JavaScript is disabled in your browser. Please enable JavaScript to view this website.
AB240400

Anti-Claudin 18.2 antibody [EPR19202] - BSA and Azide free

Be the first to review this product! Submit a review

|

(1 Publication)

Anti-Claudin 18.2 antibody [EPR19202] (ab240400) is a rabbit recombinant monoclonal antibody provided in an azide free buffer detecting Claudin 18.2 in IHC-P, IHC-Fr. Suitable for Human, Mouse, Rat.

- Clone EPR19202 is the most cited clone to Claudin 18.2
- Biophysical QC for unrivalled batch-batch consistency

View Alternative Names

UNQ778/PRO1572, CLDN18, Claudin-18

10 Images
Immunohistochemistry (Formalin/PFA-fixed paraffin-embedded sections) - Anti-Claudin 18.2 antibody [EPR19202] - BSA and Azide free (AB240400)
  • IHC-P

Supplier Data

Immunohistochemistry (Formalin/PFA-fixed paraffin-embedded sections) - Anti-Claudin 18.2 antibody [EPR19202] - BSA and Azide free (AB240400)

Immunohistochemical analysis of paraffin-embedded human lung tissue labeling Claudin 18.2 with ab222512 at 1/500 dilution, followed by Goat Anti-Rabbit IgG H&L (HRP) ready to use. Negative control : No staining on human lung is observed (PMID21571049). Counter stained with Hematoxylin.

This data was developed using the same antibody clone in a different buffer formulation containing PBS, BSA, glycerol, and sodium azide (ab222512).

Perform heat mediated antigen retrieval with Tris/EDTA buffer pH 9.0 before commencing with IHC staining protocol.

Immunohistochemistry (Formalin/PFA-fixed paraffin-embedded sections) - Anti-Claudin 18.2 antibody [EPR19202] - BSA and Azide free (AB240400)
  • IHC-P

Supplier Data

Immunohistochemistry (Formalin/PFA-fixed paraffin-embedded sections) - Anti-Claudin 18.2 antibody [EPR19202] - BSA and Azide free (AB240400)

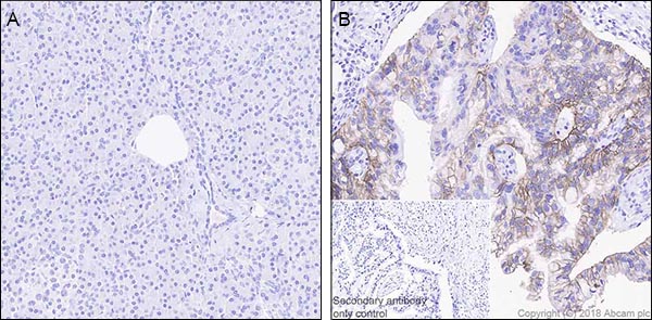
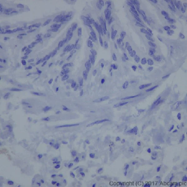
Immunohistochemical analysis of paraffin-embedded human stomach cancer tissue labeling Claudin 18.2 with ab222512 at 1/500 dilution, followed by Goat Anti-Rabbit IgG H&L (HRP) ready to use. Membranous staining on adjacent normal gastric epithelial cells but negative staining on stomach cancer cells (PMID : 16435283). It has been documented in the literature that Claudin 18.2 can be up-regulated or down-regulated in certain gastric cancers. (PMID : 19047087; PMID : 16435283). Counter stained with Hematoxylin.

Secondary antibody only control : Used PBS instead of primary antibody, secondary antibody is Goat Anti-Rabbit IgG H&L (HRP) ready to use.

This data was developed using the same antibody clone in a different buffer formulation containing PBS, BSA, glycerol, and sodium azide (ab222512).

Perform heat mediated antigen retrieval with Tris/EDTA buffer pH 9.0 before commencing with IHC staining protocol.

