JavaScript is disabled in your browser. Please enable JavaScript to view this website.
AB115783

Anti-Claudin 1 antibody [SP128]

Be the first to review this product! Submit a review

|

(3 Publications)

Rabbit Recombinant Monoclonal Claudin 1 antibody. Suitable for WB, Flow Cyt, IHC-P and reacts with Human samples. Cited in 3 publications.

View Alternative Names

CLD1, SEMP1, UNQ481/PRO944, CLDN1, Claudin-1, Senescence-associated epithelial membrane protein

3 Images
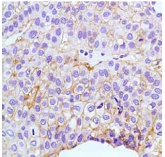
Immunohistochemistry (Formalin/PFA-fixed paraffin-embedded sections) - Anti-Claudin 1 antibody [SP128] (AB115783)
  • IHC-P

Unknown

Immunohistochemistry (Formalin/PFA-fixed paraffin-embedded sections) - Anti-Claudin 1 antibody [SP128] (AB115783)

Staining of Human Claudin 1 in a Formalin/PFA-fixed paraffin-embedded section of Human Liver Carcinoma using ab115783 at a dilution of 1/200.

Flow Cytometry - Anti-Claudin 1 antibody [SP128] (AB115783)
  • Flow Cyt

Supplier Data

Flow Cytometry - Anti-Claudin 1 antibody [SP128] (AB115783)

Flow cytometric analysis of rabbit anti-Claudin 1 (SP128) antibody ab115783 (1/100) in HepG2 cells(green) compared to negative control of rabbit IgG (blue).

Western blot - Anti-Claudin 1 antibody [SP128] (AB115783)
  • WB

Lab

Western blot - Anti-Claudin 1 antibody [SP128] (AB115783)

Blocking and diluting buffer and concentration : 5% NFDM/TBST

Low expression : MCF7 (PMID : 30658316).

Exposure time :
Lane 1 : 4 seconds
Lane 2 - 4 : 15 seconds

ab181602 was used as a GAPDH loading control at a 1/200000 dilution.

All lanes:

Western blot - Anti-Claudin 1 antibody [SP128] (ab115783) at 1/1000 dilution

Lane 1:

A431 (human epidermoid carcinoma epithelial cell) whole cell lysate at 20 µg

Lane 2:

HepG2 (human hepatocellular carcinoma epithelial cell) whole cell lysate at 20 µg

Lane 3:

MCF7 (human breast adenocarcinoma epithelial cell) whole cell lysate at 20 µg

Lane 4:

Human liver cancer tissue lysate at 20 µg

Secondary

All lanes:

Western blot - Goat Anti-Rabbit IgG H&L (HRP) (<a href='/en-us/products/secondary-antibodies/goat-rabbit-igg-h-l-hrp-ab97051'>ab97051</a>) at 1/20000 dilution

Observed band size: 22 kDa

false

  • Carrier free

    Anti-Claudin 1 antibody [SP128] - BSA and Azide free

Key facts

Host species

Rabbit

Clonality

Monoclonal

Clone number

SP128

Isotype

IgG

Carrier free

No

Reacts with

Human

Applications

IHC-P, Flow Cyt, WB

applications

Immunogen

The exact immunogen used to generate this antibody is proprietary information.

