JavaScript is disabled in your browser. Please enable JavaScript to view this website.
AB222512

Anti-Claudin 18.2 antibody [EPR19202]

0

(2 Reviews)

|

(17 Publications)

Anti-Claudin 18.2 antibody [EPR19202] (ab222512) is a rabbit monoclonal antibody detecting Claudin 18.2 in IHC-P, IHC-Fr. Suitable for Human, Mouse, Rat.

- Clone EPR19202 is the most cited clone to Claudin 18.2
- Biophysical QC for unrivalled batch-batch consistency

View Alternative Names

UNQ778/PRO1572, CLDN18, Claudin-18

11 Images
Immunohistochemistry (Formalin/PFA-fixed paraffin-embedded sections) - Anti-Claudin 18.2 antibody [EPR19202] (AB222512)
  • IHC-P

Lab

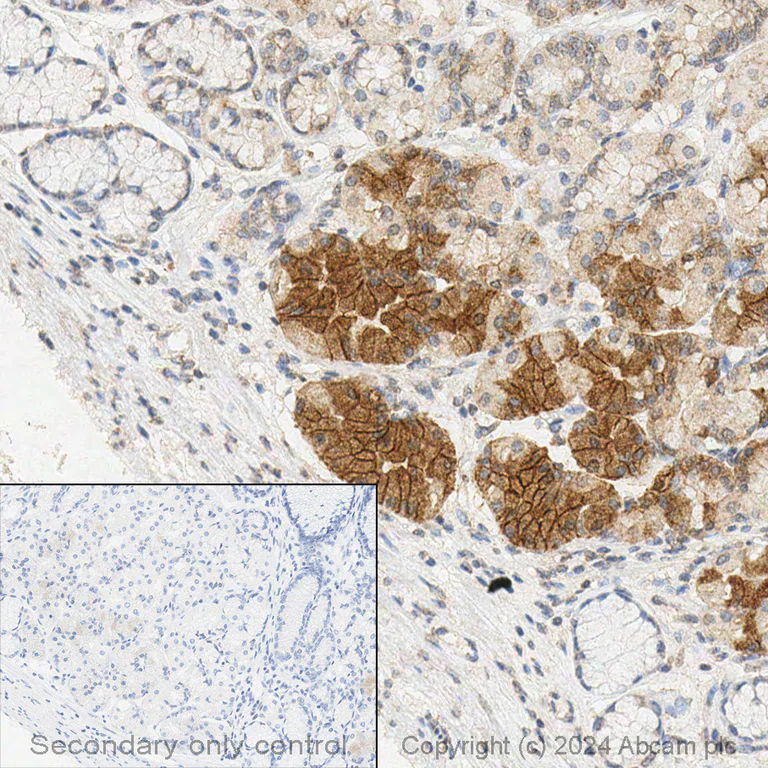
Immunohistochemistry (Formalin/PFA-fixed paraffin-embedded sections) - Anti-Claudin 18.2 antibody [EPR19202] (AB222512)

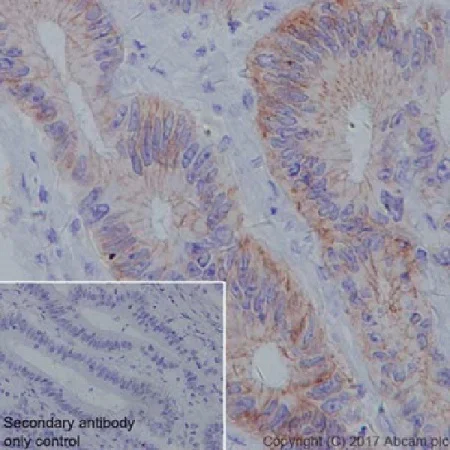
Immunohistochemical analysis of formalin fixed paraffin (FFPE) embedded stomach labelling claudin 18.2 with ab222512 at a concentration of 2µg/ml. The immunostaining was performed on a Ventana DISCOVERY ULTRA (Roche Tissue Diagnostics) instrument with an OptiView DAB IHC Detection Kit. Heat mediated antigen retrieval was conducted for 64min with DISCOVERY cell conditioning solution (CC2)  100°C, pH 8.5. ab222512 was incubated at 37°C for 32 min. Sections were counterstained is with Hematoxylin II. Image inset shows absence of staining in secondary antibody only control

