JavaScript is disabled in your browser. Please enable JavaScript to view this website.
AB180158

Anti-Claudin 1 antibody [EPR9306]

4

(2 Reviews)

|

(51 Publications)

Rabbit Recombinant Monoclonal Claudin 1 antibody. Suitable for WB and reacts with Mouse, Human samples. Cited in 51 publications.

View Alternative Names

CLD1, SEMP1, UNQ481/PRO944, CLDN1, Claudin-1, Senescence-associated epithelial membrane protein

5 Images
Western blot - Anti-Claudin 1 antibody [EPR9306] (AB180158)
  • WB

Lab

Western blot - Anti-Claudin 1 antibody [EPR9306] (AB180158)

Lanes 1 - 3 : Merged signal (red and green). Green - ab180158 observed at 18 kDa. Red - loading control, ab8245, observed at 37 kDa.

ab180158 was shown to specifically react with in wild-type A431 WT cells as signal was lost in A431 CLDN1 knockout cells. Wild-type and A431 CLDN1 knockout samples were subjected to SDS-PAGE. The membrane was blocked with 3pc Milk. ab180158 and ab8245 (Mouse anti GAPDH loading control) were incubated overnight at 4°C at 1/10000 dilution and 1/20000 dilution respectively. Blots were developed with Goat anti-Rabbit IgG H&L (IRDye® 800CW) preabsorbed ab216773 and Goat anti-Mouse IgG H&L (IRDye® 680RD) preabsorbed ab216776 secondary antibodies at 1/20000 dilution for 1 hour at room temperature before imaging.

All lanes:

Western blot - Anti-Claudin 1 antibody [EPR9306] (ab180158) at 1/10000 dilution

Lane 1:

Wild-type A-431 (Human epidermoid carcinoma cell line) whole cell lysate at 20 µg

Lane 2:

CLDN1 knockout A-431 (Human epidermoid carcinoma cell line) whole cell lysate at 20 µg

Lane 2:

Western blot - Human CLDN1 knockout A-431 cell line (<a href='/en-us/products/cell-lines/human-cldn1-knockout-a-431-cell-line-ab261889'>ab261889</a>)

Lane 3:

A549 (Human lung carcinoma cell line) whole cell lysate at 20 µg

Predicted band size: 22 kDa

false

Western blot - Anti-Claudin 1 antibody [EPR9306] (AB180158)
  • WB

Supplier Data

Western blot - Anti-Claudin 1 antibody [EPR9306] (AB180158)

All lanes:

Western blot - Anti-Claudin 1 antibody [EPR9306] (ab180158) at 1/10000 dilution

Lane 1:

A431 cell lysate at 20 µg

Lane 2:

Human skin lysate at 20 µg

Secondary

All lanes:

Goat Anti-Rabbit IgG, (H+L), Peroxidase conjugated at 1/1000 dilution

Predicted band size: 22 kDa

false

Western blot - Anti-Claudin 1 antibody [EPR9306] (AB180158)
  • WB

Lab

Western blot - Anti-Claudin 1 antibody [EPR9306] (AB180158)

Blocking/Diluting buffer and concentration : 5% NFDM/TBST.

Claudin-1 expression is minimal in normal colon tissues and is increased in tumors (PMID : 17308096, PMID : 15965503).

All lanes:

Western blot - Anti-Claudin 1 antibody [EPR9306] (ab180158) at 1/1000 dilution

Lane 1:

Mouse liver tissue lysate at 20 µg

Lane 2:

Mouse kidney tissue lysate at 20 µg

Lane 3:

Mouse colon tissue lysate at 20 µg

Lane 4:

Mouse small intestine tissue lysate at 20 µg

Lane 5:

NIH/3T3 (Mouse embryonic fibroblast) whole cell lysate at 20 µg

Secondary

All lanes:

Western blot - Goat Anti-Rabbit IgG H&L (HRP) (<a href='/en-us/products/secondary-antibodies/goat-rabbit-igg-h-l-hrp-ab97051'>ab97051</a>) at 1/20000 dilution

Predicted band size: 22 kDa

Observed band size: 18 kDa

false

Exposure time: 60s

Western blot - Anti-Claudin 1 antibody [EPR9306] (AB180158)
  • WB

Lab

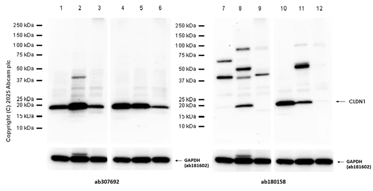
Western blot - Anti-Claudin 1 antibody [EPR9306] (AB180158)

In Western blot, Anti-GAPDH antibody [EPR16891] - Loading Control (ab181602) staining at 1/1000000 dilution.

ab307692 may serve as a viable alternative to ab180158 in Western blot.

