713-62] (AB302539)
  • ICC/IF

Supplier Data

Immunocytochemistry/ Immunofluorescence - Anti-CKAP4 antibody [EPR25713-62] (AB302539)

Immunofluorescent analysis of 4% Paraformaldehyde-fixed, 0.1% TritonX-100 permeabilized HeLa (human cervix adenocarcinoma epithelial cell) cells labelling CKAP4 with ab302539 at 1/50 (10.18 ug/ml) dilution, followed by ab150081 Goat Anti-Rabbit IgG H&L (Alexa Fluor® 488) preadsorbed antibody at 1/1000 2ug/mL dilution (Green). Confocal image showing cytoplasmic staining in HeLa cell line is observed. ab195889 Anti-alpha Tubulin mouse monoclonal antibody - Microtubule Marker (Alexa Fluor® 594) was used to counterstain tubulin at 1/200 2.5ug/ml dilution (Red). The Nuclear counterstain was DAPI (Blue). Secondary antibody only control : Secondary antibody is ab150081 Goat Anti-Rabbit IgG H&L (Alexa Fluor® 488) preadsorbed at 1/1000 2ug/mL dilution.

Immunohistochemistry (Formalin/PFA-fixed paraffin-embedded sections) - Anti-CKAP4 antibody [EPR25713-62] (AB302539)
  • IHC-P

Supplier Data

Immunohistochemistry (Formalin/PFA-fixed paraffin-embedded sections) - Anti-CKAP4 antibody [EPR25713-62] (AB302539)

Immunohistochemical analysis of paraffin-embedded Human lung cancer tissue labeling CKAP4 with ab302539 at 1/2000 (0.255 ug/ml) followed by a ready to use LeicaDS9800 (Bond™ Polymer Refine Detection) was used. Positive staining on human lung cancer (PMID : 29751934). The section was incubated with ab302539 for 30 mins at room temperature.The immunostaining was performed on a Leica Biosystems BOND® RX instrument Counterstained with Hematoxylin. Secondary antibody only control : Secondary antibody is a ready to use LeicaDS9800 (Bond™ Polymer Refine Detection) was used. Heat mediated antigen retrieval with Tris-EDTA buffer (pH 9.0, epitope retrieval solution2) for 20 mins

Flow Cytometry (Intracellular) - Anti-CKAP4 antibody [EPR25713-62] (AB302539)
  • Flow Cyt (Intra)

Supplier Data

Flow Cytometry (Intracellular) - Anti-CKAP4 antibody [EPR25713-62] (AB302539)

Flow cytometric analysis of 4% paraformaldehyde fixed 90% methanol permeabilized HeLa (human cervix adenocarcinoma epithelial cell) cells labelling CKAP4 with ab302539 at 1/500 dilution (0.1ug) (Red) (Red) compared with a Rabbit monoclonal IgG (ab172730) (Black) isotype control and an unlabelled control (cells without incubation with primary antibody and secondary antibody) (Blue). A Goat Anti-Rabbit IgG (Alexa Fluor® 488, ab150081) at 1/2000 dilution was used as the secondary antibody.

Immunohistochemistry (Formalin/PFA-fixed paraffin-embedded sections) - Anti-CKAP4 antibody [EPR25713-62] (AB302539)
  • IHC-P

Supplier Data

Immunohistochemistry (Formalin/PFA-fixed paraffin-embedded sections) - Anti-CKAP4 antibody [EPR25713-62] (AB302539)

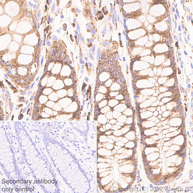
Immunohistochemical analysis of paraffin-embedded Human colon tissue labeling CKAP4 with ab302539 at 1/2000 (0.255 ug/ml) followed by a ready to use LeicaDS9800 (Bond™ Polymer Refine Detection) was used. Positive staining on human colon. The section was incubated with ab302539 for 30 mins at room temperature.The immunostaining was performed on a Leica Biosystems BOND® RX instrument Counterstained with Hematoxylin. Secondary antibody only control : Secondary antibody is a ready to use LeicaDS9800 (Bond™ Polymer Refine Detection) was used. Heat mediated antigen retrieval with Tris-EDTA buffer (pH 9.0, epitope retrieval solution2) for 20 mins

