JavaScript is disabled in your browser. Please enable JavaScript to view this website.
AB317318

Anti-Claudin 2 antibody [EPR28730-220] - BSA and Azide free

Be the first to review this product! Submit a review

|

(0 Publication)

Rabbit Recombinant Monoclonal Claudin 2 antibody. Carrier free. Suitable for WB and reacts with Human samples.

View Alternative Names

PSEC0059, SP82, UNQ705/PRO1356, CLDN2, Claudin-2

2 Images
Western blot - Anti-Claudin 2 antibody [EPR28730-220] - BSA and Azide free (AB317318)
  • WB

Lab

Western blot - Anti-Claudin 2 antibody [EPR28730-220] - BSA and Azide free (AB317318)

This data was developed using ab317317, the same antibody clone in a different buffer formulation.

Western blot : Anti-Cldn2 antibody [EPR28730-220] (ab317317) staining at 1/1000 dilution, shown in green; Mouse anti-Alpha Tubulin [DM1A] (ab7291) loading control staining at 1/20000 dilution, shown in magenta. In Western blot, ab317317 was shown to bind specifically to Cldn2. First, samples were run on an SDS-PAGE gel then transferred onto a nitrocellulose membrane. Membranes were blocked in 5 % milk in TBS-0.1 % Tween® 20 (TBS-T) before incubation with primary antibodies overnight at 4 °C. Blots were washed four times in TBS-T, incubated with secondary antibodies for 1 h at room temperature, washed again four times then imaged. Secondary antibodies used were Goat anti-Rabbit IgG H&L 800CW and Goat anti-Mouse IgG H&L 680RD at 1/20000 dilution.

All lanes:

Western blot - Anti-Claudin 2 antibody [EPR28730-220] (<a href='/en-us/products/primary-antibodies/claudin-2-antibody-epr28730-220-ab317317'>ab317317</a>) at 1/1000 dilution

Lane 1:

HT-29 cell lysate at 20 µg

Lane 2:

Human Kidney cell lysate at 20 µg

Lane 3:

HCT 116 cell lysate at 20 µg

Secondary

Lanes 1 - 3:

Goat anti-Rabbit IgG H&L 800CW at 1/20000 dilution

Lanes 1 - 3:

Goat anti-Mouse IgG H&L 680RD at 1/20000 dilution

Observed band size: 20-24 kDa

false

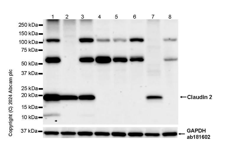
Western blot - Anti-Claudin 2 antibody [EPR28730-220] - BSA and Azide free (AB317318)
  • WB

Supplier Data

Western blot - Anti-Claudin 2 antibody [EPR28730-220] - BSA and Azide free (AB317318)

This data was developed using ab317317, the same antibody clone in a different buffer formulation.

Low expression : SW620, SW480, HCT 116 (PMID : 21383692), PANC-1.

The expression profile/ molecular weight observed is consistent with what has been described in the literature (PMID : 21383692).

The identity of the higher MW bands at approximately 60 kDa and 110 kDa are unknown.

The identity of the lower MW band at approximately 10 kDa in lane 1 is unknown.

In Western blot, Anti-GAPDH antibody [EPR16891] - Loading Control (ab181602) staining at 1/200000 dilution.

All lanes:

Western blot - Anti-Claudin 2 antibody [EPR28730-220] (<a href='/en-us/products/primary-antibodies/claudin-2-antibody-epr28730-220-ab317317'>ab317317</a>) at 1/1000 dilution

Lane 1:

LoVo (human colorectal adenocarcinoma epithelial cell) whole cell lysate at 20 µg with NFDM/TBST

Lane 2:

HT-29 (human colorectal adenocarcinoma epithelial cell) whole cell lysate at 20 µg with NFDM/TBST

Lane 3:

HCT-15 (human colon epithelial cell) whole cell lysate at 20 µg with NFDM/TBST

Lane 4:

SW620 (human colorectal adenocarcinoma epithelial cell) whole cell lysate at 20 µg with NFDM/TBST

Lane 5:

SW480 (human colorectal adenocarcinoma epithelial cell) whole cell lysate at 20 µg with NFDM/TBST

Lane 6:

