JavaScript is disabled in your browser. Please enable JavaScript to view this website.
AB207300

Anti-Claudin 7/CLDN-7 antibody [EPR18073]

4

(2 Reviews)

|

(9 Publications)

Rabbit Recombinant Monoclonal Claudin 7 antibody. Suitable for ICC/IF, Flow Cyt (Intra), IHC-P and reacts with Human samples. Cited in 9 publications.

View Alternative Names

CEPTRL2, CPETRL2, CLDN7, Claudin-7, CLDN-7

6 Images
Immunohistochemistry (Formalin/PFA-fixed paraffin-embedded sections) - Anti-Claudin 7/CLDN-7 antibody [EPR18073] (AB207300)
  • IHC-P

Supplier Data

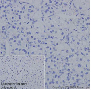
Immunohistochemistry (Formalin/PFA-fixed paraffin-embedded sections) - Anti-Claudin 7/CLDN-7 antibody [EPR18073] (AB207300)

Immunohistochemical analysis of paraffin-embedded human renal clear cell carcinoma tissue labeling Claudin 7/CLDN-7 with ab207300 at 1/1000 dilution followed by Goat Anti-Rabbit IgG H&L (HRP) (ab97051) at 1/500 dilution.

Negative staining on human renal clear cell carcinoma tissue is observed.

Counter stained with Hematoxylin.
Negative control : Used PBS instead of primary ab secondary ab is Goat Anti-Rabbit IgG H&L (HRP) (ab97051).

Perform heat mediated antigen retrieval with Tris/EDTA buffer pH 9.0 before commencing with IHC staining protocol.

Flow Cytometry (Intracellular) - Anti-Claudin 7/CLDN-7 antibody [EPR18073] (AB207300)
  • Flow Cyt (Intra)

Supplier Data

Flow Cytometry (Intracellular) - Anti-Claudin 7/CLDN-7 antibody [EPR18073] (AB207300)

Intracellular Flow Cytometry analysis of MCF-7 (human breast carcinoma) labeling Claudin 7 with ab207300 at 1/120 dilution (0.5ug) (red). Cells were fixed with 4% paraformaldehyde and permeabilised with 0.1% Tween® 20. Goat anti rabbit IgG (Alexa Fluor®488) at 1/500 dilution was used as a secondary antibody. Isotype control - Rabbit monoclonal IgG (ab172730) (black). Unlableled control - cell without incubation with primary antibody and secondary antibody (blue).

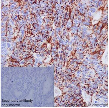
Immunohistochemistry (Formalin/PFA-fixed paraffin-embedded sections) - Anti-Claudin 7/CLDN-7 antibody [EPR18073] (AB207300)
  • IHC-P

Supplier Data

Immunohistochemistry (Formalin/PFA-fixed paraffin-embedded sections) - Anti-Claudin 7/CLDN-7 antibody [EPR18073] (AB207300)

Immunohistochemical analysis of paraffin-embedded Human endometrial cancer tissue labeling Claudin 7/CLDN-7 with ab207300 at 1/1000 dilution followed by Goat Anti-Rabbit IgG H&L (HRP) (ab97051) at 1/500 dilution.

Membrane staining on human endometrial cancer tissue is observed.

Counter stained with Hematoxylin.
Negative control : Used PBS instead of primary ab secondary ab is Goat Anti-Rabbit IgG H&L (HRP) (ab97051).

Perform heat mediated antigen retrieval with Tris/EDTA buffer pH 9.0 before commencing with IHC staining protocol.

Immunocytochemistry/ Immunofluorescence - Anti-Claudin 7/CLDN-7 antibody [EPR18073] (AB207300)
  • ICC/IF

Supplier Data

Immunocytochemistry/ Immunofluorescence - Anti-Claudin 7/CLDN-7 antibody [EPR18073] (AB207300)

Immunofluorescent analysis of 4% paraformaldehyde-fixed 0.1% Triton X-100 permeabilized SW480 (Human colorectal adenocarcinoma cell line) cells labeling Claudin 7/CLDN-7 with ab207300 at 1/250 dilution followed by Goat anti-rabbit IgG (Alexa Fluor® 488) (ab150077) secondary antibody at 1/1000 dilution (green).

Membranous staining on SW480 cell line is observed.

The nuclear counterstain is DAPI (blue).

