JavaScript is disabled in your browser. Please enable JavaScript to view this website.
AB271185

Anti-Clathrin light chain antibody [EPR24231-72]

  • BOND RX™ Validated
  • 20ul selling size
  • RabMAb
  • Recombinant
  • KO Validated
  • What is this?

Be the first to review this product! Submit a review

|

(0 Publication)

Rabbit Recombinant Monoclonal Clathrin light chain antibody. Suitable for ICC/IF, IP, WB, Flow Cyt (Intra), IHC-P and reacts with Mouse, Human, Rat samples.

View Alternative Names

Clathrin light chain A, Lca, CLTA

13 Images
Immunocytochemistry/ Immunofluorescence - Anti-Clathrin light chain antibody [EPR24231-72] (AB271185)
  • ICC/IF

Supplier Data

Immunocytochemistry/ Immunofluorescence - Anti-Clathrin light chain antibody [EPR24231-72] (AB271185)

Immunofluorescent analysis of 4% Paraformaldehyde-fixed, 0.1% TritonX-100 permeabilized HeLa cells labelling Clathrin light chain with ab271185 at 1/250 (2.036 ug/ml) dilution, followed by ab150077 Goat Anti-Rabbit IgG H&L (Alexa Fluor® 488) antibody at 1/1000 dilution (Green). Confocal image showing cytoplasmic staining in HeLa cells is observed. ab195889 Anti-alpha Tubulin mouse monoclonal antibody - Microtubule Marker (Alexa Fluor® 594) was used to counterstain tubulin at 1/200 dilution (Red). The Nuclear counterstain was DAPI (Blue).

Secondary antibody only control : Secondary antibody is ab150077 Goat Anti-Rabbit IgG H&L (Alexa Fluor® 488) at 1/1000 dilution.

Immunohistochemistry (Formalin/PFA-fixed paraffin-embedded sections) - Anti-Clathrin light chain antibody [EPR24231-72] (AB271185)
  • IHC-P

Supplier Data

Immunohistochemistry (Formalin/PFA-fixed paraffin-embedded sections) - Anti-Clathrin light chain antibody [EPR24231-72] (AB271185)

Immunohistochemical analysis of paraffin-embedded Human cerebrum tissue labelling Clathrin light chain with ab271185 at 1/5000 (0.102 ug/ml) dilution followed by a ready to use LeicaDS9800 (Bond™ Polymer Refine Detection). Cytoplasmic staining in human cerebrum. The section was incubated with ab271185 for 30 mins at room temperature. The immunostaining was performed on a Leica Biosystems BOND® RX instrument. Counterstained with Hematoxylin.

Secondary antibody only control : Secondary antibody is a ready to use LeicaDS9800 (Bond™ Polymer Refine Detection).

Heat mediated antigen retrieval with Tris-EDTA buffer (pH 9.0, epitope retrieval solution2) for 20 mins.

Flow Cytometry (Intracellular) - Anti-Clathrin light chain antibody [EPR24231-72] (AB271185)
  • Flow Cyt (Intra)

Supplier Data

Flow Cytometry (Intracellular) - Anti-Clathrin light chain antibody [EPR24231-72] (AB271185)

Flow cytometric analysis of 4% paraformaldehyde-fixed, 90% methanol-permeabilized HeLa (Human cervix adenocarcinoma cell) cells labelling Clathrin light chain with ab271185 at 1/500 dilution (0.1ug)(Red) compared with a Rabbit monoclonal IgG (ab172730) (Black) isotype control and an unlabelled control (cells without incubation with primary antibody and secondary antibody) (Blue). A Goat anti rabbit IgG (Alexa Fluor® 488, ab150077) at 1/2000 dilution was used as the secondary antibody.

Immunoprecipitation - Anti-Clathrin light chain antibody [EPR24231-72] (AB271185)
  • IP

Supplier Data

Immunoprecipitation - Anti-Clathrin light chain antibody [EPR24231-72] (AB271185)

Clathrin light chain was immunoprecipitated from 0.35 mg HeLa (human cervix adenocarcinoma epithelial cell) whole cell lysate with ab271185 at 1/30 dilution (2ug in 0.35mg lysates). Western blot was performed on the immunoprecipitate using ab271185 at 1/1000 dilution. VeriBlot for IP secondary antibody(HRP)(ab131366) was used at 1/5000 dilution.

