JavaScript is disabled in your browser. Please enable JavaScript to view this website.
AB211439

Anti-Claudin 8 antibody

Be the first to review this product! Submit a review

|

(3 Publications)

Rabbit Polyclonal Claudin 8 antibody. Suitable for IHC-P, WB, Flow Cyt (Intra) and reacts with Human samples. Cited in 3 publications. Immunogen corresponding to Synthetic Peptide within Human CLDN8 aa 100-200 conjugated to Keyhole Limpet Haemocyanin.

View Alternative Names

UNQ779/PRO1573, CLDN8, Claudin-8

3 Images
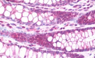
Immunohistochemistry (Formalin/PFA-fixed paraffin-embedded sections) - Anti-Claudin 8 antibody (AB211439)
  • IHC-P

Supplier Data

Immunohistochemistry (Formalin/PFA-fixed paraffin-embedded sections) - Anti-Claudin 8 antibody (AB211439)

Immunohistochemical analysis of formalin-fixed, paraffin-embedded Human colon tissue labeling Claudin 8 with ab211439 at 1/75 dilution.

Flow Cytometry (Intracellular) - Anti-Claudin 8 antibody (AB211439)
  • Flow Cyt (Intra)

Supplier Data

Flow Cytometry (Intracellular) - Anti-Claudin 8 antibody (AB211439)

Intracellular flow cytometric analysis of 293 cells labeling Claudin 8 with ab211439 at 1/10 dilution (right histogram) compared to a negative control (left histogram). FITC-conjugated goat-anti-rabbit secondary antibodies were used for the analysis.

Western blot - Anti-Claudin 8 antibody (AB211439)
  • WB

Supplier Data

Western blot - Anti-Claudin 8 antibody (AB211439)

All lanes:

Western blot - Anti-Claudin 8 antibody (ab211439) at 1/1000 dilution

All lanes:

293 cell lysate at 35 µg

Predicted band size: 25 kDa

false

Key facts

Host species

Rabbit

Clonality

Polyclonal

Isotype

IgG

Carrier free

No

Reacts with

Human

Applications

Flow Cyt (Intra), IHC-P, WB

applications

Immunogen

Synthetic Peptide within Human CLDN8 aa 100-200 conjugated to Keyhole Limpet Haemocyanin. The exact immunogen used to generate this antibody is proprietary information.

P56748

Reactivity data

{ "title": "Reactivity Data", "filters": { "stats": ["", "Species", "Dilution Info", "Notes"], "tabs": { "all-applications": {"fullname" : "All Applications", "shortname": "All Applications"}, "IHCP" : {"fullname" : "Immunohistochemistry (Formalin/PFA-fixed paraffin-embedded sections)", "shortname":"IHC-P"}, "WB" : {"fullname" : "Western blot", "shortname":"WB"}, "FlowCytIntra" : {"fullname" : "Flow Cytometry (Intracellular)", "shortname":"Flow Cyt (Intra)"} }, "product-promise": { "all": "all", "testedAndGuaranteed": "tested", "guaranteed": "expected", "predicted": "predicted", "notRecommended": "not-recommended" } }, "values": { "Human": { "IHCP-species-checked": "testedAndGuaranteed", "IHCP-species-dilution-info": "1/75", "IHCP-species-notes": "<p></p> Perform heat-mediated antigen retrieval before commencing with IHC staining protocol.", "WB-species-checked": "testedAndGuaranteed", "WB-species-dilution-info": "1/1000", "WB-species-notes": "<p></p>", "FlowCytIntra-species-checked": "testedAndGuaranteed", "FlowCytIntra-species-dilution-info": "", "FlowCytIntra-species-notes": "<p></p>" } } }

Properties and storage information

Form
Liquid
Purification technique
Affinity purification Immunogen
Storage buffer
pH: 7.4 Preservative: 0.09% Sodium azide Constituents: PBS
Shipped at conditions
Blue Ice
Appropriate short-term storage duration
1-2 weeks
Appropriate short-term storage conditions
+4°C
Appropriate long-term storage conditions
-20°C
Aliquoting information
Upon delivery aliquot
Storage information
Avoid freeze / thaw cycle

Supplementary information

This supplementary information is collated from multiple sources and compiled automatically.

