JavaScript is disabled in your browser. Please enable JavaScript to view this website.
AB314690

Anti-Claudin18 antibody [43-14A]

  • BOND RX™ Validated
  • 20ul selling size
  • Recombinant
  • What is this?

Be the first to review this product! Submit a review

|

(2 Publications)

Anti-Claudin18 antibody [43-14A] (ab314690) is a mouse monoclonal antibody detecting Claudin18 in IHC-P. Suitable for Human.

View Alternative Names

UNQ778/PRO1572, CLDN18, Claudin-18

4 Images
Immunohistochemistry (Formalin/PFA-fixed paraffin-embedded sections) - Anti-Claudin18 antibody [43-14A] (AB314690)
  • IHC-P

Supplier Data

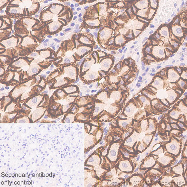
Immunohistochemistry (Formalin/PFA-fixed paraffin-embedded sections) - Anti-Claudin18 antibody [43-14A] (AB314690)

Immunohistochemical analysis of paraffin-embedded human gastric adenocarcinoma tissue labeling Claudin18 with ab314690 at 1/5000 (0.2096 ug/ml) dilution, followed by a ready to use LeicaDS9800 (Bond™ Polymer Refine Detection). Positive staining on human gastric adenocarcinoma. The section was incubated with ab314690 for 15 mins at room temperature. The immunostaining was performed on a Leica Biosystems BOND® RX instrument. Counterstained with Hematoxylin. Secondary antibody only control : Secondary antibody is a ready to use LeicaDS9800 (Bond™ Polymer Refine Detection). Heat mediated antigen retrieval was performed with Tris-EDTA buffer (pH 9.0, Epitope Retrieval Solution2) for 20 mins.

Immunohistochemistry (Formalin/PFA-fixed paraffin-embedded sections) - Anti-Claudin18 antibody [43-14A] (AB314690)
  • IHC-P

Supplier Data

Immunohistochemistry (Formalin/PFA-fixed paraffin-embedded sections) - Anti-Claudin18 antibody [43-14A] (AB314690)

Immunohistochemical analysis of paraffin-embedded (A) HEK-293T (human embryonic kidney epithelial cell) transfected with a Claudin18.2 expression vector containing a His tag. (B) HEK-293T transfected with a Claudin18.1 expression vector containing a His tag. (C) HEK-293T transfected with empty vector containing a His tag. tissue labeling Claudin18 with ab314690 at 1/10000 (0.105 ug/ml) dilution, followed by a ready to use LeicaDS9800 (Bond™ Polymer Refine Detection). Positive staining on (A) HEK-293T transfected with a Claudin18.2 expression vector containing a His tag and (B) HEK-293T transfected with a Claudin18.1 expression vector containing a His tag. No staining on (C) HEK-293T transfected with empty vector containing a His tag. The section was incubated with ab314690 for 15 mins at room temperature. The immunostaining was performed on a Leica Biosystems BOND® RX instrument. Counterstained with Hematoxylin. Secondary antibody only control : Secondary antibody is a ready to use LeicaDS9800 (Bond™ Polymer Refine Detection). Heat mediated antigen retrieval was performed with Tris-EDTA buffer (pH 9.0, Epitope Retrieval Solution2) for 20 mins.

Immunohistochemistry (Formalin/PFA-fixed paraffin-embedded sections) - Anti-Claudin18 antibody [43-14A] (AB314690)
  • IHC-P