Immunohistochemistry (Formalin/PFA-fixed paraffin-embedded sections) - Anti-Claudin 18.2 antibody [EPR19202] (AB222512)
  • IHC-P

Supplier Data

Immunohistochemistry (Formalin/PFA-fixed paraffin-embedded sections) - Anti-Claudin 18.2 antibody [EPR19202] (AB222512)

Immunohistochemical analysis of paraffin-embedded human lung tissue labeling Claudin 18.2 with ab222512 at 1/500 dilution, followed by Goat Anti-Rabbit IgG H&L (HRP) ready to use. Negative control : No staining on human lung is observed (PMID21571049). Counter stained with Hematoxylin.

Perform heat mediated antigen retrieval with Tris/EDTA buffer pH 9.0 before commencing with IHC staining protocol.

Immunohistochemistry (Formalin/PFA-fixed paraffin-embedded sections) - Anti-Claudin 18.2 antibody [EPR19202] (AB222512)
  • IHC-P

Supplier Data

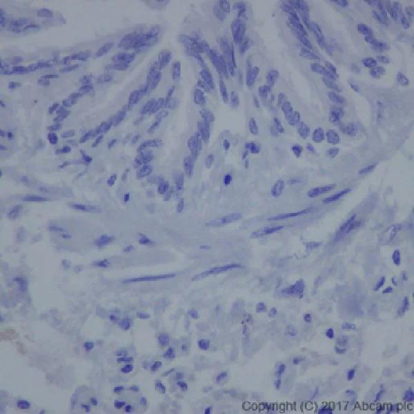
Immunohistochemistry (Formalin/PFA-fixed paraffin-embedded sections) - Anti-Claudin 18.2 antibody [EPR19202] (AB222512)

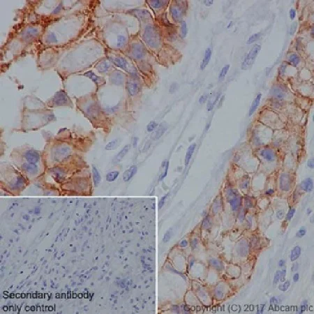
Immunohistochemical analysis of paraffin-embedded human stomach cancer tissue labeling Claudin 18.2 with ab222512 at 1/500 dilution, followed by Goat Anti-Rabbit IgG H&L (HRP) ready to use. Membranous staining on adjacent normal gastric epithelial cells but negative staining on stomach cancer cells (PMID : 16435283). It has been documented in the literature that Claudin 18.2 can be up-regulated or down-regulated in certain gastric cancers. (PMID : 19047087; PMID : 16435283). Counter stained with Hematoxylin.

Secondary antibody only control : Used PBS instead of primary antibody, secondary antibody is Goat Anti-Rabbit IgG H&L (HRP) ready to use.

Perform heat mediated antigen retrieval with Tris/EDTA buffer pH 9.0 before commencing with IHC staining protocol.

Immunohistochemistry (Formalin/PFA-fixed paraffin-embedded sections) - Anti-Claudin 18.2 antibody [EPR19202] (AB222512)
  • IHC-P

Supplier Data

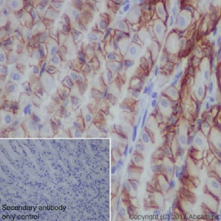
Immunohistochemistry (Formalin/PFA-fixed paraffin-embedded sections) - Anti-Claudin 18.2 antibody [EPR19202] (AB222512)

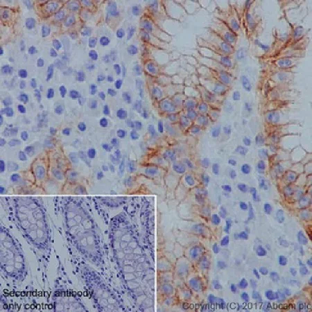
Immunohistochemical analysis of paraffin-embedded human colon cancer tissue labeling Claudin 18.2 with ab222512 at 1/500 dilution, followed by Goat Anti-Rabbit IgG H&L (HRP) ready to use. Membranous staining on colon cancer cells is observed (PMID : 19047087). Counter stained with Hematoxylin.

