JavaScript is disabled in your browser. Please enable JavaScript to view this website.
AB230179

Anti-Claudin18 antibody

Be the first to review this product! Submit a review

|

(1 Publication)

Rabbit Polyclonal Claudin 18 antibody. Suitable for WB, IHC-P and reacts with Rat, Human samples. Cited in 1 publication. Immunogen corresponding to Recombinant Fragment Protein within Human CLDN18 aa 1-100.

View Alternative Names

UNQ778/PRO1572, CLDN18, Claudin-18

2 Images
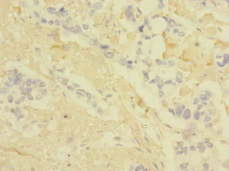
Immunohistochemistry (Formalin/PFA-fixed paraffin-embedded sections) - Anti-Claudin18 antibody (AB230179)
  • IHC-P

Supplier Data

Immunohistochemistry (Formalin/PFA-fixed paraffin-embedded sections) - Anti-Claudin18 antibody (AB230179)

Paraffin-embedded human pancreatic cancer tissue stained for Claudin18 with ab230179 at 1/100 dilution in immunohistochemical analysis.

Western blot - Anti-Claudin18 antibody (AB230179)
  • WB

Supplier Data

Western blot - Anti-Claudin18 antibody (AB230179)

All lanes:

Western blot - Anti-Claudin18 antibody (ab230179) at 1/1000 dilution

All lanes:

Rat heart tissue lysate

Secondary

All lanes:

Goat polyclonal to rabbit IgG at 1/10000 dilution

Predicted band size: 28 kDa

Observed band size: 28 kDa

true

Key facts

Host species

Rabbit

Clonality

Polyclonal

Isotype

IgG

Carrier free

No

Reacts with

Rat, Human

Applications

IHC-P, WB

applications

Immunogen

Recombinant Fragment Protein within Human CLDN18 aa 1-100. The exact immunogen used to generate this antibody is proprietary information.

P56856

Reactivity data

{ "title": "Reactivity Data", "filters": { "stats": ["", "Species", "Dilution Info", "Notes"], "tabs": { "all-applications": {"fullname" : "All Applications", "shortname": "All Applications"}, "WB" : {"fullname" : "Western blot", "shortname":"WB"}, "IHCP" : {"fullname" : "Immunohistochemistry (Formalin/PFA-fixed paraffin-embedded sections)", "shortname":"IHC-P"} }, "product-promise": { "all": "all", "testedAndGuaranteed": "tested", "guaranteed": "expected", "predicted": "predicted", "notRecommended": "not-recommended" } }, "values": { "Human": { "WB-species-checked": "guaranteed", "WB-species-dilution-info": "", "WB-species-notes": "", "IHCP-species-checked": "testedAndGuaranteed", "IHCP-species-dilution-info": "1/20 - 1/200", "IHCP-species-notes": "<p></p>" }, "Rat": { "WB-species-checked": "testedAndGuaranteed", "WB-species-dilution-info": "1/1000 - 1/5000", "WB-species-notes": "<p></p>", "IHCP-species-checked": "guaranteed", "IHCP-species-dilution-info": "", "IHCP-species-notes": "" } } }

Properties and storage information

Form
Liquid
Purification technique
Affinity purification Immunogen
Storage buffer
pH: 7.3 Preservative: 0.02% Sodium azide Constituents: PBS, 50% Glycerol (glycerin, glycerine)
Shipped at conditions
Blue Ice
Appropriate short-term storage duration
1-2 weeks
Appropriate short-term storage conditions
+4°C
Appropriate long-term storage conditions
-20°C
Aliquoting information
Upon delivery aliquot
Storage information
Avoid freeze / thaw cycle

Supplementary information

This supplementary information is collated from multiple sources and compiled automatically.

Claudin-18 often noted as Claudin18 or CLDN18 is a tight junction protein belonging to the Claudin family. The protein comes in different isoforms including Claudin 18.2 each having a distinct function and expression pattern. With an estimated molecular mass of approximately 24 kDa it is mainly expressed in epithelial cells of the stomach and specific lung epithelia. Researchers utilize it frequently in immunohistochemistry (IHC) studies often referred to as CLDN18 IHC for its role in maintaining cell-to-cell adhesion in these tissues.
Biological function summary

Claudin-18.2 integrates itself into a tight junction complex contributing to the selective permeability barrier in epithelial tissues. This barrier is essential for maintaining tissue homeostasis and protecting underlying tissue from various external factors. It plays a significant role in ion selectivity and barrier assurance of the epithelial cells-gastrointestinal site especially. The regulated expression and function of Claudin 18 are critical for effective epithelial barrier function.

Pathways

Claudin-18 is involved in pathways concerning epithelial morphogenesis and integrity. It aligns with occludins and other claudins to control paracellular transport and cellular integrity within these pathways. Through its association with proteins such as ZO-1 Claudin-18 ensures proper cell signaling and tight junction formation. Its regulation in epithelial cells contributes significantly to pathways that sustain cell structure and prevent uncontrolled leakage of solutes.

The altered expression of Claudin-18.2 is closely linked to gastric and lung cancers. Abnormal levels can disrupt the epithelial barrier contributing to tumor progression and metastasis. In gastric cancer altered Claudin-18 couples with overexpression of other proteins such as HER2 playing a role in the disease's aggressiveness. Researchers consider it a potential target for therapeutic interventions making Claudin-18.2 purchase or acquisition relevant for studies oriented toward cancer diagnostics and treatment.

Product protocols

For this product, it's our understanding that no specific protocols are required. You can visit:

Target data

The protein expressed by the gene CLDN18 plays a major role in the tight junction-specific obliteration of the intercellular space through calcium-independent cell-adhesion activity. This supplementary information is collated from multiple sources and compiled automatically.
See full target information CLDN18

Publications (1)

Recent publications for all applications. Explore the full list and refine your search

Journal of molecular medicine (Berlin, Germany) 97:1477-1489 PubMed31399750

2019

Substance P induces fibrotic changes through activation of the RhoA/ROCK pathway in an in vitro human corneal fibrosis model.

Applications

Unspecified application

Species

Unspecified reactive species

Marta Słoniecka,Patrik Danielson
View all publications

Product promise

We are committed to supporting your work with high-quality reagents, and we're here for you every step of the way. In the unlikely event that one of our products does not perform as expected, you're protected by our Product Promise.
For full details, please see our Terms & Conditions

Please note: All products are 'FOR RESEARCH USE ONLY. NOT FOR USE IN DIAGNOSTIC OR THERAPEUTIC PROCEDURES'.

For licensing inquiries, please contact partnerships@abcam.com