Supplier Data

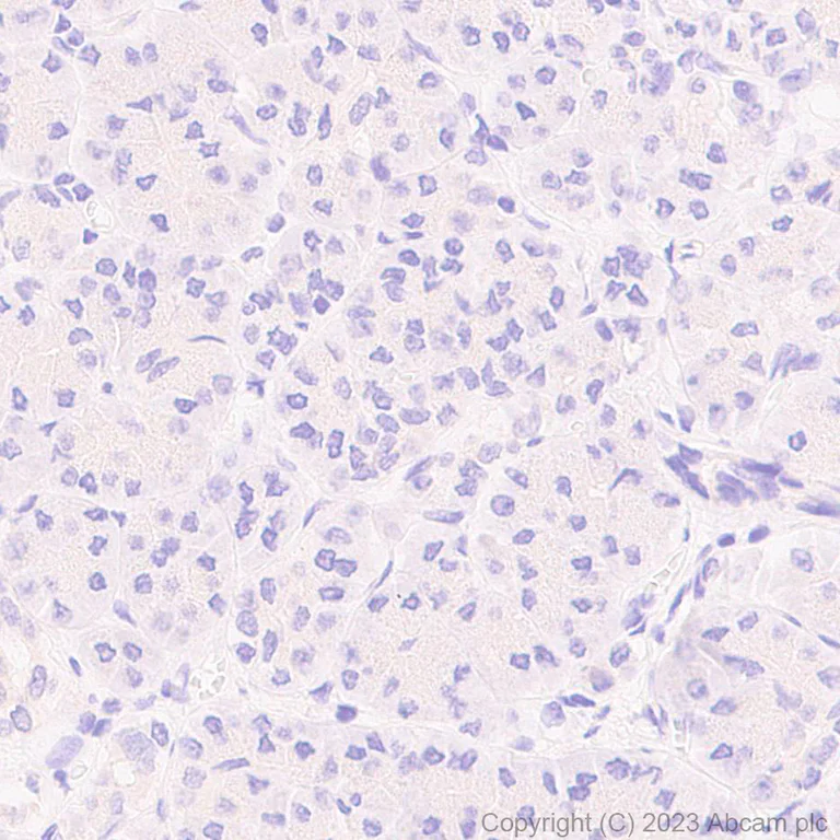
Immunohistochemistry (Formalin/PFA-fixed paraffin-embedded sections) - Anti-Claudin18 antibody [43-14A] (AB314690)

Immunohistochemical analysis of paraffin-embedded human pancreas tissue labeling Claudin18 with ab314690 at 1/5000 (0.2096 ug/ml) dilution, followed by a ready to use LeicaDS9800 (Bond™ Polymer Refine Detection). Negative control : no staining on human pancreas. The section was incubated with ab314690 for 15 mins at room temperature. The immunostaining was performed on a Leica Biosystems BOND® RX instrument. Counterstained with Hematoxylin. Secondary antibody only control : Secondary antibody is a ready to use LeicaDS9800 (Bond™ Polymer Refine Detection). Heat mediated antigen retrieval was performed with Tris-EDTA buffer (pH 9.0, Epitope Retrieval Solution2) for 20 mins.

Immunohistochemistry (Formalin/PFA-fixed paraffin-embedded sections) - Anti-Claudin18 antibody [43-14A] (AB314690)
  • IHC-P

Supplier Data

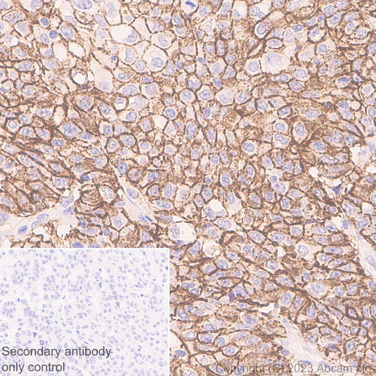
Immunohistochemistry (Formalin/PFA-fixed paraffin-embedded sections) - Anti-Claudin18 antibody [43-14A] (AB314690)

Immunohistochemical analysis of paraffin-embedded human stomach tissue labeling Claudin18 with ab314690 at 1/5000 (0.2096 ug/ml) dilution, followed by a ready to use LeicaDS9800 (Bond™ Polymer Refine Detection). Positive staining on human stomach. The section was incubated with ab314690 for 15 mins at room temperature. The immunostaining was performed on a Leica Biosystems BOND® RX instrument. Counterstained with Hematoxylin. Secondary antibody only control : Secondary antibody is a ready to use LeicaDS9800 (Bond™ Polymer Refine Detection). Heat mediated antigen retrieval was performed with Tris-EDTA buffer (pH 9.0, Epitope Retrieval Solution2) for 20 mins.

