JavaScript is disabled in your browser. Please enable JavaScript to view this website.
AB305259

Anti-Clathrin heavy chain antibody [EPR24236-222]

Be the first to review this product! Submit a review

|

(0 Publication)

Rabbit Recombinant Monoclonal Clathrin heavy chain antibody. Suitable for WB, ICC/IF, Flow Cyt (Intra), IP and reacts with Human samples.

View Alternative Names

CLH17, CLTCL2, KIAA0034, CLTC, Clathrin heavy chain 1, Clathrin heavy chain on chromosome 17, CLH-17

4 Images
Immunocytochemistry/ Immunofluorescence - Anti-Clathrin heavy chain antibody [EPR24236-222] (AB305259)
  • ICC/IF

Supplier Data

Immunocytochemistry/ Immunofluorescence - Anti-Clathrin heavy chain antibody [EPR24236-222] (AB305259)

Immunofluorescent analysis of 4% Paraformaldehyde-fixed, 0.1% TritonX-100 permeabilized HeLa (human cervical adenocarcinoma epithelial cell) cells labelling Clathrin heavy chain with ab305259 at 1/50 dilution, followed by ab150081 Goat Anti-Rabbit IgG H&L (Alexa Fluor® 488) preadsorbed antibody at 1/1000 dilution (Green). Confocal image showing punctuated cytoplasmic staining in HeLa cell line. The image was taken with a confocal microscope (Leica-Microsystems, TCS SP8). ab195889 Anti-alpha Tubulin mouse monoclonal antibody - Microtubule Marker (Alexa Fluor® 594) was used to counterstain tubulin at 1/200 dilution (Red). The Nuclear counterstain was DAPI (Blue). Secondary antibody only control : Secondary antibody is ab150081 Goat Anti-Rabbit IgG H&L (Alexa Fluor® 488) preadsorbed at 1/1000 dilution.

Flow Cytometry (Intracellular) - Anti-Clathrin heavy chain antibody [EPR24236-222] (AB305259)
  • Flow Cyt (Intra)

Supplier Data

Flow Cytometry (Intracellular) - Anti-Clathrin heavy chain antibody [EPR24236-222] (AB305259)

Flow cytometric analysis of 4% paraformaldehyde fixed 90% methanol permeabilized HeLa (human cervix adenocarcinoma epithelial cell) cells labelling Clathrin heavy chain with ab305259 at 1/500 dilution (0.1ug) (Red) compared with a Rabbit monoclonal IgG (ab172730) (Black) isotype control and an unlabelled control (cells without incubation with primary antibody and secondary antibody) (Blue). A Goat Anti-Rabbit IgG (Alexa Fluor® 488, ab150081) at 1/2000 dilution was used as the secondary antibody.

Immunoprecipitation - Anti-Clathrin heavy chain antibody [EPR24236-222] (AB305259)
  • IP

Supplier Data

Immunoprecipitation - Anti-Clathrin heavy chain antibody [EPR24236-222] (AB305259)

Clathrin heavy chain was immunoprecipitated from 0.35 mg HeLa (human cervix adenocarcinoma epithelial cell) whole cell lysate 10 μg with ab305259 at 1/30 dilution (2μg in 0.35mg lysates). Western blot was performed on the immunoprecipitate using ab305259. VeriBlot for IP secondary antibody(HRP)(ab131366) was used at 1/5000 dilution. Lane 1 : HeLa (human cervix adenocarcinoma epithelial cell) whole cell lysate 10 μg Lane 2 : ab305259 IP in HeLa whole cell lysate Lane 3 : Rabbit monoclonal IgG (ab172730) instead of ab305259 in HeLa whole cell lysate Blocking and dilution buffer and concentration : 5% NFDM/TBST. Exposure time : 50 seconds

All lanes:

Immunoprecipitation - Anti-Clathrin heavy chain antibody [EPR24236-222] (ab305259) at 1/30 dilution

All lanes:

HeLa (human cervix adenocarcinoma epithelial cell)

Secondary

All lanes:

Immunoprecipitation - VeriBlot for IP Detection Reagent (HRP) (<a href='/en-us/products/reagents/veriblot-for-ip-detection-reagent-hrp-ab131366'>ab131366</a>) at 1/5000 dilution

Observed band size: 180 kDa

false

Exposure time: 50s

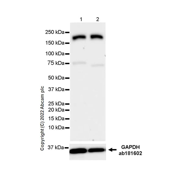
Western blot - Anti-Clathrin heavy chain antibody [EPR24236-222] (AB305259)
  • WB

