JavaScript is disabled in your browser. Please enable JavaScript to view this website.
AB317710

Anti-Claudin 1 antibody [RM1186] - BSA and Azide free

  • BOND RX™ Validated
  • RabMAb
  • KO Validated
  • Recombinant
  • What is this?

Be the first to review this product! Submit a review

|

(0 Publication)

Knockout Tested Rabbit Recombinant Multiclonal Claudin 1 antibody. Carrier free. Suitable for Flow Cyt (Intra), ICC/IF, IHC-P, IP, WB and reacts with Human, Rat, Mouse samples.

View Alternative Names

CLD1, SEMP1, UNQ481/PRO944, CLDN1, Claudin-1, Senescence-associated epithelial membrane protein

19 Images
Immunocytochemistry/ Immunofluorescence - Anti-Claudin 1 antibody [RM1186] - BSA and Azide free (AB317710)
  • ICC/IF

Supplier Data

Immunocytochemistry/ Immunofluorescence - Anti-Claudin 1 antibody [RM1186] - BSA and Azide free (AB317710)

This data was developed using ab317709, the same antibody clone in a different buffer formulation.

Immunofluorescent analysis of 4% Paraformaldehyde-fixed, 0.1% Tween-20 permeabilized CLDN1 KO A431(CLDN1 knockout human epidermoid carcinoma epithelial cell) cells labelling Claudin 1 with ab317709 at 1/100 (4.97 ug/ml) dilution, followed by ab150081 Goat Anti-Rabbit IgG H&L (Alexa Fluor® 488) preadsorbed antibody at 1/1000 2 ug/ml dilution (Green).

Confocal image showing membranous and cytoplasmic staining in wildtype A431 cells (shown in green) and showing no staining in CLDN1 knockout A431 cells. The counterstain was observed in magenta. Nuclear DNA was labeled with DAPI (shown in blue).
Image was taken with a confocal microscope(Leica-Microsystems, TCS SP8).

ab195889 Anti-alpha Tubulin mouse monoclonal antibody - Microtubule Marker (Alexa Fluor® 594) was used to counterstain tubulin at 1/200 2.5ug/ml dilution (Magenta). The Nuclear counterstain was DAPI (Blue).

Secondary antibody only control : Secondary antibody is ab150081 Goat Anti-Rabbit IgG H&L (Alexa Fluor® 488) preadsorbed at 1/1000 2 ug/ml dilution.

Flow Cytometry (Intracellular) - Anti-Claudin 1 antibody [RM1186] - BSA and Azide free (AB317710)
  • Flow Cyt (Intra)

Supplier Data

Flow Cytometry (Intracellular) - Anti-Claudin 1 antibody [RM1186] - BSA and Azide free (AB317710)

This data was developed using ab317709, the same antibody clone in a different buffer formulation.

Flow cytometric analysis of 4% paraformaldehyde fixed 90% methanol permeabilized CLDN1 KO A431(human epidermoid carcinoma epithelial cell, Left) / Parental A431(Right) cells labelling Claudin 1 with ab317709 at 1/500 dilution (0.1 ug)/Red (Red) compared with a Rabbit monoclonal IgG (ab172730) (Black) isotype control and an unlabelled control (cells without incubation with primary antibody and secondary antibody) (Blue).

Goat Anti-Rabbit IgG (Alexa Fluor® 488, ab150081) at 1/5000 dilution was used as the secondary antibody.

Immunohistochemistry (Formalin/PFA-fixed paraffin-embedded sections) - Anti-Claudin 1 antibody [RM1186] - BSA and Azide free (AB317710)
  • IHC-P

Supplier Data

Immunohistochemistry (Formalin/PFA-fixed paraffin-embedded sections) - Anti-Claudin 1 antibody [RM1186] - BSA and Azide free (AB317710)

This data was developed using ab317709, the same antibody clone in a different buffer formulation.

Immunohistochemical analysis of paraffin-embedded (A) Wild-type A431 (human epidermal carcinoma cells) cell pellet (B) CLDN1 knockout A431 cell pellet tissue labeling Claudin 1 with ab317709 at 1/500 (0.994 ug/ml) dilution, followed by a ready to use LeicaDS9800 (Bond™ Polymer Refine Detection).

Positive staining on (A) Wild-type A431 cell pellet, no staining on (B) CLDN1 knockout A431 cell pellet. The section was incubated with ab317709 for 30 mins at room temperature.
The immunostaining was performed on a Leica Biosystems BOND® RX instrument

Counterstained with Hematoxylin.

Secondary antibody only control : Secondary antibody is a ready to use LeicaDS9800 (Bond™ Polymer Refine Detection).

Heat mediated antigen retrieval was performed with Tris-EDTA buffer (pH 9.0, Epitope Retrieval Solution2) for 20 mins

Immunohistochemistry (Formalin/PFA-fixed paraffin-embedded sections) - Anti-Claudin 1 antibody [RM1186] - BSA and Azide free (AB317710)
  • IHC-P

Supplier Data

Immunohistochemistry (Formalin/PFA-fixed paraffin-embedded sections) - Anti-Claudin 1 antibody [RM1186] - BSA and Azide free (AB317710)

This data was developed using ab317709, the same antibody clone in a different buffer formulation.