Immunohistochemistry (Formalin/PFA-fixed paraffin-embedded sections) - Anti-Claudin 18.2 antibody [EPR19202] - BSA and Azide free (AB240400)
  • IHC-P

Supplier Data

Immunohistochemistry (Formalin/PFA-fixed paraffin-embedded sections) - Anti-Claudin 18.2 antibody [EPR19202] - BSA and Azide free (AB240400)

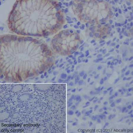
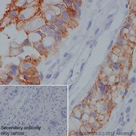
Immunohistochemical analysis of paraffin-embedded human colon cancer tissue labeling Claudin 18.2 with ab222512 at 1/500 dilution, followed by Goat Anti-Rabbit IgG H&L (HRP) ready to use. Membranous staining on colon cancer cells is observed (PMID : 19047087). Counter stained with Hematoxylin.

Secondary antibody only control : Used PBS instead of primary antibody, secondary antibody is Goat Anti-Rabbit IgG H&L (HRP) ready to use.

This data was developed using the same antibody clone in a different buffer formulation containing PBS, BSA, glycerol, and sodium azide (ab222512).

Perform heat mediated antigen retrieval with Tris/EDTA buffer pH 9.0 before commencing with IHC staining protocol.

Immunohistochemistry (Formalin/PFA-fixed paraffin-embedded sections) - Anti-Claudin 18.2 antibody [EPR19202] - BSA and Azide free (AB240400)
  • IHC-P

Supplier Data

Immunohistochemistry (Formalin/PFA-fixed paraffin-embedded sections) - Anti-Claudin 18.2 antibody [EPR19202] - BSA and Azide free (AB240400)

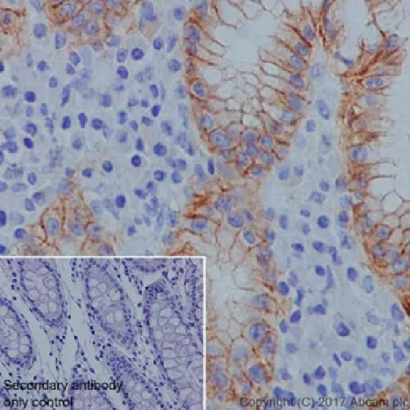
Immunohistochemical analysis of paraffin-embedded human stomach tissue labeling Claudin 18.2 with ab222512 at 1/500 dilution, followed by Goat Anti-Rabbit IgG H&L (HRP) ready to use. Membranous staining on human gastric epithelial cells is observed (PMID : 21571049). Counter stained with Hematoxylin.

Secondary antibody only control : Used PBS instead of primary antibody, secondary antibody is Goat Anti-Rabbit IgG H&L (HRP) ready to use.

This data was developed using the same antibody clone in a different buffer formulation containing PBS, BSA, glycerol, and sodium azide (ab222512).

Perform heat mediated antigen retrieval with Tris/EDTA buffer pH 9.0 before commencing with IHC staining protocol.

Immunohistochemistry (Formalin/PFA-fixed paraffin-embedded sections) - Anti-Claudin 18.2 antibody [EPR19202] - BSA and Azide free (AB240400)
  • IHC-P

Lab

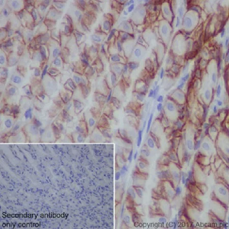
Immunohistochemistry (Formalin/PFA-fixed paraffin-embedded sections) - Anti-Claudin 18.2 antibody [EPR19202] - BSA and Azide free (AB240400)

This data was developed using ab222512, the same antibody clone in a different buffer formulation.