Immunohistochemistry (Formalin/PFA-fixed paraffin-embedded sections) - Anti-CKAP4 antibody [EPR25713-62] (AB302539)
  • IHC-P

Supplier Data

Immunohistochemistry (Formalin/PFA-fixed paraffin-embedded sections) - Anti-CKAP4 antibody [EPR25713-62] (AB302539)

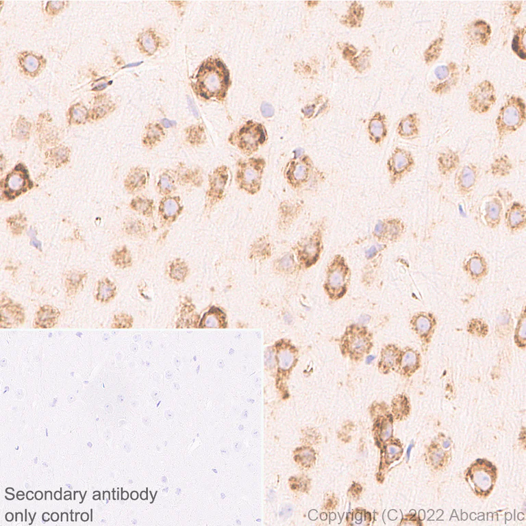
Immunohistochemical analysis of paraffin-embedded Human cerebral corte tissue labeling CKAP4 with ab302539 at 1/2000 (0.255 ug/ml) followed by a ready to use LeicaDS9800 (Bond™ Polymer Refine Detection) was used. Positive staining on human cerebral cortex. The section was incubated with ab302539 for 30 mins at room temperature.The immunostaining was performed on a Leica Biosystems BOND® RX instrument Counterstained with Hematoxylin. Secondary antibody only control : Secondary antibody is a ready to use LeicaDS9800 (Bond™ Polymer Refine Detection) was used. Heat mediated antigen retrieval with Tris-EDTA buffer (pH 9.0, epitope retrieval solution2) for 20 mins

Immunoprecipitation - Anti-CKAP4 antibody [EPR25713-62] (AB302539)
  • IP

Supplier Data

Immunoprecipitation - Anti-CKAP4 antibody [EPR25713-62] (AB302539)

CKAP4 was immunoprecipitated from 0.35 mg HeLa (human cervix adenocarcinoma epithelial cell) whole cell lysate with ab302539 at 1/30 dilution (2 µg in 0.35mg lysates). Western blot was performed on the immunoprecipitate using ab302539 at 1/1000 dilution. VeriBlot for IP secondary antibody (HRP) (ab131366) was used at 1/5000 dilution.

Lane 1 : HeLa (human cervix adenocarcinoma epithelial cell) whole cell lysate 10 µg (Inset)
Lane 2 : ab302539 IP in HeLa whole cell lysate
Lane 3 : Rabbit monoclonal IgG (ab172730) instead of ab302539 in HeLa whole cell lysate

Blocking and dilution buffer and concentration : 5% NFDM/TBST.

All lanes:

Immunoprecipitation - Anti-CKAP4 antibody [EPR25713-62] (ab302539) at 1/30 dilution

Secondary

All lanes:

Immunoprecipitation - VeriBlot for IP Detection Reagent (HRP) (<a href='/en-us/products/reagents/veriblot-for-ip-detection-reagent-hrp-ab131366'>ab131366</a>) at 1/5000 dilution

Predicted band size: 66 kDa

Observed band size: 63 kDa

false

Exposure time: 3s

Immunocytochemistry/ Immunofluorescence - Anti-CKAP4 antibody [EPR25713-62] (AB302539)
  • ICC/IF