Lane 1 : HeLa (human cervix adenocarcinoma epithelial cell) whole cell lysate 10 ug

Lane 2 : ab271185 IP in HeLa whole cell lysate

Lane 3 : Rabbit monoclonal IgG (ab172730) instead of ab271185 in HeLa whole cell lysate

Blocking and dilution buffer and concentration : 5% NFDM/TBST.

Exposure time : 32 seconds

All lanes:

Immunoprecipitation - Anti-Clathrin light chain antibody [EPR24231-72] (ab271185)

Predicted band size: 27 kDa

Observed band size: 35 kDa

false

Flow Cytometry (Intracellular) - Anti-Clathrin light chain antibody [EPR24231-72] (AB271185)
  • Flow Cyt (Intra)

Supplier Data

Flow Cytometry (Intracellular) - Anti-Clathrin light chain antibody [EPR24231-72] (AB271185)

Flow cytometric analysis of 4% paraformaldehyde-fixed, 90% methanol-permeabilized C2C12 (Mouse myoblasts myoblast) cells labelling Clathrin light chain with ab271185 at 1/500 dilution (0.1ug)(Red) compared with a Rabbit monoclonal IgG (ab172730) (Black) isotype control and an unlabelled control (cells without incubation with primary antibody and secondary antibody) (Blue). A Goat anti rabbit IgG (Alexa Fluor® 488, ab150077) at 1/2000 dilution was used as the secondary antibody.

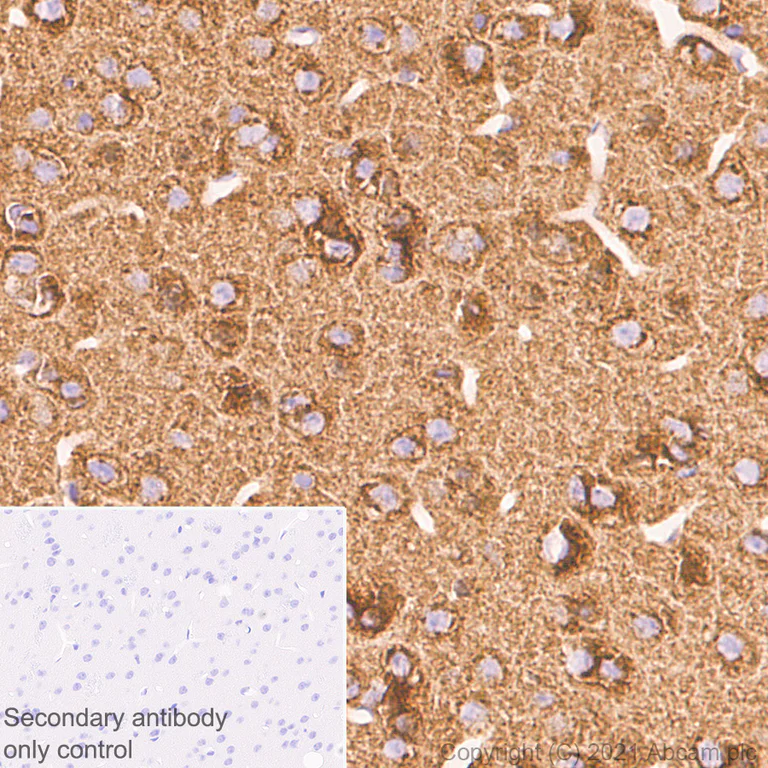
Immunohistochemistry (Formalin/PFA-fixed paraffin-embedded sections) - Anti-Clathrin light chain antibody [EPR24231-72] (AB271185)
  • IHC-P

Supplier Data

Immunohistochemistry (Formalin/PFA-fixed paraffin-embedded sections) - Anti-Clathrin light chain antibody [EPR24231-72] (AB271185)

Immunohistochemical analysis of paraffin-embedded Rat cerebrum tissue labelling Clathrin light chain with ab271185 at 1/5000 (0.102 ug/ml) dilution followed by a ready to use LeicaDS9800 (Bond™ Polymer Refine Detection). Cytoplasmic staining in rat cerebrum. The section was incubated with ab271185 for 30 mins at room temperature. The immunostaining was performed on a Leica Biosystems BOND® RX instrument Counterstained with Hematoxylin.

Secondary antibody only control : Secondary antibody is a ready to use LeicaDS9800 (Bond™ Polymer Refine Detection).

Heat mediated antigen retrieval with Tris-EDTA buffer (pH 9.0, epitope retrieval solution2) for 20 mins.