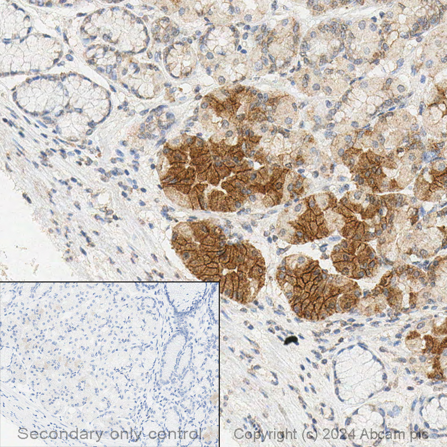
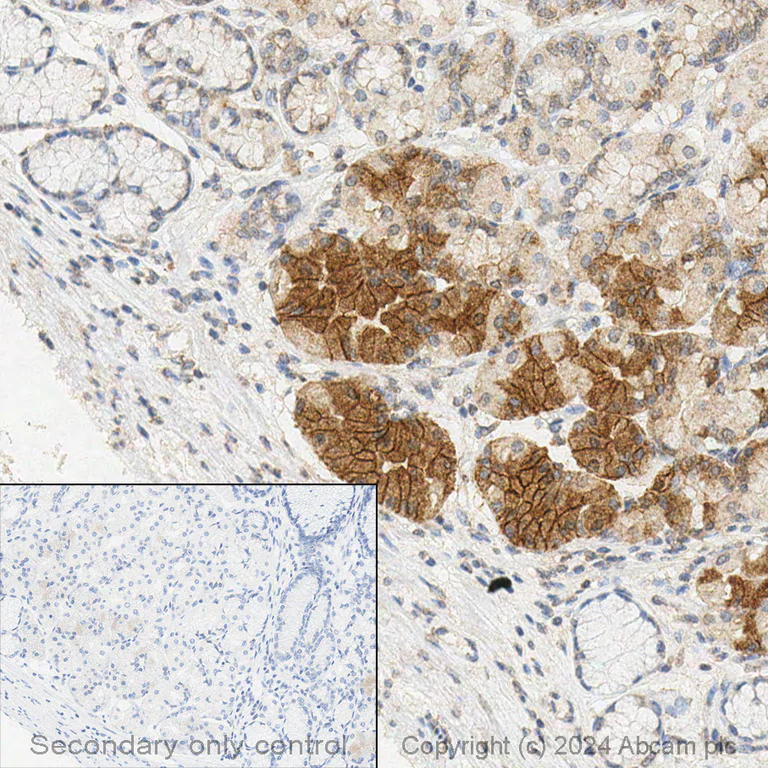
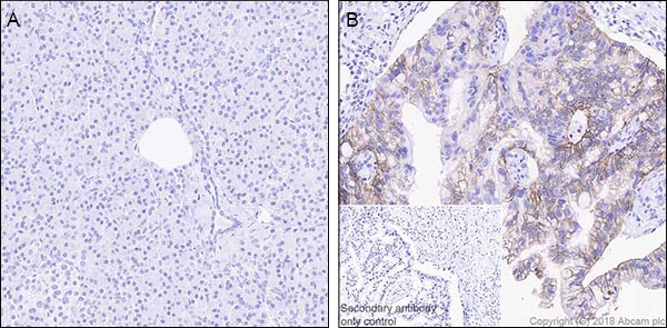
Immunohistochemical analysis of formalin fixed paraffin embedded human stomach labelling Claudin 18.2 with ab240400 at a concentration of 1µg/ml. The immunostaining was performed on a Ventana DISCOVERY ULTRA (Roche Tissue Diagnostics) instrument with a OptiView DAB IHC Detection Kit. Heat mediated antigen retrieval was performed with DISCOVERY cell conditioning solution (CC2) 100°C, pH8.5 for 64mins.

Anti-Claudin 18.2 antibody [EPR19202] ab240400 was incubated for 16mins at 37°C. Sections were counterstained with Hematoxylin II. Image inset shows absence of staining in secondary antibody only control.

Customers are encouraged to optimise antigen retrieval conditions, antibody concentration, incubation times and temperature for best results in their own IHC assay workflow (automated and manual).

Immunohistochemistry (Formalin/PFA-fixed paraffin-embedded sections) - Anti-Claudin 18.2 antibody [EPR19202] - BSA and Azide free (AB240400)
  • IHC-P

Supplier Data

Immunohistochemistry (Formalin/PFA-fixed paraffin-embedded sections) - Anti-Claudin 18.2 antibody [EPR19202] - BSA and Azide free (AB240400)

Immunohistochemical analysis of paraffin-embedded human stomach cancer tissue labeling Claudin 18.2 with ab222512 at 1/500 dilution, followed by Goat Anti-Rabbit IgG H&L (HRP) ready to use. We observed membranous staining on gastric cancer cells (PMID : 19047087). It has been documented in the literature that Claudin 18.2 can be up-regulated or down-regulated in certain gastric cancers. (PMID : 19047087; PMID : 16435283). Counter stained with Hematoxylin.