Lanes 1 - 6:

Western blot - Anti-Claudin 1 antibody [EPR25359-48] (<a href='/en-us/products/primary-antibodies/claudin-1-antibody-epr25359-48-ab307692'>ab307692</a>) at 1/1000 dilution

Lanes 7 - 12:

Western blot - Anti-Claudin 1 antibody [EPR9306] (ab180158) at 1/1000 dilution

Lanes 1 and 7:

Mouse kidney at 10 µg

Lanes 2 and 8:

Mouse liver at 10 µg

Lanes 3 and 9:

Mouse colon at 10 µg

Lanes 4 and 10:

Rat kidney at 10 µg

Lanes 5 and 11:

Rat liver at 10 µg

Lanes 6 and 12:

Rat colon at 10 µg

Secondary

All lanes:

Western blot - Goat Anti-Rabbit IgG H&L (HRP) (<a href='/en-us/products/secondary-antibodies/goat-rabbit-igg-h-l-hrp-ab97051'>ab97051</a>) at 1/20000 dilution

Observed band size: 19 kDa

false

Exposure time: 60s

Western blot - Anti-Claudin 1 antibody [EPR9306] (AB180158)
  • WB

Supplier Data

Western blot - Anti-Claudin 1 antibody [EPR9306] (AB180158)

All lanes:

Western blot - Anti-Claudin 1 antibody [EPR9306] (ab180158) at 1/2000 dilution

All lanes:

Human fetal liver lysate at 10 µg

Secondary

All lanes:

Western blot - Goat Anti-Rabbit IgG H&L (HRP) (<a href='/en-us/products/secondary-antibodies/goat-rabbit-igg-h-l-hrp-ab136636'>ab136636</a>) at 1/500 dilution

Predicted band size: 22 kDa

false

  • Carrier free

    Anti-Claudin 1 antibody [EPR9306] - BSA and Azide free

Key facts

Host species

Rabbit

Clonality

Monoclonal

Clone number

EPR9306

Isotype

IgG

Carrier free

No

Reacts with

Mouse, Human

Applications

WB

applications

Immunogen

The exact immunogen used to generate this antibody is proprietary information.

Specificity

Claudin-1 expression is minimal in normal colon tissues and is increased in tumors (PMID: 17308096,PMID: 15965503).

Reactivity data

{ "title": "Reactivity Data", "filters": { "stats": ["", "Species", "Dilution Info", "Notes"], "tabs": { "all-applications": {"fullname" : "All Applications", "shortname": "All Applications"}, "WB" : {"fullname" : "Western blot", "shortname":"WB"} }, "product-promise": { "all": "all", "testedAndGuaranteed": "tested", "guaranteed": "expected", "predicted": "predicted", "notRecommended": "not-recommended" } }, "values": { "Human": { "WB-species-checked": "testedAndGuaranteed", "WB-species-dilution-info": "1/2000 - 1/10000", "WB-species-notes": "<p></p>" }, "Mouse": { "WB-species-checked": "testedAndGuaranteed", "WB-species-dilution-info": "1/2000 - 1/10000", "WB-species-notes": "<p></p>" }, "Rat": { "WB-species-checked": "predicted", "WB-species-dilution-info": "", "WB-species-notes": "" } } }

Product details

Patented technology
Our RabMAb® technology is a patented hybridoma-based technology for making rabbit monoclonal antibodies. For details on our patents, please refer to RabMAb® patents.

What are the advantages of a recombinant monoclonal antibody?
This product is a recombinant monoclonal antibody, which offers several advantages including:

  • - High batch-to-batch consistency and reproducibility
  • - Improved sensitivity and specificity
  • - Long-term security of supply
  • - Animal-free batch production

For more information, read more on recombinant antibodies.