Immunocytochemistry/ Immunofluorescence - Anti-Clathrin light chain antibody [EPR24231-72] (AB271185)
  • ICC/IF

Supplier Data

Immunocytochemistry/ Immunofluorescence - Anti-Clathrin light chain antibody [EPR24231-72] (AB271185)

Immunofluorescent analysis of 4% Paraformaldehyde-fixed, 0.1% TritonX-100 permeabilized C2C12 cells labelling Clathrin light chain with ab271185 at 1/250 (2.036 ug/ml) dilution, followed by ab150077 Goat Anti-Rabbit IgG H&L (Alexa Fluor® 488) antibody at 1/1000 dilution (Green). Confocal image showing cytoplasmic staining in C2C12 cells is observed. ab195889 Anti-alpha Tubulin mouse monoclonal antibody - Microtubule Marker (Alexa Fluor® 594) was used to counterstain tubulin at 1/200 dilution (Red). The Nuclear counterstain was DAPI (Blue).

Secondary antibody only control : Secondary antibody is ab150077 Goat Anti-Rabbit IgG H&L (Alexa Fluor® 488) at 1/1000 dilution.

Immunocytochemistry/ Immunofluorescence - Anti-Clathrin light chain antibody [EPR24231-72] (AB271185)
  • ICC/IF

Supplier Data

Immunocytochemistry/ Immunofluorescence - Anti-Clathrin light chain antibody [EPR24231-72] (AB271185)

Immunofluorescent analysis of 4% Paraformaldehyde-fixed, 0.1% TritonX-100 permeabilized MEF cells labelling Clathrin light chain with ab271185 at 1/250 (2.036 ug/ml) dilution, followed by ab150077 Goat Anti-Rabbit IgG H&L (Alexa Fluor® 488) antibody at 1/1000 dilution (Green). Confocal image showing cytoplasmic staining in MEF cells is observed. ab195889 Anti-alpha Tubulin mouse monoclonal antibody - Microtubule Marker (Alexa Fluor® 594) was used to counterstain tubulin at 1/200 dilution (Red). The Nuclear counterstain was DAPI (Blue).

Secondary antibody only control : Secondary antibody is ab150077 Goat Anti-Rabbit IgG H&L (Alexa Fluor® 488) at 1/1000 dilution.

Immunohistochemistry (Formalin/PFA-fixed paraffin-embedded sections) - Anti-Clathrin light chain antibody [EPR24231-72] (AB271185)
  • IHC-P

Supplier Data

Immunohistochemistry (Formalin/PFA-fixed paraffin-embedded sections) - Anti-Clathrin light chain antibody [EPR24231-72] (AB271185)

Immunohistochemical analysis of paraffin-embedded Mouse cerebrum tissue labelling Clathrin light chain with ab271185 at 1/5000 (0.102 ug/ml) dilution followed by a ready to use LeicaDS9800 (Bond™ Polymer Refine Detection). Cytoplasmic staining in mouse cerebrum. The section was incubated with ab271185 for 30 mins at room temperature. The immunostaining was performed on a Leica Biosystems BOND® RX instrument. Counterstained with Hematoxylin.

Secondary antibody only control : Secondary antibody is a ready to use LeicaDS9800 (Bond™ Polymer Refine Detection).

Heat mediated antigen retrieval with Tris-EDTA buffer (pH 9.0, epitope retrieval solution2) for 20 mins.

Immunoprecipitation - Anti-Clathrin light chain antibody [EPR24231-72] (AB271185)
  • IP

Supplier Data

Immunoprecipitation - Anti-Clathrin light chain antibody [EPR24231-72] (AB271185)

Clathrin light chain was immunoprecipitated from 0.35 mg MEF (mouse embryonic fibroblast (immortalized)) whole cell lysate with ab271185 at 1/30 dilution (2ug in 0.35mg lysates). Western blot was performed on the immunoprecipitate using ab271185 at 1/1000 dilution. VeriBlot for IP secondary antibody(HRP)(ab131366) was used at 1/5000 dilution.

Lane 1 : MEF (mouse embryonic fibroblast (immortalized)) whole cell lysate 10 ug

Lane 2 : ab271185 IP in MEF whole cell lysate

Lane 3 : Rabbit monoclonal IgG (ab172730) instead of ab271185 in MEF whole cell lysate

Blocking and dilution buffer and concentration : 5% NFDM/TBST.

