JavaScript is disabled in your browser. Please enable JavaScript to view this website.
AB15098

Anti-Claudin 1 antibody

4

(21 Reviews)

|

(296 Publications)

Anti-Claudin 1 antibody (ab15098) is a rabbit polyclonal antibody detecting Claudin 1 in Western Blot, IHC-P, ICC/IF. Suitable for Human.

- Over 230 publications
- Trusted since 2004

View Alternative Names

CLD1, SEMP1, UNQ481/PRO944, CLDN1, Claudin-1, Senescence-associated epithelial membrane protein

3 Images
Western blot - Anti-Claudin 1 antibody (AB15098)
  • WB

Unknown

Western blot - Anti-Claudin 1 antibody (AB15098)

All lanes:

Western blot - Anti-Claudin 1 antibody (ab15098) at 1/25 dilution

All lanes:

HeLa cell lysate

Predicted band size: 22 kDa

Observed band size: 19 kDa

false

Immunocytochemistry/ Immunofluorescence - Anti-Claudin 1 antibody (AB15098)
  • ICC/IF

Unknown

Immunocytochemistry/ Immunofluorescence - Anti-Claudin 1 antibody (AB15098)

ICC/IF image of ab15098 stained Hek293 cells. The cells were 100% methanol fixed (5 min) and then incubated in 1%BSA / 10% normal goat serum / 0.3M glycine in 0.1% PBS-Tween for 1h to permeabilise the cells and block non-specific protein-protein interactions. The cells were then incubated with the antibody (ab15098, 5µg/ml) overnight at +4°C. The secondary antibody (green) was Alexa Fluor® 488 goat anti-rabbit IgG (H+L) used at a 1/1000 dilution for 1h. Alexa Fluor® 594 WGA was used to label plasma membranes (red) at a 1/200 dilution for 1h. DAPI was used to stain the cell nuclei (blue) at a concentration of 1.43µM.

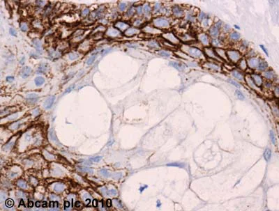
Immunohistochemistry (Formalin/PFA-fixed paraffin-embedded sections) - Anti-Claudin 1 antibody (AB15098)
  • IHC-P

Lab

Immunohistochemistry (Formalin/PFA-fixed paraffin-embedded sections) - Anti-Claudin 1 antibody (AB15098)

ab15098 (1µg/ml) staining Claudin 1 in human skin using an automated system (DAKO Autostainer Plus). Using this protocol there is strong staining of the cell membrane.
Sections were rehydrated and antigen retrieved with the Dako 3 in 1 AR buffer EDTA pH 9.0 in a DAKO PT link. Slides were peroxidase blocked in 3% H2O2 in methanol for 10 mins. They were then blocked with Dako Protein block for 10 minutes (containing casein 0.25% in PBS) then incubated with primary antibody for 20 min and detected with Dako envision flex amplification kit for 30 minutes. Colorimetric detection was completed with Diaminobenzidine for 5 minutes. Slides were counterstained with Haematoxylin and coverslipped under DePeX. Please note that, for manual staining, optimization of primary antibody concentration and incubation time is recommended. Signal amplification may be required.

Key facts

Host species

Rabbit

Clonality

Polyclonal

Isotype

IgG

Carrier free

No

Reacts with

Human

Applications

WB, IHC-P, ICC/IF

applications

Immunogen

The exact immunogen used to generate this antibody is proprietary information.

