JavaScript is disabled in your browser. Please enable JavaScript to view this website.
AB211737

Anti-Claudin 1 antibody [EPRR18871]

5

(7 Reviews)

|

(75 Publications)

Anti-Claudin 1 antibody [EPRR18871] (ab211737) is a rabbit monoclonal antibody detecting Claudin 1 in Western Blot, Flow Cytometry (Intra), Flow Cytometry, IP, IHC-P, ICC/IF. Suitable for Human,.

- KO validated for confirmed specificity
- Biophysical QC for unrivalled batch-batch consistency
- Over 30 publications

View Alternative Names

CLD1, SEMP1, UNQ481/PRO944, CLDN1, Claudin-1, Senescence-associated epithelial membrane protein

13 Images
Immunohistochemistry (Formalin/PFA-fixed paraffin-embedded sections) - Anti-Claudin 1 antibody [EPRR18871] (AB211737)
  • IHC-P

Supplier Data

Immunohistochemistry (Formalin/PFA-fixed paraffin-embedded sections) - Anti-Claudin 1 antibody [EPRR18871] (AB211737)

Immunohistochemical analysis of paraffin-embedded human colon cancer tissue labeling Claudin 1 with ab211737 at 1/250 dilution, followed by Goat Anti-Rabbit IgG H&L (HRP) (ab97051) at 1/500 dilution. Membrane staining on human colon cancer (PMID : 15475928) is observed. Counter stained with Hematoxylin.

Secondary antibody only control : Used PBS instead of primary antibody, secondary antibody is Goat Anti-Rabbit IgG H&L (HRP) (ab97051) at 1/500 dilution.

Perform heat mediated antigen retrieval with Tris/EDTA buffer pH 9.0 before commencing with IHC staining protocol.

Immunohistochemistry (Formalin/PFA-fixed paraffin-embedded sections) - Anti-Claudin 1 antibody [EPRR18871] (AB211737)
  • IHC-P

Supplier Data

Immunohistochemistry (Formalin/PFA-fixed paraffin-embedded sections) - Anti-Claudin 1 antibody [EPRR18871] (AB211737)

Immunohistochemical analysis of paraffin-embedded human cervix tissue labeling Claudin 1 with ab211737 at 1/250 dilution, followed by Goat Anti-Rabbit IgG H&L (HRP) (ab97051) at 1/500 dilution. Membrane staining on human cervix is observed. Counter stained with Hematoxylin.

Secondary antibody only control : Used PBS instead of primary antibody, secondary antibody is Goat Anti-Rabbit IgG H&L (HRP) (ab97051) at 1/500 dilution.

Perform heat mediated antigen retrieval with Tris/EDTA buffer pH 9.0 before commencing with IHC staining protocol.

Immunocytochemistry/ Immunofluorescence - Anti-Claudin 1 antibody [EPRR18871] (AB211737)
  • ICC/IF

Supplier Data

Immunocytochemistry/ Immunofluorescence - Anti-Claudin 1 antibody [EPRR18871] (AB211737)

Immunofluorescent analysis of 4% paraformaldehyde-fixed, 0.1% Triton X-100 permeabilized HepG2 (Human liver hepatocellular carcinoma cell line) cells labeling Claudin 1 with ab211737 at 1/1000 dilution, followed by Goat Anti-Rabbit IgG H&L (Alexa Fluor® 488) (ab150077) secondary antibody at 1/1000 dilution (green).

Confocal image showing membranous staining on HepG2 cell line.

The nuclear counterstain is DAPI (blue).

Tubulin is detected with Anti-alpha Tubulin mouse MAb (ab7291) at 1/1000 dilution and Goat Anti-Mouse IgG H&L (Alexa Fluor® 594) (ab150120) secondary antibody at 1/1000 dilution (red).

The negative controls are as follows : -

-ve control 1 : ab211737 at 1/1000 dilution followed by Goat Anti-Mouse IgG H&L (Alexa Fluor® 594) (ab150120) secondary antibody at 1/1000 dilution.

-ve control 2 : Anti-alpha Tubulin mouse MAb (ab7291) at 1/1000 dilution followed by Goat Anti-Rabbit IgG H&L (Alexa Fluor® 488) (ab150077) secondary antibody at 1/1000 dilution.