Supplier Data

Immunocytochemistry/ Immunofluorescence - Anti-CKAP4 antibody [EPR25713-62] (AB302539)

Immunofluorescent analysis of 4% Paraformaldehyde-fixed, 0.1% TritonX-100 permeabilized NIH/3T3 (mouse embryonic fibroblast) cells labelling CKAP4 with ab302539 at 1/50 (10.18 ug/ml) dilution, followed by ab150081 Goat Anti-Rabbit IgG H&L (Alexa Fluor® 488) preadsorbed antibody at 1/1000 2ug/mL dilution (Green). Confocal image showing cytoplasmic staining in NIH/3T3 cell line is observed. ab195889 Anti-alpha Tubulin mouse monoclonal antibody - Microtubule Marker (Alexa Fluor® 594) was used to counterstain tubulin at 1/200 2.5ug/ml dilution (Red). The Nuclear counterstain was DAPI (Blue). Secondary antibody only control : Secondary antibody is ab150081 Goat Anti-Rabbit IgG H&L (Alexa Fluor® 488) preadsorbed at 1/1000 2ug/mL dilution.

Immunohistochemistry (Formalin/PFA-fixed paraffin-embedded sections) - Anti-CKAP4 antibody [EPR25713-62] (AB302539)
  • IHC-P

Supplier Data

Immunohistochemistry (Formalin/PFA-fixed paraffin-embedded sections) - Anti-CKAP4 antibody [EPR25713-62] (AB302539)

Immunohistochemical analysis of paraffin-embedded Mouse cerebral corte tissue labeling CKAP4 with ab302539 at 1/2000 (0.255 ug/ml) followed by a ready to use LeicaDS9800 (Bond™ Polymer Refine Detection) was used. Positive staining on mouse cerebral cortex. The section was incubated with ab302539 for 30 mins at room temperature.The immunostaining was performed on a Leica Biosystems BOND® RX instrument Counterstained with Hematoxylin. Secondary antibody only control : Secondary antibody is a ready to use LeicaDS9800 (Bond™ Polymer Refine Detection) was used. Heat mediated antigen retrieval with Tris-EDTA buffer (pH 9.0, epitope retrieval solution2) for 20 mins

Immunohistochemistry (Formalin/PFA-fixed paraffin-embedded sections) - Anti-CKAP4 antibody [EPR25713-62] (AB302539)
  • IHC-P

Supplier Data

Immunohistochemistry (Formalin/PFA-fixed paraffin-embedded sections) - Anti-CKAP4 antibody [EPR25713-62] (AB302539)

Immunohistochemical analysis of paraffin-embedded Rat cerebral cortex tissue labeling CKAP4 with ab302539 at 1/2000 (0.255 ug/ml) followed by a ready to use LeicaDS9800 (Bond™ Polymer Refine Detection) was used. Positive staining on rat cerebral cortex. The section was incubated with ab302539 for 30 mins at room temperature.The immunostaining was performed on a Leica Biosystems BOND® RX instrument Counterstained with Hematoxylin. Secondary antibody only control : Secondary antibody is a ready to use LeicaDS9800 (Bond™ Polymer Refine Detection) was used. Heat mediated antigen retrieval with Tris-EDTA buffer (pH 9.0, epitope retrieval solution2) for 20 mins

Flow Cytometry (Intracellular) - Anti-CKAP4 antibody [EPR25713-62] (AB302539)
  • Flow Cyt (Intra)

Supplier Data

Flow Cytometry (Intracellular) - Anti-CKAP4 antibody [EPR25713-62] (AB302539)

Flow cytometric analysis of 4% paraformaldehyde fixed 90% methanol permeabilized NIH/3T3 (mouse embryonic fibroblast) cells labelling CKAP4 with ab302539 at 1/500 dilution (0.1ug) (Red) (Red) compared with a Rabbit monoclonal IgG (ab172730) (Black) isotype control and an unlabelled control (cells without incubation with primary antibody and secondary antibody) (Blue). A Goat Anti-Rabbit IgG (Alexa Fluor® 488, ab150081) at 1/2000 dilution was used as the secondary antibody.

