JavaScript is disabled in your browser. Please enable JavaScript to view this website.
AB108620

Anti-CLASP1 antibody [EPR3409]

2

(1 Review)

|

(14 Publications)

Rabbit Recombinant Monoclonal CLASP1 antibody. Suitable for IHC-P, WB, ICC/IF, Flow Cyt (Intra) and reacts with Mouse, Human, Rat samples. Cited in 14 publications.

View Alternative Names

KIAA0622, MAST1, CLASP1, CLIP-associating protein 1, Cytoplasmic linker-associated protein 1, Multiple asters homolog 1, Protein Orbit homolog 1, hOrbit1

11 Images
Immunohistochemistry (Formalin/PFA-fixed paraffin-embedded sections) - Anti-CLASP1 antibody [EPR3409] (AB108620)
  • IHC-P

Lab

Immunohistochemistry (Formalin/PFA-fixed paraffin-embedded sections) - Anti-CLASP1 antibody [EPR3409] (AB108620)

Immunohistochemistry (Formalin/PFA-fixed paraffin-embedded sections) analysis of human cerebral cortex tissue labelling CLASP1 with purified ab108620 at 1/250. Heat mediated antigen retrieval was performed using Tris/EDTA buffer pH 9. ab97051, a HRP-conjugated goat anti-rabbit IgG (H+L) was used as the secondary antibody (1/500). Negative control using PBS instead of primary antibody. Counterstained with hematoxylin.

Flow Cytometry (Intracellular) - Anti-CLASP1 antibody [EPR3409] (AB108620)
  • Flow Cyt (Intra)

Unknown

Flow Cytometry (Intracellular) - Anti-CLASP1 antibody [EPR3409] (AB108620)

Overlay histogram showing HeLa cells stained with unpurified ab108620 (red line). The cells were fixed with 80% methanol (5 min) and then permeabilized with 0.1% PBS-Tween for 20 min. The cells were then incubated in 1x PBS / 10% normal goat serum / 0.3M glycine to block non-specific protein-protein interactions followed by the antibody (ab108620, 1/1000 dilution) for 30 min at 22°C. The secondary antibody used was Alexa Fluorr® 488 goat anti-rabbit IgG (H&L) (ab150077) at 1/2000 dilution for 30 min at 22°C. Isotype control antibody (black line) was rabbit IgG (monoclonal) (0.1μg/1x106 cells) used under the same conditions. Unlabelled sample (blue line) was also used as a control. Acquisition of >5,000 events were collected using a 20mW Argon ion laser (488nm) and 525/30 bandpass filter.

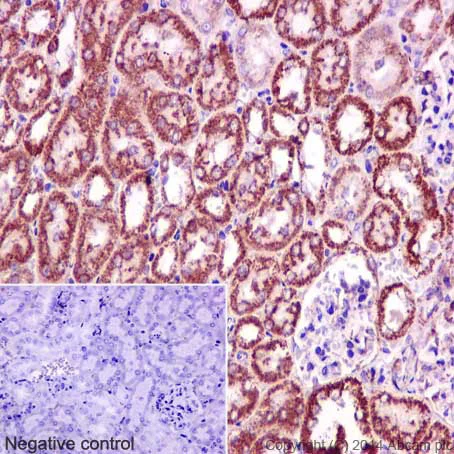
Immunohistochemistry (Formalin/PFA-fixed paraffin-embedded sections) - Anti-CLASP1 antibody [EPR3409] (AB108620)
  • IHC-P

Unknown

Immunohistochemistry (Formalin/PFA-fixed paraffin-embedded sections) - Anti-CLASP1 antibody [EPR3409] (AB108620)

Immunohistochemistry (Formalin/PFA-fixed paraffin-embedded sections) analysis of human kidney tissue labelling CLASP1 with unpurified ab108620 at 1/250.

Perform heat mediated antigen retrieval with citrate buffer pH 6 before commencing with IHC staining protocol.