Secondary antibody only control : Used PBS instead of primary antibody, secondary antibody is Goat Anti-Rabbit IgG H&L (HRP) ready to use.

Perform heat mediated antigen retrieval with Tris/EDTA buffer pH 9.0 before commencing with IHC staining protocol.

Immunohistochemistry (Formalin/PFA-fixed paraffin-embedded sections) - Anti-Claudin 18.2 antibody [EPR19202] (AB222512)
  • IHC-P

Supplier Data

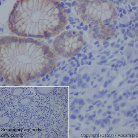
Immunohistochemistry (Formalin/PFA-fixed paraffin-embedded sections) - Anti-Claudin 18.2 antibody [EPR19202] (AB222512)

Immunohistochemical analysis of paraffin-embedded human stomach tissue labeling Claudin 18.2 with ab222512 at 1/500 dilution, followed by Goat Anti-Rabbit IgG H&L (HRP) ready to use. Membranous staining on human gastric epithelial cells is observed (PMID : 21571049). Counter stained with Hematoxylin.

Secondary antibody only control : Used PBS instead of primary antibody, secondary antibody is Goat Anti-Rabbit IgG H&L (HRP) ready to use.

Perform heat mediated antigen retrieval with Tris/EDTA buffer pH 9.0 before commencing with IHC staining protocol.

Immunohistochemistry (Formalin/PFA-fixed paraffin-embedded sections) - Anti-Claudin 18.2 antibody [EPR19202] (AB222512)
  • IHC-P

Lab

Immunohistochemistry (Formalin/PFA-fixed paraffin-embedded sections) - Anti-Claudin 18.2 antibody [EPR19202] (AB222512)

Immunohistochemical analysis of formalin fixed paraffin embedded human stomach labelling Claudin 18.2 with ab240400 at a concentration of 1µg/ml. The immunostaining was performed on a Ventana DISCOVERY ULTRA (Roche Tissue Diagnostics) instrument with a OptiView DAB IHC Detection Kit. Heat mediated antigen retrieval was performed with DISCOVERY cell conditioning solution (CC2) 100°C, pH8.5 for 64mins.

Anti-Claudin 18.2 antibody [EPR19202] ab240400 was incubated for 16mins at 37°C. Sections were counterstained with Hematoxylin II. Image inset shows absence of staining in secondary antibody only control.

Customers are encouraged to optimise antigen retrieval conditions, antibody concentration, incubation times and temperature for best results in their own IHC assay workflow (automated and manual).

Immunohistochemistry (Formalin/PFA-fixed paraffin-embedded sections) - Anti-Claudin 18.2 antibody [EPR19202] (AB222512)
  • IHC-P

Supplier Data

Immunohistochemistry (Formalin/PFA-fixed paraffin-embedded sections) - Anti-Claudin 18.2 antibody [EPR19202] (AB222512)

Immunohistochemical analysis of paraffin-embedded human stomach cancer tissue labeling Claudin 18.2 with ab222512 at 1/500 dilution, followed by Goat Anti-Rabbit IgG H&L (HRP) ready to use. We observed membranous staining on gastric cancer cells (PMID : 19047087). It has been documented in the literature that Claudin 18.2 can be up-regulated or down-regulated in certain gastric cancers. (PMID : 19047087; PMID : 16435283). Counter stained with Hematoxylin.

Secondary antibody only control : Used PBS instead of primary antibody, secondary antibody is Goat Anti-Rabbit IgG H&L (HRP) ready to use.

Perform heat mediated antigen retrieval with Tris/EDTA buffer pH 9.0 before commencing with IHC staining protocol.