Immunoprecipitation - Anti-CKAP4 antibody [EPR25713-62] (AB302539)
  • IP

Supplier Data

Immunoprecipitation - Anti-CKAP4 antibody [EPR25713-62] (AB302539)

CKAP4 was immunoprecipitated from 0.35 mg (mouse embryonic fibroblast), whole cell lysate with ab302539 at 1/30 dilution (2 μg in 0.35mg lysates). Western blot was performed on the immunoprecipitate using ab302539 at 1/1000 dilution. VeriBlot for IP secondary antibody(HRP) (ab131366) was used at 1/5000 dilution.

Lane 1 : NIH/3T3 (mouse embryonic fibroblast), whole cell lysate 10 μg (Inset)
Lane 2 : ab302539 IP in NIH/3T3 whole cell lysate
Lane 3 : Rabbit monoclonal IgG (ab172730) instead of ab302539 in NIH/3T3 whole cell lysate

Blocking and dilution buffer and concentration : 5% NFDM/TBST.

All lanes:

Immunoprecipitation - Anti-CKAP4 antibody [EPR25713-62] (ab302539) at 1/30 dilution

All lanes:

NIH/3T3 (mouse embryonic fibroblast), whole cell lysate

Secondary

All lanes:

Immunoprecipitation - VeriBlot for IP Detection Reagent (HRP) (<a href='/en-us/products/reagents/veriblot-for-ip-detection-reagent-hrp-ab131366'>ab131366</a>) at 1/5000 dilution

Predicted band size: 66 kDa

Observed band size: 63 kDa

false

Exposure time: 3s

Western blot - Anti-CKAP4 antibody [EPR25713-62] (AB302539)
  • WB

Supplier Data

Western blot - Anti-CKAP4 antibody [EPR25713-62] (AB302539)

Blocking and diluting buffer and concentration : 5% NFDM/TBST

All lanes:

Western blot - Anti-CKAP4 antibody [EPR25713-62] (ab302539) at 1/1000 dilution

Lane 1:

HeLa (human cervix adenocarcinoma epithelial cell) transfected with scrambled siRNA control, whole cell lysate 20 µg

Lane 2:

HeLa transfected with siRNA specifically targeting cytoskeleton-associated protein 4, whole cell lysate 20 µg

Secondary

All lanes:

Western blot - Goat Anti-Rabbit IgG H&L (HRP) (<a href='/en-us/products/secondary-antibodies/goat-rabbit-igg-h-l-hrp-ab97051'>ab97051</a>) at 1/100000 dilution

Observed band size: 63 kDa

false

Exposure time: 48s

Western blot - Anti-CKAP4 antibody [EPR25713-62] (AB302539)
  • WB

Supplier Data

Western blot - Anti-CKAP4 antibody [EPR25713-62] (AB302539)

Blocking and diluting buffer and concentration : 5% NFDM/TBST Lysates were freshly made and used immediately.

All lanes:

Western blot - Anti-CKAP4 antibody [EPR25713-62] (ab302539) at 1/1000 dilution

Lane 1:

NIH/3T3 (mouse embryonic fibroblast), whole cell lysate 20 µg

Lane 2:

PC-12 (rat adrenal gland pheochromocytoma), whole cell lysate 20 µg

Lane 3:

A549 (human lu carcinoma epithelial cell), whole cell lysate 20 µg

Secondary

All lanes:

Western blot - Goat Anti-Rabbit IgG H&L (HRP) (<a href='/en-us/products/secondary-antibodies/goat-rabbit-igg-h-l-hrp-ab97051'>ab97051</a>) at 1/100000 dilution

Observed band size: 60 kDa,63 kDa

false

Exposure time: 10s

Western blot - Anti-CKAP4 antibody [EPR25713-62] (AB302539)
  • WB

Supplier Data

Western blot - Anti-CKAP4 antibody [EPR25713-62] (AB302539)

Blocking and diluting buffer and concentration : 5% NFDM/TBST Low expression : human skeletal muscle (HPA database). The band beneath the target band (63 kDa) is likely to be degraded target fragments.

