JavaScript is disabled in your browser. Please enable JavaScript to view this website.
AB154798

Anti-ClC-2 antibody [EPR6492(2)]

4

(1 Review)

|

(2 Publications)

Rabbit Recombinant Monoclonal ClC-2 antibody. Suitable for IHC-P, WB and reacts with Human, Mouse, Rat samples. Cited in 2 publications.

View Alternative Names

Chloride channel protein 2, ClC-2, CLCN2

3 Images
Western blot - Anti-ClC-2 antibody [EPR6492(2)] (AB154798)
  • WB

Unknown

Western blot - Anti-ClC-2 antibody [EPR6492(2)] (AB154798)

All lanes:

Western blot - Anti-ClC-2 antibody [EPR6492(2)] (ab154798) at 1/1000 dilution

Lane 1:

HT29 cell lysate at 10 µg

Lane 2:

HeLa cell lysate at 10 µg

Predicted band size: 99 kDa

false

Western blot - Anti-ClC-2 antibody [EPR6492(2)] (AB154798)
  • WB

Unknown

Western blot - Anti-ClC-2 antibody [EPR6492(2)] (AB154798)

All lanes:

Western blot - Anti-ClC-2 antibody [EPR6492(2)] (ab154798) at 1/1000 dilution

Lane 1:

mouse brain lysate at 10 µg

Lane 2:

mouse heart lysate at 10 µg

Lane 3:

mouse kidney lysate at 10 µg

Lane 4:

mouse spleen lysate at 10 µg

Lane 5:

rat kidney lysate at 10 µg

Lane 6:

rat spleen lysate at 10 µg

Predicted band size: 99 kDa

false

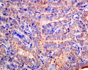
Immunohistochemistry (Formalin/PFA-fixed paraffin-embedded sections) - Anti-ClC-2 antibody [EPR6492(2)] (AB154798)
  • IHC-P

Unknown

Immunohistochemistry (Formalin/PFA-fixed paraffin-embedded sections) - Anti-ClC-2 antibody [EPR6492(2)] (AB154798)

Immunohistochemical analysis of paraffin-embedded Human thyroid gland carcinoma tissue labeling ClC-2 with ab154798 at 1/50 dilution.

Perform heat mediated antigen retrieval before commencing with IHC staining protocol.

  • Carrier free

    Anti-ClC-2 antibody [EPR6492(2)] - BSA and Azide free

Key facts

Host species

Rabbit

Clonality

Monoclonal

Clone number

EPR6492(2)

Isotype

IgG

Carrier free

No

Reacts with

Mouse, Rat, Human

Applications

IHC-P, WB

applications

Immunogen

The exact immunogen used to generate this antibody is proprietary information.