Immunohistochemistry (Frozen sections) - Anti-Claudin 18.2 antibody [EPR19202] (AB222512)
  • IHC-Fr

Supplier Data

Immunohistochemistry (Frozen sections) - Anti-Claudin 18.2 antibody [EPR19202] (AB222512)

Immunohistochemical analysis of OCT-embedded mouse stomach tissue labeling Claudin 18.2 with ab222512 at 1/250 dilution, followed by Goat Anti-Rabbit IgG H&L (HRP) ready to use. Positive cell membrane staining on gastric mucosa epithelial cells (PMID : 21571049). Nuclear counter stained with DAPI.

Secondary antibody only control : Used PBS instead of primary antibody, secondary antibody is Goat Anti-Rabbit IgG H&L (HRP) ready to use.

Immunohistochemistry (Formalin/PFA-fixed paraffin-embedded sections) - Anti-Claudin 18.2 antibody [EPR19202] (AB222512)
  • IHC-P

Supplier Data

Immunohistochemistry (Formalin/PFA-fixed paraffin-embedded sections) - Anti-Claudin 18.2 antibody [EPR19202] (AB222512)

Immunohistochemical analysis of paraffin-embedded mouse stomach tissue labeling Claudin 18.2 with ab222512 at 1/500 dilution, followed by Goat Anti-Rabbit IgG H&L (HRP) ready to use. Membranous staining on mouse gastric epithelial cells is observed. Counter stained with Hematoxylin.

Secondary antibody only control : Used PBS instead of primary antibody, secondary antibody is Goat Anti-Rabbit IgG H&L (HRP) ready to use.

Perform heat mediated antigen retrieval with Tris/EDTA buffer pH 9.0 before commencing with IHC staining protocol.

Immunohistochemistry (Formalin/PFA-fixed paraffin-embedded sections) - Anti-Claudin 18.2 antibody [EPR19202] (AB222512)
  • IHC-P

Supplier Data

Immunohistochemistry (Formalin/PFA-fixed paraffin-embedded sections) - Anti-Claudin 18.2 antibody [EPR19202] (AB222512)

Immunohistochemical analysis of paraffin-embedded rat stomach tissue labeling Claudin 18.2 with ab222512 at 1/500 dilution, followed by Goat Anti-Rabbit IgG H&L (HRP) ready to use. Membranous staining on rat gastric epithelial cells is observed. Counter stained with Hematoxylin.

Secondary antibody only control : Used PBS instead of primary antibody, secondary antibody is Goat Anti-Rabbit IgG H&L (HRP) ready to use.

Perform heat mediated antigen retrieval with Tris/EDTA buffer pH 9.0 before commencing with IHC staining protocol.

Immunohistochemistry (Frozen sections) - Anti-Claudin 18.2 antibody [EPR19202] (AB222512)
  • IHC-Fr

Supplier Data

Immunohistochemistry (Frozen sections) - Anti-Claudin 18.2 antibody [EPR19202] (AB222512)

Immunohistochemical analysis of OCT-embedded rat stomach tissue labeling Claudin 18.2 with ab222512 at 1/50 dilution, followed by Goat Anti-Rabbit IgG H&L (HRP) ready to use. Positive cell membrane staining on gastric mucosa epithelial cells (PMID : 21571049). Nuclear counter stained with DAPI.

Secondary antibody only control : Used PBS instead of primary antibody, secondary antibody is Goat Anti-Rabbit IgG H&L (HRP) ready to use.

Key facts

Host species

Rabbit

Clonality

Monoclonal

Clone number

EPR19202

Isotype

IgG

Carrier free

No

Reacts with

Mouse, Rat, Human

Applications

IHC-P, IHC-Fr

applications

Immunogen

The exact immunogen used to generate this antibody is proprietary information.

