JavaScript is disabled in your browser. Please enable JavaScript to view this website.
AB240172

Anti-Clathrin heavy chain antibody [EPR12235(B)] - BSA and Azide free

Be the first to review this product! Submit a review

|

(1 Publication)

Rabbit Recombinant Monoclonal Clathrin heavy chain antibody. Carrier free. Suitable for IHC-P, ICC/IF, WB and reacts with Human, Mouse samples. Cited in 1 publication.

View Alternative Names

CLH17, CLTCL2, KIAA0034, CLTC, Clathrin heavy chain 1, Clathrin heavy chain on chromosome 17, CLH-17

2 Images
Immunohistochemistry (Formalin/PFA-fixed paraffin-embedded sections) - Anti-Clathrin heavy chain antibody [EPR12235(B)] - BSA and Azide free (AB240172)
  • IHC-P

Supplier Data

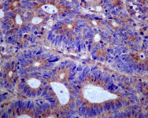
Immunohistochemistry (Formalin/PFA-fixed paraffin-embedded sections) - Anti-Clathrin heavy chain antibody [EPR12235(B)] - BSA and Azide free (AB240172)

Immunohistochemical analysis of paraffin-embedded Human colonic carcinoma tissue labeling Clathrin heavy chain with ab172958 at 1/50 dilution

This data was developed using the same antibody clone in a different buffer formulation containing PBS, BSA, glycerol, and sodium azide (ab172958).

Perform heat mediated antigen retrieval before commencing with IHC staining protocol.

Immunohistochemistry (Formalin/PFA-fixed paraffin-embedded sections) - Anti-Clathrin heavy chain antibody [EPR12235(B)] - BSA and Azide free (AB240172)
  • IHC-P

Supplier Data

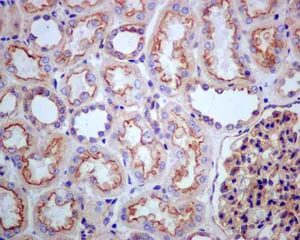
Immunohistochemistry (Formalin/PFA-fixed paraffin-embedded sections) - Anti-Clathrin heavy chain antibody [EPR12235(B)] - BSA and Azide free (AB240172)

Immunohistochemical analysis of paraffin-embedded human kidney tissue labeling Clathrin heavy chain with ab172958 at 1/50 dilution

This data was developed using the same antibody clone in a different buffer formulation containing PBS, BSA, glycerol, and sodium azide (ab172958).

Perform heat mediated antigen retrieval before commencing with IHC staining protocol.

  • Unconjugated

    Anti-Clathrin heavy chain antibody [EPR12235(B)]

  • 665 Alexa Fluor® 647

    Alexa Fluor® 647 Anti-Clathrin heavy chain antibody [EPR12235(B)]

  • 519 Alexa Fluor® 488

    Alexa Fluor® 488 Anti-Clathrin heavy chain antibody [EPR12235(B)]

  • 565 Alexa Fluor® 555

    Alexa Fluor® 555 Anti-Clathrin heavy chain antibody [EPR12235(B)]

  • 578 PE

    PE Anti-Clathrin heavy chain antibody [EPR12235(B)]

  • 660 APC

    APC Anti-Clathrin heavy chain antibody [EPR12235(B)]

  • 617 Alexa Fluor® 594

    Alexa Fluor® 594 Anti-Clathrin heavy chain antibody [EPR12235(B)]

  • 775 Alexa Fluor® 750

    Alexa Fluor® 750 Anti-Clathrin heavy chain antibody [EPR12235(B)]

Key facts

Host species

Rabbit

Clonality

Monoclonal

Clone number

EPR12235(B)

Isotype

IgG

Carrier free

Yes

Reacts with

Mouse, Human

Applications

ICC/IF, WB, IHC-P

applications

Immunogen

The exact immunogen used to generate this antibody is proprietary information.

