JavaScript is disabled in your browser. Please enable JavaScript to view this website.
AB27487

Anti-Claudin 7/CLDN-7 antibody

4

(12 Reviews)

|

(49 Publications)

Rabbit Polyclonal Claudin 7 antibody. Suitable for IHC-P, IHC-Fr, WB, ICC/IF, ICC and reacts with Human, Mouse, Rat samples. Cited in 49 publications.

View Alternative Names

CEPTRL2, CPETRL2, CLDN7, Claudin-7, CLDN-7

1 Images
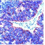
Immunohistochemistry (Formalin/PFA-fixed paraffin-embedded sections) - Anti-Claudin 7/CLDN-7 antibody (AB27487)
  • IHC-P

Unknown

Immunohistochemistry (Formalin/PFA-fixed paraffin-embedded sections) - Anti-Claudin 7/CLDN-7 antibody (AB27487)

ab27487, at a dilution of 1/200, staining Claudin 7/CLDN-7 in formalin fixed paraffin embedded human colon carcinoma tissue section by Immunohistochemistry.

Key facts

Host species

Rabbit

Clonality

Polyclonal

Isotype

IgG

Carrier free

No

Reacts with

Human, Mouse, Rat

Applications

IHC-Fr, ICC, ICC/IF, IHC-P, WB

applications

Immunogen

The exact immunogen used to generate this antibody is proprietary information.

Reactivity data

{ "title": "Reactivity Data", "filters": { "stats": ["", "Species", "Dilution Info", "Notes"], "tabs": { "all-applications": {"fullname" : "All Applications", "shortname": "All Applications"}, "IHCP" : {"fullname" : "Immunohistochemistry (Formalin/PFA-fixed paraffin-embedded sections)", "shortname":"IHC-P"}, "IHCFr" : {"fullname" : "Immunohistochemistry (Frozen sections)", "shortname":"IHC-Fr"}, "WB" : {"fullname" : "Western blot", "shortname":"WB"}, "ICCIF" : {"fullname" : "Immunocytochemistry/ Immunofluorescence", "shortname":"ICC/IF"}, "ICC" : {"fullname" : "Immunocytochemistry", "shortname":"ICC"} }, "product-promise": { "all": "all", "testedAndGuaranteed": "tested", "guaranteed": "expected", "predicted": "predicted", "notRecommended": "not-recommended" } }, "values": { "Human": { "IHCP-species-checked": "testedAndGuaranteed", "IHCP-species-dilution-info": "1/200", "IHCP-species-notes": "<p>In particular, boil tissue sections in 10mM citrate buffer pH 6.0 for 10 min then cool at room temperature for 20 min.</p> Perform heat-mediated antigen retrieval before commencing with IHC staining protocol.", "IHCFr-species-checked": "guaranteed", "IHCFr-species-dilution-info": "", "IHCFr-species-notes": "<p></p>", "WB-species-checked": "guaranteed", "WB-species-dilution-info": "", "WB-species-notes": "<p></p>", "ICCIF-species-checked": "guaranteed", "ICCIF-species-dilution-info": "", "ICCIF-species-notes": "<p></p>", "ICC-species-checked": "predicted", "ICC-species-dilution-info": "", "ICC-species-notes": "" }, "Mouse": { "IHCP-species-checked": "guaranteed", "IHCP-species-dilution-info": "1/200", "IHCP-species-notes": "<p>In particular, boil tissue sections in 10mM citrate buffer pH 6.0 for 10 min then cool at room temperature for 20 min.</p> Perform heat-mediated antigen retrieval before commencing with IHC staining protocol.", "IHCFr-species-checked": "guaranteed", "IHCFr-species-dilution-info": "", "IHCFr-species-notes": "<p></p>", "WB-species-checked": "guaranteed", "WB-species-dilution-info": "", "WB-species-notes": "<p></p>", "ICCIF-species-checked": "guaranteed", "ICCIF-species-dilution-info": "", "ICCIF-species-notes": "<p></p>", "ICC-species-checked": "guaranteed", "ICC-species-dilution-info": "", "ICC-species-notes": "<p></p>" }, "Rat": { "IHCP-species-checked": "guaranteed", "IHCP-species-dilution-info": "1/200", "IHCP-species-notes": "<p>In particular, boil tissue sections in 10mM citrate buffer pH 6.0 for 10 min then cool at room temperature for 20 min.</p> Perform heat-mediated antigen retrieval before commencing with IHC staining protocol.", "IHCFr-species-checked": "guaranteed", "IHCFr-species-dilution-info": "", "IHCFr-species-notes": "<p></p>", "WB-species-checked": "guaranteed", "WB-species-dilution-info": "", "WB-species-notes": "<p></p>", "ICCIF-species-checked": "guaranteed", "ICCIF-species-dilution-info": "", "ICCIF-species-notes": "<p></p>", "ICC-species-checked": "guaranteed", "ICC-species-dilution-info": "", "ICC-species-notes": "<p></p>" } } }