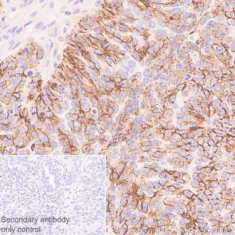
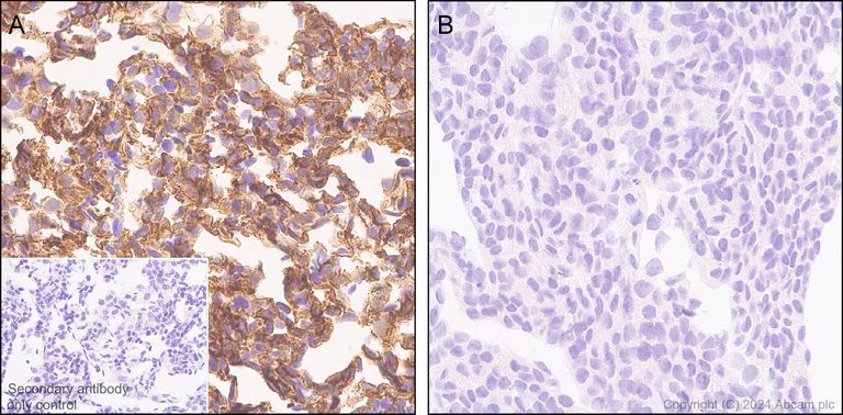
Immunohistochemical analysis of paraffin-embedded Human gastric adenocarcinoma tissue labeling Claudin 1 with ab317709 at 1/100 (4.97 ug/ml) dilution, followed by a ready to use LeicaDS9800 (Bond™ Polymer Refine Detection).

Positive staining on human gastric adenocarcinoma. The section was incubated with ab317709 for 30 mins at room temperature.
The immunostaining was performed on a Leica Biosystems BOND® RX instrument

Counterstained with Hematoxylin.

Secondary antibody only control : Secondary antibody is a ready to use LeicaDS9800 (Bond™ Polymer Refine Detection).

Heat mediated antigen retrieval was performed with Tris-EDTA buffer (pH 9.0, Epitope Retrieval Solution2) for 20 mins

Immunohistochemistry (Formalin/PFA-fixed paraffin-embedded sections) - Anti-Claudin 1 antibody [RM1186] - BSA and Azide free (AB317710)
  • IHC-P

Supplier Data

Immunohistochemistry (Formalin/PFA-fixed paraffin-embedded sections) - Anti-Claudin 1 antibody [RM1186] - BSA and Azide free (AB317710)

This data was developed using ab317709, the same antibody clone in a different buffer formulation.

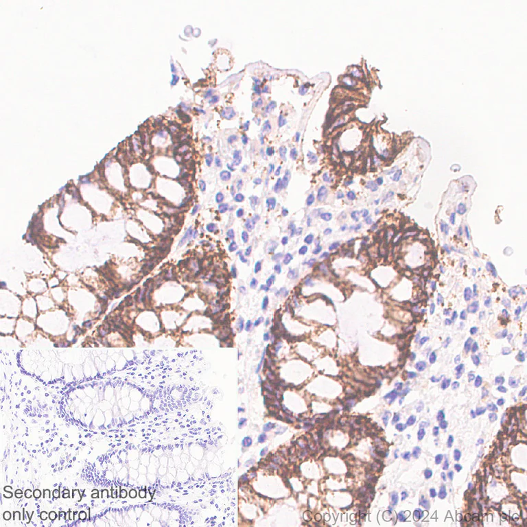
Immunohistochemical analysis of paraffin-embedded Human colon tissue labeling Claudin 1 with ab317709 at 1/100 (4.97 ug/ml) dilution, followed by a ready to use LeicaDS9800 (Bond™ Polymer Refine Detection).

Positive staining on human colon. The section was incubated with ab317709 for 30 mins at room temperature.
The immunostaining was performed on a Leica Biosystems BOND® RX instrument

Counterstained with Hematoxylin.

Secondary antibody only control : Secondary antibody is a ready to use LeicaDS9800 (Bond™ Polymer Refine Detection).

Heat mediated antigen retrieval was performed with Tris-EDTA buffer (pH 9.0, Epitope Retrieval Solution2) for 20 mins

Immunohistochemistry (Formalin/PFA-fixed paraffin-embedded sections) - Anti-Claudin 1 antibody [RM1186] - BSA and Azide free (AB317710)
  • IHC-P

Supplier Data

Immunohistochemistry (Formalin/PFA-fixed paraffin-embedded sections) - Anti-Claudin 1 antibody [RM1186] - BSA and Azide free (AB317710)

This data was developed using ab317709, the same antibody clone in a different buffer formulation.

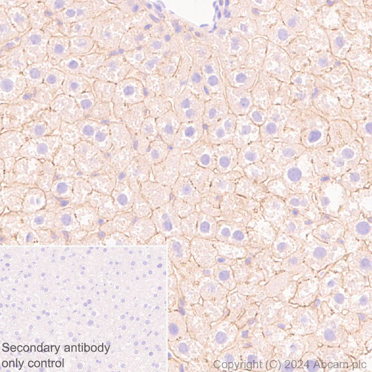
Immunohistochemical analysis of paraffin-embedded Human liver tissue labeling Claudin 1 with ab317709 at 1/100 (4.97 ug/ml) dilution, followed by a ready to use LeicaDS9800 (Bond™ Polymer Refine Detection).

Positive staining on human liver. The section was incubated with ab317709 for 30 mins at room temperature.
The immunostaining was performed on a Leica Biosystems BOND® RX instrument

Counterstained with Hematoxylin.

Secondary antibody only control : Secondary antibody is a ready to use LeicaDS9800 (Bond™ Polymer Refine Detection).