All lanes:

Western blot - Anti-CKAP4 antibody [EPR25713-62] (ab302539) at 1/1000 dilution

Lane 1:

Human colon tissue lysate 20 µg

Lane 2:

Human colon cancer tissue lysate 20 µg

Lane 3:

Human lu cancer tissue lysate 20 µg

Lane 4:

Human skeletal muscle lysate 20 µg

Secondary

All lanes:

Goat Anti-Rabbit IgG (HRP) with minimal cross-reactivity with human IgG at 1/5000 dilution

false

Exposure time: 3s

Western blot - Anti-CKAP4 antibody [EPR25713-62] (AB302539)
  • WB

Supplier Data

Western blot - Anti-CKAP4 antibody [EPR25713-62] (AB302539)

Blocking and diluting buffer and concentration : 5% NFDM/TBST The band beneath the target band (63 kDa) is likely to be degraded target fragments.

All lanes:

Western blot - Anti-CKAP4 antibody [EPR25713-62] (ab302539) at 1/1000 dilution

Lane 1:

Caco-2 (human colorectal adenocarcinoma epithelial cell), whole cell lysate 20 µg

Lane 2:

3T3-L1 (mouse embryonic fibroblast), whole cell lysate 20 µg

Lane 3:

Mouse pancreas cancer tissue lysate 20 µg

Secondary

All lanes:

Western blot - Goat Anti-Rabbit IgG H&L (HRP) (<a href='/en-us/products/secondary-antibodies/goat-rabbit-igg-h-l-hrp-ab97051'>ab97051</a>) at 1/100000 dilution

Observed band size: 63 kDa

false

Exposure time: 10s

  • Carrier free

    Anti-CKAP4 antibody [EPR25713-62] (BSA and Azide free)

Key facts

Host species

Rabbit

Clonality

Monoclonal

Clone number

EPR25713-62

Isotype

IgG

Carrier free

No

Reacts with

Human, Mouse, Rat

Applications

IP, Flow Cyt (Intra), WB, ICC/IF, IHC-P

applications

Immunogen

The exact immunogen used to generate this antibody is proprietary information.