Immunohistochemistry (Formalin/PFA-fixed paraffin-embedded sections) - Anti-Claudin 1 antibody [EPRR18871] (AB211737)
  • IHC-P

Unknown

Immunohistochemistry (Formalin/PFA-fixed paraffin-embedded sections) - Anti-Claudin 1 antibody [EPRR18871] (AB211737)

Immunohistochemical analysis of paraffin-embedded human lung adenocarcinoma tissue labeling Claudin 1 with ab211737 at 1/250 dilution, followed by Goat Anti-Rabbit IgG H&L (HRP) (ab97051) at 1/500 dilution.

Negative control : Negative staining on human lung adenocarcinoma, which is consistent with the literature (PMID : 17585317).

Counter stained with Hematoxylin.

Perform heat mediated antigen retrieval with Tris/EDTA buffer pH 9.0 before commencing with IHC staining protocol.

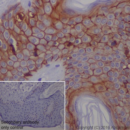
Immunohistochemistry (Formalin/PFA-fixed paraffin-embedded sections) - Anti-Claudin 1 antibody [EPRR18871] (AB211737)
  • IHC-P

Supplier Data

Immunohistochemistry (Formalin/PFA-fixed paraffin-embedded sections) - Anti-Claudin 1 antibody [EPRR18871] (AB211737)

Immunohistochemical analysis of paraffin-embedded human skin tissue labeling Claudin 1 with ab211737 at 1/250 dilution, followed by Goat Anti-Rabbit IgG H&L (HRP) (ab97051) at 1/500 dilution. Membrane staining on human skin squamous cells is observed. Counter stained with Hematoxylin.

Secondary antibody only control : Used PBS instead of primary antibody, secondary antibody is Goat Anti-Rabbit IgG H&L (HRP) (ab97051) at 1/500 dilution.

Perform heat mediated antigen retrieval with Tris/EDTA buffer pH 9.0 before commencing with IHC staining protocol.

Flow Cytometry (Intracellular) - Anti-Claudin 1 antibody [EPRR18871] (AB211737)
  • Flow Cyt (Intra)

Supplier Data

Flow Cytometry (Intracellular) - Anti-Claudin 1 antibody [EPRR18871] (AB211737)

Intracellular flow cytometric analysis of 4% paraformaldehyde-fixed HepG2 (Human liver hepatocellular carcinoma cell line) cells labeling Claudin 1with ab211737 at 1/60 dilution (red) compared with a rabbit monoclonal IgG isotype control (ab172730; black) and an unlabelled control (cells without incubation with primary antibody and secondary antibody; blue). Goat Anti-Rabbit IgG (Alexa Fluor® 488) at 1/2000 dilution was used as the secondary antibody.

Immunocytochemistry/ Immunofluorescence - Anti-Claudin 1 antibody [EPRR18871] (AB211737)
  • ICC/IF

Supplier Data

Immunocytochemistry/ Immunofluorescence - Anti-Claudin 1 antibody [EPRR18871] (AB211737)

Immunofluorescent analysis of 4% paraformaldehyde-fixed, 0.1% Triton X-100 permeabilized A431 (Human epidermoid carcinoma cell line) cells labeling Claudin 1 with ab211737 at 1/1000 dilution, followed by Goat Anti-Rabbit IgG H&L (Alexa Fluor® 488) (ab150077) secondary antibody at 1/1000 dilution (green). Confocal image showing membrane staining on A431 cell line.The nuclear counterstain is DAPI (blue).

Tubulin is detected with Anti-alpha Tubulin mouse MAb (ab7291) at 1/1000 dilution and Goat Anti-Mouse IgG H&L (Alexa Fluor® 594) (ab150120) secondary antibody at 1/1000 dilution (red).

The negative controls are as follows : -

-ve control 1 : ab211737 at 1/1000 dilution followed by Goat Anti-Mouse IgG H&L (Alexa Fluor® 594) (ab150120) secondary antibody at 1/1000 dilution.

-ve control 2 : Anti-alpha Tubulin mouse MAb (ab7291) at 1/1000 dilution followed by Goat Anti-Rabbit IgG H&L (Alexa Fluor® 488) (ab150077) secondary antibody at 1/1000 dilution.