Heat mediated antigen retrieval was performed with Tris-EDTA buffer (pH 9.0, Epitope Retrieval Solution2) for 20 mins

Immunohistochemistry (Formalin/PFA-fixed paraffin-embedded sections) - Anti-Claudin 1 antibody [RM1186] - BSA and Azide free (AB317710)
  • IHC-P

Supplier Data

Immunohistochemistry (Formalin/PFA-fixed paraffin-embedded sections) - Anti-Claudin 1 antibody [RM1186] - BSA and Azide free (AB317710)

This data was developed using ab317709, the same antibody clone in a different buffer formulation.

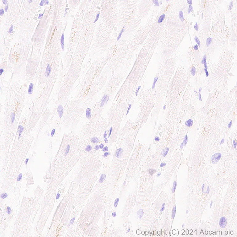
Immunohistochemical analysis of paraffin-embedded Human cardiac muscle tissue labeling Claudin 1 with ab317709 at 1/100 (4.97 ug/ml) dilution, followed by a ready to use LeicaDS9800 (Bond™ Polymer Refine Detection).

Negative control : no staining on human cardiac muscle. The section was incubated with ab317709 for 30 mins at room temperature.
The immunostaining was performed on a Leica Biosystems BOND® RX instrument

Counterstained with Hematoxylin.

Secondary antibody only control : Secondary antibody is a ready to use LeicaDS9800 (Bond™ Polymer Refine Detection).

Heat mediated antigen retrieval was performed with Tris-EDTA buffer (pH 9.0, Epitope Retrieval Solution2) for 20 mins

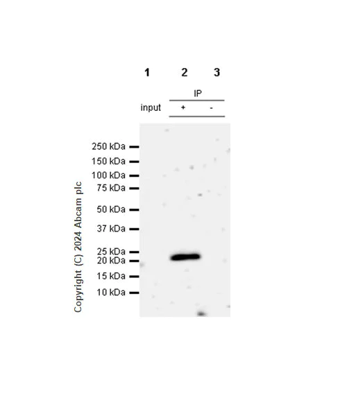
Immunoprecipitation - Anti-Claudin 1 antibody [RM1186] - BSA and Azide free (AB317710)
  • IP

Supplier Data

Immunoprecipitation - Anti-Claudin 1 antibody [RM1186] - BSA and Azide free (AB317710)

This data was developed using ab317709, the same antibody clone in a different buffer formulation.

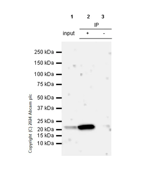
Claudin 1 was immunoprecipitated from 0.35 mg A549 (human lung carcinoma epithelial cell) whole cell lysate with ab317709 at 1/30 dilution (2ug in 0.35mg lysates). Western blot was performed on the immunoprecipitate using ab317709 at 1/1000 dilution. VeriBlot for IP secondary antibody(HRP)(ab131366) was used at 1/5000 dilution.

Lane 1 : A549 (human lung carcinoma epithelial cell) whole cell lysate
Lane 2 : ab317709 IP in A549 (human lung carcinoma epithelial cell) whole cell lysate
Lane 3 : Rabbit monoclonal IgG (ab172730) instead of ab317709 in A549 whole cell lysate

All lanes:

Immunoprecipitation - Anti-Claudin 1 antibody [RM1186] (<a href='/en-us/products/primary-antibodies/claudin-1-antibody-rm1186-ab317709'>ab317709</a>) at 1/30 dilution

All lanes:

A549 (human lung carcinoma epithelial cell) whole cell lysate

Secondary

All lanes:

Immunoprecipitation - VeriBlot for IP Detection Reagent (HRP) (<a href='/en-us/products/reagents/veriblot-for-ip-detection-reagent-hrp-ab131366'>ab131366</a>) at 1/5000 dilution

false

Exposure time: 32s

Immunohistochemistry (Formalin/PFA-fixed paraffin-embedded sections) - Anti-Claudin 1 antibody [RM1186] - BSA and Azide free (AB317710)
  • IHC-P

Supplier Data

Immunohistochemistry (Formalin/PFA-fixed paraffin-embedded sections) - Anti-Claudin 1 antibody [RM1186] - BSA and Azide free (AB317710)

This data was developed using ab317709, the same antibody clone in a different buffer formulation.

Immunohistochemical analysis of paraffin-embedded Mouse liver tissue labeling Claudin 1 with ab317709 at 1/100 (4.97 ug/ml) dilution, followed by a ready to use LeicaDS9800 (Bond™ Polymer Refine Detection).

Positive staining on mouse liver. The section was incubated with ab317709 for 30 mins at room temperature.
The immunostaining was performed on a Leica Biosystems BOND® RX instrument

Counterstained with Hematoxylin.

Secondary antibody only control : Secondary antibody is a ready to use LeicaDS9800 (Bond™ Polymer Refine Detection).

Heat mediated antigen retrieval was performed with Tris-EDTA buffer (pH 9.0, Epitope Retrieval Solution2) for 20 mins

Immunohistochemistry (Formalin/PFA-fixed paraffin-embedded sections) - Anti-Claudin 1 antibody [RM1186] - BSA and Azide free (AB317710)
  • IHC-P

Supplier Data

Immunohistochemistry (Formalin/PFA-fixed paraffin-embedded sections) - Anti-Claudin 1 antibody [RM1186] - BSA and Azide free (AB317710)

This data was developed using ab317709, the same antibody clone in a different buffer formulation.

Immunohistochemical analysis of paraffin-embedded Mouse cardiac muscle tissue labeling Claudin 1 with ab317709 at 1/100 (4.97 ug/ml) dilution, followed by a ready to use LeicaDS9800 (Bond™ Polymer Refine Detection).

