JavaScript is disabled in your browser. Please enable JavaScript to view this website.
AB174319

Anti-CLCA1 antibody [EPR12254]

4

(1 Review)

|

(1 Publication)

Rabbit Recombinant Monoclonal CLCA1 antibody. Suitable for IHC-P, IP, WB and reacts with Human samples. Cited in 1 publication.

View Alternative Names

CACC1, CLCA1, Calcium-activated chloride channel regulator 1, Calcium-activated chloride channel family member 1, Calcium-activated chloride channel protein 1, hCLCA1, CaCC-1, hCaCC-1

3 Images
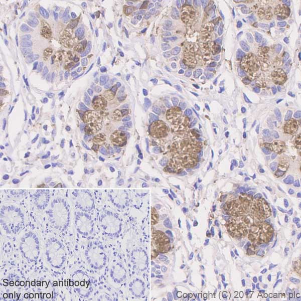
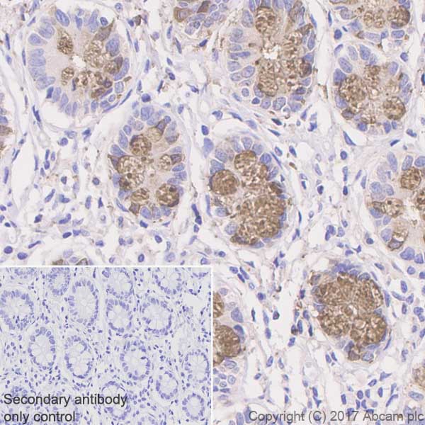
Immunohistochemistry (Formalin/PFA-fixed paraffin-embedded sections) - Anti-CLCA1 antibody [EPR12254] (AB174319)
  • IHC-P

Supplier Data

Immunohistochemistry (Formalin/PFA-fixed paraffin-embedded sections) - Anti-CLCA1 antibody [EPR12254] (AB174319)

Immunohistochemical analysis of paraffin-embedded Human colon tissue labeling CLCA1 with ab174319 at 1/100 dilution.

Perform heat mediated antigen retrieval before commencing with IHC staining protocol.

Immunoprecipitation - Anti-CLCA1 antibody [EPR12254] (AB174319)
  • IP

Supplier Data

Immunoprecipitation - Anti-CLCA1 antibody [EPR12254] (AB174319)

Western blot analysis on immunoprecipitation pellet from Human colon cancer lysate using ab174319 at 1/10 dilution.

All lanes:

Immunoprecipitation - Anti-CLCA1 antibody [EPR12254] (ab174319)

Predicted band size: 100 kDa

false

Western blot - Anti-CLCA1 antibody [EPR12254] (AB174319)
  • WB

Supplier Data

Western blot - Anti-CLCA1 antibody [EPR12254] (AB174319)

All lanes:

Western blot - Anti-CLCA1 antibody [EPR12254] (ab174319) at 1/10000 dilution

Lane 1:

Human colon cancer lysate at 10 µg

Lane 2:

Human small intestine lysate at 10 µg

Secondary

All lanes:

Goat anti-rabbit HRP at 1/2000 dilution

Predicted band size: 100 kDa

false

  • Carrier free

    Anti-CLCA1 antibody [EPR12254] - BSA and Azide free

Key facts

Host species

Rabbit

Clonality

Monoclonal

Clone number

EPR12254

Isotype

IgG

Carrier free

No

Reacts with

Human

Applications

WB, IHC-P, IP

applications

Immunogen

The exact immunogen used to generate this antibody is proprietary information.

