JavaScript is disabled in your browser. Please enable JavaScript to view this website.
AB314134

Anti-Claudin 6 antibody [EPR28103-113]

  • BOND RX™ Validated
  • 20ul selling size
  • RabMAb
  • Recombinant
  • What is this?

Be the first to review this product! Submit a review

|

(0 Publication)

Anti-Claudin 6 antibody [EPR28103-113] (ab314134) is a rabbit monoclonal antibody detecting Claudin 6 in Western Blot, Flow Cytometry (Intra), Flow Cytometry, IP, IHC-P, ICC/IF. Suitable for Human samples.

Enhanced IHC validation data - Download the data
- cross-reactivity testing for confirmed specificity - CLDN3/4/5/6/9
- detailed IHC expression profiling in normal and clinically relevant cancer FFPE TMAs- ovarian, testicular and lung
- protocols for BOND RX™ and Ventana DISCOVERY ULTRA
Biophysical QC for unrivalled batch-batch consistency

View Alternative Names

UNQ757/PRO1488, CLDN6, Claudin-6, Skullin

12 Images
Immunohistochemistry (Formalin/PFA-fixed paraffin-embedded sections) - Anti-Claudin 6 antibody [EPR28103-113] (AB314134)
  • IHC-P

Lab

Immunohistochemistry (Formalin/PFA-fixed paraffin-embedded sections) - Anti-Claudin 6 antibody [EPR28103-113] (AB314134)

Immunohistochemical analysis of formalin-fixed paraffin-embedded 293T (human embryonic kidney epithelial cells) labelling CLDN6 with ab314134 at a concentration of 0.1 µg/ml in cells transfected with over expression vectors containing a His tag.

The immunostaining was performed on a Leica Biosystems BOND® RX instrument with a Bond™ Polymer Refine Detection kit. Heat mediated antigen retrieval was performed with Tris-EDTA buffer (pH 9.0, Epitope Retrieval Solution 2) for 20 mins.

ab314134 anti-CLDN6 antibody [EPR28103-113] was incubated for 15 mins at room temperature. Cells transfected with an empty vector showed no staining. Absence of staining was observed when stained using anti-rabbit IgG isotype control (ab172730) or secondary antibody only control. Sections were counterstained with Hematoxylin.

Immunohistochemistry (Formalin/PFA-fixed paraffin-embedded sections) - Anti-Claudin 6 antibody [EPR28103-113] (AB314134)
  • IHC-P

Supplier Data

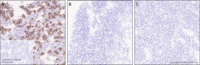
Immunohistochemistry (Formalin/PFA-fixed paraffin-embedded sections) - Anti-Claudin 6 antibody [EPR28103-113] (AB314134)

Immunohistochemical analysis of paraffin-embedded Tissue Microarray (T tissue labeling Claudin 6 with ab314134 at 1/100 (5.16 ug/ml) followed by a ready to use LeicaDS9800 (Bond™ Polymer Refine Detection). Table of the human normal TMA tissue and human tumor tissue TMA depending on the staining. The section was incubated with ab314134 for 30 mins at room temperature. The immunostaining was performed on a Leica Biosystems BOND® RX instrument. Secondary antibody only control : Secondary antibody is a ready to use LeicaDS9800 (Bond™ Polymer Refine Detection).

Immunohistochemistry (Formalin/PFA-fixed paraffin-embedded sections) - Anti-Claudin 6 antibody [EPR28103-113] (AB314134)
  • IHC-P