Properties and storage information

Form
Liquid
Purification technique
Affinity purification Protein A
Storage buffer
Preservative: 0.01% Sodium azide Constituents: PBS, 40% Glycerol (glycerin, glycerine), 0.05% BSA
Shipped at conditions
Blue Ice
Appropriate short-term storage duration
1-2 weeks
Appropriate short-term storage conditions
+4°C
Appropriate long-term storage conditions
-20°C
Aliquoting information
Upon delivery aliquot
Storage information
Avoid freeze / thaw cycle

Supplementary information

This supplementary information is collated from multiple sources and compiled automatically.

Claudin 1 also known as CLDN1 is a protein that plays a fundamental role in the formation of tight junctions in the epithelial cells. This claudin protein has a molecular weight of approximately 22 kDa. You can find it expressed in various tissues including the skin liver kidney and lungs. Claudin 1 belongs to the claudin family which consists of transmembrane proteins involved in sealing the space between adjacent cells therefore ensuring tissue integrity.
Biological function summary

This claudin protein contributes to establishing and maintaining the barrier function that controls paracellular transport which is the movement of substances between cells. Claudin 1 participates as a critical component of the tight junction complex and it interacts with other proteins such as occludin and zonula occludens. These interactions contribute to the regulation and maintenance of cell polarity and signaling.

Pathways

Claudin 1 is involved in the epithelial cell signaling pathways that influence cellular proliferation and differentiation. One significant pathway is the Wnt signaling pathway where claudin 1 cooperates with other claudins and proteins like β-catenin to regulate gene transcription. Additionally it is implicated in the MAPK pathway which involves signaling cascades that affect cell growth division and response to external stress.

Claudin 1 shows a strong association with cancers particularly hepatocellular carcinoma and melanoma. In these conditions changes in claudin 1 expression levels can affect tumor progression and metastasis. It also associates with other proteins like E-cadherin impacting cell adhesion and epithelial-mesenchymal transition in cancerous cells. Moreover abnormalities in claudin 1 expression relate to skin disorders such as ichthyosis which is marked by a dysfunction in the skin barrier.

Product protocols

For this product, it's our understanding that no specific protocols are required. You can visit:

Target data

Claudins function as major constituents of the tight junction complexes that regulate the permeability of epithelia. While some claudin family members play essential roles in the formation of impermeable barriers, others mediate the permeability to ions and small molecules. Often, several claudin family members are coexpressed and interact with each other, and this determines the overall permeability. CLDN1 is required to prevent the paracellular diffusion of small molecules through tight junctions in the epidermis and is required for the normal barrier function of the skin. Required for normal water homeostasis and to prevent excessive water loss through the skin, probably via an indirect effect on the expression levels of other proteins, since CLDN1 itself seems to be dispensable for water barrier formation in keratinocyte tight junctions (PubMed : 23407391).. (Microbial infection) Acts as a co-receptor for hepatitis C virus (HCV) in hepatocytes (PubMed : 17325668, PubMed : 20375010, PubMed : 24038151). Associates with CD81 and the CLDN1-CD81 receptor complex is essential for HCV entry into host cell (PubMed : 20375010). Acts as a receptor for dengue virus (PubMed : 24074594).
See full target information CLDN1

Publications (51)

Recent publications for all applications. Explore the full list and refine your search

NPJ biofilms and microbiomes 11:174 PubMed40855059

2025

Harnessing dual-channel probiotics to synergistically correct intestinal and vaginal dysbiosis after antibiotic disruption.

Applications

Unspecified application

Species

Unspecified reactive species

Xuanqi Zhao,Qifa Huang,Yujuan Liu,Xia He,Weijun Chen,Yan Liu,Lihong Gan,Jing Wei,Hongyan Zhang,Tingtao Chen

Journal of neuroinflammation 22:174 PubMed40618163

2025

LAG3 limits regulatory T cell proliferation in α-synuclein gut-to-brain transmission model.