Reactivity data

{ "title": "Reactivity Data", "filters": { "stats": ["", "Species", "Dilution Info", "Notes"], "tabs": { "all-applications": {"fullname" : "All Applications", "shortname": "All Applications"}, "IHCP" : {"fullname" : "Immunohistochemistry (Formalin/PFA-fixed paraffin-embedded sections)", "shortname":"IHC-P"}, "IP" : {"fullname" : "Immunoprecipitation", "shortname":"IP"}, "WB" : {"fullname" : "Western blot", "shortname":"WB"}, "ICCIF" : {"fullname" : "Immunocytochemistry/ Immunofluorescence", "shortname":"ICC/IF"} }, "product-promise": { "all": "all", "testedAndGuaranteed": "tested", "guaranteed": "expected", "predicted": "predicted", "notRecommended": "not-recommended" } }, "values": { "Human": { "IHCP-species-checked": "testedAndGuaranteed", "IHCP-species-dilution-info": "1/250 - 1/500", "IHCP-species-notes": "<p></p>", "IP-species-checked": "testedAndGuaranteed", "IP-species-dilution-info": "1/10 - 1/100", "IP-species-notes": "<p></p>", "WB-species-checked": "testedAndGuaranteed", "WB-species-dilution-info": "1/10000 - 1/50000", "WB-species-notes": "<p></p>", "ICCIF-species-checked": "notRecommended", "ICCIF-species-dilution-info": "", "ICCIF-species-notes": "<p></p>" }, "Mouse": { "IHCP-species-checked": "notRecommended", "IHCP-species-dilution-info": "1/250 - 1/500", "IHCP-species-notes": "<p></p>", "IP-species-checked": "notRecommended", "IP-species-dilution-info": "1/10 - 1/100", "IP-species-notes": "<p></p>", "WB-species-checked": "notRecommended", "WB-species-dilution-info": "1/10000 - 1/50000", "WB-species-notes": "<p></p>", "ICCIF-species-checked": "notRecommended", "ICCIF-species-dilution-info": "", "ICCIF-species-notes": "<p></p>" }, "Rat": { "IHCP-species-checked": "notRecommended", "IHCP-species-dilution-info": "1/250 - 1/500", "IHCP-species-notes": "<p></p>", "IP-species-checked": "notRecommended", "IP-species-dilution-info": "1/10 - 1/100", "IP-species-notes": "<p></p>", "WB-species-checked": "notRecommended", "WB-species-dilution-info": "1/10000 - 1/50000", "WB-species-notes": "<p></p>", "ICCIF-species-checked": "notRecommended", "ICCIF-species-dilution-info": "", "ICCIF-species-notes": "<p></p>" } } }

Product details

Patented technology
Our RabMAb® technology is a patented hybridoma-based technology for making rabbit monoclonal antibodies. For details on our patents, please refer to RabMAb® patents.

What are the advantages of a recombinant monoclonal antibody?
This product is a recombinant monoclonal antibody, which offers several advantages including:

  • - High batch-to-batch consistency and reproducibility
  • - Improved sensitivity and specificity
  • - Long-term security of supply
  • - Animal-free batch production

For more information, read more on recombinant antibodies.

Properties and storage information

Form
Liquid
Purification technique
Affinity purification Protein A
Storage buffer
pH: 7.2 - 7.4 Preservative: 0.01% Sodium azide Constituents: PBS, 50% Tissue culture supernatant, 40% Glycerol (glycerin, glycerine), 0.05% BSA
Shipped at conditions
Blue Ice
Appropriate short-term storage duration
1-2 weeks
Appropriate short-term storage conditions
+4°C
Appropriate long-term storage conditions
-20°C
Aliquoting information
Upon delivery aliquot
Storage information
Avoid freeze / thaw cycle

Product protocols

For this product, it's our understanding that no specific protocols are required. You can visit:

Target data

May be involved in mediating calcium-activated chloride conductance. May play critical roles in goblet cell metaplasia, mucus hypersecretion, cystic fibrosis and AHR. May be involved in the regulation of mucus production and/or secretion by goblet cells. Involved in the regulation of tissue inflammation in the innate immune response. May play a role as a tumor suppressor. Induces MUC5AC.
See full target information CLCA1

Publications (1)

Recent publications for all applications. Explore the full list and refine your search

Nature communications 16:4652 PubMed40389477

2025

Dual Ribosome Profiling reveals metabolic limitations of cancer and stromal cells in the tumor microenvironment.

Applications

Unspecified application

Species

Unspecified reactive species

Daniela Aviles-Huerta,Rossella Del Pizzo,Alexander Kowar,Ali Hyder Baig,Giuliana Palazzo,Ekaterina Stepanova,Cinthia Claudia Amaya Ramirez,Sara D'Agostino,Edoardo Ratto,Catarina Pechincha,Nora Siefert,Helena Engel,Shangce Du,Silvia Cadenas-De Miguel,Beiping Miao,Victor M Cruz-Vilchez,Karin Müller-Decker,Ilaria Elia,Chong Sun,Wilhelm Palm,Fabricio Loayza-Puch
View all publications

Product promise

We are committed to supporting your work with high-quality reagents, and we're here for you every step of the way. In the unlikely event that one of our products does not perform as expected, you're protected by our Product Promise.
For full details, please see our Terms & Conditions

Please note: All products are 'FOR RESEARCH USE ONLY. NOT FOR USE IN DIAGNOSTIC OR THERAPEUTIC PROCEDURES'.

For licensing inquiries, please contact partnerships@abcam.com