Exposure time : 32 seconds

All lanes:

Immunoprecipitation - Anti-Clathrin light chain antibody [EPR24231-72] (ab271185)

Predicted band size: 27 kDa

Observed band size: 35 kDa

false

Western blot - Anti-Clathrin light chain antibody [EPR24231-72] (AB271185)
  • WB

Lab

Western blot - Anti-Clathrin light chain antibody [EPR24231-72] (AB271185)

Blocking and diluting buffer and concentration : 5% NFDM/TBST.

The observed MW is consistent with what has been described in the literature (PMID : 31672988, 24852344).

Exposure time : 70 seconds.

All lanes:

Western blot - Anti-Clathrin light chain antibody [EPR24231-72] (ab271185) at 1/1000 dilution

Lane 1:

HeLa (human cervix adenocarcinoma epithelial cell) whole cell lysate at 20 µg

Lane 2:

HEK-293 (human embryonic kidney epithelial cell) whole cell lysate at 20 µg

Lane 3:

NCI-H1299 (human lung carcinoma epithelial cell) whole cell lysate at 20 µg

Lane 4:

MEF (mouse embryonic fibroblast (immortalized)) whole cell lysate at 20 µg

Lane 5:

C2C12 (mouse myoblasts myoblast) whole cell lysate at 20 µg

Lane 6:

PC-12 (rat adrenal gland pheochromocytoma) whole cell lysate at 20 µg

Lane 7:

C6 (rat glial tumor glial cell) whole cell lysate at 20 µg

Secondary

All lanes:

Western blot - Goat Anti-Rabbit IgG H&L (HRP) (<a href='/en-us/products/secondary-antibodies/goat-rabbit-igg-h-l-hrp-ab97051'>ab97051</a>) at 1/50000 dilution

Predicted band size: 27 kDa

Observed band size: 35 kDa

false

Western blot - Anti-Clathrin light chain antibody [EPR24231-72] (AB271185)
  • WB

Lab

Western blot - Anti-Clathrin light chain antibody [EPR24231-72] (AB271185)

False colour image of Western blot : Anti-Clathrin light chain antibody [EPR24231-72] staining at 1/1000 dilution, shown in green; Mouse anti-Alpha Tubulin [DM1A] (ab7291) loading control staining at 1/20000 dilution, shown in red. In Western blot, ab271185 was shown to bind specifically to Clathrin light chain. A band was observed at 35 kDa in wild-type HEK-293T cell lysates with no signal observed at this size in CLTA knockout cell line ab267334 (knockout cell lysate ab258366). To generate this image, wild-type and CLTA knockout HEK-293T cell lysates were analysed. First, samples were run on an SDS-PAGE gel then transferred onto a nitrocellulose membrane. Membranes were blocked in 3% milk in TBS-0.1% Tween® 20 (TBS-T) before incubation with primary antibodies overnight at 4°C. Blots were washed four times in TBS-T, incubated with secondary antibodies for 1 h at room temperature, washed again four times then imaged. Secondary antibodies used were Goat anti-Rabbit IgG H&L (IRDye® 800CW) preabsorbed (ab216773) and Goat anti-Mouse IgG H&L (IRDye® 680RD) preabsorbed (ab216776) at 1/20000 dilution.

All lanes:

Western blot - Anti-Clathrin light chain antibody [EPR24231-72] (ab271185) at 1/1000 dilution

Lane 1:

Wild-type HEK-293T cell lysate at 20 µg

Lane 2:

CLTA knockout HEK-293T cell lysate at 20 µg

Lane 2:

Western blot - Human CLTA (Clathrin light chain A) knockout HEK-293T cell line (<a href='/en-us/products/cell-lines/human-clta-clathrin-light-chain-a-knockout-hek-293t-cell-line-ab267334'>ab267334</a>)

Lane 3:

A431 cell lysate at 20 µg

Lane 4:

HeLa cell lysate at 20 µg

Predicted band size: 27 kDa

Observed band size: 35 kDa

false

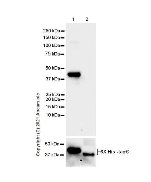
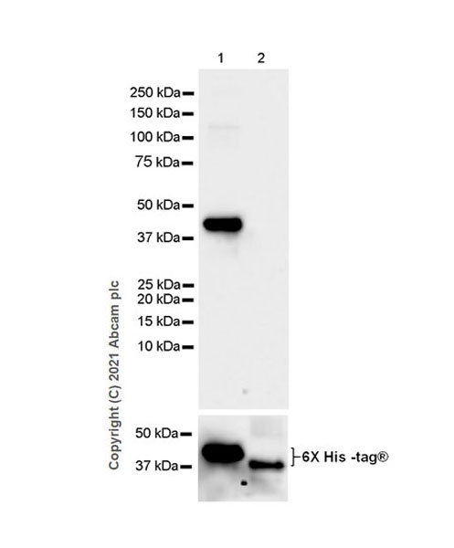
Western blot - Anti-Clathrin light chain antibody [EPR24231-72] (AB271185)
  • WB