Reactivity data

{ "title": "Reactivity Data", "filters": { "stats": ["", "Species", "Dilution Info", "Notes"], "tabs": { "all-applications": {"fullname" : "All Applications", "shortname": "All Applications"}, "IHCP" : {"fullname" : "Immunohistochemistry (Formalin/PFA-fixed paraffin-embedded sections)", "shortname":"IHC-P"}, "ICCIF" : {"fullname" : "Immunocytochemistry/ Immunofluorescence", "shortname":"ICC/IF"}, "IP" : {"fullname" : "Immunoprecipitation", "shortname":"IP"}, "FlowCyt" : {"fullname" : "Flow Cytometry", "shortname":"Flow Cyt"}, "WB" : {"fullname" : "Western blot", "shortname":"WB"} }, "product-promise": { "all": "all", "testedAndGuaranteed": "tested", "guaranteed": "expected", "predicted": "predicted", "notRecommended": "not-recommended" } }, "values": { "Human": { "IHCP-species-checked": "testedAndGuaranteed", "IHCP-species-dilution-info": "", "IHCP-species-notes": "<p></p>", "ICCIF-species-checked": "testedAndGuaranteed", "ICCIF-species-dilution-info": "", "ICCIF-species-notes": "<p></p>", "IP-species-checked": "notRecommended", "IP-species-dilution-info": "", "IP-species-notes": "<p></p>", "FlowCyt-species-checked": "notRecommended", "FlowCyt-species-dilution-info": "", "FlowCyt-species-notes": "<p></p>", "WB-species-checked": "testedAndGuaranteed", "WB-species-dilution-info": "", "WB-species-notes": "<p></p>" }, "Mouse": { "IHCP-species-checked": "guaranteed", "IHCP-species-dilution-info": "", "IHCP-species-notes": "", "ICCIF-species-checked": "testedAndGuaranteed", "ICCIF-species-dilution-info": "", "ICCIF-species-notes": "<p></p>", "IP-species-checked": "notRecommended", "IP-species-dilution-info": "", "IP-species-notes": "<p></p>", "FlowCyt-species-checked": "notRecommended", "FlowCyt-species-dilution-info": "", "FlowCyt-species-notes": "<p></p>", "WB-species-checked": "guaranteed", "WB-species-dilution-info": "", "WB-species-notes": "" }, "Rat": { "IHCP-species-checked": "predicted", "IHCP-species-dilution-info": "", "IHCP-species-notes": "", "ICCIF-species-checked": "predicted", "ICCIF-species-dilution-info": "", "ICCIF-species-notes": "", "IP-species-checked": "notRecommended", "IP-species-dilution-info": "", "IP-species-notes": "", "FlowCyt-species-checked": "notRecommended", "FlowCyt-species-dilution-info": "", "FlowCyt-species-notes": "", "WB-species-checked": "predicted", "WB-species-dilution-info": "", "WB-species-notes": "" }, "Cow": { "IHCP-species-checked": "predicted", "IHCP-species-dilution-info": "", "IHCP-species-notes": "", "ICCIF-species-checked": "predicted", "ICCIF-species-dilution-info": "", "ICCIF-species-notes": "", "IP-species-checked": "notRecommended", "IP-species-dilution-info": "", "IP-species-notes": "", "FlowCyt-species-checked": "notRecommended", "FlowCyt-species-dilution-info": "", "FlowCyt-species-notes": "", "WB-species-checked": "predicted", "WB-species-dilution-info": "", "WB-species-notes": "" } } }

Product details

ab240172 is the carrier-free version of ab172958.

Patented technology
Our RabMAb® technology is a patented hybridoma-based technology for making rabbit monoclonal antibodies. For details on our patents, please refer to RabMAb® patents.

What are the advantages of a recombinant monoclonal antibody?
This product is a recombinant monoclonal antibody, which offers several advantages including:

  • - High batch-to-batch consistency and reproducibility
  • - Improved sensitivity and specificity
  • - Long-term security of supply
  • - Animal-free batch production

For more information, read more on recombinant antibodies.

Conjugation ready
Our carrier-free antibodies are typically supplied in a PBS-only formulation, purified and free of BSA, sodium azide and glycerol. This conjugation-ready format is designed for use with fluorochromes, metal isotopes, oligonucleotides, and enzymes, which makes them ideal for antibody labelling, functional and cell-based assays, flow-based assays (e.g. mass cytometry) and Multiplex Imaging applications.

Use our conjugation kits for antibody conjugates that are ready-to-use in as little as 20 minutes with 1 minute hands-on-time and 100% antibody recovery: available for fluorescent dyes, HRP, biotin and gold.