Reactivity data

{ "title": "Reactivity Data", "filters": { "stats": ["", "Species", "Dilution Info", "Notes"], "tabs": { "all-applications": {"fullname" : "All Applications", "shortname": "All Applications"}, "IHCFr" : {"fullname" : "Immunohistochemistry (Frozen sections)", "shortname":"IHC-Fr"}, "IHCP" : {"fullname" : "Immunohistochemistry (Formalin/PFA-fixed paraffin-embedded sections)", "shortname":"IHC-P"}, "ICCIF" : {"fullname" : "Immunocytochemistry/ Immunofluorescence", "shortname":"ICC/IF"} }, "product-promise": { "all": "all", "testedAndGuaranteed": "tested", "guaranteed": "expected", "predicted": "predicted", "notRecommended": "not-recommended" } }, "values": { "Human": { "IHCFr-species-checked": "guaranteed", "IHCFr-species-dilution-info": "", "IHCFr-species-notes": "", "IHCP-species-checked": "testedAndGuaranteed", "IHCP-species-dilution-info": "1/500", "IHCP-species-notes": "<p></p> Perform heat-mediated antigen retrieval with Tris/EDTA buffer pH 9.0 before commencing with IHC staining protocol.", "ICCIF-species-checked": "notRecommended", "ICCIF-species-dilution-info": "1/50", "ICCIF-species-notes": "<p></p>" }, "Mouse": { "IHCFr-species-checked": "testedAndGuaranteed", "IHCFr-species-dilution-info": "1/50 - 1/250", "IHCFr-species-notes": "<p>Perform heat mediated antigen retrieval with Tris/EDTA buffer pH 9.0 before commencing with IHC staining protocol.</p>", "IHCP-species-checked": "testedAndGuaranteed", "IHCP-species-dilution-info": "1/500", "IHCP-species-notes": "<p></p> Perform heat-mediated antigen retrieval with Tris/EDTA buffer pH 9.0 before commencing with IHC staining protocol.", "ICCIF-species-checked": "notRecommended", "ICCIF-species-dilution-info": "1/50", "ICCIF-species-notes": "<p></p>" }, "Rat": { "IHCFr-species-checked": "testedAndGuaranteed", "IHCFr-species-dilution-info": "1/50 - 1/250", "IHCFr-species-notes": "<p>Perform heat mediated antigen retrieval with Tris/EDTA buffer pH 9.0 before commencing with IHC staining protocol.</p>", "IHCP-species-checked": "testedAndGuaranteed", "IHCP-species-dilution-info": "1/500", "IHCP-species-notes": "<p></p> Perform heat-mediated antigen retrieval with Tris/EDTA buffer pH 9.0 before commencing with IHC staining protocol.", "ICCIF-species-checked": "notRecommended", "ICCIF-species-dilution-info": "", "ICCIF-species-notes": "" } } }

Product details

Anti-Claudin 18.2 antibody [EPR19202] (ab222512) was developed by Abcam using patented rabbit monoclonal antibody technology and is validated for use in IHC-Fr and IHC-P

Abcam's high quality manufacturing and validation processes ensure Anti-Claudin 18.2 antibody [EPR19202] (ab222512) has high sensitivity and specificity alongside high lot-to-lot consistency and reproducibility.

Anti-Claudin 18.2 antibody [EPR19202] (ab222512) specifically detects Claudin 18.2 (UniProt ID: P56856; Molecular weight: 28kDa) and is sold in 100 µL and 1 mL selling sizes.

Conjugation-ready, carrier free format available for antibody clone EPR19202 - ab240400.

Antibody clone EPR19202 is also available pre-conjugated to a variety of labels for your convenience - Alexa Fluor® 488, Alexa Fluor® 647, Alexa Fluor® 594, Alexa Fluor® 568, Alexa Fluor® 555, Alexa Fluor® 750 (ab311014, ab311142, ab311779, ab313060, ab313260, ab321409).

Claudin 18.2 (CLDN18.2) is a highly selective protein found in the tight junctions of gastric epithelial cells. It becomes accessible on the surface of tumor cells during malignant transformation, making it a valuable target for cancer therapy. CLDN18.2 is predominantly expressed in gastric and gastroesophageal cancers but is also found in other solid tumors. Researchers are developing targeted therapies, including monoclonal antibodies, bispecific antibodies and CAR-T cells, to exploit CLDN18.2's unique expression pattern. These therapies show promise in improving treatment outcomes for patients with CLDN18.2-positive cancers.

Patented technology
Our RabMAb® technology is a patented hybridoma-based technology for making rabbit monoclonal antibodies. For details on our patents, please refer to RabMAb® patents.