Immunocytochemistry/ Immunofluorescence - Anti-CLASP1 antibody [EPR3409] (AB108620)
  • ICC/IF

Lab

Immunocytochemistry/ Immunofluorescence - Anti-CLASP1 antibody [EPR3409] (AB108620)

Immunocytochemistry/Immunofluorescence analysis of HeLa cells labelling CLASP1 (green) with ab108620 at 1/100. Cells were fixed with 4% paraformaldehyde and permeabilized with 0.1% Triton X-100. ab150077, an Alexa Fluor® 488-conjugated goat anti-rabbit IgG (1/500) was used as the secondary antibody. DAPI (blue) was used as the nuclear counterstain.

Control : primary antibody (1/100) and secondary antibody, ab150120 Alexa Fluor® 594-conjugated goat anti-mouse IgG (1/500).

Flow Cytometry (Intracellular) - Anti-CLASP1 antibody [EPR3409] (AB108620)
  • Flow Cyt (Intra)

Lab

Flow Cytometry (Intracellular) - Anti-CLASP1 antibody [EPR3409] (AB108620)

Intracellular Flow Cytometry analysis of HeLa cells labelling CLASP1 with purified ab108620 at 1/50 (red). Cells were fixed with 80% methanol. A FITC-conjugated goat anti-rabbit IgG (1/150) was used as the secondary antibody. Black - Isotype control, rabbit monoclonal IgG. Blue - Unlabelled control, cells without incubation with primary and secondary antibodies.

Immunocytochemistry/ Immunofluorescence - Anti-CLASP1 antibody [EPR3409] (AB108620)
  • ICC/IF

Unknown

Immunocytochemistry/ Immunofluorescence - Anti-CLASP1 antibody [EPR3409] (AB108620)

Immunocytochemistry/Immunofluorescence analysis of HeLa cells labelling CLASP1 with unpurified ab108620 at 1/100.

Immunohistochemistry (Formalin/PFA-fixed paraffin-embedded sections) - Anti-CLASP1 antibody [EPR3409] (AB108620)
  • IHC-P

Lab

Immunohistochemistry (Formalin/PFA-fixed paraffin-embedded sections) - Anti-CLASP1 antibody [EPR3409] (AB108620)

Immunohistochemistry (Formalin/PFA-fixed paraffin-embedded sections) analysis of mouse kidney tissue labeling CLASP1 with purified ab108620 at 1/250. Heat mediated antigen retrieval was performed using Tris/EDTA buffer pH 9. ab97051, a HRP-conjugated goat anti-rabbit IgG (H+L) was used as the secondary antibody (1/500). Negative control using PBS instead of primary antibody. Counterstained with hematoxylin.

Western blot - Anti-CLASP1 antibody [EPR3409] (AB108620)
  • WB

Lab

Western blot - Anti-CLASP1 antibody [EPR3409] (AB108620)

Lanes 1 - 4 : Merged signal (red and green). Green - ab108620 observed at 169 kDa. Red - loading control, ab130007, observed at 130 kDa.

ab108620 was shown to recognize CLASP1 in wild-type HAP1 cells as signal was lost at the expected MW in CLASP1 knockout cells. Additional cross-reactive bands were observed in the wild-type and knockout cells. Wild-type and CLASP1 knockout samples were subjected to SDS-PAGE. ab108620 and ab130007 (Mouse anti-Vinculin loading control) were incubated overnight at 4°C at 1/10000 dilution and 1/20000 dilution respectively. Blots were developed with Goat anti-Rabbit IgG H&L (IRDye® 800CW) preabsorbed ab216773 and Goat anti-Mouse IgG H&L (IRDye® 680RD) preabsorbed ab216776 secondary antibodies at 1/20000 dilution for 1 hour at room temperature before imaging.

All lanes:

Western blot - Anti-CLASP1 antibody [EPR3409] (ab108620) at 1/10000 dilution

Lane 1:

Wild-type HAP1 whole cell lysate at 20 µg

Lane 2:

CLASP1 knockout HAP1 whole cell lysate at 20 µg

Lane 3:

HeLa whole cell lysate at 20 µg

Lane 4:

Jurkat whole cell lysate at 20 µg

Predicted band size: 169 kDa

false

Western blot - Anti-CLASP1 antibody [EPR3409] (AB108620)
  • WB

Lab

Western blot - Anti-CLASP1 antibody [EPR3409] (AB108620)

Blocking buffer and concentration : 5% NFDM/TBST.