Supplier Data

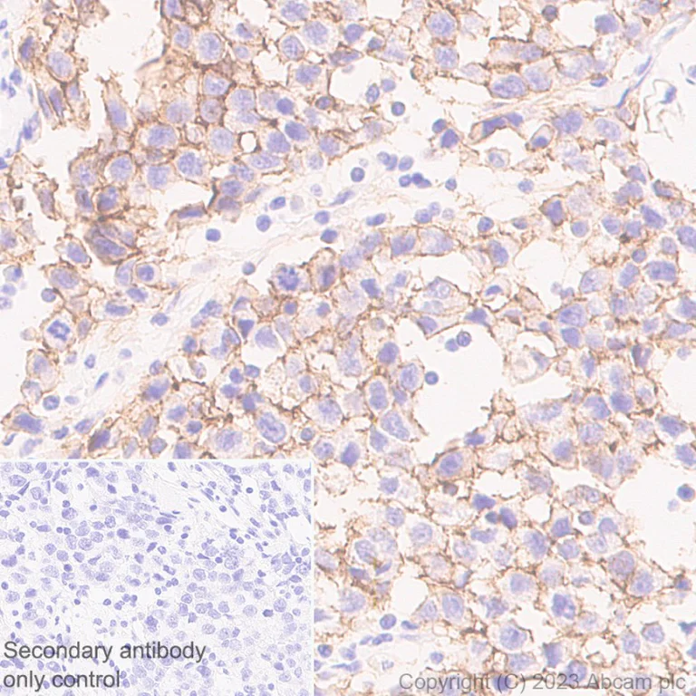
Immunohistochemistry (Formalin/PFA-fixed paraffin-embedded sections) - Anti-Claudin 6 antibody [EPR28103-113] (AB314134)

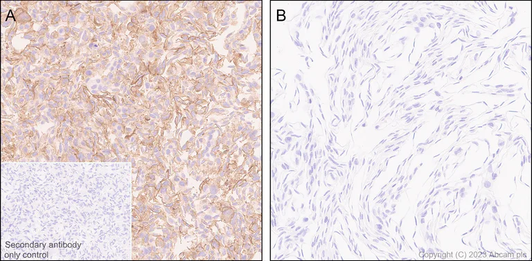
Immunohistochemical analysis of paraffin-embedded human ovarian adenocarcinoma tissue labeling Claudin 6 with ab314134 at 1/100 (5.16 ug/ml) followed by a ready to use LeicaDS9800 (Bond™ Polymer Refine Detection). Positive staining on human ovarian adenocarcinoma. The section was incubated with ab314134 for 30 mins at room temperature. The immunostaining was performed on a Leica Biosystems BOND® RX instrument. Counterstained with Hematoxylin. Secondary antibody only control : Secondary antibody is a ready to use LeicaDS9800 (Bond™ Polymer Refine Detection). Heat mediated antigen retrieval was performed with Tris-EDTA buffer (pH 9.0, Epitope Retrieval Solution2) for 20 mins.

Immunohistochemistry (Formalin/PFA-fixed paraffin-embedded sections) - Anti-Claudin 6 antibody [EPR28103-113] (AB314134)
  • IHC-P

Supplier Data

Immunohistochemistry (Formalin/PFA-fixed paraffin-embedded sections) - Anti-Claudin 6 antibody [EPR28103-113] (AB314134)

Immunohistochemical analysis of paraffin-embedded (A) NIH OVCAR-3 (hum tissue labeling Claudin 6 with ab314134 at 1/1000 (0.516 ug/ml) followed by a ready to use LeicaDS9800 (Bond™ Polymer Refine Detection). Positive staining on (A) NIH : OVCAR-3 cell pellet; no staining on (B) DU 145 cell pellet. The section was incubated with ab314134 for 30 mins at room temperature. The immunostaining was performed on a Leica Biosystems BOND® RX instrument. Counterstained with Hematoxylin. Secondary antibody only control : Secondary antibody is a ready to use LeicaDS9800 (Bond™ Polymer Refine Detection). Heat mediated antigen retrieval was performed with Tris-EDTA buffer (pH 9.0, Epitope Retrieval Solution2) for 20 mins.

Immunohistochemistry (Formalin/PFA-fixed paraffin-embedded sections) - Anti-Claudin 6 antibody [EPR28103-113] (AB314134)
  • IHC-P

Supplier Data

Immunohistochemistry (Formalin/PFA-fixed paraffin-embedded sections) - Anti-Claudin 6 antibody [EPR28103-113] (AB314134)

Immunohistochemical analysis of paraffin-embedded (A) HEK-293T (human tissue labeling Claudin 6 with ab314134 at 1/5000 (0.103 ug/ml) followed by a ready to use LeicaDS9800 (Bond™ Polymer Refine Detection). Positive staining on (A) HEK-293T transfected with a His-tagged Claudin-6 (CLDN6) cell pellet; no staining on (B) HEK-293T transfected with a His-tagged Claudin-9 (CLDN9) construct cell pellet and (C) HEK-293T transfected with a His-tagged empty vector cell pellet. The section was incubated with ab314134 for 30 mins at room temperature. The immunostaining was performed on a Leica Biosystems BOND® RX instrument. Counterstained with Hematoxylin. Secondary antibody only control : Secondary antibody is a ready to use LeicaDS9800 (Bond™ Polymer Refine Detection). Heat mediated antigen retrieval was performed with Tris-EDTA buffer (pH 9.0, Epitope Retrieval Solution2) for 20 mins.