Reactivity data

{ "title": "Reactivity Data", "filters": { "stats": ["", "Species", "Dilution Info", "Notes"], "tabs": { "all-applications": {"fullname" : "All Applications", "shortname": "All Applications"}, "WB" : {"fullname" : "Western blot", "shortname":"WB"}, "FlowCyt" : {"fullname" : "Flow Cytometry", "shortname":"Flow Cyt"}, "IHCP" : {"fullname" : "Immunohistochemistry (Formalin/PFA-fixed paraffin-embedded sections)", "shortname":"IHC-P"} }, "product-promise": { "all": "all", "testedAndGuaranteed": "tested", "guaranteed": "expected", "predicted": "predicted", "notRecommended": "not-recommended" } }, "values": { "Human": { "WB-species-checked": "testedAndGuaranteed", "WB-species-dilution-info": "1/1000", "WB-species-notes": "<p></p>", "FlowCyt-species-checked": "testedAndGuaranteed", "FlowCyt-species-dilution-info": "1/100", "FlowCyt-species-notes": "<p><a href='/en-us/products/primary-antibodies/rabbit-igg-monoclonal-epr25a-isotype-control-ab172730'>ab172730</a> - Rabbit monoclonal IgG, is suitable for use as an isotype control with this antibody.</p>", "IHCP-species-checked": "testedAndGuaranteed", "IHCP-species-dilution-info": "1/200", "IHCP-species-notes": "<p></p> Perform heat-mediated antigen retrieval with Tris/EDTA buffer pH 9.0 before commencing with IHC staining protocol." }, "Mouse": { "WB-species-checked": "notRecommended", "WB-species-dilution-info": "", "WB-species-notes": "<p></p>", "FlowCyt-species-checked": "notRecommended", "FlowCyt-species-dilution-info": "", "FlowCyt-species-notes": "", "IHCP-species-checked": "notRecommended", "IHCP-species-dilution-info": "", "IHCP-species-notes": "" }, "Rat": { "WB-species-checked": "notRecommended", "WB-species-dilution-info": "", "WB-species-notes": "<p></p>", "FlowCyt-species-checked": "notRecommended", "FlowCyt-species-dilution-info": "", "FlowCyt-species-notes": "", "IHCP-species-checked": "notRecommended", "IHCP-species-dilution-info": "", "IHCP-species-notes": "" }, "Cow": { "WB-species-checked": "notRecommended", "WB-species-dilution-info": "", "WB-species-notes": "", "FlowCyt-species-checked": "predicted", "FlowCyt-species-dilution-info": "", "FlowCyt-species-notes": "", "IHCP-species-checked": "predicted", "IHCP-species-dilution-info": "", "IHCP-species-notes": "" }, "Pig": { "WB-species-checked": "notRecommended", "WB-species-dilution-info": "", "WB-species-notes": "", "FlowCyt-species-checked": "predicted", "FlowCyt-species-dilution-info": "", "FlowCyt-species-notes": "", "IHCP-species-checked": "predicted", "IHCP-species-dilution-info": "", "IHCP-species-notes": "" } } }

Product details

What are the advantages of a recombinant monoclonal antibody?
This product is a recombinant monoclonal antibody, which offers several advantages including:

  • - High batch-to-batch consistency and reproducibility
  • - Improved sensitivity and specificity
  • - Long-term security of supply
  • - Animal-free batch production

For more information, read more on recombinant antibodies.

Properties and storage information

Form
Liquid
Purification technique
Affinity purification Protein A/G
Purification notes
Purified from TCS by protein A/G.
Storage buffer
pH: 7.6 Preservative: 0.1% Sodium azide Constituents: PBS, 1% BSA
Shipped at conditions
Blue Ice
Appropriate short-term storage conditions
+4°C
Appropriate long-term storage conditions
-20°C
Aliquoting information
Upon delivery aliquot
Storage information
Avoid freeze / thaw cycle

Supplementary information

This supplementary information is collated from multiple sources and compiled automatically.

Claudin 1 also known as CLDN1 is a protein that plays a fundamental role in the formation of tight junctions in the epithelial cells. This claudin protein has a molecular weight of approximately 22 kDa. You can find it expressed in various tissues including the skin liver kidney and lungs. Claudin 1 belongs to the claudin family which consists of transmembrane proteins involved in sealing the space between adjacent cells therefore ensuring tissue integrity.
Biological function summary

This claudin protein contributes to establishing and maintaining the barrier function that controls paracellular transport which is the movement of substances between cells. Claudin 1 participates as a critical component of the tight junction complex and it interacts with other proteins such as occludin and zonula occludens. These interactions contribute to the regulation and maintenance of cell polarity and signaling.