HCT 116 (human colorectal carcinoma epithelial cell) whole cell lysate at 20 µg with NFDM/TBST

Lane 7:

A549 (human lu carcinoma epithelial cell) whole cell lysate at 20 µg with NFDM/TBST

Lane 8:

PANC-1 (human pancreatic epithelioid carcinoma epithelial cell) whole cell lysate at 20 µg with NFDM/TBST

Secondary

All lanes:

Western blot - Goat Anti-Rabbit IgG H&L (HRP) (<a href='/en-us/products/secondary-antibodies/goat-rabbit-igg-h-l-hrp-ab97051'>ab97051</a>) at 1/20000 dilution

Observed band size: 20 kDa,36 kDa

false

Exposure time: 81s

Key facts

Host species

Rabbit

Clonality

Monoclonal

Clone number

EPR28730-220

Isotype

IgG

Carrier free

Yes

Reacts with

Human

Applications

WB

applications

Immunogen

The exact immunogen used to generate this antibody is proprietary information.

Specificity

Not suitable for use with tissue lysates in WB. A non-specific band at ~25KDa is observed.

Reactivity data

{ "title": "Reactivity Data", "filters": { "stats": ["", "Species", "Dilution Info", "Notes"], "tabs": { "all-applications": {"fullname" : "All Applications", "shortname": "All Applications"}, "WB" : {"fullname" : "Western blot", "shortname":"WB"}, "IP" : {"fullname" : "Immunoprecipitation", "shortname":"IP"}, "ICCIF" : {"fullname" : "Immunocytochemistry/ Immunofluorescence", "shortname":"ICC/IF"}, "FlowCytIntra" : {"fullname" : "Flow Cytometry (Intracellular)", "shortname":"Flow Cyt (Intra)"}, "IHCP" : {"fullname" : "Immunohistochemistry (Formalin/PFA-fixed paraffin-embedded sections)", "shortname":"IHC-P"} }, "product-promise": { "all": "all", "testedAndGuaranteed": "tested", "guaranteed": "expected", "predicted": "predicted", "notRecommended": "not-recommended" } }, "values": { "Human": { "WB-species-checked": "testedAndGuaranteed", "WB-species-dilution-info": "", "WB-species-notes": "<p></p>", "IP-species-checked": "notRecommended", "IP-species-dilution-info": "", "IP-species-notes": "<p></p>", "ICCIF-species-checked": "notRecommended", "ICCIF-species-dilution-info": "", "ICCIF-species-notes": "<p></p>", "FlowCytIntra-species-checked": "notRecommended", "FlowCytIntra-species-dilution-info": "", "FlowCytIntra-species-notes": "<p></p>", "IHCP-species-checked": "notRecommended", "IHCP-species-dilution-info": "", "IHCP-species-notes": "<p></p>" }, "Mouse": { "WB-species-checked": "notRecommended", "WB-species-dilution-info": "", "WB-species-notes": "<p></p>", "IP-species-checked": "notRecommended", "IP-species-dilution-info": "", "IP-species-notes": "", "ICCIF-species-checked": "notRecommended", "ICCIF-species-dilution-info": "", "ICCIF-species-notes": "<p></p>", "FlowCytIntra-species-checked": "notRecommended", "FlowCytIntra-species-dilution-info": "", "FlowCytIntra-species-notes": "<p></p>", "IHCP-species-checked": "notRecommended", "IHCP-species-dilution-info": "", "IHCP-species-notes": "<p></p>" }, "Rat": { "WB-species-checked": "notRecommended", "WB-species-dilution-info": "", "WB-species-notes": "<p></p>", "IP-species-checked": "notRecommended", "IP-species-dilution-info": "", "IP-species-notes": "", "ICCIF-species-checked": "notRecommended", "ICCIF-species-dilution-info": "", "ICCIF-species-notes": "", "FlowCytIntra-species-checked": "notRecommended", "FlowCytIntra-species-dilution-info": "", "FlowCytIntra-species-notes": "", "IHCP-species-checked": "notRecommended", "IHCP-species-dilution-info": "", "IHCP-species-notes": "<p></p>" } } }

Product details

ab317318 is the carrier-free version of ab317317.

Patented technology
Our RabMAb® technology is a patented hybridoma-based technology for making rabbit monoclonal antibodies. For details on our patents, please refer to RabMAb® patents.