  • Carrier free

    Anti-Claudin18 antibody [43-14A] - BSA and Azide free

Key facts

Host species

Mouse

Clonality

Monoclonal

Clone number

43-14A

Isotype

IgG2b

Carrier free

No

Reacts with

Human

Applications

IHC-P

applications

Immunogen

The exact immunogen used to generate this antibody is proprietary information.

Specificity

Cross-reactivity has been checked and this antibody might cross with Claudin18.1 and Claudin18.2.
The human gene CLDN18 has two protein isoforms, Claudin 18.1 and Claudin 18.2. The two isoforms differ within the N-terminal 69 amino acids. Claudin 18.1 expression is restricted to the lung. In contrast Claudin 18.2 expression is restricted to the stomach.

Reactivity data

{ "title": "Reactivity Data", "filters": { "stats": ["", "Species", "Dilution Info", "Notes"], "tabs": { "all-applications": {"fullname" : "All Applications", "shortname": "All Applications"}, "IHCP" : {"fullname" : "Immunohistochemistry (Formalin/PFA-fixed paraffin-embedded sections)", "shortname":"IHC-P"} }, "product-promise": { "all": "all", "testedAndGuaranteed": "tested", "guaranteed": "expected", "predicted": "predicted", "notRecommended": "not-recommended" } }, "values": { "Human": { "IHCP-species-checked": "testedAndGuaranteed", "IHCP-species-dilution-info": "1/5000", "IHCP-species-notes": "<p></p> Perform heat-mediated antigen retrieval with Tris/EDTA buffer pH 9.0 before commencing with IHC staining protocol." }, "Transfected cell line - Human": { "IHCP-species-checked": "testedAndGuaranteed", "IHCP-species-dilution-info": "1/10000", "IHCP-species-notes": "<p></p> Perform heat-mediated antigen retrieval with Tris/EDTA buffer pH 9.0 before commencing with IHC staining protocol." } } }

Product details

Product Specifications

Anti-Claudin18 antibody [43-14A] (ab314690) is a mouse recombinant monoclonal antibody and is validated for use in in human samples.
Anti-Claudin18 antibody [43-14A] (ab314690) specifically detects Claudin18 (UniProt ID: P56856; Molecular weight: 28kDa) and is sold in a convenient trial size to enable initial testing (20 µL) and larger sizes for subsequent scaling up experiments (50 µL).

Quality and Validation

Abcam's high quality manufacturing and validation processes ensure Anti-Claudin18 antibody [43-14A] (ab314690) has high sensitivity and specificity alongside high lot-to-lot consistency and reproducibility.


Related Products

Conjugation-ready, carrier free format available for antibody clone 43-14A - ab314691.

Target Information

Claudin-18 is a protein encoded by the CLDN18 gene. It belongs to the claudin family, which forms tight junction strands in epithelial cells. Claudin-18 plays a crucial role in maintaining the integrity of these cell junctions, which are essential for various physiological processes. Disruption of these junctions can lead to increased cancer invasiveness and metastasis. Claudin 18 is a key marker in oncology due to its role in cancer progression.

What are the advantages of a recombinant monoclonal antibody?
This product is a recombinant monoclonal antibody, which offers several advantages including:

  • - High batch-to-batch consistency and reproducibility
  • - Improved sensitivity and specificity
  • - Long-term security of supply
  • - Animal-free batch production

For more information, read more on recombinant antibodies.

Want a custom formulation?
This antibody clone is manufactured by Abcam. If you require a custom buffer formulation or conjugation for your experiments, please contact orders@abcam.com

Properties and storage information

Form
Liquid
Purification technique
Affinity purification Protein A
Storage buffer
pH: 7.2 - 7.4 Preservative: 0.01% Sodium azide Constituents: PBS, 40% Glycerol (glycerin, glycerine), 0.05% BSA
Shipped at conditions
Blue Ice
Appropriate short-term storage duration
1-2 weeks
Appropriate short-term storage conditions
+4°C
Appropriate long-term storage conditions
-20°C
Aliquoting information
Upon delivery aliquot
Storage information
Avoid freeze / thaw cycle

Supplementary information

This supplementary information is collated from multiple sources and compiled automatically.