Reactivity data

{ "title": "Reactivity Data", "filters": { "stats": ["", "Species", "Dilution Info", "Notes"], "tabs": { "all-applications": {"fullname" : "All Applications", "shortname": "All Applications"}, "IHCP" : {"fullname" : "Immunohistochemistry (Formalin/PFA-fixed paraffin-embedded sections)", "shortname":"IHC-P"}, "IP" : {"fullname" : "Immunoprecipitation", "shortname":"IP"}, "FlowCyt" : {"fullname" : "Flow Cytometry", "shortname":"Flow Cyt"}, "WB" : {"fullname" : "Western blot", "shortname":"WB"}, "ICCIF" : {"fullname" : "Immunocytochemistry/ Immunofluorescence", "shortname":"ICC/IF"} }, "product-promise": { "all": "all", "testedAndGuaranteed": "tested", "guaranteed": "expected", "predicted": "predicted", "notRecommended": "not-recommended" } }, "values": { "Human": { "IHCP-species-checked": "testedAndGuaranteed", "IHCP-species-dilution-info": "1/50 - 1/100", "IHCP-species-notes": "<p></p> Perform heat-mediated antigen retrieval before commencing with IHC staining protocol.", "IP-species-checked": "notRecommended", "IP-species-dilution-info": "", "IP-species-notes": "<p></p>", "FlowCyt-species-checked": "notRecommended", "FlowCyt-species-dilution-info": "", "FlowCyt-species-notes": "<p></p>", "WB-species-checked": "testedAndGuaranteed", "WB-species-dilution-info": "1/1000 - 1/10000", "WB-species-notes": "<p></p>", "ICCIF-species-checked": "notRecommended", "ICCIF-species-dilution-info": "", "ICCIF-species-notes": "<p></p>" }, "Mouse": { "IHCP-species-checked": "guaranteed", "IHCP-species-dilution-info": "", "IHCP-species-notes": "", "IP-species-checked": "notRecommended", "IP-species-dilution-info": "", "IP-species-notes": "<p></p>", "FlowCyt-species-checked": "notRecommended", "FlowCyt-species-dilution-info": "", "FlowCyt-species-notes": "<p></p>", "WB-species-checked": "testedAndGuaranteed", "WB-species-dilution-info": "1/1000 - 1/10000", "WB-species-notes": "<p></p>", "ICCIF-species-checked": "notRecommended", "ICCIF-species-dilution-info": "", "ICCIF-species-notes": "<p></p>" }, "Rat": { "IHCP-species-checked": "guaranteed", "IHCP-species-dilution-info": "", "IHCP-species-notes": "", "IP-species-checked": "notRecommended", "IP-species-dilution-info": "", "IP-species-notes": "<p></p>", "FlowCyt-species-checked": "notRecommended", "FlowCyt-species-dilution-info": "", "FlowCyt-species-notes": "<p></p>", "WB-species-checked": "testedAndGuaranteed", "WB-species-dilution-info": "1/1000 - 1/10000", "WB-species-notes": "<p></p>", "ICCIF-species-checked": "notRecommended", "ICCIF-species-dilution-info": "", "ICCIF-species-notes": "<p></p>" } } }

Product details

Patented technology
Our RabMAb® technology is a patented hybridoma-based technology for making rabbit monoclonal antibodies. For details on our patents, please refer to RabMAb® patents.

What are the advantages of a recombinant monoclonal antibody?
This product is a recombinant monoclonal antibody, which offers several advantages including:

  • - High batch-to-batch consistency and reproducibility
  • - Improved sensitivity and specificity
  • - Long-term security of supply
  • - Animal-free batch production

For more information, read more on recombinant antibodies.

Properties and storage information

Form
Liquid
Purification technique
Affinity purification Protein A
Storage buffer
pH: 7.2 - 7.4 Preservative: 0.01% Sodium azide Constituents: 50% Tissue culture supernatant, 40% Glycerol (glycerin, glycerine), 9% PBS, 0.05% BSA
Shipped at conditions
Blue Ice
Appropriate short-term storage conditions
+4°C
Appropriate long-term storage conditions
-20°C

Supplementary information

This supplementary information is collated from multiple sources and compiled automatically.

ClC-2 or chloride channel 2 is a voltage-gated chloride channel found in the cell membranes. It belongs to the CLC family of chloride channels and transporters weighing approximately 97 kDa. The expression of ClC-2 can be seen in various tissues throughout the body with high levels observed in the brain and intestinal epithelial cells. ClC-2 functions mechanically by facilitating the passive flow of chloride ions across the cell membrane therefore influencing the membrane potential and cellular excitability.
Biological function summary

Chloride channel 2 plays an important role in maintaining cell volume and electrical stability. By regulating the flow of ions ClC-2 supports processes such as signal transmission in neurons and hydration in the bowel. While not directly part of a larger complex its function is influenced by interactions with other membrane proteins which help modulate its activity under different physiological conditions.