What are the advantages of a recombinant monoclonal antibody?
This product is a recombinant monoclonal antibody, which offers several advantages including:

  • - High batch-to-batch consistency and reproducibility
  • - Improved sensitivity and specificity
  • - Long-term security of supply
  • - Animal-free batch production

For more information, read more on recombinant antibodies.

Conjugation ready
Our carrier-free antibodies are typically supplied in a PBS-only formulation, purified and free of BSA, sodium azide and glycerol. This conjugation-ready format is designed for use with fluorochromes, metal isotopes, oligonucleotides, and enzymes, which makes them ideal for antibody labelling, functional and cell-based assays, flow-based assays (e.g. mass cytometry) and Multiplex Imaging applications.

Use our conjugation kits for antibody conjugates that are ready-to-use in as little as 20 minutes with 1 minute hands-on-time and 100% antibody recovery: available for fluorescent dyes, HRP, biotin and gold.

Compatibility
This product is compatible with the Maxpar® Antibody Labeling Kit from Fluidigm, without the need for antibody preparation. Maxpar® is a trademark of Fluidigm Canada Inc.

Properties and storage information

Form
Liquid
Purification technique
Affinity purification Protein A
Storage buffer
pH: 7.2 - 7.4 Constituents: PBS
Shipped at conditions
Blue Ice
Appropriate short-term storage conditions
+4°C
Appropriate long-term storage conditions
+4°C

Supplementary information

This supplementary information is collated from multiple sources and compiled automatically.

Claudin-2 also known as CLDN2 is a protein that plays an important role in the formation and function of tight junctions between epithelial and endothelial cells. This structural protein is approximately 22 kDa in mass. It is mainly expressed in tissues with high transepithelial transport such as the kidney and intestine. As a member of the claudins Claudin-2 contributes to the paracellular transport of small ions and water distinguishing itself from other tight junction proteins.
Biological function summary

Claudin-2 facilitates the creation of ion-selective pores in the tight junction complexes allowing it to regulate paracellular permeability and maintain ion balance. It is part of the larger tight junction complex that includes proteins like occludin and zona occludens. Through these interactions Claudin-2 supports the maintenance of epithelial barrier function which is essential for controlled passage of ions and molecules in tissues.

Pathways

Claudin-2 participates in the signaling pathways related to epithelial cell polarity and transepithelial transport. It is significantly involved in the MAPK and PI3K-Akt signaling pathways which are important for cell growth and survival. It includes interactions with related proteins such as Claudin-1 and Claudin-4 which modulate the structure and integrity of tight junctions in response to various cellular signals.

An imbalance or dysregulation of Claudin-2 expression can contribute to pathological conditions like inflammatory bowel disease (IBD) and hypercalciuria. Defects in Claudin-2 disrupt barrier function increasing permeability and often correlating with disease progression. Additionally proteins like ZO-1 and ZO-2 are associated with Claudin-2 in these disorders as they together influence the dynamics and composition of tight junctions under pathophysiological conditions.

Product protocols

For this product, it's our understanding that no specific protocols are required. You can visit:

Target data

Forms paracellular channels : polymerizes in tight junction strands with cation- and water-selective channels through the strands, conveying epithelial permeability in a process known as paracellular tight junction permeability (PubMed : 20460438, PubMed : 36008380). In intestinal epithelium, allows for sodium and water fluxes from the peritoneal side to the lumen of the intestine to regulate nutrient absorption and clear enteric pathogens as part of mucosal immune response (By similarity). In kidney, allows passive sodium and calcium reabsorption across proximal tubules from the lumen back to the bloodstream (By similarity). In the hepatobiliary tract, allows paracellular water and cation fluxes in the hepatic perivenous areas and biliary epithelium to generate bile flow and maintain osmotic gradients (By similarity).
See full target information CLDN2

Product promise

We are committed to supporting your work with high-quality reagents, and we're here for you every step of the way. In the unlikely event that one of our products does not perform as expected, you're protected by our Product Promise.
For full details, please see our Terms & Conditions

Please note: All products are 'FOR RESEARCH USE ONLY. NOT FOR USE IN DIAGNOSTIC OR THERAPEUTIC PROCEDURES'.

For licensing inquiries, please contact partnerships@abcam.com