JavaScript is disabled in your browser. Please enable JavaScript to view this website.
AB236733

Anti-CLCNKB antibody

Be the first to review this product! Submit a review

|

(0 Publication)

Rabbit Polyclonal CLCNKB antibody. Suitable for WB, IHC-P, ICC/IF and reacts with Rat, Human samples. Immunogen corresponding to Recombinant Fragment Protein within Human Chloride channel protein ClC-Kb aa 500 to C-terminus.

View Alternative Names

Chloride channel protein ClC-Kb, Chloride channel Kb, ClC-K2, CLCNKB

3 Images
Immunocytochemistry/ Immunofluorescence - Anti-CLCNKB antibody (AB236733)
  • ICC/IF

Supplier Data

Immunocytochemistry/ Immunofluorescence - Anti-CLCNKB antibody (AB236733)

HepG2 (human liver hepatocellular carcinoma cell line) cells labeling CLCNKB (Green) using ab236733 at 1/100 dilution in ICC/IF, followed by Alexa Fluor® 488-congugated Goat Anti-Rabbit IgG (H+L). Counterstained with DAPI.

The cells were fixed in 4% formaldehyde, permeabilized using 0.2% Triton X-100 and blocked in 10% normal Goat Serum.

Western blot - Anti-CLCNKB antibody (AB236733)
  • WB

Supplier Data

Western blot - Anti-CLCNKB antibody (AB236733)

All lanes:

Western blot - Anti-CLCNKB antibody (ab236733) at 1/500 dilution

Lane 1:

HeLa (human epithelial cell line from cervix adenocarcinoma) whole cell lysate

Lane 2:

Rat kidney tissue lysate

Secondary

All lanes:

Goat polyclonal to rabbit IgG at 1/50000 dilution

Predicted band size: 75 kDa

false

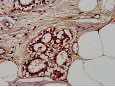
Immunohistochemistry (Formalin/PFA-fixed paraffin-embedded sections) - Anti-CLCNKB antibody (AB236733)
  • IHC-P

Supplier Data

Immunohistochemistry (Formalin/PFA-fixed paraffin-embedded sections) - Anti-CLCNKB antibody (AB236733)

Paraffin-embedded human breast cancer tissue stained for CLCNKB using ab236733 at 1/300 dilution in immunohistochemical analysis.

After dewaxing and hydration, antigen retrieval was mediated by high pressure in a citrate buffer (pH 6.0). Section was blocked with 10% normal goat serum 30 minutes at RT. Then primary antibody (1% BSA) was incubated at 4°C overnight. The primary is detected by a biotinylated secondary antibody and visualized using an HRP conjugated SP system.

Key facts

Host species

Rabbit

Clonality

Polyclonal

Isotype

IgG

Carrier free

No

Reacts with

Rat, Human

Applications

WB, IHC-P, ICC/IF

applications

Immunogen

Recombinant Fragment Protein within Human Chloride channel protein ClC-Kb aa 500 to C-terminus. The exact immunogen used to generate this antibody is proprietary information.

P51801

Reactivity data

{ "title": "Reactivity Data", "filters": { "stats": ["", "Species", "Dilution Info", "Notes"], "tabs": { "all-applications": {"fullname" : "All Applications", "shortname": "All Applications"}, "WB" : {"fullname" : "Western blot", "shortname":"WB"}, "IHCP" : {"fullname" : "Immunohistochemistry (Formalin/PFA-fixed paraffin-embedded sections)", "shortname":"IHC-P"}, "ICCIF" : {"fullname" : "Immunocytochemistry/ Immunofluorescence", "shortname":"ICC/IF"} }, "product-promise": { "all": "all", "testedAndGuaranteed": "tested", "guaranteed": "expected", "predicted": "predicted", "notRecommended": "not-recommended" } }, "values": { "Human": { "WB-species-checked": "testedAndGuaranteed", "WB-species-dilution-info": "1/500 - 1/5000", "WB-species-notes": "<p></p>", "IHCP-species-checked": "testedAndGuaranteed", "IHCP-species-dilution-info": "1/200 - 1/500", "IHCP-species-notes": "<p></p>", "ICCIF-species-checked": "testedAndGuaranteed", "ICCIF-species-dilution-info": "1/50 - 1/200", "ICCIF-species-notes": "<p></p>" }, "Rat": { "WB-species-checked": "testedAndGuaranteed", "WB-species-dilution-info": "1/500 - 1/4999", "WB-species-notes": "<p></p>", "IHCP-species-checked": "guaranteed", "IHCP-species-dilution-info": "", "IHCP-species-notes": "", "ICCIF-species-checked": "guaranteed", "ICCIF-species-dilution-info": "", "ICCIF-species-notes": "" } } }

Properties and storage information

Form
Liquid
Purification technique
Affinity purification Protein G
Purification notes
Purity >95%
Storage buffer
pH: 7.4 Preservative: 0.03% Proclin 300 Constituents: PBS, 50% Glycerol (glycerin, glycerine)
Shipped at conditions
Blue Ice
Appropriate short-term storage duration
1-2 weeks
Appropriate short-term storage conditions
+4°C
Appropriate long-term storage conditions
-20°C
Aliquoting information
Upon delivery aliquot
Storage information
Avoid freeze / thaw cycle

Product protocols

For this product, it's our understanding that no specific protocols are required. You can visit:

Target data

Anion-selective channel permeable to small monovalent anions with ion selectivity for chloride > bromide > nitrate > iodide (PubMed : 11734858, PubMed : 12111250). Forms a homodimeric channel where each subunit has its own ion conduction pathway. May conduct double-barreled currents controlled by two types of gates, two fast gates that control each subunit independently and a slow common gate that opens and shuts off both subunits simultaneously (PubMed : 11734858, PubMed : 12111250, PubMed : 16849430, PubMed : 18776122, PubMed : 19646679). Assembles with the regulatory subunit BSND/Barttin for sorting at the basolateral plasma membrane domain and functional switch to the ion conducting state. CLCNKB : BSND channels display mostly a linear current-voltage relationship controlled by common gate (PubMed : 11734858, PubMed : 12111250, PubMed : 16849430, PubMed : 18776122, PubMed : 19646679). Mediates chloride conductance along nephron segments, namely the thick ascending limb of Henle's loop, convoluted tubule and the collecting duct, contributing to the maintenance of systemic acid-base and electrolyte homeostasis (By similarity). Conducts chloride currents in the stria vascularis of the inner ear to establish the endocochlear potential necessary for normal hearing (PubMed : 15044642, PubMed : 18310267, PubMed : 19646679).
See full target information Chloride channel protein ClC-Kb

Product promise

We are committed to supporting your work with high-quality reagents, and we're here for you every step of the way. In the unlikely event that one of our products does not perform as expected, you're protected by our Product Promise.
For full details, please see our Terms & Conditions

Please note: All products are 'FOR RESEARCH USE ONLY. NOT FOR USE IN DIAGNOSTIC OR THERAPEUTIC PROCEDURES'.

For licensing inquiries, please contact partnerships@abcam.com