JavaScript is disabled in your browser. Please enable JavaScript to view this website.
AB15106

Anti-Claudin 5 antibody

4

(17 Reviews)

|

(161 Publications)

Anti-Claudin 5 antibody (ab15106) is a rabbit polyclonal antibody detecting Claudin 5 in IHC-P. Suitable for Human.

- Over 130 publications
- Trusted since 2004

View Alternative Names

AWAL, TMVCF, CLDN5, Claudin-5, Transmembrane protein deleted in VCFS, TMDVCF

2 Images
Immunohistochemistry (Formalin/PFA-fixed paraffin-embedded sections) - Anti-Claudin 5 antibody (AB15106)
  • IHC-P

AbReview44216****

Immunohistochemistry (Formalin/PFA-fixed paraffin-embedded sections) - Anti-Claudin 5 antibody (AB15106)

ab15106 staining Claudin 5 in Mouse lung tissue sections by Immunohistochemistry (IHC-P - paraformaldehyde-fixed, paraffin-embedded sections). Tissue was fixed with paraformaldehyde and blocked with 1.5% serum for 1 hour at 37°C; antigen retrieval was by heat mediation in a acetic acid. Samples were incubated with primary antibody (1/200 in blocking buffer) for 18 hours at 4°C. A Biotin-conjugated Goat anti-rabbit IgG polyclonal (1/200) was used as the secondary antibody.

Image is courtesy of an anonymous AbReview

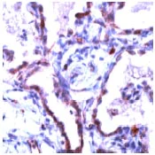
Immunohistochemistry (Formalin/PFA-fixed paraffin-embedded sections) - Anti-Claudin 5 antibody (AB15106)
  • IHC-P

Unknown

Immunohistochemistry (Formalin/PFA-fixed paraffin-embedded sections) - Anti-Claudin 5 antibody (AB15106)

ab15106 staining Claudin 5 in human lung by Immunohistochemistry (FFPE-sections).

Key facts

Host species

Rabbit

Clonality

Polyclonal

Isotype

IgG

Carrier free

No

Reacts with

Human

Applications

IHC-P

applications

Immunogen

The exact immunogen used to generate this antibody is proprietary information.

Reactivity data

{ "title": "Reactivity Data", "filters": { "stats": ["", "Species", "Dilution Info", "Notes"], "tabs": { "all-applications": {"fullname" : "All Applications", "shortname": "All Applications"}, "IHCP" : {"fullname" : "Immunohistochemistry (Formalin/PFA-fixed paraffin-embedded sections)", "shortname":"IHC-P"}, "ICCIF" : {"fullname" : "Immunocytochemistry/ Immunofluorescence", "shortname":"ICC/IF"} }, "product-promise": { "all": "all", "testedAndGuaranteed": "tested", "guaranteed": "expected", "predicted": "predicted", "notRecommended": "not-recommended" } }, "values": { "Human": { "IHCP-species-checked": "testedAndGuaranteed", "IHCP-species-dilution-info": "1/50", "IHCP-species-notes": "<p></p>", "ICCIF-species-checked": "notRecommended", "ICCIF-species-dilution-info": "", "ICCIF-species-notes": "<p></p>" }, "Mouse": { "IHCP-species-checked": "predicted", "IHCP-species-dilution-info": "", "IHCP-species-notes": "", "ICCIF-species-checked": "notRecommended", "ICCIF-species-dilution-info": "", "ICCIF-species-notes": "" } } }

Product details

What is this antibody validated in?
Anti-Claudin 5 antibody (ab15106) is a rabbit polyclonal antibody and is validated for use in Immunohistochemistry (IHC-P) in Human samples.

Trusted by the scientific community
Anti-Claudin 5 (ab15106) was first used in a scientific publication in 2004 and has been cited over 130 times in peer-reviewed journals.

Reviewed by scientists
Anti-Claudin 5 (ab15106) has over 10 independent reviews from customers.

Properties and storage information

Form
Liquid
Purification technique
Affinity purification Immunogen
Storage buffer
pH: 7.6 Preservative: 0.1% Sodium azide Constituents: PBS, 1% BSA
Shipped at conditions
Blue Ice
Appropriate short-term storage conditions
+4°C
Appropriate long-term storage conditions
-20°C
Aliquoting information
Upon delivery aliquot
Storage information
Avoid freeze / thaw cycle

Supplementary information

This supplementary information is collated from multiple sources and compiled automatically.

Claudin 5 also known as CLDN5 is an integral component of tight junction strands within endothelial and epithelial cells. This protein possesses a molecular weight of approximately 23 kDa. It prominently expresses in the vascular endothelial cells of the blood-brain barrier and other blood-tissue barriers. Claudin 5 plays a mechanical role in forming selectively permeable paracellular barriers that regulate the movement of molecules and ions between cells. This function is essential in preserving the tissue-specific environment.
Biological function summary

Claudin 5 serves as an important element in maintaining the integrity of the blood-brain barrier by creating a selective permeability. It operates as part of a larger tight junction complex interacting mainly with other claudin proteins and proteins such as occludin and ZO-1. These interactions ensure the structural and functional integrity of the cell junctions which helps stabilize the barrier properties against various physiological and pathological insults.

Pathways

Claudin 5 is involved in important biological pathways such as the tight junction pathway and the barrier permeability regulation pathway. Through these pathways it interacts with proteins like occludin and various signaling molecules. This involvement allows tight regulation of barrier permeability ensuring selective transport and preventing the passage of harmful substances into sensitive areas like the central nervous system.