Pathways

Claudin 1 is involved in the epithelial cell signaling pathways that influence cellular proliferation and differentiation. One significant pathway is the Wnt signaling pathway where claudin 1 cooperates with other claudins and proteins like β-catenin to regulate gene transcription. Additionally it is implicated in the MAPK pathway which involves signaling cascades that affect cell growth division and response to external stress.

Claudin 1 shows a strong association with cancers particularly hepatocellular carcinoma and melanoma. In these conditions changes in claudin 1 expression levels can affect tumor progression and metastasis. It also associates with other proteins like E-cadherin impacting cell adhesion and epithelial-mesenchymal transition in cancerous cells. Moreover abnormalities in claudin 1 expression relate to skin disorders such as ichthyosis which is marked by a dysfunction in the skin barrier.

Product protocols

For this product, it's our understanding that no specific protocols are required. You can visit:

Target data

Claudins function as major constituents of the tight junction complexes that regulate the permeability of epithelia. While some claudin family members play essential roles in the formation of impermeable barriers, others mediate the permeability to ions and small molecules. Often, several claudin family members are coexpressed and interact with each other, and this determines the overall permeability. CLDN1 is required to prevent the paracellular diffusion of small molecules through tight junctions in the epidermis and is required for the normal barrier function of the skin. Required for normal water homeostasis and to prevent excessive water loss through the skin, probably via an indirect effect on the expression levels of other proteins, since CLDN1 itself seems to be dispensable for water barrier formation in keratinocyte tight junctions (PubMed : 23407391).. (Microbial infection) Acts as a co-receptor for hepatitis C virus (HCV) in hepatocytes (PubMed : 17325668, PubMed : 20375010, PubMed : 24038151). Associates with CD81 and the CLDN1-CD81 receptor complex is essential for HCV entry into host cell (PubMed : 20375010). Acts as a receptor for dengue virus (PubMed : 24074594).
See full target information CLDN1

Publications (3)

Recent publications for all applications. Explore the full list and refine your search

Stem cell reviews and reports : PubMed40987919

2025

Investigating the Therapeutic Efficacy of Quality-Controlled, miR-146a-5p-Enriched Small Extracellular Vesicles Derived From MSCs Against Idiopathic Pulmonary Fibrosis.

Applications

Unspecified application

Species

Unspecified reactive species

Xin Wang,Lingjiao Meng,Qiuhong Wang,Ruixue Rong,Yu Zhang,Xiaohui Zhao,Chen Liang,Huizhen Guo,Li Deng,Zengqi Tan,Feng Guan,Yi Tan

Journal of virology 98:e0049724 PubMed39345142

2024

Duck circovirus regulates the expression of duck CLDN2 protein by activating the MAPK-ERK pathway to affect its adhesion and infection.

Applications

Unspecified application

Species

Unspecified reactive species

Mingyue Shen,Zhenhong Sun,Cheng Wang,Shuyu Zhang,Baoyu Jia,Bohan Huang,Li Xu,Zhiyu Zhu,Qingyun Bu,Chen Li,Ruiliang Zhu,Liangmeng Wei,Kai Wei

Journal of the European Academy of Dermatology and Venereology : JEADV 37:605-614 PubMed36367625

2022

An open source pipeline for quantitative immunohistochemistry image analysis of inflammatory skin disease using artificial intelligence.

Applications

Unspecified application

Species

Unspecified reactive species

Yuchun Ding,Gaurav Dhawan,Claire Jones,Thomas Ness,Esme Nichols,Natalio Krasnogor,Nick J Reynolds
View all publications

Product promise

We are committed to supporting your work with high-quality reagents, and we're here for you every step of the way. In the unlikely event that one of our products does not perform as expected, you're protected by our Product Promise.
For full details, please see our Terms & Conditions

Please note: All products are 'FOR RESEARCH USE ONLY. NOT FOR USE IN DIAGNOSTIC OR THERAPEUTIC PROCEDURES'.

For licensing inquiries, please contact partnerships@abcam.com