Immunohistochemistry (Formalin/PFA-fixed paraffin-embedded sections) - Anti-Claudin 1 antibody [EPRR18871] (AB211737)
  • IHC-P

Supplier Data

Immunohistochemistry (Formalin/PFA-fixed paraffin-embedded sections) - Anti-Claudin 1 antibody [EPRR18871] (AB211737)

Immunohistochemical analysis of paraffin-embedded human lung squamous cell cancer tissue labeling Claudin 1 with ab211737 at 1/250 dilution, followed by Goat Anti-Rabbit IgG H&L (HRP) (ab97051) at 1/500 dilution. Membrane staining on human lung squamous cell cancer is observed. Counter stained with Hematoxylin.

Secondary antibody only control : Used PBS instead of primary antibody, secondary antibody is Goat Anti-Rabbit IgG H&L (HRP) (ab97051) at 1/500 dilution.

Perform heat mediated antigen retrieval with Tris/EDTA buffer pH 9.0 before commencing with IHC staining protocol.

Immunoprecipitation - Anti-Claudin 1 antibody [EPRR18871] (AB211737)
  • IP

Supplier Data

Immunoprecipitation - Anti-Claudin 1 antibody [EPRR18871] (AB211737)

Claudin 1 was immunoprecipitated from 0.35 mg of HepG2 (Human liver hepatocellular carcinoma cell line) whole cell lysate with ab211737 at 1/40 dilution.

Western blot was performed from the immunoprecipitate using ab211737 at 1/2000 dilution.

VeriBlot for IP Detection Reagent (HRP) (ab131366), was used for detection at 1/10,000 dilution

Lane 1 : HepG2 whole cell lysate 10μg (Input).

Lane 2 : ab211737 IP in HepG2 whole cell lysate.

Lane 3 : Rabbit monoclonal IgG (ab172730) instead of ab211737 in HepG2 whole cell lysate.

Blocking and dilution buffer and concentration : 5% NFDM/TBST.

Exposure time : 3 seconds.

All lanes:

Immunoprecipitation - Anti-Claudin 1 antibody [EPRR18871] (ab211737)

Predicted band size: 22 kDa

false

Western blot - Anti-Claudin 1 antibody [EPRR18871] (AB211737)
  • WB

Supplier Data

Western blot - Anti-Claudin 1 antibody [EPRR18871] (AB211737)

Blocking/Dilution buffer : 5% NFDM/TBST.

The expression profile/ molecular weight observed is consistent with what has been described in the literature PMID : 26601075.

All lanes:

Western blot - Anti-Claudin 1 antibody [EPRR18871] (ab211737) at 1/2000 dilution

Lane 1:

Human fetal liver lysate at 10 µg

Lane 2:

Human fetal kidney lysate at 10 µg

Secondary

All lanes:

Goat Anti-Rabbit IgG Peroxidase Conjugate, specific to the non-reduced form of IgG at 1/10000 dilution

Predicted band size: 22 kDa

Observed band size: 18 kDa

false

Exposure time: 3min

Western blot - Anti-Claudin 1 antibody [EPRR18871] (AB211737)
  • WB

Lab

Western blot - Anti-Claudin 1 antibody [EPRR18871] (AB211737)

Lanes 1 - 4 : Merged signal (red and green). Green - ab211737 observed at 18 kDa. Red - loading control, ab8245, observed at 37 kDa.

ab211737 was shown to specifically react with in wild-type A431 WT cells as signal was lost in A431 CLDN1 knockout cells. Wild-type and A431 CLDN1 knockout samples were subjected to SDS-PAGE. The membrane was blocked with 3pc Milk. ab211737 and ab8245 (Mouse anti GAPDH loading control) were incubated overnight at 4°C at 1/2000 dilution and 1/20000 dilution respectively. Blots were developed with Goat anti-Rabbit IgG H&L (IRDye® 800CW) preabsorbed ab216773 and Goat anti-Mouse IgG H&L (IRDye® 680RD) preabsorbed ab216776 secondary antibodies at 1/20000 dilution for 1 hour at room temperature before imaging.

All lanes:

Western blot - Anti-Claudin 1 antibody [EPRR18871] (ab211737) at 1/2000 dilution

Lane 1:

Wild-type A-431 (Human epidermoid carcinoma cell line) whole cell lysate at 20 µg

Lane 2:

CLDN1 knockout A-431 (Human epidermoid carcinoma cell line) whole cell lysate at 20 µg

Lane 2:

Western blot - Human CLDN1 knockout A-431 cell line (<a href='/en-us/products/cell-lines/human-cldn1-knockout-a-431-cell-line-ab261889'>ab261889</a>)

Lane 3:

A549 (Human lung carcinoma cell line) whole cell lysate at 20 µg

Lane 4:

MCF7 (Human breast adenocarcinoma cell line) whole cell lysate at 20 µg

Predicted band size: 22 kDa

false

Western blot - Anti-Claudin 1 antibody [EPRR18871] (AB211737)
  • WB

Supplier Data

Western blot - Anti-Claudin 1 antibody [EPRR18871] (AB211737)

Blocking/Dilution buffer : 5% NFDM/TBST.