Applications

Unspecified application

Species

Unspecified reactive species

Wei-Xin Kong,Zhi-Ling Zhang,Jin Li,Si Zhu,Chong Li,Xiao-Li Dong,Ting-Ting Gan,Di Hu,Feng-Chu Liang,Ping-Yi Xu,Wen-Yuan Guo

Microbial biotechnology 18:e70083 PubMed39825784

2025

Akkermansia muciniphila Mediated the Preventive Effect of Disulfiram on Acute Liver Injury via PI3K/Akt Pathway.

Applications

Unspecified application

Species

Unspecified reactive species

Ruonan Zhang,Xuewei Sun,Han Lu,Xinrui Zhang,Mingyan Zhang,Xuewen Ji,Xinyi Yu,Chengliang Tang,Zihan Wu,Yinghua Mao,Jin Zhu,Minjun Ji,Zhan Yang

Frontiers in microbiology 15:1482785 PubMed39444688

2024

Ruhao Dashi granules exert therapeutic effects on H1N1 influenza virus infection by altering intestinal microflora composition.

Applications

Unspecified application

Species

Unspecified reactive species

Wei Pan,Rui Wu,Qianyun Zhang,Yuan Ma,Jinxiang Xiang,Jingbo Wang,Jing Chen

Frontiers in pharmacology 15:1466824 PubMed39372212

2024

Evaluation of the beneficial effects of a GABA-based product containing on post-inflammatory irritable bowel syndrome: a preclinical study.

Applications

Unspecified application

Species

Unspecified reactive species

Elena Lucarini,Laura Benvenuti,Clelia Di Salvo,Vanessa D'Antongiovanni,Carolina Pellegrini,Giulia Valdiserra,Clara Ciampi,Luca Antonioli,Christian Lambiase,Lorenzo Cancelli,Antonio Grosso,Lorenzo Di Cesare Mannelli,Massimo Bellini,Carla Ghelardini,Matteo Fornai

Nutrients 16: PubMed38732535

2024

Supplementation Could Reverse the Learning and Memory Impairment and m6A Methylation Modification Decrease Caused by 27-Hydroxycholesterol in Mice.

Applications

Unspecified application

Species

Unspecified reactive species

Xuejing Sun,Cui Zhou,Mengwei Ju,Wenjing Feng,Zhiting Guo,Chengyan Qi,Kexin Yang,Rong Xiao

Materials today. Bio 25:101010 PubMed38495916

2024

From static to dynamic: The influence of mechanotransduction on skin equivalents analyzed by bioimaging and RNAseq.

Applications

Unspecified application

Species

Unspecified reactive species

Katharina Kaiser,Sofie M Bendixen,Jens Ahm Sørensen,Jonathan R Brewer

Molecules (Basel, Switzerland) 29: PubMed38338475

2024

Ameliorative Effects of Rosc on Antibiotic-Associated Diarrhea and Improvement in Intestinal Function.

Applications

Unspecified application

Species

Unspecified reactive species

Sung Jin Kim,Myoung-Sook Shin,You-Kyung Choi

Polymers 16: PubMed38257030

2024

Ameliorative Effects of Korean-Red-Ginseng-Derived Polysaccharide on Antibiotic-Associated Diarrhea.

Applications

Unspecified application

Species

Unspecified reactive species

Su Ji Min,Hiyoung Kim,Noriko Yambe,Myoung-Sook Shin

Biological & pharmaceutical bulletin 47:486-498 PubMed38199251

2024

Loureirin A Promotes Cell Differentiation and Suppresses Migration and Invasion of Melanoma Cells via WNT and AKT/mTOR Signaling Pathways.

Applications

Unspecified application

Species

Unspecified reactive species

Zi-Yi Xia,Ling Liu,Chiu-Fai Kuok,Xue-Li Wang,Dan Shi,Quan Ma,Xiao-Yang Cheng,Guo-Li Wang,Min-Jing Li,Qiu-Sheng Zheng,Xiao-Na Liu,De-Fang Li,Bo-Han Li
View all publications

Product promise

We are committed to supporting your work with high-quality reagents, and we're here for you every step of the way. In the unlikely event that one of our products does not perform as expected, you're protected by our Product Promise.
For full details, please see our Terms & Conditions

Please note: All products are 'FOR RESEARCH USE ONLY. NOT FOR USE IN DIAGNOSTIC OR THERAPEUTIC PROCEDURES'.

For licensing inquiries, please contact partnerships@abcam.com