Immunohistochemistry (Formalin/PFA-fixed paraffin-embedded sections) - Anti-Claudin 6 antibody [EPR28103-113] (AB314134)
  • IHC-P

Supplier Data

Immunohistochemistry (Formalin/PFA-fixed paraffin-embedded sections) - Anti-Claudin 6 antibody [EPR28103-113] (AB314134)

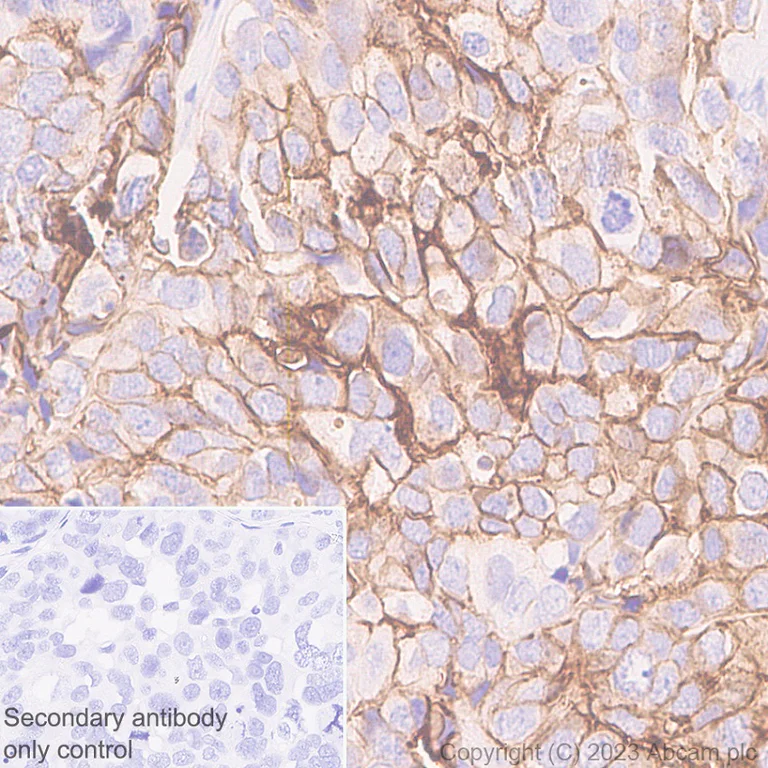
Immunohistochemical analysis of paraffin-embedded human testis seminoma tissue labeling Claudin 6 with ab314134 at 1/100 (5.16 ug/ml) followed by a ready to use LeicaDS9800 (Bond™ Polymer Refine Detection). Positive staining on human testis seminoma (PMID : 22803571). The section was incubated with ab314134 for 30 mins at room temperature. The immunostaining was performed on a Leica Biosystems BOND® RX instrument. Counterstained with Hematoxylin. Secondary antibody only control : Secondary antibody is a ready to use LeicaDS9800 (Bond™ Polymer Refine Detection). Heat mediated antigen retrieval was performed with Tris-EDTA buffer (pH 9.0, Epitope Retrieval Solution2) for 20 mins.

Immunocytochemistry/ Immunofluorescence - Anti-Claudin 6 antibody [EPR28103-113] (AB314134)
  • ICC/IF

Supplier Data

Immunocytochemistry/ Immunofluorescence - Anti-Claudin 6 antibody [EPR28103-113] (AB314134)

Immunofluorescent analysis of 100% methanol-fixed, 0.1% TritonX-100 permeabilized NIH : OVCAR-3 (human ovary adenocarcinoma epithelial cell) cells labelling Claudin 6 with ab314134 at 1/50 (10.32 ug/ml) dilution, followed by ab150081 Goat Anti-Rabbit IgG H&L (Alexa Fluor® 488) preadsorbed antibody at 1/1000 2ug/ml dilution (Green). Confocal image showing membranous staining in NIH : OVCAR-3 cells. Negative control : DU 145. Image was taken with a confocal microscope (Leica-Microsystems, TCS SP8). ab195889 Anti-alpha Tubulin mouse monoclonal antibody - Microtubule Marker (Alexa Fluor® 594) was used to counterstain tubulin at 1/200 2.5ug/ml dilution (Red). The Nuclear counterstain was DAPI (Blue). Secondary antibody only control : Secondary antibody is ab150081 Goat Anti-Rabbit IgG H&L (Alexa Fluor® 488) preadsorbed at 1/1000 2ug/ml dilution.