Diluting buffer and concentration : 5% NFDM /TBST.

All lanes:

Western blot - Anti-CLASP1 antibody [EPR3409] (ab108620) at 1/20000 dilution

Lane 1:

U87-MG cell lysate at 10 µg

Lane 2:

HeLa cell lysate at 10 µg

Secondary

All lanes:

Peroxidase-conjugated goat anti-rabbit IgG (H+L) at 1/1000 dilution

Predicted band size: 169 kDa

Observed band size: 160 kDa

false

Western blot - Anti-CLASP1 antibody [EPR3409] (AB108620)
  • WB

Lab

Western blot - Anti-CLASP1 antibody [EPR3409] (AB108620)

Blocking buffer and concentration : 5% NFDM/TBST.

Diluting buffer and concentration : 5% NFDM /TBST.

All lanes:

Western blot - Anti-CLASP1 antibody [EPR3409] (ab108620) at 1/50000 dilution

All lanes:

Rat brain tissue lysate at 10 µg

Secondary

All lanes:

Peroxidase-conjugated goat anti-rabbit IgG (H+L) at 1/1000 dilution

Predicted band size: 169 kDa

Observed band size: 160 kDa

false

Western blot - Anti-CLASP1 antibody [EPR3409] (AB108620)
  • WB

Unknown

Western blot - Anti-CLASP1 antibody [EPR3409] (AB108620)

All lanes:

Western blot - Anti-CLASP1 antibody [EPR3409] (ab108620) at 1/10000 dilution

Lane 1:

T47-D cell lysate at 10 µg

Lane 2:

C6 cell lysate at 10 µg

Predicted band size: 169 kDa

false

  • Carrier free

    Anti-CLASP1 antibody [EPR3409] - BSA and Azide free

Key facts

Host species

Rabbit

Clonality

Monoclonal

Clone number

EPR3409

Isotype

IgG

Carrier free

No

Reacts with

Mouse, Rat, Human

Applications

ICC/IF, Flow Cyt (Intra), WB, IHC-P

applications

Immunogen

The exact immunogen used to generate this antibody is proprietary information.

Reactivity data

{ "title": "Reactivity Data", "filters": { "stats": ["", "Species", "Dilution Info", "Notes"], "tabs": { "all-applications": {"fullname" : "All Applications", "shortname": "All Applications"}, "IHCP" : {"fullname" : "Immunohistochemistry (Formalin/PFA-fixed paraffin-embedded sections)", "shortname":"IHC-P"}, "IP" : {"fullname" : "Immunoprecipitation", "shortname":"IP"}, "WB" : {"fullname" : "Western blot", "shortname":"WB"}, "ICCIF" : {"fullname" : "Immunocytochemistry/ Immunofluorescence", "shortname":"ICC/IF"}, "FlowCytIntra" : {"fullname" : "Flow Cytometry (Intracellular)", "shortname":"Flow Cyt (Intra)"} }, "product-promise": { "all": "all", "testedAndGuaranteed": "tested", "guaranteed": "expected", "predicted": "predicted", "notRecommended": "not-recommended" } }, "values": { "Human": { "IHCP-species-checked": "testedAndGuaranteed", "IHCP-species-dilution-info": "1/250 - 1/500", "IHCP-species-notes": "<p></p> Perform heat-mediated antigen retrieval with citrate buffer pH 6 before commencing with IHC staining protocol.", "IP-species-checked": "notRecommended", "IP-species-dilution-info": "1/10 - 1/100", "IP-species-notes": "<p></p>", "WB-species-checked": "testedAndGuaranteed", "WB-species-dilution-info": "1/5000 - 1/50000", "WB-species-notes": "<p></p>", "ICCIF-species-checked": "testedAndGuaranteed", "ICCIF-species-dilution-info": "1/100", "ICCIF-species-notes": "<p></p>", "FlowCytIntra-species-checked": "testedAndGuaranteed", "FlowCytIntra-species-dilution-info": "1/100", "FlowCytIntra-species-notes": "<p><a href='/en-us/products/primary-antibodies/rabbit-igg-monoclonal-epr25a-isotype-control-ab172730'>ab172730</a> - Rabbit monoclonal IgG, is suitable for use as an isotype control with this antibody.</p>" }, "Mouse": { "IHCP-species-checked": "testedAndGuaranteed", "IHCP-species-dilution-info": "1/250 - 1/500", "IHCP-species-notes": "<p></p> Perform heat-mediated antigen retrieval with citrate buffer pH 6 before commencing with IHC staining protocol.", "IP-species-checked": "notRecommended", "IP-species-dilution-info": "1/10 - 1/100", "IP-species-notes": "<p></p>", "WB-species-checked": "guaranteed", "WB-species-dilution-info": "", "WB-species-notes": "", "ICCIF-species-checked": "guaranteed", "ICCIF-species-dilution-info": "", "ICCIF-species-notes": "", "FlowCytIntra-species-checked": "guaranteed", "FlowCytIntra-species-dilution-info": "", "FlowCytIntra-species-notes": "" }, "Rat": { "IHCP-species-checked": "guaranteed", "IHCP-species-dilution-info": "", "IHCP-species-notes": "", "IP-species-checked": "notRecommended", "IP-species-dilution-info": "1/10 - 1/100", "IP-species-notes": "<p></p>", "WB-species-checked": "testedAndGuaranteed", "WB-species-dilution-info": "1/5000 - 1/50000", "WB-species-notes": "<p></p>", "ICCIF-species-checked": "guaranteed", "ICCIF-species-dilution-info": "", "ICCIF-species-notes": "", "FlowCytIntra-species-checked": "guaranteed", "FlowCytIntra-species-dilution-info": "", "FlowCytIntra-species-notes": "" } } }