Negative control : no staining on mouse cardiac muscle. The section was incubated with ab317709 for 30 mins at room temperature.
The immunostaining was performed on a Leica Biosystems BOND® RX instrument

Counterstained with Hematoxylin.

Secondary antibody only control : Secondary antibody is a ready to use LeicaDS9800 (Bond™ Polymer Refine Detection).

Heat mediated antigen retrieval was performed with Tris-EDTA buffer (pH 9.0, Epitope Retrieval Solution2) for 20 mins

Immunohistochemistry (Formalin/PFA-fixed paraffin-embedded sections) - Anti-Claudin 1 antibody [RM1186] - BSA and Azide free (AB317710)
  • IHC-P

Supplier Data

Immunohistochemistry (Formalin/PFA-fixed paraffin-embedded sections) - Anti-Claudin 1 antibody [RM1186] - BSA and Azide free (AB317710)

This data was developed using ab317709, the same antibody clone in a different buffer formulation.

Immunohistochemical analysis of paraffin-embedded Rat cardiac muscle tissue labeling Claudin 1 with ab317709 at 1/100 (4.97 ug/ml) dilution, followed by a ready to use LeicaDS9800 (Bond™ Polymer Refine Detection).

Negative control : no staining on rat cardiac muscle. The section was incubated with ab317709 for 30 mins at room temperature.
The immunostaining was performed on a Leica Biosystems BOND® RX instrument

Counterstained with Hematoxylin.

Secondary antibody only control : Secondary antibody is a ready to use LeicaDS9800 (Bond™ Polymer Refine Detection).

Heat mediated antigen retrieval was performed with Tris-EDTA buffer (pH 9.0, Epitope Retrieval Solution2) for 20 mins

Immunohistochemistry (Formalin/PFA-fixed paraffin-embedded sections) - Anti-Claudin 1 antibody [RM1186] - BSA and Azide free (AB317710)
  • IHC-P

Supplier Data

Immunohistochemistry (Formalin/PFA-fixed paraffin-embedded sections) - Anti-Claudin 1 antibody [RM1186] - BSA and Azide free (AB317710)

This data was developed using ab317709, the same antibody clone in a different buffer formulation.

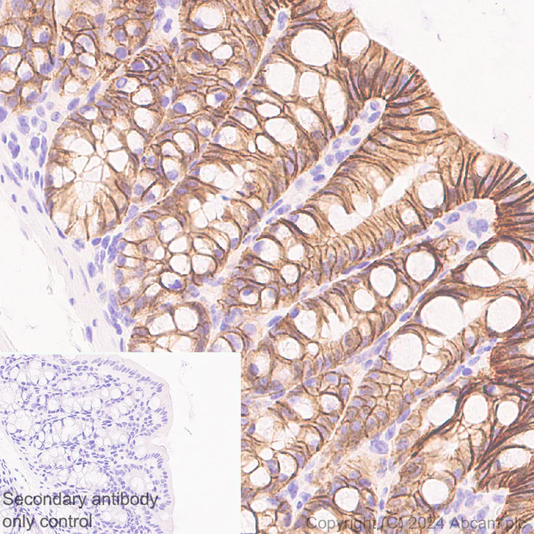
Immunohistochemical analysis of paraffin-embedded Rat colon tissue labeling Claudin 1 with ab317709 at 1/100 (4.97 ug/ml) dilution, followed by a ready to use LeicaDS9800 (Bond™ Polymer Refine Detection).

Positive staining on rat colon. The section was incubated with ab317709 for 30 mins at room temperature.
The immunostaining was performed on a Leica Biosystems BOND® RX instrument

Counterstained with Hematoxylin.

Secondary antibody only control : Secondary antibody is a ready to use LeicaDS9800 (Bond™ Polymer Refine Detection).

Heat mediated antigen retrieval was performed with Tris-EDTA buffer (pH 9.0, Epitope Retrieval Solution2) for 20 mins

Immunohistochemistry (Formalin/PFA-fixed paraffin-embedded sections) - Anti-Claudin 1 antibody [RM1186] - BSA and Azide free (AB317710)
  • IHC-P

Supplier Data

Immunohistochemistry (Formalin/PFA-fixed paraffin-embedded sections) - Anti-Claudin 1 antibody [RM1186] - BSA and Azide free (AB317710)

This data was developed using ab317709, the same antibody clone in a different buffer formulation.

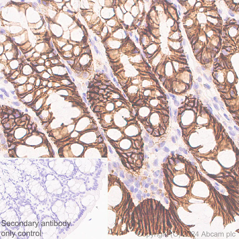
Immunohistochemical analysis of paraffin-embedded Mouse colon tissue labeling Claudin 1 with ab317709 at 1/100 (4.97 ug/ml) dilution, followed by a ready to use LeicaDS9800 (Bond™ Polymer Refine Detection).

Positive staining on mouse colon. The section was incubated with ab317709 for 30 mins at room temperature.
The immunostaining was performed on a Leica Biosystems BOND® RX instrument

Counterstained with Hematoxylin.

Secondary antibody only control : Secondary antibody is a ready to use LeicaDS9800 (Bond™ Polymer Refine Detection).

Heat mediated antigen retrieval was performed with Tris-EDTA buffer (pH 9.0, Epitope Retrieval Solution2) for 20 mins

Immunohistochemistry (Formalin/PFA-fixed paraffin-embedded sections) - Anti-Claudin 1 antibody [RM1186] - BSA and Azide free (AB317710)
  • IHC-P

Supplier Data

Immunohistochemistry (Formalin/PFA-fixed paraffin-embedded sections) - Anti-Claudin 1 antibody [RM1186] - BSA and Azide free (AB317710)

This data was developed using ab317709, the same antibody clone in a different buffer formulation.