Properties and storage information

Form
Liquid
Purification technique
Affinity purification Protein A
Storage buffer
pH: 7.2 - 7.4 Preservative: 0.01% Sodium azide Constituents: PBS, 40% Glycerol (glycerin, glycerine), 0.05% BSA
Shipped at conditions
Blue Ice
Appropriate short-term storage duration
1-2 weeks
Appropriate short-term storage conditions
+4°C
Appropriate long-term storage conditions
-20°C
Aliquoting information
Upon delivery aliquot
Storage information
Avoid freeze / thaw cycle

Supplementary information

This supplementary information is collated from multiple sources and compiled automatically.

Claudin 18.2 also known as claudin 18 CLDN18 or claudin-18.2 is a tight junction protein with a molecular mass of approximately 27 kDa. It is primarily expressed in gastric epithelial cells and certain lung tissues. Claudin 18.2 is part of the claudin family which plays a critical role in forming tight junctions to regulate paracellular transport and maintain cellular polarity. This isoform specifically expressed in the stomach is encoded by the CLDN18 gene located on chromosome 3. Researchers often use techniques like Immunohistochemistry (IHC) referred to as claudin 18.2 IHC or cldn18 IHC to study its expression and localization.
Biological function summary

Claudin 18.2 functions within tight junction complexes creating a barrier and controlling the movement of ions and molecules between cells. It is vital for the integrity and function of epithelial cell barriers in the stomach. The protein interacts with other claudins and cytoplasmic proteins to form these tight junctions essential for maintaining tissue organization and permeability. Its unique expression pattern makes it a significant marker for gastric tissue and a potential target for therapeutics.

Pathways

Claudin 18.2 is involved in cellular pathways related to adhesion and barrier function. It plays a role in the tight junction pathway critical for epithelial barrier integrity. This pathway involves interactions with other claudin proteins and ZO-1 which is a cytoplasmic plaque protein that links claudins to the actin cytoskeleton reinforcing cellular structure. Another pathway where claudin 18.2 is important is the gastro-intestinal epithelium maintenance pathway which is fundamental for protecting gastric tissues.

Claudin 18.2 is a notable target in cancers especially gastric cancer. Its specific expression in gastric tissues makes it an attractive target for cancer immunotherapy as aberrant expression could indicate gastric cancer onset. Another disorder related to claudin 18.2 is asthma particularly where lung epithelial cells express this protein. Studies have identified links between claudin 18.2 and increased permeability in lung tissues implicating it in asthmatic pathophysiology. Its association with these conditions highlights the potential for claudin 18.2 as a diagnostic or therapeutic target in oncology and respiratory diseases.

Product protocols

For this product, it's our understanding that no specific protocols are required. You can visit:

Target data

The protein expressed by the gene CLDN18 plays a major role in the tight junction-specific obliteration of the intercellular space through calcium-independent cell-adhesion activity. This supplementary information is collated from multiple sources and compiled automatically.
See full target information CLDN18

Publications (17)

Recent publications for all applications. Explore the full list and refine your search

Frontiers in oncology 15:1636367 PubMed40951359

2025

Claudin18.2 defines a prognostically distinct subgroup of intrahepatic cholangiocarcinoma via CD8 T-cell exclusion.

Applications

Unspecified application

Species

Unspecified reactive species

Chengui Yu,Yuren Pan,Fuli Li,Zhenyun Guo,Da Xu,Ying Zhu,Baobing Yin

World journal of oncology 16:254-268 PubMed40556965

2025

Co-expression of HER2/EGFRvIII/CD44 and Claudin 18.2/CD109 as Novel Prognostic Indicators in Stomach Adenocarcinoma.

Applications

Unspecified application

Species

Unspecified reactive species

Tina Al Janaby,Said Khelwatty,Izhar Bagwan,Nima Abbassi-Ghadi,Helmout Modjtahedi

International journal of general medicine 17:1695-1705 PubMed38706745

2024

High Expression of CLDN 18.2 is Associated with Poor Disease-Free Survival of HER-2 Positive Gastric Cancer.

