JavaScript is disabled in your browser. Please enable JavaScript to view this website.
AB183738

Anti-Claudin 8 antibody [EPR12680(2)]

Be the first to review this product! Submit a review

|

(7 Publications)

Rabbit Recombinant Monoclonal Claudin 8 antibody. Suitable for IHC-P and reacts with Human samples. Cited in 7 publications.

View Alternative Names

UNQ779/PRO1573, CLDN8, Claudin-8

2 Images
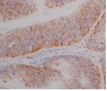
Immunohistochemistry (Formalin/PFA-fixed paraffin-embedded sections) - Anti-Claudin 8 antibody [EPR12680(2)] (AB183738)
  • IHC-P

Supplier Data

Immunohistochemistry (Formalin/PFA-fixed paraffin-embedded sections) - Anti-Claudin 8 antibody [EPR12680(2)] (AB183738)

Immunohistochemical analysis of paraffin-embedded Human colonic adenocarcinoma tissue labeling Claudin 8 with ab183738 at 1/1000 dilution. Counter stain Hematoxylin.

Perform heat mediated antigen retrieval with EDTA buffer pH 9 before commencing with IHC staining protocol.

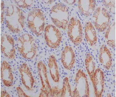
Immunohistochemistry (Formalin/PFA-fixed paraffin-embedded sections) - Anti-Claudin 8 antibody [EPR12680(2)] (AB183738)
  • IHC-P

Supplier Data

Immunohistochemistry (Formalin/PFA-fixed paraffin-embedded sections) - Anti-Claudin 8 antibody [EPR12680(2)] (AB183738)

Immunohistochemical analysis of paraffin-embedded Human colon tissue labeling Claudin 8 with ab183738 at 1/1000 dilution. Counter stain Hematoxylin.

Perform heat mediated antigen retrieval with EDTA buffer pH 9 before commencing with IHC staining protocol.

  • Carrier free

    Anti-Claudin 8 antibody [EPR12680(2)] - BSA and Azide free

Key facts

Host species

Rabbit

Clonality

Monoclonal

Clone number

EPR12680(2)

Isotype

IgG

Carrier free

No

Reacts with

Human

Applications

IHC-P

applications

Immunogen

The exact immunogen used to generate this antibody is proprietary information.

Reactivity data

{ "title": "Reactivity Data", "filters": { "stats": ["", "Species", "Dilution Info", "Notes"], "tabs": { "all-applications": {"fullname" : "All Applications", "shortname": "All Applications"}, "IHCP" : {"fullname" : "Immunohistochemistry (Formalin/PFA-fixed paraffin-embedded sections)", "shortname":"IHC-P"} }, "product-promise": { "all": "all", "testedAndGuaranteed": "tested", "guaranteed": "expected", "predicted": "predicted", "notRecommended": "not-recommended" } }, "values": { "Human": { "IHCP-species-checked": "testedAndGuaranteed", "IHCP-species-dilution-info": "1/500 - 1/1000", "IHCP-species-notes": "<p></p>" }, "Mouse": { "IHCP-species-checked": "predicted", "IHCP-species-dilution-info": "", "IHCP-species-notes": "" }, "Rat": { "IHCP-species-checked": "predicted", "IHCP-species-dilution-info": "", "IHCP-species-notes": "" } } }

Product details

Patented technology
Our RabMAb® technology is a patented hybridoma-based technology for making rabbit monoclonal antibodies. For details on our patents, please refer to RabMAb® patents.

What are the advantages of a recombinant monoclonal antibody?
This product is a recombinant monoclonal antibody, which offers several advantages including:

  • - High batch-to-batch consistency and reproducibility
  • - Improved sensitivity and specificity
  • - Long-term security of supply
  • - Animal-free batch production

For more information, read more on recombinant antibodies.

Properties and storage information

Form
Liquid
Purification technique
Affinity purification Protein A
Storage buffer
pH: 7.2 Preservative: 0.01% Sodium azide Constituents: PBS, 40% Glycerol (glycerin, glycerine), 0.05% BSA
Shipped at conditions
Blue Ice
Appropriate short-term storage duration
1-2 weeks
Appropriate short-term storage conditions
+4°C
Appropriate long-term storage conditions
-20°C
Aliquoting information
Upon delivery aliquot
Storage information
Avoid freeze / thaw cycle

Supplementary information

This supplementary information is collated from multiple sources and compiled automatically.

Claudin 8 also known as CLDN8 is a protein that functions as a critical component of tight junction strands which are integral to maintaining cell-to-cell adhesion. This protein belongs to the claudin family characterized by their role in forming the backbone of tight junctions. Claudin 8 has a molecular mass of approximately 23 kDa. It is expressed in several tissues including the kidney and gastrointestinal tract epithelium where it regulates selective permeability.
Biological function summary

Claudin 8 contributes to the creation and maintenance of the barrier function of epithelial layers. It integrates into tight junction complexes collaborating with other claudins and occludin to establish selective paracellular transport. This organization allows for the regulation of movement of ions and small solutes between cells essential in controlling the internal environment of organs.