Reactivity data

{ "title": "Reactivity Data", "filters": { "stats": ["", "Species", "Dilution Info", "Notes"], "tabs": { "all-applications": {"fullname" : "All Applications", "shortname": "All Applications"}, "WB" : {"fullname" : "Western blot", "shortname":"WB"}, "IHCP" : {"fullname" : "Immunohistochemistry (Formalin/PFA-fixed paraffin-embedded sections)", "shortname":"IHC-P"}, "ICCIF" : {"fullname" : "Immunocytochemistry/ Immunofluorescence", "shortname":"ICC/IF"}, "FlowCytIntra" : {"fullname" : "Flow Cytometry (Intracellular)", "shortname":"Flow Cyt (Intra)"}, "IP" : {"fullname" : "Immunoprecipitation", "shortname":"IP"} }, "product-promise": { "all": "all", "testedAndGuaranteed": "tested", "guaranteed": "expected", "predicted": "predicted", "notRecommended": "not-recommended" } }, "values": { "Human": { "WB-species-checked": "testedAndGuaranteed", "WB-species-dilution-info": "1/1000", "WB-species-notes": "<p></p>", "IHCP-species-checked": "testedAndGuaranteed", "IHCP-species-dilution-info": "1/2000", "IHCP-species-notes": "<p></p> Perform heat-mediated antigen retrieval with Tris/EDTA buffer pH 9.0 before commencing with IHC staining protocol.", "ICCIF-species-checked": "testedAndGuaranteed", "ICCIF-species-dilution-info": "1/50", "ICCIF-species-notes": "<p></p>", "FlowCytIntra-species-checked": "testedAndGuaranteed", "FlowCytIntra-species-dilution-info": "1/500", "FlowCytIntra-species-notes": "<p></p>", "IP-species-checked": "testedAndGuaranteed", "IP-species-dilution-info": "1/30", "IP-species-notes": "<p></p>" }, "Mouse": { "WB-species-checked": "testedAndGuaranteed", "WB-species-dilution-info": "1/1000", "WB-species-notes": "<p></p>", "IHCP-species-checked": "testedAndGuaranteed", "IHCP-species-dilution-info": "1/2000", "IHCP-species-notes": "<p></p> Perform heat-mediated antigen retrieval with Tris/EDTA buffer pH 9.0 before commencing with IHC staining protocol.", "ICCIF-species-checked": "testedAndGuaranteed", "ICCIF-species-dilution-info": "1/50", "ICCIF-species-notes": "<p></p>", "FlowCytIntra-species-checked": "testedAndGuaranteed", "FlowCytIntra-species-dilution-info": "1/500", "FlowCytIntra-species-notes": "<p></p>", "IP-species-checked": "testedAndGuaranteed", "IP-species-dilution-info": "1/30", "IP-species-notes": "<p></p>" }, "Rat": { "WB-species-checked": "testedAndGuaranteed", "WB-species-dilution-info": "1/1000", "WB-species-notes": "<p></p>", "IHCP-species-checked": "testedAndGuaranteed", "IHCP-species-dilution-info": "1/2000", "IHCP-species-notes": "<p></p> Perform heat-mediated antigen retrieval with Tris/EDTA buffer pH 9.0 before commencing with IHC staining protocol.", "ICCIF-species-checked": "guaranteed", "ICCIF-species-dilution-info": "", "ICCIF-species-notes": "", "FlowCytIntra-species-checked": "guaranteed", "FlowCytIntra-species-dilution-info": "", "FlowCytIntra-species-notes": "", "IP-species-checked": "guaranteed", "IP-species-dilution-info": "", "IP-species-notes": "" } } }

Product details

Want a custom formulation?
This antibody clone is manufactured by Abcam. If you require a custom buffer formulation or conjugation for your experiments, please contact orders@abcam.com

Patented technology
Our RabMAb® technology is a patented hybridoma-based technology for making rabbit monoclonal antibodies. For details on our patents, please refer to RabMAb® patents.

What are the advantages of a recombinant monoclonal antibody?
This product is a recombinant monoclonal antibody, which offers several advantages including:

  • - High batch-to-batch consistency and reproducibility
  • - Improved sensitivity and specificity
  • - Long-term security of supply
  • - Animal-free batch production

For more information, read more on recombinant antibodies.

Properties and storage information

Form
Liquid
Purification technique
Affinity purification Protein A
Storage buffer
pH: 7.2 - 7.4 Preservative: 0.01% Sodium azide Constituents: PBS, 40% Glycerol (glycerin, glycerine), 0.05% BSA
Shipped at conditions
Blue Ice
Appropriate short-term storage duration
1-2 weeks
Appropriate short-term storage conditions
+4°C
Appropriate long-term storage conditions
-20°C
Aliquoting information
Upon delivery aliquot
Storage information
Avoid freeze / thaw cycle

Product protocols

For this product, it's our understanding that no specific protocols are required. You can visit:

Target data

Mediates the anchoring of the endoplasmic reticulum to microtubules.. High-affinity epithelial cell surface receptor for the FZD8-related low molecular weight sialoglycopeptide APF/antiproliferative factor. Mediates the APF antiproliferative signaling within cells.
See full target information CKAP4

Product promise

We are committed to supporting your work with high-quality reagents, and we're here for you every step of the way. In the unlikely event that one of our products does not perform as expected, you're protected by our Product Promise.
For full details, please see our Terms & Conditions

Please note: All products are 'FOR RESEARCH USE ONLY. NOT FOR USE IN DIAGNOSTIC OR THERAPEUTIC PROCEDURES'.

For licensing inquiries, please contact partnerships@abcam.com