Applications

Unspecified application

Species

Unspecified reactive species

Tongxin Zhang,Zilong He,Yankui Liu,Linfang Jin,Teng Wang

Nature communications 15:3771 PubMed38704377

2024

Mutation characteristics and molecular evolution of ovarian metastasis from gastric cancer and potential biomarkers for paclitaxel treatment.

Applications

Unspecified application

Species

Unspecified reactive species

Pengfei Yu,Can Hu,Guangyu Ding,Xiaoliang Shi,Jingli Xu,Yang Cao,Xiangliu Chen,Wei Wu,Qi Xu,Jingquan Fang,Xingmao Huang,Shaohua Yuan,Hui Chen,Zhizheng Wang,Ling Huang,Fei Pang,Yian Du,Xiangdong Cheng

ACS pharmacology & translational science 6:1829-1840 PubMed38093841

2023

Screening, Construction, and Preliminary Evaluation of CLDN18.2-Specific Peptides for Noninvasive Molecular Imaging.

Applications

Unspecified application

Species

Unspecified reactive species

Zilei Wang,Chuanke Zhao,Jin Ding,Yan Chen,Jiayue Liu,Xingguo Hou,XiangXing Kong,Bin Dong,Zhi Yang,Hua Zhu

BMC gastroenterology 23:283 PubMed37582713

2023

CLDN18.2 expression and its impact on prognosis and the immune microenvironment in gastric cancer.

Applications

Unspecified application

Species

Unspecified reactive species

Canming Wang,Yukai Wang,Jinxia Chen,Yi Wang,Chuhong Pang,Chen Liang,Li Yuan,Yubo Ma

Journal for immunotherapy of cancer 11: PubMed37364935

2023

CLDN18.2 and 4-1BB bispecific antibody givastomig exerts antitumor activity through CLDN18.2-expressing tumor-directed T-cell activation.

Applications

Unspecified application

Species

Unspecified reactive species

Jing Gao,Zhengyi Wang,Wenqing Jiang,Yanni Zhang,Zhen Meng,Yanling Niu,Zhen Sheng,Chan Chen,Xuejun Liu,Xi Chen,Chanjuan Liu,Keren Jia,Cheng Zhang,Haiyan Liao,Jaeho Jung,Eunsil Sung,Hyejin Chung,Jingwu Z Zhang,Andrew X Zhu,Lin Shen

ESMO open 8:100778 PubMed36791669

2023

Claudin18.who? Examining biomarker overlap and outcomes in claudin18.2-positive gastroesophageal adenocarcinomas.

Applications

Unspecified application

Species

Unspecified reactive species

S J Klempner,Y Y Janjigian,Z A Wainberg

BMC cancer 23:44 PubMed36639622

2023

Claudin18.2 as a potential therapeutic target for primary ovarian mucinous carcinomas and metastatic ovarian mucinous carcinomas from upper gastrointestinal primary tumours.

Applications

Unspecified application

Species

Unspecified reactive species

Fujun Wang,Yao Yang,Xiuzhen Du,Xiaoying Zhu,Yanjiao Hu,Changyu Lu,Lei Sui,Han Zhao,Kejuan Song,Qin Yao

Molecular therapy oncolytics 27:305-314 PubMed36570796

2022

Development and comparison of Ga/F/Cu-labeled nanobody tracers probing Claudin18.2.

Applications

Unspecified application

Species

Unspecified reactive species

Weijun Wei,Di Zhang,You Zhang,Lianghua Li,Yuchen Jin,Shuxian An,Chun Lv,Haitao Zhao,Cheng Wang,Yanshan Huang,Jiali Dong,Gang Huang,Jianjun Liu
View all publications
enhancedValidationDataWebsite
en

Product promise

We are committed to supporting your work with high-quality reagents, and we're here for you every step of the way. In the unlikely event that one of our products does not perform as expected, you're protected by our Product Promise.
For full details, please see our Terms & Conditions

Please note: All products are 'FOR RESEARCH USE ONLY. NOT FOR USE IN DIAGNOSTIC OR THERAPEUTIC PROCEDURES'.

For licensing inquiries, please contact partnerships@abcam.com