Reactivity data

{ "title": "Reactivity Data", "filters": { "stats": ["", "Species", "Dilution Info", "Notes"], "tabs": { "all-applications": {"fullname" : "All Applications", "shortname": "All Applications"}, "WB" : {"fullname" : "Western blot", "shortname":"WB"}, "IHCP" : {"fullname" : "Immunohistochemistry (Formalin/PFA-fixed paraffin-embedded sections)", "shortname":"IHC-P"}, "ICCIF" : {"fullname" : "Immunocytochemistry/ Immunofluorescence", "shortname":"ICC/IF"} }, "product-promise": { "all": "all", "testedAndGuaranteed": "tested", "guaranteed": "expected", "predicted": "predicted", "notRecommended": "not-recommended" } }, "values": { "Human": { "WB-species-checked": "guaranteed", "WB-species-dilution-info": "", "WB-species-notes": "<p></p>", "IHCP-species-checked": "guaranteed", "IHCP-species-dilution-info": "", "IHCP-species-notes": "<p></p>", "ICCIF-species-checked": "guaranteed", "ICCIF-species-dilution-info": "5 µg/mL", "ICCIF-species-notes": "<p></p>" }, "Mouse": { "WB-species-checked": "predicted", "WB-species-dilution-info": "", "WB-species-notes": "", "IHCP-species-checked": "predicted", "IHCP-species-dilution-info": "", "IHCP-species-notes": "", "ICCIF-species-checked": "predicted", "ICCIF-species-dilution-info": "", "ICCIF-species-notes": "" }, "Rat": { "WB-species-checked": "predicted", "WB-species-dilution-info": "", "WB-species-notes": "", "IHCP-species-checked": "predicted", "IHCP-species-dilution-info": "", "IHCP-species-notes": "", "ICCIF-species-checked": "predicted", "ICCIF-species-dilution-info": "", "ICCIF-species-notes": "" }, "Dog": { "WB-species-checked": "predicted", "WB-species-dilution-info": "", "WB-species-notes": "", "IHCP-species-checked": "predicted", "IHCP-species-dilution-info": "", "IHCP-species-notes": "", "ICCIF-species-checked": "predicted", "ICCIF-species-dilution-info": "", "ICCIF-species-notes": "" }, "Monkey": { "WB-species-checked": "predicted", "WB-species-dilution-info": "", "WB-species-notes": "", "IHCP-species-checked": "predicted", "IHCP-species-dilution-info": "", "IHCP-species-notes": "", "ICCIF-species-checked": "predicted", "ICCIF-species-dilution-info": "", "ICCIF-species-notes": "" } } }

Product details

What is this antibody validated in?
Anti-Claudin 1 antibody (ab15098) is a rabbit polyclonal antibody and is validated for use in Western Blot (WB), Immunohistochemistry (IHC-P), Immunocytochemistry/immunofluorescence (ICC/IF) in Human samples.

What is the molecular weight of Claudin 1?
Anti-Claudin 1 (ab15098) specifically detects a band for Claudin 1 (UniProt: O95832) at a molecular weight of 23kDa.

Trusted by the scientific community
Anti-Claudin 1 (ab15098) was first used in a scientific publication in 2004 and has been cited over 230 times in peer-reviewed journals.

Reviewed by scientists
Anti-Claudin 1 (ab15098) has over 20 independent reviews from customers.

Properties and storage information

Form
Liquid
Purification technique
Affinity purification Immunogen
Storage buffer
pH: 7.6 Preservative: 0.1% Sodium azide Constituents: PBS, 1% BSA
Shipped at conditions
Blue Ice
Appropriate short-term storage duration
1-2 weeks
Appropriate short-term storage conditions
+4°C
Appropriate long-term storage conditions
-20°C
Aliquoting information
Upon delivery aliquot
Storage information
Avoid freeze / thaw cycle

Supplementary information

This supplementary information is collated from multiple sources and compiled automatically.

Claudin 1 also known as CLDN1 is a protein that plays a fundamental role in the formation of tight junctions in the epithelial cells. This claudin protein has a molecular weight of approximately 22 kDa. You can find it expressed in various tissues including the skin liver kidney and lungs. Claudin 1 belongs to the claudin family which consists of transmembrane proteins involved in sealing the space between adjacent cells therefore ensuring tissue integrity.
Biological function summary

This claudin protein contributes to establishing and maintaining the barrier function that controls paracellular transport which is the movement of substances between cells. Claudin 1 participates as a critical component of the tight junction complex and it interacts with other proteins such as occludin and zonula occludens. These interactions contribute to the regulation and maintenance of cell polarity and signaling.

Pathways

Claudin 1 is involved in the epithelial cell signaling pathways that influence cellular proliferation and differentiation. One significant pathway is the Wnt signaling pathway where claudin 1 cooperates with other claudins and proteins like Β-catenin to regulate gene transcription. Additionally it is implicated in the MAPK pathway which involves signaling cascades that affect cell growth division and response to external stress.

