JavaScript is disabled in your browser. Please enable JavaScript to view this website.
AB53156

Anti-Claudin 4 antibody

5

(6 Reviews)

|

(47 Publications)

Anti-Claudin 4 antibody (ab53156) is a rabbit polyclonal antibody detecting Claudin 4 in Western Blot, IHC-P, ICC/IF. Suitable for Human.

- Over 30 publications
- Trusted since 2007

View Alternative Names

CPER, CPETR1, WBSCR8, CLDN4, Claudin-4, Clostridium perfringens enterotoxin receptor, Williams-Beuren syndrome chromosomal region 8 protein, CPE-R, CPE-receptor

3 Images
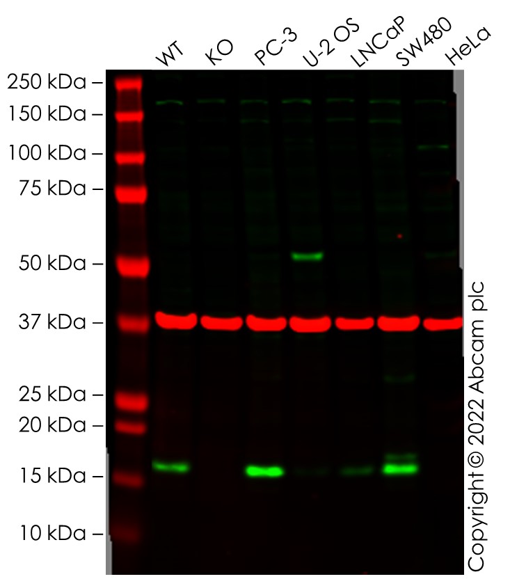
Western blot - Anti-Claudin 4 antibody (AB53156)
  • WB

Lab

Western blot - Anti-Claudin 4 antibody (AB53156)

False colour image of Western blot : Anti-Claudin 4 antibody staining at 1/500 dilution, shown in green; Mouse anti-GAPDH antibody [6C5] (ab8245) loading control staining at 1/20000 dilution, shown in red. In Western blot, ab53156 was shown to bind specifically to Claudin 4. A band was observed at 17 kDa in wild-type MCF7 cell lysates with no signal observed at this size in CLDN4 knockout cell line ab274946 (knockout cell lysate ab275004). To generate this image, wild-type and CLDN4 knockout MCF7 cell lysates were analysed. First, samples were run on an SDS-PAGE gel then transferred onto a nitrocellulose membrane. Membranes were blocked in fluorescent western blot (TBS-based) blocking solution before incubation with primary antibodies overnight at 4 °C. Blots were washed four times in TBS-T, incubated with secondary antibodies for 1 h at room temperature, washed again four times then imaged. Secondary antibodies used were Goat anti-Rabbit IgG H&L 800CW and Goat anti-Mouse IgG H&L 680RD at 1/20000 dilution.

All lanes:

Western blot - Anti-Claudin 4 antibody (ab53156) at 1/500 dilution

Lane 1:

Wild-type MCF7 cell lysate at 20 µg

Lane 2:

Western blot - Human CLDN4 knockout MCF7 cell lysate (ab275004) at 20 µg

Lane 3:

PC-3 cell lysate at 20 µg

Lane 4:

U-2 OS cell lysate at 20 µg

Lane 5:

LNCaP cell lysate at 20 µg

Lane 6:

SW480 cell lysate at 20 µg

Lane 7:

HeLa cell lysate at 20 µg

Secondary

All lanes:

Western blot at 1/20000 dilution

Predicted band size: 22 kDa

Observed band size: 17 kDa

false

Immunocytochemistry/ Immunofluorescence - Anti-Claudin 4 antibody (AB53156)
  • ICC/IF

Unknown

Immunocytochemistry/ Immunofluorescence - Anti-Claudin 4 antibody (AB53156)

ICC/IF image of ab53156 staining Claudin 4 (green) in MCF7 (Human breast adenocarcinoma cell line) cells. The cells were fixed in 4% formaldehyde (10 minutes) and then incubated in 1%BSA / 10% normal goat serum / 0.3M glycine in 0.1% PBS-Tween for 1 hour to permeabilize the cells and block non-specific protein-protein interactions. The cells were then incubated with the antibody (ab53156, 5 μg/ml) overnight at +4°C. The secondary antibody was an Alexa Fluor® 488 goat anti-rabbit IgG (H+L) used at a 1/1000 dilution for 1 hour. An Alexa Fluor® 594 WGA was used to label plasma membranes (red) at a 1/200 dilution for 1 hour. DAPI was used to stain the cell nuclei (blue) at a concentration of 1.43 μM.