Tubulin is detected with ab7291 (anti-Tubulin mouse mAb) at 1/1000 dilution and ab150120 (AlexaFluor®594 Goat anti-Mouse secondary) at 1/1000 dilution (red).
The negative controls are as follows : -
-ve control 1 - ab207300 at 1/250 dilution followed byab150120 (AlexaFluor®594 Goat anti-Mouse secondary) at 1/1000 dilution.
-ve control 2. - ab7291 (anti-Tubulin mouse mAb) at 1/1000 dilution followed by ab150077 (Alexa Fluor®488 Goat Anti-Rabbit IgG H&L) at 1/1000 dilution.

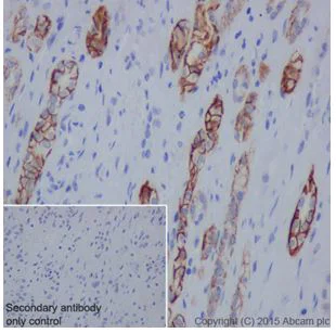
Immunohistochemistry (Formalin/PFA-fixed paraffin-embedded sections) - Anti-Claudin 7/CLDN-7 antibody [EPR18073] (AB207300)
  • IHC-P

Supplier Data

Immunohistochemistry (Formalin/PFA-fixed paraffin-embedded sections) - Anti-Claudin 7/CLDN-7 antibody [EPR18073] (AB207300)

Immunohistochemical analysis of paraffin-embedded human renal oncocytoma tissue labeling Claudin 7/CLDN-7 with ab207300 at 1/1000 dilution followed by Goat Anti-Rabbit IgG H&L (HRP) (ab97051) at 1/500 dilution.

Membrane staining on human renal oncocytoma tissue is observed.

Counter stained with Hematoxylin.
Negative control : Used PBS instead of primary ab secondary ab is Goat Anti-Rabbit IgG H&L (HRP) (ab97051).

Perform heat mediated antigen retrieval with Tris/EDTA buffer pH 9.0 before commencing with IHC staining protocol.

Immunocytochemistry/ Immunofluorescence - Anti-Claudin 7/CLDN-7 antibody [EPR18073] (AB207300)
  • ICC/IF

Supplier Data

Immunocytochemistry/ Immunofluorescence - Anti-Claudin 7/CLDN-7 antibody [EPR18073] (AB207300)

Immunofluorescent analysis of 4% paraformaldehyde-fixed 0.1% Triton X-100 permeabilized MCF7 (Human breast adenocarcinoma cell line) cells labeling Claudin 7/CLDN-7 with ab207300 at 1/250 dilution followed by Goat anti-rabbit IgG (Alexa Fluor® 488) (ab150077) secondary antibody at 1/1000 dilution (green).

Membranous staining on MCF7 cell line is observed.

The nuclear counterstain is DAPI (blue). Tubulin is detected with ab7291 (anti-Tubulin mouse mAb) at 1/1000 dilution and ab150120 (AlexaFluor®594 Goat anti-Mouse secondary) at 1/1000 dilution (red).
The negative controls are as follows : -
-ve control 1 - ab207300 at 1/250 dilution followed byab150120 (AlexaFluor®594 Goat anti-Mouse secondary) at 1/1000 dilution.
-ve control 2. - ab7291 (anti-Tubulin mouse mAb) at 1/1000 dilution followed by ab150077 (Alexa Fluor®488 Goat Anti-Rabbit IgG H&L) at 1/1000 dilution.

  • Carrier free

    Anti-Claudin 7/CLDN-7 antibody [EPR18073] - BSA and Azide free

  • 660 APC

    APC Anti-Claudin 7/CLDN-7 antibody [EPR18073]

  • HRP

    HRP Anti-Claudin 7/CLDN-7 antibody [EPR18073]

  • 617 Alexa Fluor® 594

    Alexa Fluor® 594 Anti-Claudin 7 / CLDN-7 antibody [EPR18073]

  • 519 Alexa Fluor® 488

    Alexa Fluor® 488 Anti-Claudin 7 / CLDN-7 antibody [EPR18073]

  • 665 Alexa Fluor® 647

    Alexa Fluor® 647 Anti-Claudin 7 / CLDN-7 antibody [EPR18073]

  • 565 Alexa Fluor® 555

    Alexa Fluor® 555 Anti-Claudin 7 / CLDN-7 antibody [EPR18073]

  • 603 Alexa Fluor® 568

    Alexa Fluor® 568 Anti-Claudin 7 / CLDN-7 antibody [EPR18073]

  • 578 PE

    PE Anti-Claudin 7/CLDN-7 antibody [EPR18073]

  • 775 Alexa Fluor® 750

    Alexa Fluor® 750 Anti-Claudin 7/CLDN-7 antibody [EPR18073]

Key facts

Host species

Rabbit

Clonality

Monoclonal

Clone number

EPR18073

Isotype

IgG

Carrier free

No

Reacts with

Human

Applications

ICC/IF, Flow Cyt (Intra), IHC-P

applications

Immunogen

The exact immunogen used to generate this antibody is proprietary information.