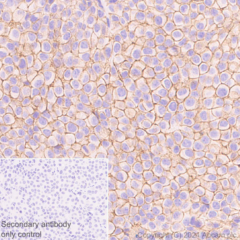
Immunohistochemical analysis of paraffin-embedded Mouse breast carcinoma tissue labeling Claudin 1 with ab317709 at 1/100 (4.97 ug/ml) dilution, followed by a ready to use LeicaDS9800 (Bond™ Polymer Refine Detection).

Positive staining on mouse breast carcinoma. The section was incubated with ab317709 for 30 mins at room temperature.
The immunostaining was performed on a Leica Biosystems BOND® RX instrument

Counterstained with Hematoxylin.

Secondary antibody only control : Secondary antibody is a ready to use LeicaDS9800 (Bond™ Polymer Refine Detection).

Heat mediated antigen retrieval was performed with Tris-EDTA buffer (pH 9.0, Epitope Retrieval Solution2) for 20 mins

Immunoprecipitation - Anti-Claudin 1 antibody [RM1186] - BSA and Azide free (AB317710)
  • IP

Supplier Data

Immunoprecipitation - Anti-Claudin 1 antibody [RM1186] - BSA and Azide free (AB317710)

This data was developed using ab317709, the same antibody clone in a different buffer formulation.

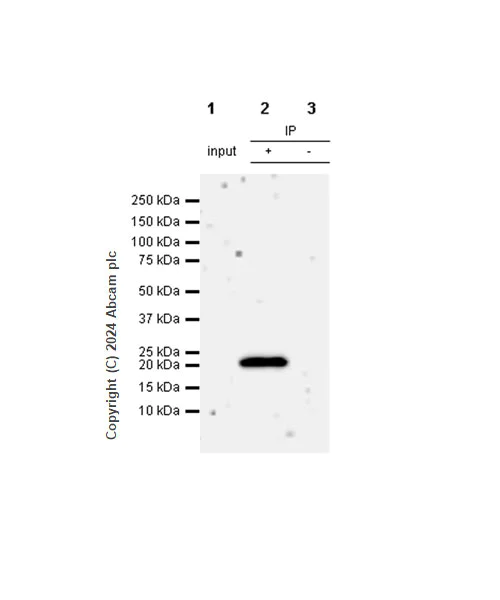
Claudin 1 was immunoprecipitated from 0.35 mg Rat liver tissue lysate with ab317709 at 1/30 dilution (2ug in 0.35mg lysates). Western blot was performed on the immunoprecipitate using ab317709 at 1/1000 dilution. VeriBlot for IP secondary antibody(HRP)(ab131366) was used at 1/5000 dilution.

Lane 1 : Rat liver tissue lysate
Lane 2 : ab317709 IP in Rat liver tissue lysate
Lane 3 : Rabbit monoclonal IgG (ab172730) instead of ab317709 in rat liver tissue lysate

All lanes:

Immunoprecipitation - Anti-Claudin 1 antibody [RM1186] (<a href='/en-us/products/primary-antibodies/claudin-1-antibody-rm1186-ab317709'>ab317709</a>) at 1/30 dilution

All lanes:

Rat liver tissue lysate

Secondary

All lanes:

Immunoprecipitation - VeriBlot for IP Detection Reagent (HRP) (<a href='/en-us/products/reagents/veriblot-for-ip-detection-reagent-hrp-ab131366'>ab131366</a>) at 1/5000 dilution

false

Exposure time: 32s

Immunoprecipitation - Anti-Claudin 1 antibody [RM1186] - BSA and Azide free (AB317710)
  • IP

Supplier Data

Immunoprecipitation - Anti-Claudin 1 antibody [RM1186] - BSA and Azide free (AB317710)

This data was developed using ab317709, the same antibody clone in a different buffer formulation.

Claudin 1 was immunoprecipitated from 0.35 mg Mouse colon tissue lysate with ab317709 at 1/30 dilution (2ug in 0.35mg lysates). Western blot was performed on the immunoprecipitate using ab317709 at 1/1000 dilution. VeriBlot for IP secondary antibody(HRP)(ab131366) was used at 1/5000 dilution.

Lane 1 : Mouse colon tissue lysate
Lane 2 : ab317709 IP in Mouse colon tissue lysate
Lane 3 : Rabbit monoclonal IgG (ab172730) instead of ab317709 in mouse colon tissue lysate

All lanes:

Immunoprecipitation - Anti-Claudin 1 antibody [RM1186] (<a href='/en-us/products/primary-antibodies/claudin-1-antibody-rm1186-ab317709'>ab317709</a>) at 1/30 dilution

All lanes:

Mouse colon tissue lysate

Secondary

All lanes:

Immunoprecipitation - VeriBlot for IP Detection Reagent (HRP) (<a href='/en-us/products/reagents/veriblot-for-ip-detection-reagent-hrp-ab131366'>ab131366</a>) at 1/5000 dilution

false

Exposure time: 180s

Immunoprecipitation - Anti-Claudin 1 antibody [RM1186] - BSA and Azide free (AB317710)
  • IP

Supplier Data

Immunoprecipitation - Anti-Claudin 1 antibody [RM1186] - BSA and Azide free (AB317710)

This data was developed using ab317709, the same antibody clone in a different buffer formulation.

Claudin 1 was immunoprecipitated from 0.35 mg NMuLi (mouse liver epithelial) whole cell lysate with ab317709 at 1/30 dilution (2ug in 0.35mg lysates). Western blot was performed on the immunoprecipitate using ab317709 at 1/1000 dilution. VeriBlot for IP secondary antibody(HRP)(ab131366) was used at 1/5000 dilution.