Human Claudin 1 full length recombinant protein contains aa1-211 with His-Tag® and GST-tag. This recombinant was made in house.

All lanes:

Western blot - Anti-Claudin 1 antibody [EPRR18871] (ab211737) at 1/5000 dilution

All lanes:

Human Claudin 1 full length recombinant protein at 0.01 µg

Secondary

All lanes:

Western blot - Goat Anti-Rabbit IgG H&L (HRP) (<a href='/en-us/products/secondary-antibodies/goat-rabbit-igg-h-l-hrp-ab97051'>ab97051</a>) at 1/100000 dilution

Predicted band size: 22 kDa

Observed band size: 45 kDa

false

Exposure time: 1s

Western blot - Anti-Claudin 1 antibody [EPRR18871] (AB211737)
  • WB

Supplier Data

Western blot - Anti-Claudin 1 antibody [EPRR18871] (AB211737)

Blocking/Dilution buffer : 5% NFDM/TBST.

Exposure time : Lane 1/2 : 15 seconds; Lane 3 : 5 seconds.

The expression profile/ molecular weight observed is consistent with what has been described in the literature PMID : 26601075.

All lanes:

Western blot - Anti-Claudin 1 antibody [EPRR18871] (ab211737) at 1/2000 dilution

Lane 1:

HEK-293 (Human epithelial cell line from embryonic kidney) whole cell lysate at 10 µg

Lane 2:

A431 (Human epidermoid carcinoma cell line) whole cell lysate at 10 µg

Lane 3:

HepG2 (Human liver hepatocellular carcinoma cell line) whole cell lysate at 10 µg

Secondary

All lanes:

Western blot - Goat Anti-Rabbit IgG H&L (HRP) (<a href='/en-us/products/secondary-antibodies/goat-rabbit-igg-h-l-hrp-ab97051'>ab97051</a>) at 1/100000 dilution

Predicted band size: 22 kDa

Observed band size: 18 kDa

false

  • Carrier free

    Anti-Claudin 1 antibody [EPRR18871] - BSA and Azide free

  • 578 PE

    PE Anti-Claudin 1 antibody [EPRR18871]

  • HRP

    HRP Anti-Claudin 1 antibody [EPRR18871]

  • 617 Alexa Fluor® 594

    Alexa Fluor® 594 Anti-Claudin 1 antibody [EPRR18871]

  • 519 Alexa Fluor® 488

    Alexa Fluor® 488 Anti-Claudin 1 antibody [EPRR18871]

  • 665 Alexa Fluor® 647

    Alexa Fluor® 647 Anti-Claudin 1 antibody [EPRR18871]

  • 565 Alexa Fluor® 555

    Alexa Fluor® 555 Anti-Claudin 1 antibody [EPRR18871]

  • 660 APC

    APC Anti-Claudin 1 antibody [EPRR18871]

  • Carrier free

    Anti-Claudin 1 antibody [RM1186] - BSA and Azide free

  • Unconjugated

    Anti-Claudin 1 antibody [RM1186]

  • Unconjugated

    Anti-Claudin 1 antibody [EPR25359-48]

Key facts

Host species

Rabbit

Clonality

Monoclonal

Clone number

EPRR18871

Isotype

IgG

Carrier free

No

Reacts with

Human

Applications

IHC-P, ICC/IF, Flow Cyt (Intra), WB, IP

applications

Immunogen

The exact immunogen used to generate this antibody is proprietary information.