Pathways

Chloride channel 2 is involved in cellular processes including the epithelial transport of ions and neuronal signaling pathways. Within the gastrointestinal tract ClC-2 participates in the signaling pathway that maintains fluid balance and absorption. It also interacts with proteins like CFTR to ensure proper ion transport which is particularly important under conditions that stimulate chloride secretion.

Chloride channel 2 has been associated with conditions such as epilepsy and chloride diarrhea. Mutations or dysregulation of ClC-2 can lead to defective ion homeostasis. In epilepsy abnormal ClC-2 function may contribute to neuronal hyperexcitability. Furthermore the relationship between ClC-2 and CFTR is implicated in chloride diarrhea where impaired chloride transport affects intestinal fluid secretion.

Product protocols

For this product, it's our understanding that no specific protocols are required. You can visit:

Target data

Voltage-gated and osmosensitive chloride channel. Forms a homodimeric channel where each subunit has its own ion conduction pathway. Conducts double-barreled currents controlled by two types of gates, two fast glutamate gates that control each subunit independently and a slow common gate that opens and shuts off both subunits simultaneously. Displays inward rectification currents activated upon membrane hyperpolarization and extracellular hypotonicity (PubMed : 16155254, PubMed : 17567819, PubMed : 19191339, PubMed : 23632988, PubMed : 29403011, PubMed : 29403012, PubMed : 36964785, PubMed : 38345841). Contributes to chloride conductance involved in neuron excitability. In hippocampal neurons, generates a significant part of resting membrane conductance and provides an additional chloride efflux pathway to prevent chloride accumulation in dendrites upon GABA receptor activation. In glia, associates with the auxiliary subunit HEPACAM/GlialCAM at astrocytic processes and myelinated fiber tracts where it may regulate transcellular chloride flux buffering extracellular chloride and potassium concentrations (PubMed : 19191339, PubMed : 22405205, PubMed : 23707145). Regulates aldosterone production in adrenal glands. The opening of CLCN2 channels at hyperpolarized membrane potentials in the glomerulosa causes cell membrane depolarization, activation of voltage-gated calcium channels and increased expression of aldosterone synthase, the rate-limiting enzyme for aldosterone biosynthesis (PubMed : 29403011, PubMed : 29403012). Contributes to chloride conductance in retinal pigment epithelium involved in phagocytosis of shed photoreceptor outer segments and photoreceptor renewal (PubMed : 36964785). Conducts chloride currents at the basolateral membrane of epithelial cells with a role in chloride reabsorption rather than secretion (By similarity) (PubMed : 16155254). Permeable to small monovalent anions with chloride > thiocyanate > bromide > nitrate > iodide ion selectivity (By similarity) (PubMed : 29403012).
See full target information CLCN2

Publications (2)

Recent publications for all applications. Explore the full list and refine your search

Bioscience, biotechnology, and biochemistry 84:2096-2103 PubMed32657644

2020

ClC-2 inhibition prevents macrophage foam cell formation by suppressing Nlrp3 inflammasome activation.

Applications

Unspecified application

Species

Unspecified reactive species

Wenyuan Ding,Jiamin Li,Lili Wang,Mingming Zhang,Fei Zheng

International journal of molecular sciences 17: PubMed27294913

2016

The CLC-2 Chloride Channel Modulates ECM Synthesis, Differentiation, and Migration of Human Conjunctival Fibroblasts via the PI3K/Akt Signaling Pathway.

Applications

WB

Species

Human

Lixia Sun,Yaru Dong,Jing Zhao,Yuan Yin,Yajuan Zheng
View all publications

Product promise

We are committed to supporting your work with high-quality reagents, and we're here for you every step of the way. In the unlikely event that one of our products does not perform as expected, you're protected by our Product Promise.
For full details, please see our Terms & Conditions

Please note: All products are 'FOR RESEARCH USE ONLY. NOT FOR USE IN DIAGNOSTIC OR THERAPEUTIC PROCEDURES'.

For licensing inquiries, please contact partnerships@abcam.com