Pathways

Research shows Claudin 8 plays a role in epithelial and endothelial cell permeability. It is involved in the calcium signaling pathway and the MAPK (Mitogen-Activated Protein Kinase) pathway both important for cell signaling and response to extracellular stimuli. Within these pathways Claudin 8 interacts with proteins such as ZO-1 (Zonula Occludens-1) to modulate tight junction integrity and function.

Defects or changes in Claudin 8 expression have associations with conditions like hypermagnesemia with seizures and mental retardation as well as certain types of cancer. In these contexts alterations in the protein's function can disrupt normal paracellular transport and contribute to disease pathology. Additionally Claudin 8 also links with occludin another component of tight junctions suggesting that aberrant interactions between these proteins might underpin certain disease processes.

Product protocols

For this product, it's our understanding that no specific protocols are required. You can visit:

Target data

Can associate with other claudins to regulate tight junction structural and functional strand dynamics (By similarity). May coassemble with CLDN4 into tight junction strands containing anion-selective channels that convey paracellular chloride permeability in renal collecting ducts (By similarity) (PubMed : 36008380). Cannot form tight junction strands on its own (PubMed : 36008380).
See full target information CLDN8

Publications (7)

Recent publications for all applications. Explore the full list and refine your search

Frontiers in pharmacology 12:682614 PubMed34867313

2021

Claudins: Beyond Tight Junctions in Human IBD and Murine Models.

Applications

Unspecified application

Species

Unspecified reactive species

Snježana Čužić,Maja Antolić,Anja Ognjenović,Darija Stupin-Polančec,Adriana Petrinić Grba,Boška Hrvačić,Miroslava Dominis Kramarić,Sanja Musladin,Lidija Požgaj,Ivo Zlatar,Denis Polančec,Gorana Aralica,Marko Banić,Marija Urek,Brankica Mijandrušić Sinčić,Aleksandar Čubranić,Ines Glojnarić,Martina Bosnar,Vesna Eraković Haber

Cancer science 111:4276-4287 PubMed32860304

2020

Genetic and epigenetic profiling indicates the proximal tubule origin of renal cancers in end-stage renal disease.

Applications

Unspecified application

Species

Unspecified reactive species

Hiroki Ishihara,Satoshi Yamashita,Yu-Yu Liu,Naoko Hattori,Omar El-Omar,Takashi Ikeda,Hironori Fukuda,Kazuhiko Yoshida,Toshio Takagi,Sekiko Taneda,Tsunenori Kondo,Yoji Nagashima,Kazunari Tanabe,Toshikazu Ushijima

International journal of clinical and experimental pathology 12:2195-2204 PubMed31934042

2019

Identification of claudin-2, -6, -11 and -14 as prognostic markers in human breast carcinoma.

Applications

Unspecified application

Species

Unspecified reactive species

Hongyao Jia,Xin Chai,Sijie Li,Di Wu,Zhimin Fan

Molecular medicine reports 20:393-400 PubMed31115553

2019

Identification of claudin‑1, ‑3, ‑7 and ‑8 as prognostic markers in human laryngeal carcinoma.

Applications

Unspecified application

Species

Unspecified reactive species

Shu Zhou,Xue Piao,Chengyan Wang,Rui Wang,Zhimin Song

Molecular medicine reports 18:1271-1278 PubMed29901188

2018

Differences in the expression profiles of claudin proteins in human gastric carcinoma compared with non‑neoplastic mucosa.

Applications

Unspecified application

Species

Unspecified reactive species

Luoluo Yang,Xun Sun,Xiangwei Meng

Diagnostic pathology 13:11 PubMed29402318

2018

Differences in the expression profiles of claudin proteins in human nasopharyngeal carcinoma compared with non-neoplastic mucosa.

Applications

Unspecified application

Species

Unspecified reactive species

Xiaowei Zhang,Haiming Wang,Qian Li,Yunpeng Liu,Peiqing Zhao,Tao Li

Cancer science 108:1386-1393 PubMed28474805

2017

CLDN8, an androgen-regulated gene, promotes prostate cancer cell proliferation and migration.

Applications

Unspecified application

Species

Human

Daisaku Ashikari,Ken-Ichi Takayama,Daisuke Obinata,Satoru Takahashi,Satoshi Inoue
View all publications

Product promise

We are committed to supporting your work with high-quality reagents, and we're here for you every step of the way. In the unlikely event that one of our products does not perform as expected, you're protected by our Product Promise.
For full details, please see our Terms & Conditions

Please note: All products are 'FOR RESEARCH USE ONLY. NOT FOR USE IN DIAGNOSTIC OR THERAPEUTIC PROCEDURES'.

For licensing inquiries, please contact partnerships@abcam.com