Lane 1 : NMuLi (mouse liver epithelial) whole cell lysate
Lane 2 : ab317709 IP in NMuLi (mouse liver epithelial) whole cell lysate
Lane 3 : Rabbit monoclonal IgG (ab172730) instead of ab317709 in NMuLi whole cell lysate

All lanes:

Immunoprecipitation - Anti-Claudin 1 antibody [RM1186] (<a href='/en-us/products/primary-antibodies/claudin-1-antibody-rm1186-ab317709'>ab317709</a>) at 1/30 dilution

All lanes:

NMuLi (mouse liver epithelial) whole cell lysate

Secondary

All lanes:

Immunoprecipitation - VeriBlot for IP Detection Reagent (HRP) (<a href='/en-us/products/reagents/veriblot-for-ip-detection-reagent-hrp-ab131366'>ab131366</a>) at 1/5000 dilution

false

Exposure time: 180s

Western blot - Anti-Claudin 1 antibody [RM1186] - BSA and Azide free (AB317710)
  • WB

Supplier Data

Western blot - Anti-Claudin 1 antibody [RM1186] - BSA and Azide free (AB317710)

This data was developed using ab317709, the same antibody clone in a different buffer formulation.

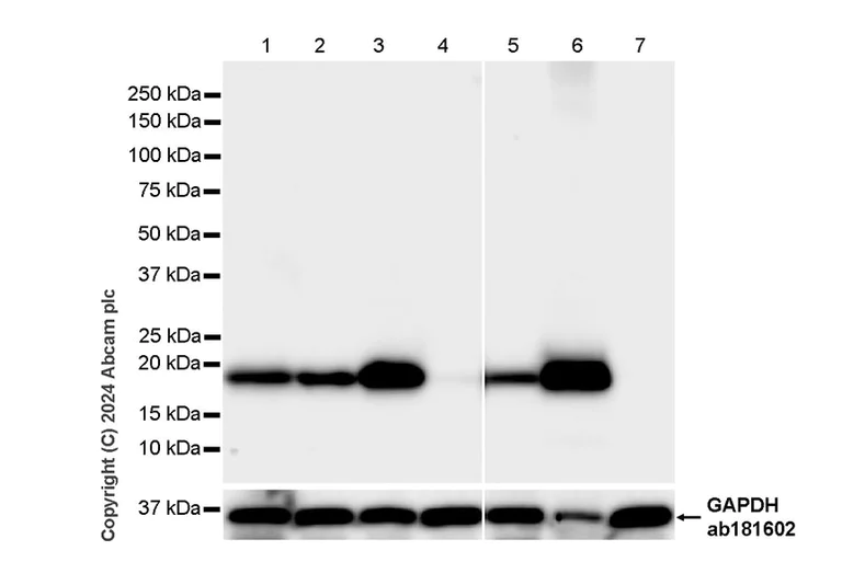
Low expression : MCF7 (PMID : 30658316).

In Western blot, ab317709 was shown to bind specifically to Claudin 1. Target of interest was observed at 18 kDa, in wild-type A431 cell lysates (lane 6) with no signal observed at this size in CLDN1 knockout cell line (lane 7) (lane 7, knockout cell line ab261889 / knockout cell lysate ab261698).

In Western blot, Anti-GAPDH antibody [EPR16891] - Loading Control (ab181602) staining at 1/200000 dilution.

All lanes:

Western blot - Anti-Claudin 1 antibody [RM1186] (<a href='/en-us/products/primary-antibodies/claudin-1-antibody-rm1186-ab317709'>ab317709</a>) at 1/1000 dilution

Lane 1:

A549 (human lu carcinoma epithelial cell) whole cell lysate at 20 µg

Lane 2:

HepG2 (human hepatocellar carcinoma epithelial cell) whole cell lysate at 20 µg

Lane 3:

T-47D (human ductal breast epithelial tumor epithelial cell) whole cell lysate at 20 µg

Lane 4:

MCF7 (human breast adenocarcinoma epithelial cell) whole cell lysate at 20 µg

Lane 5:

HT-29 (human colorectal adenocarcinoma epithelial cell) whole cell lysate at 20 µg

Lane 6:

Wide-type A431 (human epidermoid carcinoma epithelial cell) whole cell lysate at 20 µg

Lane 7:

CLDN1 knockout A431 whole cell lysate at 20 µg

Secondary

All lanes:

Western blot - Goat Anti-Rabbit IgG H&L (HRP) (<a href='/en-us/products/secondary-antibodies/goat-rabbit-igg-h-l-hrp-ab97051'>ab97051</a>) at 1/100000 dilution

Observed band size: 18 kDa,36 kDa

false

Exposure time: 15s

Western blot - Anti-Claudin 1 antibody [RM1186] - BSA and Azide free (AB317710)
  • WB

Supplier Data

Western blot - Anti-Claudin 1 antibody [RM1186] - BSA and Azide free (AB317710)

This data was developed using ab317709, the same antibody clone in a different buffer formulation.

Low expression : brain (PMID : 9647647).

In Western blot, Anti-GAPDH antibody [EPR16891] - Loading Control (ab181602) staining at 1/200000 dilution.