Supplier Data

Western blot - Anti-Clathrin heavy chain antibody [EPR24236-222] (AB305259)

Blocking and diluting buffer and concentration : 5% NFDM/TBST Exposure time : 37 seconds

All lanes:

Western blot - Anti-Clathrin heavy chain antibody [EPR24236-222] (ab305259) at 1/1000 dilution

Lane 1:

HeLa (human cervix adenocarcinoma epithelial cell) whole cell lysate at 20 µg

Lane 2:

293T (human embryonic kidney epithelial cell) whole cell lysate at 20 µg

Secondary

All lanes:

Western blot - VeriBlot for IP Detection Reagent (HRP) (<a href='/en-us/products/reagents/veriblot-for-ip-detection-reagent-hrp-ab131366'>ab131366</a>) at 1/2000 dilution

Observed band size: 180 kDa

false

Exposure time: 37s

  • Carrier free

    Anti-Clathrin heavy chain antibody [EPR24236-222] - BSA and Azide free

Key facts

Host species

Rabbit

Clonality

Monoclonal

Clone number

EPR24236-222

Isotype

IgG

Carrier free

No

Reacts with

Human

Applications

WB, IP, ICC/IF, Flow Cyt (Intra)

applications

Immunogen

The exact immunogen used to generate this antibody is proprietary information.

Reactivity data

{ "title": "Reactivity Data", "filters": { "stats": ["", "Species", "Dilution Info", "Notes"], "tabs": { "all-applications": {"fullname" : "All Applications", "shortname": "All Applications"}, "WB" : {"fullname" : "Western blot", "shortname":"WB"}, "IHCP" : {"fullname" : "Immunohistochemistry (Formalin/PFA-fixed paraffin-embedded sections)", "shortname":"IHC-P"}, "ICCIF" : {"fullname" : "Immunocytochemistry/ Immunofluorescence", "shortname":"ICC/IF"}, "FlowCytIntra" : {"fullname" : "Flow Cytometry (Intracellular)", "shortname":"Flow Cyt (Intra)"}, "IP" : {"fullname" : "Immunoprecipitation", "shortname":"IP"} }, "product-promise": { "all": "all", "testedAndGuaranteed": "tested", "guaranteed": "expected", "predicted": "predicted", "notRecommended": "not-recommended" } }, "values": { "Human": { "WB-species-checked": "testedAndGuaranteed", "WB-species-dilution-info": "1/1000", "WB-species-notes": "<p></p>", "IHCP-species-checked": "notRecommended", "IHCP-species-dilution-info": "", "IHCP-species-notes": "<p></p>", "ICCIF-species-checked": "testedAndGuaranteed", "ICCIF-species-dilution-info": "1/50", "ICCIF-species-notes": "<p></p>", "FlowCytIntra-species-checked": "testedAndGuaranteed", "FlowCytIntra-species-dilution-info": "1/500", "FlowCytIntra-species-notes": "<p></p>", "IP-species-checked": "testedAndGuaranteed", "IP-species-dilution-info": "1/30", "IP-species-notes": "<p></p>" }, "Mouse": { "WB-species-checked": "notRecommended", "WB-species-dilution-info": "", "WB-species-notes": "", "IHCP-species-checked": "notRecommended", "IHCP-species-dilution-info": "", "IHCP-species-notes": "<p></p>", "ICCIF-species-checked": "notRecommended", "ICCIF-species-dilution-info": "1/50", "ICCIF-species-notes": "<p></p>", "FlowCytIntra-species-checked": "notRecommended", "FlowCytIntra-species-dilution-info": "1/500", "FlowCytIntra-species-notes": "<p></p>", "IP-species-checked": "notRecommended", "IP-species-dilution-info": "", "IP-species-notes": "" }, "Rat": { "WB-species-checked": "notRecommended", "WB-species-dilution-info": "", "WB-species-notes": "", "IHCP-species-checked": "notRecommended", "IHCP-species-dilution-info": "", "IHCP-species-notes": "<p></p>", "ICCIF-species-checked": "notRecommended", "ICCIF-species-dilution-info": "", "ICCIF-species-notes": "", "FlowCytIntra-species-checked": "notRecommended", "FlowCytIntra-species-dilution-info": "", "FlowCytIntra-species-notes": "", "IP-species-checked": "notRecommended", "IP-species-dilution-info": "", "IP-species-notes": "" } } }

Product details

Patented technology
Our RabMAb® technology is a patented hybridoma-based technology for making rabbit monoclonal antibodies. For details on our patents, please refer to RabMAb® patents.