Flow Cytometry (Intracellular) - Anti-Claudin 6 antibody [EPR28103-113] (AB314134)
  • Flow Cyt (Intra)

Supplier Data

Flow Cytometry (Intracellular) - Anti-Claudin 6 antibody [EPR28103-113] (AB314134)

Flow cytometric analysis of 4% paraformaldehyde fixed 90% methanol permeabilized DU 145 (human prostate carcinoma epithelial cell, Left) / NIH : OVCAR-3 (human ovary adenocarcinoma epithelial cell, Right) cells labelling Claudin 6 with ab314134 at 1/50 dilution (1 ug) (Red) compared with a Rabbit monoclonal IgG (ab172730) (Black) isotype control and an unlabelled control (cells without incubation with primary antibody and secondary antibody) (Blue). A Goat Anti-Rabbit IgG (Alexa Fluor® 488, ab150081) at 1/5000 dilution was used as the secondary antibody. Negative control : DU 145.

Immunohistochemistry (Formalin/PFA-fixed paraffin-embedded sections) - Anti-Claudin 6 antibody [EPR28103-113] (AB314134)
  • IHC-P

Supplier Data

Immunohistochemistry (Formalin/PFA-fixed paraffin-embedded sections) - Anti-Claudin 6 antibody [EPR28103-113] (AB314134)

Immunohistochemical analysis of paraffin-embedded human skeletal muscle tissue labeling Claudin 6 with ab314134 at 1/100 (5.16 ug/ml) followed by a ready to use LeicaDS9800 (Bond™ Polymer Refine Detection). Negative control : No staining on human skeletal muscle (PMID : 31896660). The section was incubated with ab314134 for 30 mins at room temperature. The immunostaining was performed on a Leica Biosystems BOND® RX instrument. Counterstained with Hematoxylin. Secondary antibody only control : Secondary antibody is a ready to use LeicaDS9800 (Bond™ Polymer Refine Detection). Heat mediated antigen retrieval was performed with Tris-EDTA buffer (pH 9.0, Epitope Retrieval Solution2) for 20 mins.

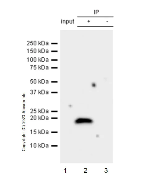
Immunoprecipitation - Anti-Claudin 6 antibody [EPR28103-113] (AB314134)
  • IP

Supplier Data

Immunoprecipitation - Anti-Claudin 6 antibody [EPR28103-113] (AB314134)

Claudin 6 was immunoprecipitated from 0.35 mg NIH : OVCAR-3 (human ovary adenocarcinoma epithelial cell) whole cell lysate with ab314134 at 1/30 dilution (2ug in 0.35mg lysates). Western blot was performed on the immunoprecipitate using ab314134 at 1/1000 dilution. VeriBlot for IP secondary antibody(HRP)(ab131366) was used at 1/5000 dilution. Lane 1 : NIH : OVCAR-3 (human ovary adenocarcinoma epithelial cell) whole cell lysate Lane 2 : NIH : OVCAR-3 (human ovary adenocarcinoma epithelial cell) whole cell lysate Lane 3 : Rabbit monoclonal IgG (ab172730) instead of ab314134 in NIH : OVCAR-3 whole cell lysate Blocking and dilution buffer and concentration : 5% NFDM/TBST. Exposure time : 15 seconds

All lanes:

Immunoprecipitation - Anti-Claudin 6 antibody [EPR28103-113] (ab314134) at 1/30 dilution

All lanes:

NIH:OVCAR-3 (human ovary adenocarcinoma epithelial cell) whole cell lysate

Secondary

All lanes:

Immunoprecipitation - VeriBlot for IP Detection Reagent (HRP) (<a href='/en-us/products/reagents/veriblot-for-ip-detection-reagent-hrp-ab131366'>ab131366</a>) at 1/5000 dilution

false

Exposure time: 15s

Western blot - Anti-Claudin 6 antibody [EPR28103-113] (AB314134)
  • WB

Supplier Data

Western blot - Anti-Claudin 6 antibody [EPR28103-113] (AB314134)

Blocking and diluting buffer and concentration : 5% NFDM/TBST Negative control : DU 145 Samples are non-boiled as boiling may cause protein aggregation. In Western blot, Anti-GAPDH antibody [EPR16891] - Loading Control (ab181602) staining at 1/200000 dilution. Exposure time : 180 seconds

All lanes:

Western blot - Anti-Claudin 6 antibody [EPR28103-113] (ab314134) at 1/1000 dilution

Lane 1:

NIH:OVCAR-3 (human ovary adenocarcinoma epithelial cell) whole cell lysate at 20 µg

Lane 2:

JEG-3 (human placenta epithelial cell) whole cell lysate at 20 µg

Lane 3:

JAR (human placenta choriocarcinoma epithelial cell) whole cell lysate at 20 µg

Lane 4:

DU 145 (human prostate carcinoma epithelial cell) whole cell lysate at 20 µg

Secondary

All lanes:

Western blot - Goat Anti-Rabbit IgG H&L (HRP) (<a href='/en-us/products/secondary-antibodies/goat-rabbit-igg-h-l-hrp-ab97051'>ab97051</a>) at 1/100000 dilution

Observed band size: 23 kDa

false

Exposure time: 180s

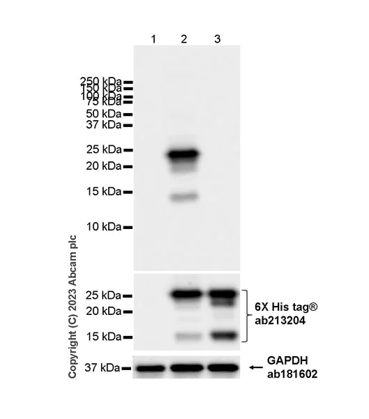
Western blot - Anti-Claudin 6 antibody [EPR28103-113] (AB314134)
  • WB

Supplier Data

Western blot - Anti-Claudin 6 antibody [EPR28103-113] (AB314134)

Blocking and diluting buffer and concentration : 5% NFDM/TBST This antibody does not cross-react with human CLDN9. Samples are non-boiled as boiling may cause protein aggregation. In Western blot, Anti-GAPDH antibody [EPR16891] - Loading Control (ab181602) staining at 1/200000 dilution. In Western blot, Anti-6X His tag® antibody [EPR20547] - ChIP Grade (ab213204) staining at 1/5000 dilution Exposure time : 3 seconds

All lanes:

Western blot - Anti-Claudin 6 antibody [EPR28103-113] (ab314134) at 1/1000 dilution

Lane 1:

293T cells transfected with an empty vector containing a His tag whole cell lysate at 10 µg

Lane 2:

293T cells transfected with a human CLDN6 expression vector containing a His-tag whole cell lysate at 10 µg

Lane 3:

293T cells transfected with a human CLDN9 expression vector containing a His-tag whole cell lysate at 10 µg

Secondary

All lanes:

Western blot - Goat Anti-Rabbit IgG H&L (HRP) (<a href='/en-us/products/secondary-antibodies/goat-rabbit-igg-h-l-hrp-ab97051'>ab97051</a>) at 1/100000 dilution

Observed band size: 23 kDa

false

Exposure time: 3s

  • 519 Alexa Fluor® 488

    Alexa Fluor® 488 Anti-Claudin 6 antibody [EPR28103-113]

  • 617 Alexa Fluor® 594

    Alexa Fluor® 594 Anti-Claudin 6 antibody [EPR28103-113]

  • 660 APC

    APC Anti-Claudin 6 antibody [EPR28103-113]

  • 578 PE

    PE Anti-Claudin 6 antibody [EPR28103-113]

  • 665 Alexa Fluor® 647

    Alexa Fluor® 647 Anti-Claudin 6 antibody [EPR28103-113]

  • 565 Alexa Fluor® 555

    Alexa Fluor® 555 Anti-Claudin 6 antibody [EPR28103-113]

  • 775 Alexa Fluor® 750

    Alexa Fluor® 750 Anti-Claudin 6 antibody [EPR28103-113]

  • Carrier free

    Anti-Claudin 6 antibody [EPR28103-113] - BSA and Azide free

Key facts

Host species

Rabbit

Clonality

Monoclonal

Clone number

EPR28103-113

Isotype

IgG

Carrier free

No

Reacts with

Human

Applications

ICC/IF, IHC-P, Flow Cyt (Intra), IP, WB

applications

Immunogen

The exact immunogen used to generate this antibody is proprietary information.