Claudin 5 plays a significant role in conditions like cerebral edema and Alzheimer's disease. Altered expression or dysfunction of Claudin 5 disrupts the blood-brain barrier contributing to these disorders. In Alzheimer's disease there is evidence of impaired tight junctions where Claudin 5 interacts with other claudins and related proteins like amyloid-beta affecting barrier integrity. Understanding these connections helps in developing therapeutic strategies targeting tight junction stability.

Product protocols

For this product, it's our understanding that no specific protocols are required. You can visit:

Target data

Plays a major role in tight junction-specific obliteration of the intercellular space.
See full target information CLDN5

Publications (161)

Recent publications for all applications. Explore the full list and refine your search

Cells 14: PubMed40801656

2025

Notch2 Deletion Compromises Epithelial Integrity and Enamel Formation in Rodent Incisors.

Applications

Unspecified application

Species

Unspecified reactive species

Argyro Lamprou,Cristina Porcheri,Thimios A Mitsiadis

Lab on a chip 25:2061-2072 PubMed40099485

2025

Intraluminal pressure triggers a rapid and persistent reinforcement of endothelial barriers.

Applications

Unspecified application

Species

Unspecified reactive species

Aurélien Bancaud,Tadaaki Nakajima,Jun-Ichi Suehiro,Baptiste Alric,Florent Morfoisse,Jean Cacheux,Yukiko T Matsunaga

JCI insight 10: PubMed39946196

2025

Effect of aging on pulmonary cellular responses during mechanical ventilation.

Applications

Unspecified application

Species

Unspecified reactive species

Aminmohamed Manji,Lefeng Wang,Cynthia M Pape,Lynda A McCaig,Alexandra Troitskaya,Onon Batnyam,Leah Jj McDonald,C Thomas Appleton,Ruud Aw Veldhuizen,Sean E Gill

Fluids and barriers of the CNS 21:84 PubMed39434151

2024

Data-independent acquisition proteomic analysis of the brain microvasculature in Alzheimer's disease identifies major pathways of dysfunction and upregulation of cytoprotective responses.

Applications

Unspecified application

Species

Unspecified reactive species

Michelle A Erickson,Richard S Johnson,Mamatha Damodarasamy,Michael J MacCoss,C Dirk Keene,William A Banks,May J Reed

Journal of neuro-oncology 170:67-77 PubMed39196480

2024

Blood-tumor barrier in focus - investigation of glioblastoma-induced effects on the blood-brain barrier.

Applications

Unspecified application

Species

Unspecified reactive species

Sanjana Mathew-Schmitt,Matthias Peindl,Philipp Neundorf,Gudrun Dandekar,Marco Metzger,Vera Nickl,Antje Appelt-Menzel

Molecular medicine (Cambridge, Mass.) 30:132 PubMed39187765

2024

Secretome of brain microvascular endothelial cells promotes endothelial barrier tightness and protects against hypoxia-induced vascular leakage.

Applications

Unspecified application

Species

Unspecified reactive species

Rodrigo Azevedo Loiola,Johan Hachani,Sophie Duban-Deweer,Emmanuel Sevin,Paulina Bugno,Agnieszka Kowalska,Eleonora Rizzi,Fumitaka Shimizu,Takashi Kanda,Caroline Mysiorek,Maciej Mazurek,Fabien Gosselet

Scientific reports 14:13740 PubMed38877184

2024

Secretome profiling of human epithelial cells exposed to cigarette smoke extract and their effect on human lung microvascular endothelial cells.

Applications

Unspecified application

Species

Unspecified reactive species

Porrnthanate Seenak,Nitirut Nernpermpisooth,Sarawut Kumphune,Worawat Songjang,Arunya Jiraviriyakul,Noppadon Jumroon,Panyupa Pankhong,Sittiruk Roytrakul,Siriwan Thaisakun,Narumon Phaonakrop,Nitra Nuengchamnong

Cellular and molecular life sciences : CMLS 81:225 PubMed38769116

2024

Endothelial PDGF-D contributes to neurovascular protection after ischemic stroke by rescuing pericyte functions.

Applications

Unspecified application

Species

Unspecified reactive species

Maxime Bernard,Romain Menet,Sarah Lecordier,Ayman ElAli

BMC cancer 24:507 PubMed38654231

2024

Systematic optimization and evaluation of culture conditions for the construction of circulating tumor cell clusters using breast cancer cell lines.

Applications

Unspecified application

Species

Unspecified reactive species

Jueyao Zou,Qiong Chen,Yong He,Yanhong Pan,Han Zhao,Junfeng Shi,Zhonghong Wei,Suyun Yu,Yang Zhao,Xin Han,Yin Lu,Wenxing Chen

Cell insight 3:100161 PubMed38646547

2024

Cortactin-dependent control of Par1b-regulated epithelial cell polarity in infection.

Applications

Unspecified application

Species

Unspecified reactive species

Irshad Sharafutdinov,Aileen Harrer,Mathias Müsken,Klemens Rottner,Heinrich Sticht,Christian Täger,Michael Naumann,Nicole Tegtmeyer,Steffen Backert
View all publications

Product promise

We are committed to supporting your work with high-quality reagents, and we're here for you every step of the way. In the unlikely event that one of our products does not perform as expected, you're protected by our Product Promise.
For full details, please see our Terms & Conditions

Please note: All products are 'FOR RESEARCH USE ONLY. NOT FOR USE IN DIAGNOSTIC OR THERAPEUTIC PROCEDURES'.

For licensing inquiries, please contact partnerships@abcam.com