Claudin 8 also known as CLDN8 is a protein that functions as a critical component of tight junction strands which are integral to maintaining cell-to-cell adhesion. This protein belongs to the claudin family characterized by their role in forming the backbone of tight junctions. Claudin 8 has a molecular mass of approximately 23 kDa. It is expressed in several tissues including the kidney and gastrointestinal tract epithelium where it regulates selective permeability.
Biological function summary

Claudin 8 contributes to the creation and maintenance of the barrier function of epithelial layers. It integrates into tight junction complexes collaborating with other claudins and occludin to establish selective paracellular transport. This organization allows for the regulation of movement of ions and small solutes between cells essential in controlling the internal environment of organs.

Pathways

Research shows Claudin 8 plays a role in epithelial and endothelial cell permeability. It is involved in the calcium signaling pathway and the MAPK (Mitogen-Activated Protein Kinase) pathway both important for cell signaling and response to extracellular stimuli. Within these pathways Claudin 8 interacts with proteins such as ZO-1 (Zonula Occludens-1) to modulate tight junction integrity and function.

Defects or changes in Claudin 8 expression have associations with conditions like hypermagnesemia with seizures and mental retardation as well as certain types of cancer. In these contexts alterations in the protein's function can disrupt normal paracellular transport and contribute to disease pathology. Additionally Claudin 8 also links with occludin another component of tight junctions suggesting that aberrant interactions between these proteins might underpin certain disease processes.

Product protocols

For this product, it's our understanding that no specific protocols are required. You can visit:

Target data

Can associate with other claudins to regulate tight junction structural and functional strand dynamics (By similarity). May coassemble with CLDN4 into tight junction strands containing anion-selective channels that convey paracellular chloride permeability in renal collecting ducts (By similarity) (PubMed : 36008380). Cannot form tight junction strands on its own (PubMed : 36008380).
See full target information CLDN8

Publications (3)

Recent publications for all applications. Explore the full list and refine your search

World journal of oncology 15:662-674 PubMed38993257

2024

Significance and Possible Biological Mechanism for Downregulation in Kidney Renal Clear Cell Carcinoma Tissues.

Applications

Unspecified application

Species

Unspecified reactive species

Han Chu Ji,Jian Di Li,Guan Lan Zhang,Zhi Guang Huang,Ji Wen Cheng,Sheng Hua Li,Chun Yan Zhao,Yu Xing Tang,Kai Qin,You Liang Ma,Yu Long,Gang Chen,Bin Qin

OncoTargets and therapy 13:9135-9145 PubMed32982302

2020

Prognostic Value and Potential Biological Functions of CLDN8 in Patients with Clear Cell Renal Cell Carcinoma.

Applications

Unspecified application

Species

Unspecified reactive species

Zhenpeng Zhu,Chunru Xu,Lanruo Lin,Tongde Lv,Tianyu Cai,Jian Lin

Child's nervous system : ChNS : official journal o 35:1303-1311 PubMed31161266

2019

MiR-361-5p inhibits cell proliferation and induces cell apoptosis in retinoblastoma by negatively regulating CLDN8.

Applications

Unspecified application

Species

Unspecified reactive species

Bingqian Liu,Baiyang Lu,Xue Wang,Haitao Jiang,Weiwei Kuang
View all publications

Product promise

We are committed to supporting your work with high-quality reagents, and we're here for you every step of the way. In the unlikely event that one of our products does not perform as expected, you're protected by our Product Promise.
For full details, please see our Terms & Conditions

Please note: All products are 'FOR RESEARCH USE ONLY. NOT FOR USE IN DIAGNOSTIC OR THERAPEUTIC PROCEDURES'.

For licensing inquiries, please contact partnerships@abcam.com