Product details

Patented technology
Our RabMAb® technology is a patented hybridoma-based technology for making rabbit monoclonal antibodies. For details on our patents, please refer to RabMAb® patents.

What are the advantages of a recombinant monoclonal antibody?
This product is a recombinant monoclonal antibody, which offers several advantages including:

  • - High batch-to-batch consistency and reproducibility
  • - Improved sensitivity and specificity
  • - Long-term security of supply
  • - Animal-free batch production

For more information, read more on recombinant antibodies.

Properties and storage information

Form
Liquid
Purification technique
Affinity purification Protein A
Storage buffer
pH: 7.2 - 7.4 Preservative: 0.01% Sodium azide Constituents: PBS, 40% Glycerol (glycerin, glycerine), 0.05% BSA
Shipped at conditions
Blue Ice
Appropriate short-term storage duration
1-2 weeks
Appropriate short-term storage conditions
+4°C
Appropriate long-term storage conditions
-20°C
Aliquoting information
Upon delivery aliquot
Storage information
Stable for 12 months at -20°C

Product protocols

For this product, it's our understanding that no specific protocols are required. You can visit:

Target data

Microtubule plus-end tracking protein that promotes the stabilization of dynamic microtubules. Involved in the nucleation of noncentrosomal microtubules originating from the trans-Golgi network (TGN). Required for the polarization of the cytoplasmic microtubule arrays in migrating cells towards the leading edge of the cell. May act at the cell cortex to enhance the frequency of rescue of depolymerizing microtubules by attaching their plus-ends to cortical platforms composed of ERC1 and PHLDB2. This cortical microtubule stabilizing activity is regulated at least in part by phosphatidylinositol 3-kinase signaling. Also performs a similar stabilizing function at the kinetochore which is essential for the bipolar alignment of chromosomes on the mitotic spindle.
See full target information CLASP1

Publications (14)

Recent publications for all applications. Explore the full list and refine your search

Cells 13: PubMed39404373

2024

AAMP and MTSS1 Are Novel Negative Regulators of Endothelial Barrier Function Identified in a Proteomics Screen.

Applications

Unspecified application

Species

Unspecified reactive species

Fabienne Podieh,Max C Overboom,Jaco C Knol,Sander R Piersma,Richard Goeij-de Haas,Thang V Pham,Connie R Jimenez,Peter L Hordijk

Nature communications 15:6509 PubMed39095354

2024

CLASP-mediated competitive binding in protein condensates directs microtubule growth.