Secondary antibody only control : Used PBS instead of primary antibody, secondary antibody is Goat Anti-Rabbit IgG H&L (HRP) ready to use.

This data was developed using the same antibody clone in a different buffer formulation containing PBS, BSA, glycerol, and sodium azide (ab222512).

Perform heat mediated antigen retrieval with Tris/EDTA buffer pH 9.0 before commencing with IHC staining protocol.

Immunohistochemistry (Frozen sections) - Anti-Claudin 18.2 antibody [EPR19202] - BSA and Azide free (AB240400)
  • IHC-Fr

Supplier Data

Immunohistochemistry (Frozen sections) - Anti-Claudin 18.2 antibody [EPR19202] - BSA and Azide free (AB240400)

Immunohistochemical analysis of OCT-embedded mouse stomach tissue labeling Claudin 18.2 with ab222512 at 1/250 dilution, followed by Goat Anti-Rabbit IgG H&L (HRP) ready to use. Positive cell membrane staining on gastric mucosa epithelial cells (PMID : 21571049). Nuclear counter stained with DAPI.

Secondary antibody only control : Used PBS instead of primary antibody, secondary antibody is Goat Anti-Rabbit IgG H&L (HRP) ready to use.

This data was developed using the same antibody clone in a different buffer formulation containing PBS, BSA, glycerol, and sodium azide (ab222512).

Immunohistochemistry (Formalin/PFA-fixed paraffin-embedded sections) - Anti-Claudin 18.2 antibody [EPR19202] - BSA and Azide free (AB240400)
  • IHC-P

Supplier Data

Immunohistochemistry (Formalin/PFA-fixed paraffin-embedded sections) - Anti-Claudin 18.2 antibody [EPR19202] - BSA and Azide free (AB240400)

Immunohistochemical analysis of paraffin-embedded mouse stomach tissue labeling Claudin 18.2 with ab222512 at 1/500 dilution, followed by Goat Anti-Rabbit IgG H&L (HRP) ready to use. Membranous staining on mouse gastric epithelial cells is observed. Counter stained with Hematoxylin.

Secondary antibody only control : Used PBS instead of primary antibody, secondary antibody is Goat Anti-Rabbit IgG H&L (HRP) ready to use.

This data was developed using the same antibody clone in a different buffer formulation containing PBS, BSA, glycerol, and sodium azide (ab222512).

Perform heat mediated antigen retrieval with Tris/EDTA buffer pH 9.0 before commencing with IHC staining protocol.

Immunohistochemistry (Formalin/PFA-fixed paraffin-embedded sections) - Anti-Claudin 18.2 antibody [EPR19202] - BSA and Azide free (AB240400)
  • IHC-P

Supplier Data

Immunohistochemistry (Formalin/PFA-fixed paraffin-embedded sections) - Anti-Claudin 18.2 antibody [EPR19202] - BSA and Azide free (AB240400)

Immunohistochemical analysis of paraffin-embedded rat stomach tissue labeling Claudin 18.2 with ab222512 at 1/500 dilution, followed by Goat Anti-Rabbit IgG H&L (HRP) ready to use. Membranous staining on rat gastric epithelial cells is observed. Counter stained with Hematoxylin.

Secondary antibody only control : Used PBS instead of primary antibody, secondary antibody is Goat Anti-Rabbit IgG H&L (HRP) ready to use.

This data was developed using the same antibody clone in a different buffer formulation containing PBS, BSA, glycerol, and sodium azide (ab222512).

Perform heat mediated antigen retrieval with Tris/EDTA buffer pH 9.0 before commencing with IHC staining protocol.

Immunohistochemistry (Frozen sections) - Anti-Claudin 18.2 antibody [EPR19202] - BSA and Azide free (AB240400)
  • IHC-Fr

Supplier Data

Immunohistochemistry (Frozen sections) - Anti-Claudin 18.2 antibody [EPR19202] - BSA and Azide free (AB240400)

Immunohistochemical analysis of OCT-embedded rat stomach tissue labeling Claudin 18.2 with ab222512 at 1/50 dilution, followed by Goat Anti-Rabbit IgG H&L (HRP) ready to use. Positive cell membrane staining on gastric mucosa epithelial cells (PMID : 21571049). Nuclear counter stained with DAPI.

