JavaScript is disabled in your browser. Please enable JavaScript to view this website.
AB238820

Anti-Claudin 15 antibody

Be the first to review this product! Submit a review

|

(1 Publication)

Rabbit Polyclonal Claudin 15 antibody. Suitable for IHC-P, ICC/IF and reacts with Human samples. Cited in 1 publication. Immunogen corresponding to Recombinant Fragment Protein within Human Claudin-15 aa 50-150.

View Alternative Names

Claudin-15, CLDN15

3 Images
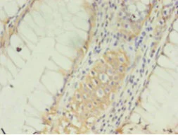
Immunohistochemistry (Formalin/PFA-fixed paraffin-embedded sections) - Anti-Claudin 15 antibody (AB238820)
  • IHC-P

Supplier Data

Immunohistochemistry (Formalin/PFA-fixed paraffin-embedded sections) - Anti-Claudin 15 antibody (AB238820)

Paraffin-embedded human testis tissue stained for Claudin 15 using ab238820 at 1/100 dilution in immunohistochemical analysis.

Immunocytochemistry/ Immunofluorescence - Anti-Claudin 15 antibody (AB238820)
  • ICC/IF

Supplier Data

Immunocytochemistry/ Immunofluorescence - Anti-Claudin 15 antibody (AB238820)

A431 (human epidermoid carcinoma cell line) cells stained for Claudin 15 (green) using ab238820 at 1/100 dilution in ICC/IF, followed by Alexa Fluor 488-congugated Goat Anti-Rabbit IgG (H+L) secondary antibody.

Immunohistochemistry (Formalin/PFA-fixed paraffin-embedded sections) - Anti-Claudin 15 antibody (AB238820)
  • IHC-P

Supplier Data

Immunohistochemistry (Formalin/PFA-fixed paraffin-embedded sections) - Anti-Claudin 15 antibody (AB238820)

Paraffin-embedded human colon cancer tissue stained for Claudin 15 using ab238820 at 1/100 dilution in immunohistochemical analysis.

Key facts

Host species

Rabbit

Clonality

Polyclonal

Isotype

IgG

Carrier free

No

Reacts with

Human

Applications

ICC/IF, IHC-P

applications

Immunogen

Recombinant Fragment Protein within Human Claudin-15 aa 50-150. The exact immunogen used to generate this antibody is proprietary information.

P56746

Reactivity data

{ "title": "Reactivity Data", "filters": { "stats": ["", "Species", "Dilution Info", "Notes"], "tabs": { "all-applications": {"fullname" : "All Applications", "shortname": "All Applications"}, "IHCP" : {"fullname" : "Immunohistochemistry (Formalin/PFA-fixed paraffin-embedded sections)", "shortname":"IHC-P"}, "ICCIF" : {"fullname" : "Immunocytochemistry/ Immunofluorescence", "shortname":"ICC/IF"} }, "product-promise": { "all": "all", "testedAndGuaranteed": "tested", "guaranteed": "expected", "predicted": "predicted", "notRecommended": "not-recommended" } }, "values": { "Human": { "IHCP-species-checked": "testedAndGuaranteed", "IHCP-species-dilution-info": "1/20 - 1/200", "IHCP-species-notes": "<p></p>", "ICCIF-species-checked": "testedAndGuaranteed", "ICCIF-species-dilution-info": "1/50 - 1/200", "ICCIF-species-notes": "<p></p>" }, "Cow": { "IHCP-species-checked": "predicted", "IHCP-species-dilution-info": "", "IHCP-species-notes": "", "ICCIF-species-checked": "predicted", "ICCIF-species-dilution-info": "", "ICCIF-species-notes": "" } } }

Properties and storage information

Form
Liquid
Purification technique
Affinity purification Protein G
Purification notes
Purity greater than 95%.
Storage buffer
pH: 7.4 Preservative: 0.03% Proclin 300 Constituents: PBS, 50% Glycerol (glycerin, glycerine)
Shipped at conditions
Blue Ice
Appropriate short-term storage duration
1-2 weeks
Appropriate short-term storage conditions
+4°C
Appropriate long-term storage conditions
-20°C
Aliquoting information
Upon delivery aliquot
Storage information
Avoid freeze / thaw cycle

Supplementary information

This supplementary information is collated from multiple sources and compiled automatically.

Claudin 15 also called CLDN15 is a member of the claudin family which are integral membrane proteins and a component of tight junctions. These proteins contribute to the establishment and maintenance of cell polarity and paracellular barrier functions. Claudin 15 has a molecular mass of approximately 23 kDa. The protein is prominently expressed in the epithelial cells of organs such as the intestines. Its role involves forming tight junction strands which act as barriers and limit the passage of ions and small molecules between cells.
Biological function summary

Claudin 15 regulates ion selectivity and paracellular permeability. As part of tight junctions claudin 15 helps manage the movement of ions including sodium and chloride across epithelial barriers. The protein is part of a complex with other claudin family members such as claudin 1 and claudin 2 which collectively regulate barrier functions. This ensures proper nutrient absorption and gut homeostasis.

Pathways

Claudin 15 participates in maintaining the integrity of tight junction protein networks that influence epithelial tissue structure. It plays a role in the Wnt signaling pathway which regulates cellular proliferation and differentiation. Claudin 15 interacts with other proteins in this network including E-cadherin and beta-catenin to modulate cell adhesion and signaling processes necessary for tissue development and repair.

Claudin 15 has significant implications in intestinal barrier function and related pathologies. Dysfunction or abnormal expression of claudin 15 associates with intestinal disorders such as inflammatory bowel disease (IBD). Aberrant claudin 15 expression may also influence interactions with other proteins such as Zonula occludens-1 which impacts the integrity of intestinal epithelial barriers and leads to increased permeability and inflammation in these conditions.

Product protocols

For this product, it's our understanding that no specific protocols are required. You can visit:

Target data

Forms paracellular channels : polymerizes in tight junction strands with cation- and water-selective channels through the strands, conveying epithelial permeability in a process known as paracellular tight junction permeability (PubMed : 12055082, PubMed : 13129853, PubMed : 31188544, PubMed : 35650657, PubMed : 36008380). In intestinal epithelium, allows for sodium and water fluxes from the peritoneal side to the lumen of the intestine to regulate nutrient absorption and intestinal morphogenesis (By similarity).
See full target information Claudin-15

Publications (1)

Recent publications for all applications. Explore the full list and refine your search

EBioMedicine 66:103301 PubMed33813137

2021

A circular network of coregulated sphingolipids dictates lung cancer growth and progression.

Applications

Unspecified application

Species

Unspecified reactive species

Qiong Meng,Xueting Hu,Xinbao Zhao,Xiangzhan Kong,Ya-Ming Meng,Yitian Chen,Liangping Su,Xue Jiang,Xiaoyi Qiu,Cheng Huang,Chao Liu,Minghui Wang,Ping-Pui Wong
View all publications

Product promise

We are committed to supporting your work with high-quality reagents, and we're here for you every step of the way. In the unlikely event that one of our products does not perform as expected, you're protected by our Product Promise.
For full details, please see our Terms & Conditions

Please note: All products are 'FOR RESEARCH USE ONLY. NOT FOR USE IN DIAGNOSTIC OR THERAPEUTIC PROCEDURES'.

For licensing inquiries, please contact partnerships@abcam.com