Western blot - Anti-Claudin 4 antibody (AB53156)
  • WB

Unknown

Western blot - Anti-Claudin 4 antibody (AB53156)

All lanes:

Western blot - Anti-Claudin 4 antibody (ab53156) at 1/500 dilution

Lane 1:

Untreated HeLa (Human epithelial cell line from cervix adenocarcinoma) cell extracts

Lane 2:

HeLa (Human epithelial cell line from cervix adenocarcinoma) cell extracts with immunizing peptide

Predicted band size: 22 kDa

Observed band size: 22 kDa

false

Key facts

Host species

Rabbit

Clonality

Polyclonal

Isotype

IgG

Carrier free

No

Reacts with

Human

Applications

ICC/IF, IHC-P, WB

applications

Immunogen

Synthetic Peptide within Human CLDN4 aa 150 to C-terminus. The exact immunogen used to generate this antibody is proprietary information.

O14493

Reactivity data

{ "title": "Reactivity Data", "filters": { "stats": ["", "Species", "Dilution Info", "Notes"], "tabs": { "all-applications": {"fullname" : "All Applications", "shortname": "All Applications"}, "WB" : {"fullname" : "Western blot", "shortname":"WB"}, "ICCIF" : {"fullname" : "Immunocytochemistry/ Immunofluorescence", "shortname":"ICC/IF"}, "IHCP" : {"fullname" : "Immunohistochemistry (Formalin/PFA-fixed paraffin-embedded sections)", "shortname":"IHC-P"} }, "product-promise": { "all": "all", "testedAndGuaranteed": "tested", "guaranteed": "expected", "predicted": "predicted", "notRecommended": "not-recommended" } }, "values": { "Human": { "WB-species-checked": "testedAndGuaranteed", "WB-species-dilution-info": "1/500 - 1/1000", "WB-species-notes": "<p></p>", "ICCIF-species-checked": "testedAndGuaranteed", "ICCIF-species-dilution-info": "5 µg/mL", "ICCIF-species-notes": "<p></p>", "IHCP-species-checked": "testedAndGuaranteed", "IHCP-species-dilution-info": "4 µg/mL", "IHCP-species-notes": "<p></p>" }, "Mouse": { "WB-species-checked": "predicted", "WB-species-dilution-info": "", "WB-species-notes": "", "ICCIF-species-checked": "predicted", "ICCIF-species-dilution-info": "", "ICCIF-species-notes": "", "IHCP-species-checked": "predicted", "IHCP-species-dilution-info": "", "IHCP-species-notes": "" }, "Rat": { "WB-species-checked": "predicted", "WB-species-dilution-info": "", "WB-species-notes": "", "ICCIF-species-checked": "predicted", "ICCIF-species-dilution-info": "", "ICCIF-species-notes": "", "IHCP-species-checked": "predicted", "IHCP-species-dilution-info": "", "IHCP-species-notes": "" }, "Pig": { "WB-species-checked": "predicted", "WB-species-dilution-info": "", "WB-species-notes": "", "ICCIF-species-checked": "predicted", "ICCIF-species-dilution-info": "", "ICCIF-species-notes": "", "IHCP-species-checked": "predicted", "IHCP-species-dilution-info": "", "IHCP-species-notes": "" } } }

Product details

What is this antibody validated in?
Anti-Claudin 4 antibody (ab53156) is a rabbit polyclonal antibody and is validated for use in Western Blot (WB), Immunohistochemistry (IHC-P), Immunocytochemistry/immunofluorescence (ICC/IF) in Human samples.

What is the molecular weight of Claudin 4?
Anti-Claudin 4 (ab53156) specifically detects a band for Claudin 4 (UniProt: O14493) at a molecular weight of 22kDa.

Trusted by the scientific community
Anti-Claudin 4 (ab53156) was first used in a scientific publication in 2007 and has been cited over 30 times in peer-reviewed journals.