Secondary antibody only control : Used PBS instead of primary antibody, secondary antibody is Goat Anti-Rabbit IgG H&L (HRP) ready to use.

This data was developed using the same antibody clone in a different buffer formulation containing PBS, BSA, glycerol, and sodium azide (ab222512).

Key facts

Host species

Rabbit

Clonality

Monoclonal

Clone number

EPR19202

Isotype

IgG

Carrier free

Yes

Reacts with

Mouse, Rat, Human

Applications

IHC-Fr, IHC-P

applications

Immunogen

The exact immunogen used to generate this antibody is proprietary information.

Reactivity data

{ "title": "Reactivity Data", "filters": { "stats": ["", "Species", "Dilution Info", "Notes"], "tabs": { "all-applications": {"fullname" : "All Applications", "shortname": "All Applications"}, "IHCFr" : {"fullname" : "Immunohistochemistry (Frozen sections)", "shortname":"IHC-Fr"}, "IHCP" : {"fullname" : "Immunohistochemistry (Formalin/PFA-fixed paraffin-embedded sections)", "shortname":"IHC-P"}, "ICCIF" : {"fullname" : "Immunocytochemistry/ Immunofluorescence", "shortname":"ICC/IF"} }, "product-promise": { "all": "all", "testedAndGuaranteed": "tested", "guaranteed": "expected", "predicted": "predicted", "notRecommended": "not-recommended" } }, "values": { "Human": { "IHCFr-species-checked": "guaranteed", "IHCFr-species-dilution-info": "", "IHCFr-species-notes": "", "IHCP-species-checked": "testedAndGuaranteed", "IHCP-species-dilution-info": "", "IHCP-species-notes": "<p></p> Perform heat-mediated antigen retrieval with Tris/EDTA buffer pH 9.0 before commencing with IHC staining protocol.", "ICCIF-species-checked": "notRecommended", "ICCIF-species-dilution-info": "", "ICCIF-species-notes": "<p></p>" }, "Mouse": { "IHCFr-species-checked": "testedAndGuaranteed", "IHCFr-species-dilution-info": "", "IHCFr-species-notes": "<p>Perform heat mediated antigen retrieval with Tris/EDTA buffer pH 9.0 before commencing with IHC staining protocol.</p>", "IHCP-species-checked": "testedAndGuaranteed", "IHCP-species-dilution-info": "", "IHCP-species-notes": "<p></p> Perform heat-mediated antigen retrieval with Tris/EDTA buffer pH 9.0 before commencing with IHC staining protocol.", "ICCIF-species-checked": "notRecommended", "ICCIF-species-dilution-info": "", "ICCIF-species-notes": "<p></p>" }, "Rat": { "IHCFr-species-checked": "testedAndGuaranteed", "IHCFr-species-dilution-info": "", "IHCFr-species-notes": "<p>Perform heat mediated antigen retrieval with Tris/EDTA buffer pH 9.0 before commencing with IHC staining protocol.</p>", "IHCP-species-checked": "testedAndGuaranteed", "IHCP-species-dilution-info": "", "IHCP-species-notes": "<p></p> Perform heat-mediated antigen retrieval with Tris/EDTA buffer pH 9.0 before commencing with IHC staining protocol.", "ICCIF-species-checked": "notRecommended", "ICCIF-species-dilution-info": "", "ICCIF-species-notes": "" } } }

Product details

What is this antibody validated in?
Anti-Claudin 18.2 antibody [EPR19202] (ab240400) is a rabbit recombinant monoclonal antibody and is validated for use in Immunohistochemistry (IHC-P), Immunohistochemistry (IHC-Fr) in Human, Mouse, Rat samples.

Patented technology
Our RabMAb® technology is a patented hybridoma-based technology for making rabbit monoclonal antibodies. For details on our patents, please refer to RabMAb® patents.

Conjugation ready
Our carrier-free antibodies are typically supplied in a PBS-only formulation, purified and free of BSA, sodium azide and glycerol. This conjugation-ready format is designed for use with fluorochromes, metal isotopes, oligonucleotides, and enzymes, which makes them ideal for antibody labelling, functional and cell-based assays, flow-based assays (e.g. mass cytometry) and Multiplex Imaging applications.