All lanes:

Western blot - Anti-Claudin 1 antibody [RM1186] (<a href='/en-us/products/primary-antibodies/claudin-1-antibody-rm1186-ab317709'>ab317709</a>) at 1/1000 dilution

Lane 1:

Mouse colon tissue lysate at 20 µg

Lane 2:

Mouse liver tissue lysate at 20 µg

Lane 3:

Mouse brain tissue lysate at 20 µg

Lane 4:

Rat colon tissue lysate at 20 µg

Lane 5:

Rat liver tissue lysate at 20 µg

Lane 6:

Rat brain tissue lysate at 20 µg

Lane 7:

NMuLi (mouse liver epithelial) whole cell lysate at 20 µg

Secondary

All lanes:

Western blot - Goat Anti-Rabbit IgG H&L (HRP) (<a href='/en-us/products/secondary-antibodies/goat-rabbit-igg-h-l-hrp-ab97051'>ab97051</a>) at 1/100000 dilution

Observed band size: 18 kDa,36 kDa

false

Exposure time: 180s

  • Unconjugated

    Anti-Claudin 1 antibody [EPR25359-48]

  • Unconjugated

    Anti-Claudin 1 antibody [EPRR18871]

  • Unconjugated

    Anti-Claudin 1 antibody [RM1186]

  • Carrier free

    Anti-Claudin 1 antibody [EPR25359-48] - BSA and Azide free

  • 519 Alexa Fluor® 488

    Alexa Fluor® 488 Anti-Claudin 1 antibody [EPR25359-48]

  • 665 Alexa Fluor® 647

    Alexa Fluor® 647 Anti-Claudin 1 antibody [EPR25359-48]

  • Carrier free

    Anti-Claudin 1 antibody [EPRR18871] - BSA and Azide free

  • 578 PE

    PE Anti-Claudin 1 antibody [EPRR18871]

  • HRP

    HRP Anti-Claudin 1 antibody [EPRR18871]

  • 617 Alexa Fluor® 594

    Alexa Fluor® 594 Anti-Claudin 1 antibody [EPRR18871]

  • 519 Alexa Fluor® 488

    Alexa Fluor® 488 Anti-Claudin 1 antibody [EPRR18871]

  • 665 Alexa Fluor® 647

    Alexa Fluor® 647 Anti-Claudin 1 antibody [EPRR18871]

  • 565 Alexa Fluor® 555

    Alexa Fluor® 555 Anti-Claudin 1 antibody [EPRR18871]

  • 660 APC

    APC Anti-Claudin 1 antibody [EPRR18871]

Key facts

Host species

Rabbit

Clonality

Multiclonal

Clone number

RM1186

Isotype

IgG

Carrier free

Yes

Reacts with

Human, Mouse, Rat

Applications

IHC-P, Flow Cyt (Intra), ICC/IF, WB, IP

applications

Immunogen

The exact immunogen used to generate this antibody is proprietary information.

Specificity

Unsuitable for mouse ICC and mouse FC.

Reactivity data

{ "title": "Reactivity Data", "filters": { "stats": ["", "Species", "Dilution Info", "Notes"], "tabs": { "all-applications": {"fullname" : "All Applications", "shortname": "All Applications"}, "FlowCytIntra" : {"fullname" : "Flow Cytometry (Intracellular)", "shortname":"Flow Cyt (Intra)"}, "ICCIF" : {"fullname" : "Immunocytochemistry/ Immunofluorescence", "shortname":"ICC/IF"}, "IHCP" : {"fullname" : "Immunohistochemistry (Formalin/PFA-fixed paraffin-embedded sections)", "shortname":"IHC-P"}, "IP" : {"fullname" : "Immunoprecipitation", "shortname":"IP"}, "WB" : {"fullname" : "Western blot", "shortname":"WB"}, "IHCFr" : {"fullname" : "Immunohistochemistry (Frozen sections)", "shortname":"IHC-Fr"} }, "product-promise": { "all": "all", "testedAndGuaranteed": "tested", "guaranteed": "expected", "predicted": "predicted", "notRecommended": "not-recommended" } }, "values": { "Human": { "FlowCytIntra-species-checked": "testedAndGuaranteed", "FlowCytIntra-species-dilution-info": "", "FlowCytIntra-species-notes": "<p></p>", "ICCIF-species-checked": "testedAndGuaranteed", "ICCIF-species-dilution-info": "", "ICCIF-species-notes": "<p></p>", "IHCP-species-checked": "testedAndGuaranteed", "IHCP-species-dilution-info": "", "IHCP-species-notes": "<p></p>", "IP-species-checked": "testedAndGuaranteed", "IP-species-dilution-info": "", "IP-species-notes": "<p></p>", "WB-species-checked": "testedAndGuaranteed", "WB-species-dilution-info": "", "WB-species-notes": "<p></p>", "IHCFr-species-checked": "notRecommended", "IHCFr-species-dilution-info": "", "IHCFr-species-notes": "" }, "Mouse": { "FlowCytIntra-species-checked": "notRecommended", "FlowCytIntra-species-dilution-info": "", "FlowCytIntra-species-notes": "<p></p>", "ICCIF-species-checked": "notRecommended", "ICCIF-species-dilution-info": "", "ICCIF-species-notes": "<p></p>", "IHCP-species-checked": "testedAndGuaranteed", "IHCP-species-dilution-info": "", "IHCP-species-notes": "<p></p>", "IP-species-checked": "testedAndGuaranteed", "IP-species-dilution-info": "", "IP-species-notes": "<p></p>", "WB-species-checked": "testedAndGuaranteed", "WB-species-dilution-info": "", "WB-species-notes": "<p></p>", "IHCFr-species-checked": "notRecommended", "IHCFr-species-dilution-info": "", "IHCFr-species-notes": "<p></p>" }, "Rat": { "FlowCytIntra-species-checked": "guaranteed", "FlowCytIntra-species-dilution-info": "", "FlowCytIntra-species-notes": "", "ICCIF-species-checked": "guaranteed", "ICCIF-species-dilution-info": "", "ICCIF-species-notes": "", "IHCP-species-checked": "testedAndGuaranteed", "IHCP-species-dilution-info": "", "IHCP-species-notes": "<p></p>", "IP-species-checked": "testedAndGuaranteed", "IP-species-dilution-info": "", "IP-species-notes": "<p></p>", "WB-species-checked": "testedAndGuaranteed", "WB-species-dilution-info": "", "WB-species-notes": "<p></p>", "IHCFr-species-checked": "notRecommended", "IHCFr-species-dilution-info": "", "IHCFr-species-notes": "<p></p>" } } }

Product details

ab317710 is the carrier-free version of ab317709.