Applications

Unspecified application

Species

Unspecified reactive species

Xuanyan Jia,Leishu Lin,Siqi Guo,Lulu Zhou,Gaowei Jin,Jiayuan Dong,Jinman Xiao,Xingqiao Xie,Yiming Li,Sicong He,Zhiyi Wei,Cong Yu

Current biology : CB 33:3522-3528.e7 PubMed37516114

2023

An unconventional TOG domain is required for CLASP localization.

Applications

Unspecified application

Species

Unspecified reactive species

Nelly Gareil,Alison Gervais,Nicolas Macaisne,Guillaume Chevreux,Julie C Canman,Jessica Andreani,Julien Dumont

Frontiers in cell and developmental biology 9:778887 PubMed34869381

2021

The Beta-Tubulin Isotype TUBB6 Controls Microtubule and Actin Dynamics in Osteoclasts.

Applications

Unspecified application

Species

Unspecified reactive species

Justine Maurin,Anne Morel,David Guérit,Julien Cau,Serge Urbach,Anne Blangy,Guillaume Bompard

The Journal of cell biology 220: PubMed34779859

2021

Microtubule-associated proteins promote microtubule generation in the absence of γ-tubulin in human colon cancer cells.

Applications

Unspecified application

Species

Unspecified reactive species

Kenta Tsuchiya,Gohta Goshima

Frontiers in cellular neuroscience 15:662035 PubMed34025359

2021

Integrative Cell Type-Specific Multi-Omics Approaches Reveal Impaired Programs of Glial Cell Differentiation in Mouse Culture Models of DM1.

Applications

Unspecified application

Species

Unspecified reactive species

Anchel González-Barriga,Louison Lallemant,Diana M Dincã,Sandra O Braz,Hélène Polvèche,Paul Magneron,Cédric Pionneau,Aline Huguet-Lachon,Jean-Baptiste Claude,Cerina Chhuon,Ida Chiara Guerrera,Cyril F Bourgeois,Didier Auboeuf,Geneviève Gourdon,Mário Gomes-Pereira

eLife 10: PubMed33899739

2021

DIAPH3 deficiency links microtubules to mitotic errors, defective neurogenesis, and brain dysfunction.

Applications

Unspecified application

Species

Unspecified reactive species

Eva On-Chai Lau,Devid Damiani,Georges Chehade,Nuria Ruiz-Reig,Rana Saade,Yves Jossin,Mohamed Aittaleb,Olivier Schakman,Nicolas Tajeddine,Philippe Gailly,Fadel Tissir

PloS one 14:e0225727 PubMed31794565

2019

The KLDpT activation loop motif is critical for MARK kinase activity.

Applications

Unspecified application

Species

Unspecified reactive species

Tim Sonntag,James J Moresco,John R Yates,Marc Montminy

Developmental cell 45:83-100.e7 PubMed29634939

2018

The HCMV Assembly Compartment Is a Dynamic Golgi-Derived MTOC that Controls Nuclear Rotation and Virus Spread.

Applications

Unspecified application

Species

Unspecified reactive species

Dean J Procter,Avik Banerjee,Masatoshi Nukui,Kevin Kruse,Vadim Gaponenko,Eain A Murphy,Yulia Komarova,Derek Walsh

Journal of cellular physiology 231:120-9 PubMed26032086

2015

MicroRNAs Provide Feedback Regulation of Epithelial-Mesenchymal Transition Induced by Growth Factors.

Applications

Unspecified application

Species

Unspecified reactive species

Zailong Qin,Wei He,Jingqun Tang,Qiurong Ye,Wei Dang,Yuanjun Lu,Jia Wang,Guiyuan Li,Qun Yan,Jian Ma
View all publications

Product promise

We are committed to supporting your work with high-quality reagents, and we're here for you every step of the way. In the unlikely event that one of our products does not perform as expected, you're protected by our Product Promise.
For full details, please see our Terms & Conditions

Please note: All products are 'FOR RESEARCH USE ONLY. NOT FOR USE IN DIAGNOSTIC OR THERAPEUTIC PROCEDURES'.

For licensing inquiries, please contact partnerships@abcam.com