Reactivity data

{ "title": "Reactivity Data", "filters": { "stats": ["", "Species", "Dilution Info", "Notes"], "tabs": { "all-applications": {"fullname" : "All Applications", "shortname": "All Applications"}, "ICCIF" : {"fullname" : "Immunocytochemistry/ Immunofluorescence", "shortname":"ICC/IF"}, "FlowCytIntra" : {"fullname" : "Flow Cytometry (Intracellular)", "shortname":"Flow Cyt (Intra)"}, "IHCP" : {"fullname" : "Immunohistochemistry (Formalin/PFA-fixed paraffin-embedded sections)", "shortname":"IHC-P"} }, "product-promise": { "all": "all", "testedAndGuaranteed": "tested", "guaranteed": "expected", "predicted": "predicted", "notRecommended": "not-recommended" } }, "values": { "Human": { "ICCIF-species-checked": "testedAndGuaranteed", "ICCIF-species-dilution-info": "1/250", "ICCIF-species-notes": "<p></p>", "FlowCytIntra-species-checked": "testedAndGuaranteed", "FlowCytIntra-species-dilution-info": "1/120", "FlowCytIntra-species-notes": "<p></p>", "IHCP-species-checked": "testedAndGuaranteed", "IHCP-species-dilution-info": "1/1000", "IHCP-species-notes": "<p></p>" } } }

Product details

Patented technology
Our RabMAb® technology is a patented hybridoma-based technology for making rabbit monoclonal antibodies. For details on our patents, please refer to RabMAb® patents.

What are the advantages of a recombinant monoclonal antibody?
This product is a recombinant monoclonal antibody, which offers several advantages including:

  • - High batch-to-batch consistency and reproducibility
  • - Improved sensitivity and specificity
  • - Long-term security of supply
  • - Animal-free batch production

For more information, read more on recombinant antibodies.

Properties and storage information

Form
Liquid
Purification technique
Affinity purification Protein A
Storage buffer
pH: 7.2 - 7.4 Preservative: 0.01% Sodium azide Constituents: PBS, 40% Glycerol (glycerin, glycerine), 0.05% BSA
Shipped at conditions
Blue Ice
Appropriate short-term storage duration
1-2 weeks
Appropriate short-term storage conditions
+4°C
Appropriate long-term storage conditions
-20°C
Aliquoting information
Upon delivery aliquot
Storage information
Avoid freeze / thaw cycle

Supplementary information

This supplementary information is collated from multiple sources and compiled automatically.

Claudin 7 often referred to as CLDN-7 is a transmembrane protein with a molecular mass of approximately 22 kDa. It is part of the claudin family which includes other members like claudin-1 and claudin-3. CLDN-7 is prominently found in epithelial cells and plays an important role in forming tight junctions between cells. These tight junctions are integral in maintaining cell polarity and controlling the paracellular transport of ions and molecules.
Biological function summary

Claudin 7 contributes to the integrity and function of tight junctions by directly interacting with other claudins and zonula occludens-1 (ZO-1) thereby becoming part of a larger complex. This structure regulates the movement of substances between epithelial cells protecting tissues from pathogens and maintaining homeostasis. Claudin 7 is essential for proper barrier function in tissues like the respiratory tract and renal structures.

Pathways

The function of claudin 7 integrates within the epithelial barrier signaling pathway and the Wnt signaling pathway. Through these pathways CLDN-7 interacts with proteins like β-catenin. In the epithelial barrier pathway CLDN-7 helps maintain cellular adhesion and barrier function while in the Wnt pathway it might influence cell proliferation and differentiation indirectly through associated proteins.

Claudin 7 has a significant connection with certain cancers such as gastric and colorectal cancer. Alterations in CLDN-7 expression can disrupt cell adhesion leading to increased invasiveness of cancer cells. It is often observed that in these cancers changes in CLDN-7 expression correlate with E-cadherin another key protein in maintaining tissue architecture and integrity. Additionally variations in CLDN-7 are linked to renal disorders where disrupted tight junctions can affect kidney function.