Claudin 1 shows a strong association with cancers particularly hepatocellular carcinoma and melanoma. In these conditions changes in claudin 1 expression levels can affect tumor progression and metastasis. It also associates with other proteins like E-cadherin impacting cell adhesion and epithelial-mesenchymal transition in cancerous cells. Moreover abnormalities in claudin 1 expression relate to skin disorders such as ichthyosis which is marked by a dysfunction in the skin barrier.

Product protocols

For this product, it's our understanding that no specific protocols are required. You can visit:

Target data

Claudins function as major constituents of the tight junction complexes that regulate the permeability of epithelia. While some claudin family members play essential roles in the formation of impermeable barriers, others mediate the permeability to ions and small molecules. Often, several claudin family members are coexpressed and interact with each other, and this determines the overall permeability. CLDN1 is required to prevent the paracellular diffusion of small molecules through tight junctions in the epidermis and is required for the normal barrier function of the skin. Required for normal water homeostasis and to prevent excessive water loss through the skin, probably via an indirect effect on the expression levels of other proteins, since CLDN1 itself seems to be dispensable for water barrier formation in keratinocyte tight junctions (PubMed : 23407391).. (Microbial infection) Acts as a co-receptor for hepatitis C virus (HCV) in hepatocytes (PubMed : 17325668, PubMed : 20375010, PubMed : 24038151). Associates with CD81 and the CLDN1-CD81 receptor complex is essential for HCV entry into host cell (PubMed : 20375010). Acts as a receptor for dengue virus (PubMed : 24074594).
See full target information CLDN1

Publications (296)

Recent publications for all applications. Explore the full list and refine your search

Journal of nanobiotechnology 23:612 PubMed41023976

2025

Lactobacillus johnsonii-derived extracellular vesicles restore mucosal immunity via taurine-linked Th17/Treg and IgA/IgG regulation in colitis.

Applications

Unspecified application

Species

Unspecified reactive species

Hailan Zhao,Ningning Yue,Zhiliang Mai,Yuan Zhang,Chengmei Tian,Chen Kong,Longbin Huang,Ruiyue Shi,Yujie Liang,Jun Yao,Yuqiang Nie,Defeng Li,Biao Nie,Lisheng Wang

Neurotrauma reports 6:586-599 PubMed40933834

2025

-.

Applications

Unspecified application

Species

Unspecified reactive species

Aria W Tarudji,Brandon Z McDonald,Evan Curtis,Connor Gee,Forrest M Kievit

Nature 646:161-170 PubMed40866704

2025

Maternal stress triggers early-life eczema through fetal mast cell programming.

Applications

Unspecified application

Species

Unspecified reactive species

Nadine Serhan,Nasser S Abdullah,Nadine Gheziel,Alexia Loste,Rüçhan Ekren,Elodie Labit,Anne-Alicia Gonzalez,Giulia Oliva,Pauline Tarot,Camille Petitfils,Gaëlle Payros,Paolo D'Avino,Allison Voisin,Holly Freya Grace Tinsley,Rebecca Gentek,Carole Brosseau,Marie Bodinier,Laurent Reber,Pierre Val,Cezmi A Akdis,Yasutaka Mitamura,Anand Kumar Andiappan,Jerry Kok Yen Chan,Florent Ginhoux,Amaury François,Nicolas Cénac,Lilian Basso,Nicolas Gaudenzio

Cells 14: PubMed40801656

2025

Notch2 Deletion Compromises Epithelial Integrity and Enamel Formation in Rodent Incisors.

Applications

Unspecified application

Species

Unspecified reactive species

Argyro Lamprou,Cristina Porcheri,Thimios A Mitsiadis

Drug delivery 32:2536802 PubMed40754992

2025

Enhancing targeted delivery and efficacy of PEGylated liposomal doxorubicin with liposomal minoxidil: comprehensive in silico, in vitro, and in vivo tumor model studies.

Applications

Unspecified application

Species

Unspecified reactive species

Vahideh Mohammadzadeh,Leila Arabi,Seyedeh Maryam Hosseinikhah,Mohammad Mashreghi,Fatemeh Kalalinia,Neda Mostajeran,Mohammad Reza Zirak,Farzin Hadizadeh,Mojgan Nejabat,Hossein Kamali,Niloufar Rahiman,Mahmoud Reza Jaafari

Frontiers in pharmacology 16:1614978 PubMed40717962

2025

Lumefantrine ameliorates DSS-induced colitis by targeting FLI-1 to suppress NF-κB signaling.