Properties and storage information

Form
Liquid
Purification technique
Affinity purification Immunogen
Purification notes
Ab27487 is affinity purified.
Storage buffer
pH: 7.6 Preservative: 0.1% Sodium azide Constituents: PBS, 1% BSA
Shipped at conditions
Blue Ice
Appropriate short-term storage conditions
+4°C
Appropriate long-term storage conditions
-20°C
Aliquoting information
Upon delivery aliquot
Storage information
Avoid freeze / thaw cycle

Supplementary information

This supplementary information is collated from multiple sources and compiled automatically.

Claudin 7 often referred to as CLDN-7 is a transmembrane protein with a molecular mass of approximately 22 kDa. It is part of the claudin family which includes other members like claudin-1 and claudin-3. CLDN-7 is prominently found in epithelial cells and plays an important role in forming tight junctions between cells. These tight junctions are integral in maintaining cell polarity and controlling the paracellular transport of ions and molecules.
Biological function summary

Claudin 7 contributes to the integrity and function of tight junctions by directly interacting with other claudins and zonula occludens-1 (ZO-1) thereby becoming part of a larger complex. This structure regulates the movement of substances between epithelial cells protecting tissues from pathogens and maintaining homeostasis. Claudin 7 is essential for proper barrier function in tissues like the respiratory tract and renal structures.

Pathways

The function of claudin 7 integrates within the epithelial barrier signaling pathway and the Wnt signaling pathway. Through these pathways CLDN-7 interacts with proteins like β-catenin. In the epithelial barrier pathway CLDN-7 helps maintain cellular adhesion and barrier function while in the Wnt pathway it might influence cell proliferation and differentiation indirectly through associated proteins.

Claudin 7 has a significant connection with certain cancers such as gastric and colorectal cancer. Alterations in CLDN-7 expression can disrupt cell adhesion leading to increased invasiveness of cancer cells. It is often observed that in these cancers changes in CLDN-7 expression correlate with E-cadherin another key protein in maintaining tissue architecture and integrity. Additionally variations in CLDN-7 are linked to renal disorders where disrupted tight junctions can affect kidney function.

Product protocols

For this product, it's our understanding that no specific protocols are required. You can visit:

Target data

Plays a major role in tight junction-specific obliteration of the intercellular space.
See full target information CLDN7

Publications (49)

Recent publications for all applications. Explore the full list and refine your search

FASEB journal : official publication of the Federation of American Societies for Experimental Biology 39:e71105 PubMed41060246

2025

Transition From a High-Sugar and Butter to a Standard Diet Leads to Cecal Dysbiosis, Disrupts Intestinal Homeostasis, and Favors Increased Ethanol Consumption and Preference.

Applications

Unspecified application

Species

Unspecified reactive species

Renato Elias Moreira Júnior,Mírian Velten Mendes,Mariana Siqueira Amormino,Gwenaëlle Randuineau,Célia Le Boulenger,Sylvie Guérin,Véronique Romé,Gaelle Boudry,Ana Lúcia Brunialti-Godard

Journal of inflammation research 18:381-403 PubMed39802513

2025

Kuiyangling Enema Alleviates Ulcerative Colitis Mice by Reducing Levels of Intestinal NETs and Promoting HuR/VDR Signaling.