Product protocols

For this product, it's our understanding that no specific protocols are required. You can visit:

Target data

Plays a major role in tight junction-specific obliteration of the intercellular space.
See full target information CLDN7

Publications (9)

Recent publications for all applications. Explore the full list and refine your search

Hepatology research : the official journal of the Japan Society of Hepatology 55:1296-1306 PubMed40515742

2025

CXCL6 Is a Novel Biliary Marker and a Downstream Target of MMP7 in Biliary Atresia.

Applications

Unspecified application

Species

Unspecified reactive species

Fanyang Kong,Jingying Jiang,Min Du,Rui Dong,Gong Chen,Shan Zheng,Junfeng Wang

The Journal of cell biology 223: PubMed39320351

2024

Claudin 7 suppresses invasion and metastasis through repression of a smooth muscle actin program.

Applications

Unspecified application

Species

Unspecified reactive species

Junior J West,Rosela Golloshi,Chae Yun Cho,Yuqian Wang,Parker Stevenson,Genevieve Stein-O'Brien,Elana J Fertig,Andrew J Ewald

Diagnostic pathology 19:113 PubMed39175074

2024

Expression and clinical significance of CLDN7 and its immune-related cells in breast cancer.

Applications

Unspecified application

Species

Unspecified reactive species

Xiaojie Fan,Aifeng Qi,Meng Zhang,Ying Jia,Shi Li,Dandan Han,Yueping Liu

Proceedings of the National Academy of Sciences of the United States of America 121:e2217877121 PubMed38412124

2024

Claudin-2 upregulation enhances intestinal permeability, immune activation, dysbiosis, and mortality in sepsis.

Applications

Unspecified application

Species

Unspecified reactive species

Takehiko Oami,Shabnam Abtahi,Takashi Shimazui,Ching-Wen Chen,Yan Y Sweat,Zhe Liang,Eileen M Burd,Alton B Farris,Joe T Roland,Sachiko Tsukita,Mandy L Ford,Jerrold R Turner,Craig M Coopersmith

Oncology reports 51: PubMed38131227

2023

Rab25 suppresses colon cancer cell invasion through upregulating claudin‑7 expression.

Applications

Unspecified application

Species

Unspecified reactive species

Su Jin Cho,Bo Young Jeong,Se-Hee Yoon,Chang Gyo Park,Hoi Young Lee

Communications biology 5:945 PubMed36088469

2022

Low-dose radiation exaggerates HFD-induced metabolic dysfunction by gut microbiota through PA-PYCR1 axis.

Applications

Unspecified application

Species

Unspecified reactive species

Zhao Ju,Peiyu Guo,Jing Xiang,Ridan Lei,Guofeng Ren,Meiling Zhou,Xiandan Yang,Pingkun Zhou,Ruixue Huang

Cancers 14: PubMed35740581

2022

Is High Expression of Claudin-7 in Advanced Colorectal Carcinoma Associated with a Poor Survival Rate? A Comparative Statistical and Artificial Intelligence Study.

Applications

Unspecified application

Species

Unspecified reactive species

Victor Ianole,Mihai Danciu,Constantin Volovat,Cipriana Stefanescu,Paul-Corneliu Herghelegiu,Florin Leon,Adrian Iftene,Ciprian-Gabriel Cusmuliuc,Bogdan Toma,Vasile Drug,Delia Gabriela Ciobanu Apostol

Current protocols 1:e68 PubMed33822482

2021

A Simple Method for Creating a High-Content Microscope for Imaging Multiplexed Tissue Microarrays.

Applications

Unspecified application

Species

Unspecified reactive species

Shabnam Abtahi,Neal R Gliksman,John F Heneghan,Steven P Nilsen,Jeremy L Muhlich,Jay Copeland,Emil Rozbicki,Chris Allan,Pradeep K Dudeja,Jerrold R Turner

Nutrients 12: PubMed32580504

2020

Artificial Sweeteners Disrupt Tight Junctions and Barrier Function in the Intestinal Epithelium through Activation of the Sweet Taste Receptor, T1R3.

Applications

Unspecified application

Species

Unspecified reactive species

Aparna Shil,Oluwatobi Olusanya,Zaynub Ghufoor,Benjamin Forson,Joanne Marks,Havovi Chichger
View all publications

Product promise

We are committed to supporting your work with high-quality reagents, and we're here for you every step of the way. In the unlikely event that one of our products does not perform as expected, you're protected by our Product Promise.
For full details, please see our Terms & Conditions

Please note: All products are 'FOR RESEARCH USE ONLY. NOT FOR USE IN DIAGNOSTIC OR THERAPEUTIC PROCEDURES'.

For licensing inquiries, please contact partnerships@abcam.com