Claudin-18 often noted as Claudin18 or CLDN18 is a tight junction protein belonging to the Claudin family. The protein comes in different isoforms including Claudin 18.2 each having a distinct function and expression pattern. With an estimated molecular mass of approximately 24 kDa it is mainly expressed in epithelial cells of the stomach and specific lung epithelia. Researchers utilize it frequently in immunohistochemistry (IHC) studies often referred to as CLDN18 IHC for its role in maintaining cell-to-cell adhesion in these tissues.
Biological function summary

Claudin-18.2 integrates itself into a tight junction complex contributing to the selective permeability barrier in epithelial tissues. This barrier is essential for maintaining tissue homeostasis and protecting underlying tissue from various external factors. It plays a significant role in ion selectivity and barrier assurance of the epithelial cells-gastrointestinal site especially. The regulated expression and function of Claudin 18 are critical for effective epithelial barrier function.

Pathways

Claudin-18 is involved in pathways concerning epithelial morphogenesis and integrity. It aligns with occludins and other claudins to control paracellular transport and cellular integrity within these pathways. Through its association with proteins such as ZO-1 Claudin-18 ensures proper cell signaling and tight junction formation. Its regulation in epithelial cells contributes significantly to pathways that sustain cell structure and prevent uncontrolled leakage of solutes.

The altered expression of Claudin-18.2 is closely linked to gastric and lung cancers. Abnormal levels can disrupt the epithelial barrier contributing to tumor progression and metastasis. In gastric cancer altered Claudin-18 couples with overexpression of other proteins such as HER2 playing a role in the disease's aggressiveness. Researchers consider it a potential target for therapeutic interventions making Claudin-18.2 purchase or acquisition relevant for studies oriented toward cancer diagnostics and treatment.

Product protocols

For this product, it's our understanding that no specific protocols are required. You can visit:

Target data

The protein expressed by the gene CLDN18 plays a major role in the tight junction-specific obliteration of the intercellular space through calcium-independent cell-adhesion activity. This supplementary information is collated from multiple sources and compiled automatically.
See full target information CLDN18

Publications (2)

Recent publications for all applications. Explore the full list and refine your search

Clinical cancer research : an official journal of the American Association for Cancer Research 14:7624-34 PubMed19047087

2008

Claudin-18 splice variant 2 is a pan-cancer target suitable for therapeutic antibody development.

Applications

Unspecified application

Species

Unspecified reactive species

Ugur Sahin,Michael Koslowski,Karl Dhaene,Dirk Usener,Gunda Brandenburg,Gerhard Seitz,Christoph Huber,Ozlem Türeci

Clinical cancer research : an official journal of the American Association for Cancer Research 14:7635-44 PubMed19047088

2008

Perilobar nephrogenic rests are nonobligate molecular genetic precursor lesions of insulin-like growth factor-II-associated Wilms tumors.

Applications

Unspecified application

Species

Unspecified reactive species

Raisa Vuononvirta,Neil J Sebire,Anthony R Dallosso,Jorge S Reis-Filho,Richard D Williams,Alan Mackay,Kerry Fenwick,Anita Grigoriadis,Alan Ashworth,Kathy Pritchard-Jones,Keith W Brown,Gordan M Vujanic,Chris Jones
View all publications
websiteProtocolBooklet
en
websiteProtocolBooklet
en
websiteProtocolBooklet
en

Product promise

We are committed to supporting your work with high-quality reagents, and we're here for you every step of the way. In the unlikely event that one of our products does not perform as expected, you're protected by our Product Promise.
For full details, please see our Terms & Conditions

Please note: All products are 'FOR RESEARCH USE ONLY. NOT FOR USE IN DIAGNOSTIC OR THERAPEUTIC PROCEDURES'.

For licensing inquiries, please contact partnerships@abcam.com