Reactivity data

{ "title": "Reactivity Data", "filters": { "stats": ["", "Species", "Dilution Info", "Notes"], "tabs": { "all-applications": {"fullname" : "All Applications", "shortname": "All Applications"}, "WB" : {"fullname" : "Western blot", "shortname":"WB"}, "IP" : {"fullname" : "Immunoprecipitation", "shortname":"IP"}, "ICCIF" : {"fullname" : "Immunocytochemistry/ Immunofluorescence", "shortname":"ICC/IF"}, "IHCP" : {"fullname" : "Immunohistochemistry (Formalin/PFA-fixed paraffin-embedded sections)", "shortname":"IHC-P"}, "FlowCytIntra" : {"fullname" : "Flow Cytometry (Intracellular)", "shortname":"Flow Cyt (Intra)"} }, "product-promise": { "all": "all", "testedAndGuaranteed": "tested", "guaranteed": "expected", "predicted": "predicted", "notRecommended": "not-recommended" } }, "values": { "Human": { "WB-species-checked": "testedAndGuaranteed", "WB-species-dilution-info": "1/1000", "WB-species-notes": "<p></p>", "IP-species-checked": "testedAndGuaranteed", "IP-species-dilution-info": "1/30", "IP-species-notes": "<p></p>", "ICCIF-species-checked": "testedAndGuaranteed", "ICCIF-species-dilution-info": "1/50", "ICCIF-species-notes": "<p></p>", "IHCP-species-checked": "testedAndGuaranteed", "IHCP-species-dilution-info": "1/100 - 1/5000", "IHCP-species-notes": "<p></p> Perform heat-mediated antigen retrieval with Tris/EDTA buffer pH 9.0 before commencing with IHC staining protocol.", "FlowCytIntra-species-checked": "testedAndGuaranteed", "FlowCytIntra-species-dilution-info": "1/50", "FlowCytIntra-species-notes": "<p></p>" }, "Transfected cell line": { "WB-species-checked": "notRecommended", "WB-species-dilution-info": "", "WB-species-notes": "", "IP-species-checked": "notRecommended", "IP-species-dilution-info": "", "IP-species-notes": "", "ICCIF-species-checked": "notRecommended", "ICCIF-species-dilution-info": "", "ICCIF-species-notes": "", "IHCP-species-checked": "testedAndGuaranteed", "IHCP-species-dilution-info": "1/100 - 1/5000", "IHCP-species-notes": "<p></p> Perform heat-mediated antigen retrieval with Tris/EDTA buffer pH 9.0 before commencing with IHC staining protocol.", "FlowCytIntra-species-checked": "notRecommended", "FlowCytIntra-species-dilution-info": "", "FlowCytIntra-species-notes": "" }, "Transfected cell lysate - Human": { "WB-species-checked": "testedAndGuaranteed", "WB-species-dilution-info": "1/1000", "WB-species-notes": "<p></p>", "IP-species-checked": "notRecommended", "IP-species-dilution-info": "", "IP-species-notes": "", "ICCIF-species-checked": "notRecommended", "ICCIF-species-dilution-info": "", "ICCIF-species-notes": "", "IHCP-species-checked": "notRecommended", "IHCP-species-dilution-info": "", "IHCP-species-notes": "", "FlowCytIntra-species-checked": "notRecommended", "FlowCytIntra-species-dilution-info": "", "FlowCytIntra-species-notes": "" } } }

Product details

What is this antibody validated in?
Anti-Claudin 6 antibody [EPR28103-113] (ab314134) is a rabbit recombinant monoclonal antibody and is validated for use in Western Blot (WB), Flow Cytometry (Intra), Flow Cytometry (Flow Cyt), Immunoprecipitation (IP), Immunohistochemistry (IHC-P), Immunocytochemistry/immunofluorescence (ICC/IF) in Human samples.