Properties and storage information

Form
Liquid
Purification technique
Affinity purification Immunogen
Storage buffer
pH: 7.4 Preservative: 0.02% Sodium azide Constituents: PBS, 50% Glycerol (glycerin, glycerine), 0.87% Sodium chloride
Shipped at conditions
Blue Ice
Appropriate short-term storage conditions
+4°C
Appropriate long-term storage conditions
-20°C
Aliquoting information
Upon delivery aliquot
Storage information
Avoid freeze / thaw cycle

Supplementary information

This supplementary information is collated from multiple sources and compiled automatically.

Claudin-4 also known as CLDN4 is a protein essential for tight junctions which are critical in maintaining the permeability barrier of epithelial cells. The protein has a molecular mass of approximately 22 kDa. Claudin-4 expresses notably in epithelial cells of various tissues including the kidney lung and gastrointestinal tract. In addition to its presence in normal tissues claudin-4 can also exhibit heightened expression in certain cancerous tissues making it a subject of interest in oncology research.
Biological function summary

Claudin-4 plays a significant role in paracellular transport and cell polarity. By assembling into complexes with other claudins and tight junction proteins claudin-4 regulates the selective permeability and homeostasis across cell layers. It functions as a component of tight junction strands contributing to their barrier properties. Interaction with proteins such as occludin and ZO-1 further defines its role in tight junction structure and function.

Pathways

Claudin-4 participates in critical biological processes such as epithelial cell signaling and apoptosis regulation. It interfaces with the epithelial-to-mesenchymal transition (EMT) pathway where claudin-4 expression influences cellular adhesion and motility. Claudin-4 also interacts with related claudin proteins in these pathways contributing to structural arrangement and pathway signaling precision.

Claudin-4 has associations with several types of cancers including pancreatic and ovarian cancer. Its consistent overexpression in these conditions suggests its involvement in tumorigenesis and metastasis. In the context of ovarian cancer claudin-4 may interact with proteins such as mesothelin which plays a role in cell adhesion and tumor progression. Investigating claudin-4's involvement in cancer can provide insights into potential therapeutic targets and diagnostic markers.

Product protocols

For this product, it's our understanding that no specific protocols are required. You can visit:

Target data

Can associate with other claudins to regulate tight junction structural and functional strand dynamics (PubMed : 35773259, PubMed : 36008380). May coassemble with CLDN8 into tight junction strands containing anion-selective channels that convey paracellular chloride permeability in renal collecting ducts (By similarity) (PubMed : 36008380). May integrate into CLDN3 strands to modulate localized tight junction barrier properties (PubMed : 35773259, PubMed : 36008380). May disrupt strand assembly of channel-forming CLDN2 and CLDN15 and inhibit cation conductance (PubMed : 35773259, PubMed : 36008380). Cannot form tight junction strands on its own (PubMed : 35773259, PubMed : 36008380).
See full target information CLDN4

Publications (47)

Recent publications for all applications. Explore the full list and refine your search

Nature communications 16:1303 PubMed39900892

2025

Cloned airway basal progenitor cells to repair fibrotic lung through re-epithelialization.

Applications

Unspecified application

Species

Unspecified reactive species

Yu Zhao,Yueqing Zhou,Weipan Zhang,Mingzhe Liu,Jun Duan,Xiaopeng Zhang,Qiwang Ma,Yujia Wang,Yuzhen Zhang,Zhongliang Guo,Ting Zhang,Wei Zuo

Veterinary research 56:21 PubMed39875947

2025

IFN-β production induced by PRRSV is affected by GP3 quantity control and CLND4 interaction.

Applications

Unspecified application

Species

Unspecified reactive species

Dexin Li,Xinyu Cui,Yingchao Li,Qin Zhang,Hongyan Gao,Youbo Li,Yanmeng Hou,Hongjie Yuan,Yihong Xiao

Journal of neuroinflammation 21:307 PubMed39609821

2024

Taprenepag restores maternal-fetal interface homeostasis for the treatment of neurodevelopmental disorders.

Applications

Unspecified application

Species

Unspecified reactive species

Kai Wang,Shufen Zhang,Yunxia Wang,Xiaomei Wu,Lijuan Wen,Tingting Meng,Xiangyu Jin,Sufen Li,Yiling Hong,Jia Ke,Yichong Xu,Hong Yuan,Fuqiang Hu

Pharmaceuticals (Basel, Switzerland) 17: PubMed39458944

2024

Tight Junctions and Cancer: Targeting Claudin-1 and Claudin-4 in Thyroid Pathologies.