Reactivity data

{ "title": "Reactivity Data", "filters": { "stats": ["", "Species", "Dilution Info", "Notes"], "tabs": { "all-applications": {"fullname" : "All Applications", "shortname": "All Applications"}, "IP" : {"fullname" : "Immunoprecipitation", "shortname":"IP"}, "WB" : {"fullname" : "Western blot", "shortname":"WB"}, "ICCIF" : {"fullname" : "Immunocytochemistry/ Immunofluorescence", "shortname":"ICC/IF"}, "FlowCytIntra" : {"fullname" : "Flow Cytometry (Intracellular)", "shortname":"Flow Cyt (Intra)"}, "IHCP" : {"fullname" : "Immunohistochemistry (Formalin/PFA-fixed paraffin-embedded sections)", "shortname":"IHC-P"} }, "product-promise": { "all": "all", "testedAndGuaranteed": "tested", "guaranteed": "expected", "predicted": "predicted", "notRecommended": "not-recommended" } }, "values": { "Human": { "IP-species-checked": "testedAndGuaranteed", "IP-species-dilution-info": "1/40", "IP-species-notes": "<p></p>", "WB-species-checked": "testedAndGuaranteed", "WB-species-dilution-info": "1/2000", "WB-species-notes": "<p></p>", "ICCIF-species-checked": "testedAndGuaranteed", "ICCIF-species-dilution-info": "1/1000", "ICCIF-species-notes": "<p></p>", "FlowCytIntra-species-checked": "testedAndGuaranteed", "FlowCytIntra-species-dilution-info": "1/60", "FlowCytIntra-species-notes": "<p></p>", "IHCP-species-checked": "testedAndGuaranteed", "IHCP-species-dilution-info": "1/250", "IHCP-species-notes": "<p></p> Perform heat-mediated antigen retrieval with Tris/EDTA buffer pH 9.0 before commencing with IHC staining protocol." }, "Mouse": { "IP-species-checked": "notRecommended", "IP-species-dilution-info": "", "IP-species-notes": "", "WB-species-checked": "notRecommended", "WB-species-dilution-info": "", "WB-species-notes": "", "ICCIF-species-checked": "notRecommended", "ICCIF-species-dilution-info": "", "ICCIF-species-notes": "", "FlowCytIntra-species-checked": "notRecommended", "FlowCytIntra-species-dilution-info": "", "FlowCytIntra-species-notes": "", "IHCP-species-checked": "notRecommended", "IHCP-species-dilution-info": "1/250", "IHCP-species-notes": "<p></p> Perform heat-mediated antigen retrieval with Tris/EDTA buffer pH 9.0 before commencing with IHC staining protocol." }, "Recombinant full length protein - Human": { "IP-species-checked": "notRecommended", "IP-species-dilution-info": "", "IP-species-notes": "", "WB-species-checked": "testedAndGuaranteed", "WB-species-dilution-info": "1/2000", "WB-species-notes": "<p></p>", "ICCIF-species-checked": "notRecommended", "ICCIF-species-dilution-info": "", "ICCIF-species-notes": "", "FlowCytIntra-species-checked": "notRecommended", "FlowCytIntra-species-dilution-info": "", "FlowCytIntra-species-notes": "", "IHCP-species-checked": "notRecommended", "IHCP-species-dilution-info": "", "IHCP-species-notes": "" } } }

Product details

What is this antibody validated in?
Anti-Claudin 1 antibody [EPRR18871] (ab211737) is a rabbit recombinant monoclonal antibody and is validated for use in Western Blot (WB), Flow Cytometry (Intra), Flow Cytometry (Flow Cyt), Immunoprecipitation (IP), Immunohistochemistry (IHC-P), Immunocytochemistry/immunofluorescence (ICC/IF) in Human, samples.

What is the molecular weight of Claudin 1?
Anti-Claudin 1 [EPRR18871] (ab211737) specifically detects a band for Claudin 1 (UniProt: O95832) at a molecular weight of 22kDa.

Trusted by the scientific community
Anti-Claudin 1 [EPRR18871] (ab211737) was first used in a scientific publication in 2016 and has been cited over 30 times in peer-reviewed journals.

Reviewed by scientists
Anti-Claudin 1 [EPRR18871] (ab211737) has over 5 independent reviews from customers.

Trial sizes available!
Test your antibody or perform pre-screening before committing to a larger quantity. Sold in 10µl. Discover our selection of trial-size antibodies.

Specificity confirmed
The specificity of Anti-Claudin 1 antibody [EPRR18871] (ab211737) has been confirmed by Western blot testing in CLDN1 Knockout A431 cells.

Other related products
We have a range of other formats of antibody clone [EPRR18871] also available for your convenience: ab211737, Carrier free - ab238949, PE - ab303065, APC - ab303066, HRP - ab303067, Alkaline Phosphatase - ab308713, Alexa Fluor® 488 - ab309682, Alexa Fluor® 647 - ab310044, Alexa Fluor® 594 - ab310432, Alexa Fluor® 555 - ab311958

Patented technology
Our RabMAb® technology is a patented hybridoma-based technology for making rabbit monoclonal antibodies. For details on our patents, please refer to RabMAb® patents.