Lab

Western blot - Anti-Clathrin light chain antibody [EPR24231-72] (AB271185)

Blocking and diluting buffer and concentration : 5% NFDM/TBST.

This antibody does not recognize human CLTB.

Exposure time : 70 seconds.

All lanes:

Western blot - Anti-Clathrin light chain antibody [EPR24231-72] (ab271185) at 1/1000 dilution

Lane 1:

Human Clathrin light chain recombinant protein at 0.01 µg

Lane 2:

Human CLTB recombinant protein at 0.01 µg

Secondary

All lanes:

Western blot - Goat Anti-Rabbit IgG H&L (HRP) (<a href='/en-us/products/secondary-antibodies/goat-rabbit-igg-h-l-hrp-ab97051'>ab97051</a>) at 1/100000 dilution

Predicted band size: 27 kDa

Observed band size: 35 kDa

false

  • Carrier free

    Anti-Clathrin light chain antibody [EPR24231-72] - BSA and Azide free

Key facts

Host species

Rabbit

Clonality

Monoclonal

Clone number

EPR24231-72

Isotype

IgG

Carrier free

No

Reacts with

Mouse, Rat, Human

Applications

Flow Cyt (Intra), ICC/IF, IHC-P, IP, WB

applications

Immunogen

The exact immunogen used to generate this antibody is proprietary information.

Reactivity data

{ "title": "Reactivity Data", "filters": { "stats": ["", "Species", "Dilution Info", "Notes"], "tabs": { "all-applications": {"fullname" : "All Applications", "shortname": "All Applications"}, "ICCIF" : {"fullname" : "Immunocytochemistry/ Immunofluorescence", "shortname":"ICC/IF"}, "IP" : {"fullname" : "Immunoprecipitation", "shortname":"IP"}, "WB" : {"fullname" : "Western blot", "shortname":"WB"}, "FlowCytIntra" : {"fullname" : "Flow Cytometry (Intracellular)", "shortname":"Flow Cyt (Intra)"}, "IHCP" : {"fullname" : "Immunohistochemistry (Formalin/PFA-fixed paraffin-embedded sections)", "shortname":"IHC-P"} }, "product-promise": { "all": "all", "testedAndGuaranteed": "tested", "guaranteed": "expected", "predicted": "predicted", "notRecommended": "not-recommended" } }, "values": { "Human": { "ICCIF-species-checked": "testedAndGuaranteed", "ICCIF-species-dilution-info": "1/250", "ICCIF-species-notes": "<p></p>", "IP-species-checked": "testedAndGuaranteed", "IP-species-dilution-info": "1/30", "IP-species-notes": "<p></p>", "WB-species-checked": "testedAndGuaranteed", "WB-species-dilution-info": "1/1000", "WB-species-notes": "<p></p>", "FlowCytIntra-species-checked": "testedAndGuaranteed", "FlowCytIntra-species-dilution-info": "1/500", "FlowCytIntra-species-notes": "<p></p>", "IHCP-species-checked": "testedAndGuaranteed", "IHCP-species-dilution-info": "1/5000", "IHCP-species-notes": "<p></p>" }, "Mouse": { "ICCIF-species-checked": "testedAndGuaranteed", "ICCIF-species-dilution-info": "1/250", "ICCIF-species-notes": "<p></p>", "IP-species-checked": "testedAndGuaranteed", "IP-species-dilution-info": "1/30", "IP-species-notes": "<p></p>", "WB-species-checked": "testedAndGuaranteed", "WB-species-dilution-info": "1/1000", "WB-species-notes": "<p></p>", "FlowCytIntra-species-checked": "testedAndGuaranteed", "FlowCytIntra-species-dilution-info": "1/500", "FlowCytIntra-species-notes": "<p></p>", "IHCP-species-checked": "testedAndGuaranteed", "IHCP-species-dilution-info": "1/5000", "IHCP-species-notes": "<p></p>" }, "Rat": { "ICCIF-species-checked": "guaranteed", "ICCIF-species-dilution-info": "", "ICCIF-species-notes": "", "IP-species-checked": "guaranteed", "IP-species-dilution-info": "", "IP-species-notes": "", "WB-species-checked": "testedAndGuaranteed", "WB-species-dilution-info": "1/1000", "WB-species-notes": "<p></p>", "FlowCytIntra-species-checked": "guaranteed", "FlowCytIntra-species-dilution-info": "1/500", "FlowCytIntra-species-notes": "<p></p>", "IHCP-species-checked": "testedAndGuaranteed", "IHCP-species-dilution-info": "1/5000", "IHCP-species-notes": "<p></p>" } } }