What is the molecular weight of Claudin 6?
Anti-Claudin 6 [EPR28103-113] (ab314134) specifically detects a band for Claudin 6 (UniProt: P56747) at a molecular weight of 23kDa.

Trial sizes available!
Test your antibody or perform pre-screening before committing to a larger quantity. Sold in 10µl. Discover our selection of trial-size antibodies.

Other related products
We have a range of other formats of antibody clone [EPR28103-113] also available for your convenience: ab314134, Carrier free - ab314135, PE - ab318407, APC - ab318510, Alexa Fluor® 488 - ab318613, Alexa Fluor® 647 - ab318716, Alexa Fluor® 594 - ab318819, Alexa Fluor® 555 - ab318919, Alexa Fluor® 750 - ab321557

Patented technology
Our RabMAb® technology is a patented hybridoma-based technology for making rabbit monoclonal antibodies. For details on our patents, please refer to RabMAb® patents.

What are the advantages of a recombinant monoclonal antibody?
This product is a recombinant monoclonal antibody, which offers several advantages including:

  • - High batch-to-batch consistency and reproducibility
  • - Improved sensitivity and specificity
  • - Long-term security of supply
  • - Animal-free batch production

For more information, read more on recombinant antibodies.

Properties and storage information

Form
Liquid
Purification technique
Affinity purification Protein A
Storage buffer
pH: 7.2 - 7.4 Preservative: 0.01% Sodium azide Constituents: PBS, 40% Glycerol (glycerin, glycerine), 0.05% BSA
Shipped at conditions
Blue Ice
Appropriate short-term storage duration
1-2 weeks
Appropriate short-term storage conditions
+4°C
Appropriate long-term storage conditions
-20°C
Aliquoting information
Upon delivery aliquot
Storage information
Avoid freeze / thaw cycle

Supplementary information

This supplementary information is collated from multiple sources and compiled automatically.

Claudin 6 also known as CLDN6 is a transmembrane protein belonging to the claudin family. This family is critical in forming tight junctions between cells which regulate the paracellular barrier functions of epithelia. The molecular mass of claudin 6 is approximately 23 kDa. Researchers have observed its expression mainly in embryonic tissues and certain cancer types. In normal adult tissues it shows limited expression indicating a specific role during early developmental stages.
Biological function summary

Claudin 6 participates in the formation and maintenance of tight junctions in epithelial cells. It is part of a larger complex that includes multiple claudins and other tight junction proteins like occludin and zonula occludens-1. This complex maintains cellular polarity and controls the flow of ions and molecules between cells which is essential for tissue homeostasis. Its expression pattern suggests a role in cell differentiation and proliferation during embryogenesis and tumorigenesis.

Pathways

Various studies indicate that claudin 6 is involved in the Wnt signaling pathway which is key in embryonic development and cell differentiation. This pathway interacts with several other proteins including Β-catenin to mediate gene expression and cellular functions. Additionally claudin 6 contributes to pathways influencing the epithelial-mesenchymal transition (EMT) a process necessary for organ development and cancer metastasis. Through these pathways claudin 6 interacts with diverse proteins to modulate cell behavior.

Researchers have linked claudin 6 to certain cancers particularly ovarian and breast cancer. Its aberrant expression may contribute to tumor progression and invasiveness. Claudin 6 can promote changes in the tumor microenvironment by interacting with other cell junction proteins possibly influencing cancer cell proliferation and spread. Furthermore its altered expression is noted in immune disorders suggesting potential roles in pathogenesis through interactions with immune cells or signaling molecules like cytokines within the immune pathways.

Product protocols

For this product, it's our understanding that no specific protocols are required. You can visit:

Target data

Plays a major role in tight junction-specific obliteration of the intercellular space.. (Microbial infection) Acts as a receptor for hepatitis C virus (HCV) entry into hepatic cells.
See full target information CLDN6
enhancedValidationDataWebsite
en

Product promise

We are committed to supporting your work with high-quality reagents, and we're here for you every step of the way. In the unlikely event that one of our products does not perform as expected, you're protected by our Product Promise.
For full details, please see our Terms & Conditions

Please note: All products are 'FOR RESEARCH USE ONLY. NOT FOR USE IN DIAGNOSTIC OR THERAPEUTIC PROCEDURES'.

For licensing inquiries, please contact partnerships@abcam.com