What are the advantages of a recombinant monoclonal antibody?
This product is a recombinant monoclonal antibody, which offers several advantages including:

  • - High batch-to-batch consistency and reproducibility
  • - Improved sensitivity and specificity
  • - Long-term security of supply
  • - Animal-free batch production

For more information, read more on recombinant antibodies.

Properties and storage information

Form
Liquid
Purification technique
Affinity purification Protein A
Storage buffer
pH: 7.2 - 7.4 Preservative: 0.01% Sodium azide Constituents: PBS, 40% Glycerol (glycerin, glycerine), 0.05% BSA
Shipped at conditions
Blue Ice
Appropriate short-term storage duration
1-2 weeks
Appropriate short-term storage conditions
+4°C
Appropriate long-term storage conditions
-20°C
Aliquoting information
Upon delivery aliquot
Storage information
Avoid freeze / thaw cycle

Supplementary information

This supplementary information is collated from multiple sources and compiled automatically.

Claudin 1 also known as CLDN1 is a protein that plays a fundamental role in the formation of tight junctions in the epithelial cells. This claudin protein has a molecular weight of approximately 22 kDa. You can find it expressed in various tissues including the skin liver kidney and lungs. Claudin 1 belongs to the claudin family which consists of transmembrane proteins involved in sealing the space between adjacent cells therefore ensuring tissue integrity.
Biological function summary

This claudin protein contributes to establishing and maintaining the barrier function that controls paracellular transport which is the movement of substances between cells. Claudin 1 participates as a critical component of the tight junction complex and it interacts with other proteins such as occludin and zonula occludens. These interactions contribute to the regulation and maintenance of cell polarity and signaling.

Pathways

Claudin 1 is involved in the epithelial cell signaling pathways that influence cellular proliferation and differentiation. One significant pathway is the Wnt signaling pathway where claudin 1 cooperates with other claudins and proteins like Β-catenin to regulate gene transcription. Additionally it is implicated in the MAPK pathway which involves signaling cascades that affect cell growth division and response to external stress.

Claudin 1 shows a strong association with cancers particularly hepatocellular carcinoma and melanoma. In these conditions changes in claudin 1 expression levels can affect tumor progression and metastasis. It also associates with other proteins like E-cadherin impacting cell adhesion and epithelial-mesenchymal transition in cancerous cells. Moreover abnormalities in claudin 1 expression relate to skin disorders such as ichthyosis which is marked by a dysfunction in the skin barrier.

Product protocols

For this product, it's our understanding that no specific protocols are required. You can visit:

Target data

Claudins function as major constituents of the tight junction complexes that regulate the permeability of epithelia. While some claudin family members play essential roles in the formation of impermeable barriers, others mediate the permeability to ions and small molecules. Often, several claudin family members are coexpressed and interact with each other, and this determines the overall permeability. CLDN1 is required to prevent the paracellular diffusion of small molecules through tight junctions in the epidermis and is required for the normal barrier function of the skin. Required for normal water homeostasis and to prevent excessive water loss through the skin, probably via an indirect effect on the expression levels of other proteins, since CLDN1 itself seems to be dispensable for water barrier formation in keratinocyte tight junctions (PubMed : 23407391).. (Microbial infection) Acts as a co-receptor for hepatitis C virus (HCV) in hepatocytes (PubMed : 17325668, PubMed : 20375010, PubMed : 24038151). Associates with CD81 and the CLDN1-CD81 receptor complex is essential for HCV entry into host cell (PubMed : 20375010). Acts as a receptor for dengue virus (PubMed : 24074594).
See full target information CLDN1

Publications (75)

Recent publications for all applications. Explore the full list and refine your search

Scientific reports 15:33699 PubMed41023284

2025

Dexmedetomidine regulates the SIRT3-mediated JAK2/STAT3 signaling pathway to protect against sepsis-induced intestinal injury.

Applications

Unspecified application

Species

Unspecified reactive species

Haodi Gu,Lili Xu,Xinrou Yu,Junjie Xiang,Yue Shan,Gang Ye

Molecular medicine (Cambridge, Mass.) 31:157 PubMed40301757

2025

Exogenous TSG-6 treatment alleviates DSS-induced colitis in mice by modulating Pou2f3 and promoting tuft cells differentiation.