Product details

Patented technology
Our RabMAb® technology is a patented hybridoma-based technology for making rabbit monoclonal antibodies. For details on our patents, please refer to RabMAb® patents.

What are the advantages of a recombinant monoclonal antibody?
This product is a recombinant monoclonal antibody, which offers several advantages including:

  • - High batch-to-batch consistency and reproducibility
  • - Improved sensitivity and specificity
  • - Long-term security of supply
  • - Animal-free batch production

For more information, read more on recombinant antibodies.

Properties and storage information

Form
Liquid
Purification technique
Affinity purification Protein A
Storage buffer
pH: 7.2 - 7.4 Preservative: 0.01% Sodium azide Constituents: PBS, 40% Glycerol (glycerin, glycerine), 0.05% BSA
Shipped at conditions
Blue Ice
Appropriate short-term storage duration
1-2 weeks
Appropriate short-term storage conditions
+4°C
Appropriate long-term storage conditions
-20°C
Aliquoting information
Upon delivery aliquot
Storage information
Avoid freeze / thaw cycle

Supplementary information

This supplementary information is collated from multiple sources and compiled automatically.

Clathrin light chain also known as clathrin LCa and LCb is a low-molecular-weight component of the clathrin protein complex. It plays a mechanical role in the processes that drive clathrin-mediated endocytosis. Each clathrin triskelion the basic unit of the clathrin coat comprises three clathrin heavy chains and three clathrin light chains. The mass of clathrin light chain is approximately 25-29 kDa. This protein is expressed in various tissues throughout the body with notable presence in the central nervous system and liver.
Biological function summary

Clathrin light chain modulates the lattice dynamics by interacting with clathrin heavy chains in a clathrin protein complex. This interaction supports the stability and assembly of the clathrin lattice affecting the efficiency and specificity of endocytic vesicle formation. Clathrin light chain acts in concert with other accessory proteins to regulate clathrin coat assembly and disassembly playing a dynamic role in cellular trafficking processes.

Pathways

The clathrin light chain participates in essential cellular pathways such as the clathrin-mediated endocytosis and synaptic vesicle recycling pathways. These pathways facilitate the internalization and recycling of membrane proteins and lipids ensuring cellular homeostasis. In these processes the clathrin light chain works closely with related proteins such as dynamin and adaptin to control vesicle scission and cargo selection.

Abnormalities in clathrin light chain function connect to neurodegenerative disorders like Huntington's disease and certain types of cancers. In Huntington's disease disrupted endocytic pathways that involve clathrin light chain impact cellular communication and nutrient uptake. Cancer cells may exhibit altered expression or function of clathrin light chain affecting pathways important for cell proliferation and survival. The clathrin light chain can interact with the huntingtin protein in these contexts influencing disease progression and cellular dynamics.

Product protocols

For this product, it's our understanding that no specific protocols are required. You can visit:

Target data

Clathrin is the major protein of the polyhedral coat of coated pits and vesicles. Acts as a component of the TACC3/ch-TOG/clathrin complex proposed to contribute to stabilization of kinetochore fibers of the mitotic spindle by acting as inter-microtubule bridge (PubMed : 15858577, PubMed : 21297582).
See full target information Clathrin light chain A

Product promise

We are committed to supporting your work with high-quality reagents, and we're here for you every step of the way. In the unlikely event that one of our products does not perform as expected, you're protected by our Product Promise.
For full details, please see our Terms & Conditions

Please note: All products are 'FOR RESEARCH USE ONLY. NOT FOR USE IN DIAGNOSTIC OR THERAPEUTIC PROCEDURES'.

For licensing inquiries, please contact partnerships@abcam.com