What are recombinant multiclonals?
Recombinant multiclonals are a mixture of recombinant antibodies co-expressed from a library of heavy and light chains. They offer several advantages including:

  • - The sensitivity of polyclonal antibodies by recognising multiple epitopes
  • - High batch-to-batch consistency and reproducibility
  • - Improved sensitivity and specificity
  • - Long-term security of supply
  • - Animal-free batch production

View our range of recombinant multiclonal antibodies.

Patented technology
Our RabMAb® technology is a patented hybridoma-based technology for making rabbit monoclonal antibodies. For details on our patents, please refer to RabMAb® patents.

Conjugation ready
Our carrier-free antibodies are typically supplied in a PBS-only formulation, purified and free of BSA, sodium azide and glycerol. This conjugation-ready format is designed for use with fluorochromes, metal isotopes, oligonucleotides, and enzymes, which makes them ideal for antibody labelling, functional and cell-based assays, flow-based assays (e.g. mass cytometry) and Multiplex Imaging applications.

Use our conjugation kits for antibody conjugates that are ready-to-use in as little as 20 minutes with 1 minute hands-on-time and 100% antibody recovery: available for fluorescent dyes, HRP, biotin and gold.

Compatibility
This product is compatible with the Maxpar® Antibody Labeling Kit from Fluidigm, without the need for antibody preparation. Maxpar® is a trademark of Fluidigm Canada Inc.

Properties and storage information

Form
Liquid
Purification technique
Affinity purification Protein A
Storage buffer
pH: 7.2 - 7.4 Constituents: PBS
Shipped at conditions
Blue Ice
Appropriate short-term storage conditions
+4°C
Appropriate long-term storage conditions
+4°C

Supplementary information

This supplementary information is collated from multiple sources and compiled automatically.

Claudin 1 also known as CLDN1 is a protein that plays a fundamental role in the formation of tight junctions in the epithelial cells. This claudin protein has a molecular weight of approximately 22 kDa. You can find it expressed in various tissues including the skin liver kidney and lungs. Claudin 1 belongs to the claudin family which consists of transmembrane proteins involved in sealing the space between adjacent cells therefore ensuring tissue integrity.
Biological function summary

This claudin protein contributes to establishing and maintaining the barrier function that controls paracellular transport which is the movement of substances between cells. Claudin 1 participates as a critical component of the tight junction complex and it interacts with other proteins such as occludin and zonula occludens. These interactions contribute to the regulation and maintenance of cell polarity and signaling.

Pathways

Claudin 1 is involved in the epithelial cell signaling pathways that influence cellular proliferation and differentiation. One significant pathway is the Wnt signaling pathway where claudin 1 cooperates with other claudins and proteins like β-catenin to regulate gene transcription. Additionally it is implicated in the MAPK pathway which involves signaling cascades that affect cell growth division and response to external stress.

Claudin 1 shows a strong association with cancers particularly hepatocellular carcinoma and melanoma. In these conditions changes in claudin 1 expression levels can affect tumor progression and metastasis. It also associates with other proteins like E-cadherin impacting cell adhesion and epithelial-mesenchymal transition in cancerous cells. Moreover abnormalities in claudin 1 expression relate to skin disorders such as ichthyosis which is marked by a dysfunction in the skin barrier.

Product protocols

For this product, it's our understanding that no specific protocols are required. You can visit:

Target data

Claudins function as major constituents of the tight junction complexes that regulate the permeability of epithelia. While some claudin family members play essential roles in the formation of impermeable barriers, others mediate the permeability to ions and small molecules. Often, several claudin family members are coexpressed and interact with each other, and this determines the overall permeability. CLDN1 is required to prevent the paracellular diffusion of small molecules through tight junctions in the epidermis and is required for the normal barrier function of the skin. Required for normal water homeostasis and to prevent excessive water loss through the skin, probably via an indirect effect on the expression levels of other proteins, since CLDN1 itself seems to be dispensable for water barrier formation in keratinocyte tight junctions (PubMed : 23407391).. (Microbial infection) Acts as a co-receptor for hepatitis C virus (HCV) in hepatocytes (PubMed : 17325668, PubMed : 20375010, PubMed : 24038151). Associates with CD81 and the CLDN1-CD81 receptor complex is essential for HCV entry into host cell (PubMed : 20375010). Acts as a receptor for dengue virus (PubMed : 24074594).
See full target information CLDN1

Product promise

We are committed to supporting your work with high-quality reagents, and we're here for you every step of the way. In the unlikely event that one of our products does not perform as expected, you're protected by our Product Promise.
For full details, please see our Terms & Conditions

Please note: All products are 'FOR RESEARCH USE ONLY. NOT FOR USE IN DIAGNOSTIC OR THERAPEUTIC PROCEDURES'.

For licensing inquiries, please contact partnerships@abcam.com