Applications

Unspecified application

Species

Unspecified reactive species

Dong Zhang,Zeming Zhu,Zhangyou He,Siwei Duan,Qincheng Yi,Min Qiu,Xingzhen Dai,Guang Su,Kexin Li,Lin Xu,Donghou Liu,Yabin Wu,Yong Gao,Ruliu Li,Shaoju Guo

Acta pharmaceutica Sinica. B 14:2153-2176 PubMed38799623

2024

5-Heudelotinone alleviates experimental colitis by shaping the immune system and enhancing the intestinal barrier in a gut microbiota-dependent manner.

Applications

Unspecified application

Species

Unspecified reactive species

Qing Meng,Jianshuang Guo,Ke Lv,Yang Liu,Jin Zhang,Mingyue Li,Xirui Cheng,Shenghua Chen,Xiaoguang Huo,Quan Zhang,Yue Chen,Jing Li

Cellular and molecular gastroenterology and hepatology 18:101362 PubMed38788899

2024

A Protein Complex of Liver Origin Activates a Pro-inflammatory Program That Drives Hepatic and Intestinal Injury in Alcohol-Associated Liver Disease.

Applications

Unspecified application

Species

Unspecified reactive species

Xiaodong Ge,Hui Han,Romain Desert,Sukanta Das,Zhuolun Song,Sai Santosh Babu Komakula,Wei Chen,Dipti Athavale,Daniel Lantvit,Natalia Nieto

Microbiology spectrum 10:e0212421 PubMed35658572

2022

Limosilactobacillus reuteri SLZX19-12 Protects the Colon from Infection by Enhancing Stability of the Gut Microbiota and Barrier Integrity and Reducing Inflammation.

Applications

Unspecified application

Species

Unspecified reactive species

Jianmin Wu,Zishen Lin,Xian Wang,Ying Zhao,Jinbiao Zhao,Hu Liu,Lee J Johnston,Lin Lu,Xi Ma

Journal of oncology 2022:2750193 PubMed35432533

2022

Digital Image Analysis-Based Evaluation of Claudin-1 and Claudin-7 Delocalization in Cutaneous Squamous Cell Carcinoma and in Its Precancerous State.

Applications

Unspecified application

Species

Unspecified reactive species

Lina Xu,Yunlei Pan,Shunli Tang,Juan Bai,Yinhua Wu,Jianjun Qiao,Hong Fang

Autophagy 18:2459-2480 PubMed35220880

2022

A defective lysophosphatidic acid-autophagy axis increases miscarriage risk by restricting decidual macrophage residence.

Applications

Unspecified application

Species

Unspecified reactive species

Hui-Li Yang,Zhen-Zhen Lai,Jia-Wei Shi,Wen-Jie Zhou,Jie Mei,Jiang-Feng Ye,Tao Zhang,Jian Wang,Jian-Yuan Zhao,Da-Jin Li,Ming-Qing Li

Frontiers in cellular and infection microbiology 12:824547 PubMed35273923

2022

Serine Protease Degrades Several Protein Components of Tight Junctions and Assists Bacterial Translocation Across the T84 Monolayer.

Applications

Unspecified application

Species

Unspecified reactive species

Mitsunobu Ueda,Hidetomo Kobayashi,Soshi Seike,Eizo Takahashi,Keinosuke Okamoto,Hiroyasu Yamanaka

Molecular human reproduction 27: PubMed34524460

2021

Uterine kisspeptin receptor critically regulates epithelial estrogen receptor α transcriptional activity at the time of embryo implantation in a mouse model.

Applications

Unspecified application

Species

Unspecified reactive species

Jennifer Schaefer,Angelos G Vilos,George A Vilos,Moshmi Bhattacharya,Andy V Babwah

Journal of translational medicine 19:311 PubMed34281572

2021

Claudin-7 deficiency promotes stemness properties in colorectal cancer through Sox9-mediated Wnt/β-catenin signalling.

Applications

Unspecified application

Species

Unspecified reactive species

Chang Xu,Yu-Han Ding,Kun Wang,Mengdi Hao,Huimin Li,Lei Ding
View all publications

Product promise

We are committed to supporting your work with high-quality reagents, and we're here for you every step of the way. In the unlikely event that one of our products does not perform as expected, you're protected by our Product Promise.
For full details, please see our Terms & Conditions

Please note: All products are 'FOR RESEARCH USE ONLY. NOT FOR USE IN DIAGNOSTIC OR THERAPEUTIC PROCEDURES'.

For licensing inquiries, please contact partnerships@abcam.com