Use our conjugation kits for antibody conjugates that are ready-to-use in as little as 20 minutes with 1 minute hands-on-time and 100% antibody recovery: available for fluorescent dyes, HRP, biotin and gold.

Compatibility
This product is compatible with the Maxpar® Antibody Labeling Kit from Fluidigm, without the need for antibody preparation. Maxpar® is a trademark of Fluidigm Canada Inc.

Properties and storage information

Form
Liquid
Purification technique
Affinity purification Protein A
Storage buffer
pH: 7.2 - 7.4 Constituents: PBS
Shipped at conditions
Dry Ice
Appropriate short-term storage conditions
+4°C
Appropriate long-term storage conditions
+4°C|-20°C

Supplementary information

This supplementary information is collated from multiple sources and compiled automatically.

Claudin 18.2 also known as claudin 18 CLDN18 or claudin-18.2 is a tight junction protein with a molecular mass of approximately 27 kDa. It is primarily expressed in gastric epithelial cells and certain lung tissues. Claudin 18.2 is part of the claudin family which plays a critical role in forming tight junctions to regulate paracellular transport and maintain cellular polarity. This isoform specifically expressed in the stomach is encoded by the CLDN18 gene located on chromosome 3. Researchers often use techniques like Immunohistochemistry (IHC) referred to as claudin 18.2 IHC or cldn18 IHC to study its expression and localization.
Biological function summary

Claudin 18.2 functions within tight junction complexes creating a barrier and controlling the movement of ions and molecules between cells. It is vital for the integrity and function of epithelial cell barriers in the stomach. The protein interacts with other claudins and cytoplasmic proteins to form these tight junctions essential for maintaining tissue organization and permeability. Its unique expression pattern makes it a significant marker for gastric tissue and a potential target for therapeutics.

Pathways

Claudin 18.2 is involved in cellular pathways related to adhesion and barrier function. It plays a role in the tight junction pathway critical for epithelial barrier integrity. This pathway involves interactions with other claudin proteins and ZO-1 which is a cytoplasmic plaque protein that links claudins to the actin cytoskeleton reinforcing cellular structure. Another pathway where claudin 18.2 is important is the gastro-intestinal epithelium maintenance pathway which is fundamental for protecting gastric tissues.

Claudin 18.2 is a notable target in cancers especially gastric cancer. Its specific expression in gastric tissues makes it an attractive target for cancer immunotherapy as aberrant expression could indicate gastric cancer onset. Another disorder related to claudin 18.2 is asthma particularly where lung epithelial cells express this protein. Studies have identified links between claudin 18.2 and increased permeability in lung tissues implicating it in asthmatic pathophysiology. Its association with these conditions highlights the potential for claudin 18.2 as a diagnostic or therapeutic target in oncology and respiratory diseases.

Product protocols

For this product, it's our understanding that no specific protocols are required. You can visit:

Target data

The protein expressed by the gene CLDN18 plays a major role in the tight junction-specific obliteration of the intercellular space through calcium-independent cell-adhesion activity. This supplementary information is collated from multiple sources and compiled automatically.
See full target information CLDN18

Publications (1)

Recent publications for all applications. Explore the full list and refine your search

Scientific reports 13:15508 PubMed37726363

2023

A 3D adrenocortical carcinoma tumor platform for preclinical modeling of drug response and matrix metalloproteinase activity.

Applications

Unspecified application

Species

Unspecified reactive species

Priya H Dedhia,Hemamylammal Sivakumar,Marco A Rodriguez,Kylie G Nairon,Joshua M Zent,Xuguang Zheng,Katie Jones,Liudmila V Popova,Jennifer L Leight,Aleksander Skardal
View all publications

Product promise

We are committed to supporting your work with high-quality reagents, and we're here for you every step of the way. In the unlikely event that one of our products does not perform as expected, you're protected by our Product Promise.
For full details, please see our Terms & Conditions

Please note: All products are 'FOR RESEARCH USE ONLY. NOT FOR USE IN DIAGNOSTIC OR THERAPEUTIC PROCEDURES'.

For licensing inquiries, please contact partnerships@abcam.com