Applications

Unspecified application

Species

Unspecified reactive species

Ji Yang,Peng Guo,Hongtao Luo,Xin Tang,Wei Liu,Xiaolin Ren

Cells 14: PubMed40710298

2025

Bioengineering a Human Dermal Equivalent Using Induced Pluripotent Stem Cell-Derived Fibroblasts to Support the Formation of a Full-Thickness Skin Construct.

Applications

Unspecified application

Species

Unspecified reactive species

Lucy Smith,David Bunton,Michael Finch,Stefan Przyborski

Molecular medicine (Cambridge, Mass.) 31:263 PubMed40702450

2025

Tirzepatide mitigates Stroke-Induced Blood-Brain barrier disruption by modulating Claudin-1 and C/EBP-α pathways.

Applications

Unspecified application

Species

Unspecified reactive species

Duozi Wang,Jianhong Wang,Binghu Li,Shu Yang,Fuqiang Guo,Bo Zheng,Jian Wang

Nature 644:516-526 PubMed40681898

2025

Pathology-oriented multiplexing enables integrative disease mapping.

Applications

Unspecified application

Species

Unspecified reactive species

Malte Kuehl,Yusuke Okabayashi,Milagros N Wong,Lukas Gernhold,Gabriele Gut,Nico Kaiser,Maria Schwerk,Stefanie K Gräfe,Frank Y Ma,Jovan Tanevski,Philipp S L Schäfer,Sam Mezher,Jacobo Sarabia Del Castillo,Thiago Goldbeck-Strieder,Olga Zolotareva,Michael Hartung,Fernando M Delgado Chaves,Lukas Klinkert,Ann-Christin Gnirck,Marc Spehr,David Fleck,Mehdi Joodaki,Victor Parra,Mina Shaigan,Martin Diebold,Marco Prinz,Jennifer Kranz,Johan M Kux,Fabian Braun,Oliver Kretz,Hui Wu,Florian Grahammer,Sven Heins,Marina Zimmermann,Fabian Haas,Dominik Kylies,Nicola Wanner,Jan Czogalla,Bernhard Dumoulin,Nikolay Zolotarev,Maja Lindenmeyer,Pall Karlson,Jens R Nyengaard,Marcial Sebode,Sören Weidemann,Thorsten Wiech,Hermann-Josef Groene,Nicola M Tomas,Catherine Meyer-Schwesinger,Christoph Kuppe,Rafael Kramann,Alexandre Karras,Patrick Bruneval,Pierre-Louis Tharaux,Diego Pastene,Benito Yard,Jennifer A Schaub,Phillip J McCown,Laura Pyle,Ye Ji Choi,Takashi Yokoo,Jan Baumbach,Pablo J Sáez,Ivan Costa,Jan-Eric Turner,Jeffrey B Hodgin,Julio Saez-Rodriguez,Tobias B Huber,Petter Bjornstad,Matthias Kretzler,Olivia Lenoir,David J Nikolic-Paterson,Lucas Pelkmans,Stefan Bonn,Victor G Puelles

Scientific reports 15:18442 PubMed40419693

2025

Human umbilical cord-derived mesenchymal stem cells attenate histaminergic effect of intestinal mucosa through bax/bcl-2 pathway in food allergic enteritis.

Applications

Unspecified application

Species

Unspecified reactive species

Yuan Zhao,Weipeng Liu,Yabing Ding,Jie Zhou,Fan Zhang,Zhaoyan Wang,Qian Wang,Zuo Luan
View all publications
websiteProtocolBooklet
en
websiteProtocolBooklet
en

Product promise

We are committed to supporting your work with high-quality reagents, and we're here for you every step of the way. In the unlikely event that one of our products does not perform as expected, you're protected by our Product Promise.
For full details, please see our Terms & Conditions

Please note: All products are 'FOR RESEARCH USE ONLY. NOT FOR USE IN DIAGNOSTIC OR THERAPEUTIC PROCEDURES'.

For licensing inquiries, please contact partnerships@abcam.com