Applications

Unspecified application

Species

Unspecified reactive species

Shaopeng Yang,Yuqi Li,Rongwei Ruan,Jiangping Yu,Bo Zhu,Haibin Lou,Xiaolan Zhang,Shi Wang

Antioxidants (Basel, Switzerland) 14: PubMed40227407

2025

Transfer of Antioxidant Capacity Through Placenta and Colostrum: β-Carotene and Superoxide Dismutase Collaboratively Enhance Integrated Breeding of Sows and Piglets.

Applications

Unspecified application

Species

Unspecified reactive species

Jun Huang,Shengkai Li,Jung Yeol Sung,Shiyan Qiao,Xiangfang Zeng,Junyan Zhou

International journal of molecular sciences 26: PubMed40141109

2025

Ganoderic Acid Ameliorates Ulcerative Colitis by Improving Intestinal Barrier Function via Gut Microbiota Modulation.

Applications

Unspecified application

Species

Unspecified reactive species

Yuwei Ye,Abudumijiti Abulizi,Yukun Zhang,Feng Lu,Yongpan An,Chaoqun Ren,Hang Zhang,Yiming Wang,Dongmei Lin,Dan Lu,Min Li,Baoxue Yang

Journal of extracellular biology 3:e70009 PubMed39554868

2024

Assessment of bovine milk exosome preparation and lyophilized powder stability.

Applications

Unspecified application

Species

Unspecified reactive species

Lu Lu,Chunle Han,Miao Wang,Huanqing Du,Ning Chen,Mengya Gao,Na Wang,Dongli Qi,Wei Bai,Jianxin Yin,Fengwei Dong,Tianshi Li,Xiaohu Ge

Frontiers in pharmacology 15:1474898 PubMed39469627

2024

Capsaicin attenuates the effect of inflammatory cytokines in a HaCaT cell model for basal keratinocytes.

Applications

Unspecified application

Species

Unspecified reactive species

Maria Fernanda Cervantes Recalde,Jana Schmidt,Cristina Girardi,Marco Massironi,Markus Leo Rechl,Joachim Hans,Dominik Stuhlmann,Veronika Somoza,Barbara Lieder

Antioxidants (Basel, Switzerland) 13: PubMed39456424

2024

Esculetin Combats Multidrug-Resistant Infection and Ameliorates Intestinal Dysfunction via the Nrf2 Pathway.

Applications

Unspecified application

Species

Unspecified reactive species

Wenjiao Xu,Wenjun Ding,Liyan Jia,Kui Zhu,Qingfeng Luo

Molecular medicine reports 30: PubMed39219265

2024

Indole‑3‑propionic acid alleviates intestinal epithelial cell injury via regulation of the TLR4/NF‑κB pathway to improve intestinal barrier function.

Applications

Unspecified application

Species

Unspecified reactive species

Ying Chen,Yu Li,Xiaojuan Li,Qingqing Fang,Feng Li,Shiyao Chen,Weichang Chen

Frontiers in pharmacology 15:1389654 PubMed39193336

2024

Thonningianin A ameliorated renal interstitial fibrosis in diabetic nephropathy mice by modulating gut microbiota dysbiosis and repressing inflammation.

Applications

Unspecified application

Species

Unspecified reactive species

Shujiao Zhang,Shuaixing Zhang,Xuehui Bai,Yaoxian Wang,Yuning Liu,Weijing Liu

Current issues in molecular biology 46:8685-8698 PubMed39194729

2024

Taurine and Polyphenol Complex Repaired Epidermal Keratinocyte Wounds by Regulating IL8 and TIMP2 Expression.

Applications

Unspecified application

Species

Unspecified reactive species

Sooyeon Lee,Jae Young Shin,Oh Sun Kwon,Seung-Hyun Jun,Nae-Gyu Kang
View all publications

Product promise

We are committed to supporting your work with high-quality reagents, and we're here for you every step of the way. In the unlikely event that one of our products does not perform as expected, you're protected by our Product Promise.
For full details, please see our Terms & Conditions

Please note: All products are 'FOR RESEARCH USE ONLY. NOT FOR USE IN DIAGNOSTIC OR THERAPEUTIC PROCEDURES'.

For licensing inquiries, please contact partnerships@abcam.com