What are the advantages of a recombinant monoclonal antibody?
This product is a recombinant monoclonal antibody, which offers several advantages including:

  • - High batch-to-batch consistency and reproducibility
  • - Improved sensitivity and specificity
  • - Long-term security of supply
  • - Animal-free batch production

For more information, read more on recombinant antibodies.

Properties and storage information

Form
Liquid
Purification technique
Affinity purification Protein A
Storage buffer
pH: 7.2 - 7.4 Preservative: 0.01% Sodium azide Constituents: PBS, 40% Glycerol (glycerin, glycerine), 0.05% BSA
Shipped at conditions
Blue Ice
Appropriate short-term storage duration
1-2 weeks
Appropriate short-term storage conditions
+4°C
Appropriate long-term storage conditions
-20°C
Aliquoting information
Upon delivery aliquot
Storage information
Avoid freeze / thaw cycle

Supplementary information

This supplementary information is collated from multiple sources and compiled automatically.

The Clathrin heavy chain also known as clathrin heavy chain 1 or heavy chain kDa is a fundamental component of the clathrin protein complex with a molecular weight commonly around 180 kDa. This chain-like protein mechanically assembles into a triskelion shape consisting of three heavy chains and three light chains allowing it to form a lattice structure that coats vesicles. Clathrin heavy chain is expressed widely especially in cells with high endocytic and vesicle transport activity like neuronal and epithelial cells. It plays a pivotal role in cellular trafficking by driving the formation of clathrin-coated pits and vesicles.
Biological function summary

Functions of the clathrin heavy chain include mediating the endocytosis of receptors and other membrane proteins contributing to intracellular sorting and vesicle trafficking. It is a part of the clathrin triskelion complex which is essential for maintaining proper cellular homeostasis. The clathrin lattice structure dynamically assembles and disassembles to facilitate the transport of molecules from the plasma membrane to the endosomes influencing endocytic and post-Golgi network trafficking processes. This protein's ability to form complexes enables efficient cargo selection and vesicle scission.

Pathways

Clathrin-mediated endocytosis serves as a critical pathway for internalizing substances and is fundamental in the regulation of signal transduction pathways and receptor recycling. The clathrin heavy chain interacts closely with proteins such as adaptins and dynamin in these pathways to ensure accurate vesicle budding and trafficking. In synaptic vesicle recycling clathrin collaborates with proteins like synaptotagmins to manage neurotransmitter release maintaining synaptic transmission and neuronal function.

Disruptions in clathrin heavy chain function can lead to conditions such as neurodegenerative diseases and cancer. For instance alterations in clathrin-mediated endocytosis can affect receptor trafficking and signaling contributing to Alzheimer’s disease. Similarly aberrant clathrin function can influence cell cycle control and apoptosis pathways involved in cancer progression. In cancer the regulation of the epidermal growth factor receptor (EGFR) by clathrin-dependent endocytosis highlights the complex interplay between clathrin and oncogenic signaling pathways.

Product protocols

For this product, it's our understanding that no specific protocols are required. You can visit:

Target data

Clathrin is the major protein of the polyhedral coat of coated pits and vesicles. Two different adapter protein complexes link the clathrin lattice either to the plasma membrane or to the trans-Golgi network. Acts as a component of the TACC3/ch-TOG/clathrin complex proposed to contribute to stabilization of kinetochore fibers of the mitotic spindle by acting as inter-microtubule bridge (PubMed : 15858577, PubMed : 16968737, PubMed : 21297582). The TACC3/ch-TOG/clathrin complex is required for the maintenance of kinetochore fiber tension (PubMed : 23532825). Plays a role in early autophagosome formation (PubMed : 20639872). Interaction with DNAJC6 mediates the recruitment of HSPA8 to the clathrin lattice and creates local destabilization of the lattice promoting uncoating (By similarity).
See full target information CLTC

Product promise

We are committed to supporting your work with high-quality reagents, and we're here for you every step of the way. In the unlikely event that one of our products does not perform as expected, you're protected by our Product Promise.
For full details, please see our Terms & Conditions

Please note: All products are 'FOR RESEARCH USE ONLY. NOT FOR USE IN DIAGNOSTIC OR THERAPEUTIC PROCEDURES'.

For licensing inquiries, please contact partnerships@abcam.com