Applications

Unspecified application

Species

Unspecified reactive species

Jędrzej Borowczak,Dariusz Łaszczych,Katarzyna Olejnik,Jakub Michalski,Anna Gutowska,Monika Kula,Anita Bator,Marta Sekielska-Domanowska,Roman Makarewicz,Andrzej Marszałek,Łukasz Szylberg,Magdalena Bodnar

Chinese medicine 19:118 PubMed39215331

2024

Britannilactone 1-O-acetate induced ubiquitination of NLRP3 inflammasome through TRIM31 as a protective mechanism against reflux esophagitis-induced esophageal injury.

Applications

Unspecified application

Species

Unspecified reactive species

Ju Liu,Yang Xiao,Qianfei Xu,Yunyan Xu,Manman Guo,Yun Hu,Yan Wang,Yi Wang

Skin research and technology : official journal of International Society for Bioengineering and the Skin (ISBS) [and] International Society for Digital Imaging of Skin (ISDIS) [and] International Society for Skin Imaging (ISSI) 30:e13848 PubMed38978226

2024

Prinsepia utilis Royle polysaccharides promote skin barrier repair through the Claudin family.

Applications

Unspecified application

Species

Unspecified reactive species

Bo Wang,Feifei Wang,Liping Qu,Hongyu Ma,Yuying Cheng,Xinlang Wu,Junxi Liu,Li He

Cellular and molecular life sciences : CMLS 81:240 PubMed38806818

2024

Disruption of pulmonary microvascular endothelial barrier by dysregulated claudin-8 and claudin-4: uncovered mechanisms in porcine reproductive and respiratory syndrome virus infection.

Applications

Unspecified application

Species

Unspecified reactive species

Weifeng Sun,Weixin Wu,Xinyu Fang,Xinna Ge,Yongning Zhang,Jun Han,Xin Guo,Lei Zhou,Hanchun Yang

Journal of virological methods 327:114943 PubMed38679164

2024

Establishment of Swine Primary Nasal, Tracheal, and Bronchial Epithelial Cell Culture Models for the Study of Influenza Virus Infection.

Applications

Unspecified application

Species

Unspecified reactive species

Madelyn Krunkosky,Thomas M Krunkosky,Victoria Meliopoulos,Constantinos S Kyriakis,Stacey Schultz-Cherry,S Mark Tompkins

Signal transduction and targeted therapy 9:74 PubMed38528022

2024

SARS-CoV-2 envelope protein impairs airway epithelial barrier function and exacerbates airway inflammation via increased intracellular Cl concentration.

Applications

Unspecified application

Species

Unspecified reactive species

Jian-Bang Xu,Wei-Jie Guan,Yi-Lin Zhang,Zhuo-Er Qiu,Lei Chen,Xiao-Chun Hou,Junqing Yue,Yu-Yun Zhou,Jie Sheng,Lei Zhao,Yun-Xin Zhu,Jing Sun,Jincun Zhao,Wen-Liang Zhou,Nan-Shan Zhong

Frontiers in immunology 13:1046121 PubMed36483553

2022

Immune and non-immune cell subtypes identify novel targets for prognostic and therapeutic strategy: A study based on intratumoral heterogenicity analysis of multicenter scRNA-seq datasets in lung adenocarcinoma.

Applications

Unspecified application

Species

Unspecified reactive species

Tianyu Fan,Jian Lu,Delei Niu,Yue Zhang,Bin Wang,Bei Zhang,Zugui Zhang,Xinjiai He,Nan Peng,Biao Li,Huilong Fang,Zheng Gong,Li Zhang
View all publications

Product promise

We are committed to supporting your work with high-quality reagents, and we're here for you every step of the way. In the unlikely event that one of our products does not perform as expected, you're protected by our Product Promise.
For full details, please see our Terms & Conditions

Please note: All products are 'FOR RESEARCH USE ONLY. NOT FOR USE IN DIAGNOSTIC OR THERAPEUTIC PROCEDURES'.

For licensing inquiries, please contact partnerships@abcam.com