Compatibility
This product is compatible with the Maxpar® Antibody Labeling Kit from Fluidigm, without the need for antibody preparation. Maxpar® is a trademark of Fluidigm Canada Inc.

Properties and storage information

Form
Liquid
Purification technique
Affinity purification Protein A
Storage buffer
pH: 7.2 - 7.4 Constituents: PBS
Shipped at conditions
Blue Ice
Appropriate short-term storage conditions
+4°C
Appropriate long-term storage conditions
+4°C
Storage information
Do Not Freeze

Supplementary information

This supplementary information is collated from multiple sources and compiled automatically.

The Clathrin heavy chain also known as clathrin heavy chain 1 or heavy chain kDa is a fundamental component of the clathrin protein complex with a molecular weight commonly around 180 kDa. This chain-like protein mechanically assembles into a triskelion shape consisting of three heavy chains and three light chains allowing it to form a lattice structure that coats vesicles. Clathrin heavy chain is expressed widely especially in cells with high endocytic and vesicle transport activity like neuronal and epithelial cells. It plays a pivotal role in cellular trafficking by driving the formation of clathrin-coated pits and vesicles.
Biological function summary

Functions of the clathrin heavy chain include mediating the endocytosis of receptors and other membrane proteins contributing to intracellular sorting and vesicle trafficking. It is a part of the clathrin triskelion complex which is essential for maintaining proper cellular homeostasis. The clathrin lattice structure dynamically assembles and disassembles to facilitate the transport of molecules from the plasma membrane to the endosomes influencing endocytic and post-Golgi network trafficking processes. This protein's ability to form complexes enables efficient cargo selection and vesicle scission.

Pathways

Clathrin-mediated endocytosis serves as a critical pathway for internalizing substances and is fundamental in the regulation of signal transduction pathways and receptor recycling. The clathrin heavy chain interacts closely with proteins such as adaptins and dynamin in these pathways to ensure accurate vesicle budding and trafficking. In synaptic vesicle recycling clathrin collaborates with proteins like synaptotagmins to manage neurotransmitter release maintaining synaptic transmission and neuronal function.

Disruptions in clathrin heavy chain function can lead to conditions such as neurodegenerative diseases and cancer. For instance alterations in clathrin-mediated endocytosis can affect receptor trafficking and signaling contributing to Alzheimer’s disease. Similarly aberrant clathrin function can influence cell cycle control and apoptosis pathways involved in cancer progression. In cancer the regulation of the epidermal growth factor receptor (EGFR) by clathrin-dependent endocytosis highlights the complex interplay between clathrin and oncogenic signaling pathways.

Product protocols

For this product, it's our understanding that no specific protocols are required. You can visit:

Target data

Clathrin is the major protein of the polyhedral coat of coated pits and vesicles. Two different adapter protein complexes link the clathrin lattice either to the plasma membrane or to the trans-Golgi network. Acts as a component of the TACC3/ch-TOG/clathrin complex proposed to contribute to stabilization of kinetochore fibers of the mitotic spindle by acting as inter-microtubule bridge (PubMed : 15858577, PubMed : 16968737, PubMed : 21297582). The TACC3/ch-TOG/clathrin complex is required for the maintenance of kinetochore fiber tension (PubMed : 23532825). Plays a role in early autophagosome formation (PubMed : 20639872). Interaction with DNAJC6 mediates the recruitment of HSPA8 to the clathrin lattice and creates local destabilization of the lattice promoting uncoating (By similarity).
See full target information CLTC

Publications (1)

Recent publications for all applications. Explore the full list and refine your search

Frontiers in pharmacology 13:860898 PubMed35401227

2022

Perftoran Inhibits Hypoxia-Associated Resistance in Lung Cancer Cells to Carboplatin.

Applications

Unspecified application

Species

Unspecified reactive species

Amira M Gamal-Eldeen,Amani A Alrehaili,Afaf Alharthi,Bassem M Raafat
View all publications

Product promise

We are committed to supporting your work with high-quality reagents, and we're here for you every step of the way. In the unlikely event that one of our products does not perform as expected, you're protected by our Product Promise.
For full details, please see our Terms & Conditions

Please note: All products are 'FOR RESEARCH USE ONLY. NOT FOR USE IN DIAGNOSTIC OR THERAPEUTIC PROCEDURES'.

For licensing inquiries, please contact partnerships@abcam.com