JavaScript is disabled in your browser. Please enable JavaScript to view this website.
AB255983

Anti-cleaved N-terminal GSDMD antibody [EPR20829-408] - BSA and Azide free

Be the first to review this product! Submit a review

|

(1 Publication)

Anti-cleaved N-terminal GSDMD antibody [EPR20829-408] - BSA and Azide free (ab255983) is a rabbit recombinant monoclonal antibody provided in a PBS only buffer for easy conjugation detecting cleaved N-terminal GSDMD in Western Blot. Suitable for Human.

- BSA, sodium azide, and glycerol-free for easy conjugation
- Biophysical QC for unrivalled batch-batch consistency

View Alternative Names

DFNA5L, GSDMDC1, FKSG10, GSDMD, Gasdermin-D, Gasdermin domain-containing protein 1

2 Images
Western blot - Anti-cleaved N-terminal GSDMD antibody [EPR20829-408] - BSA and Azide free (AB255983)
  • WB

Unknown

Western blot - Anti-cleaved N-terminal GSDMD antibody [EPR20829-408] - BSA and Azide free (AB255983)

The lysate was kindly provided by our collaborator Dr Feng Shao's lab, NIBS.

The molecular weight observed is consistent with literature (PMID : 26375003).

Blocking/Dilution buffer : 5% NFDM/TBST.

The N-term cleaved Gasdermin-D needs inflammatory caspases in response to canonical and non-canonical inflammasome activators (PubMed : 31548300, PubMed : 27418190, PubMed : 26375259). If need to detect cleavage of GSDMD, please ensure that the samples are treated with inflammation before testing.

This data was developed using the same antibody clone in a different buffer formulation containing PBS, BSA, glycerol, and sodium azide (ab215203).

All lanes:

Western blot - Anti-cleaved N-terminal GSDMD antibody [EPR20829-408] (<a href='/en-us/products/primary-antibodies/cleaved-n-terminal-gsdmd-antibody-epr20829-408-ab215203'>ab215203</a>) at 1/1000 dilution

All lanes:

Salmonella Infected (MOI:100) A431 (human epidermoid carcinoma cell line) whole cell lysate at 20 µg

Secondary

All lanes:

Western blot - Goat Anti-Rabbit IgG H&L (HRP) (<a href='/en-us/products/secondary-antibodies/goat-rabbit-igg-h-l-hrp-ab97051'>ab97051</a>) at 1/100000 dilution

Predicted band size: 53 kDa

Observed band size: 31 kDa

false

Exposure time: 3min

Western blot - Anti-cleaved N-terminal GSDMD antibody [EPR20829-408] - BSA and Azide free (AB255983)
  • WB

Lab

Western blot - Anti-cleaved N-terminal GSDMD antibody [EPR20829-408] - BSA and Azide free (AB255983)

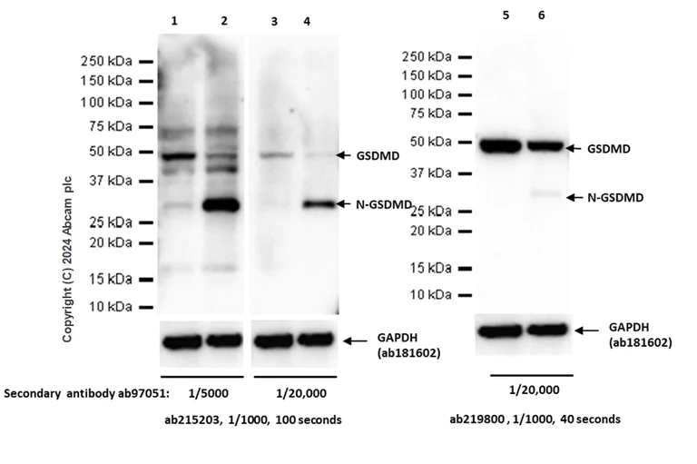
This data was developed using the same antibody clone in a different buffer formulation containing PBS, BSA, glycerol, and sodium azide (ab215203).

ab215203 mainly recognizes N-terminal GSDMD and ab219800 mainly recognizes full length GSDMD.

Exposure time : Lanes 1-4 : 100 seconds, Lanes 5-6 : 40 seconds.

Lanes 1 - 4:

Western blot - Anti-cleaved N-terminal GSDMD antibody [EPR20829-408] (<a href='/en-us/products/primary-antibodies/cleaved-n-terminal-gsdmd-antibody-epr20829-408-ab215203'>ab215203</a>) at 1/1000 dilution

Lanes 5 - 6:

Western blot - Anti-GSDMD antibody [EPR20859] (<a href='/en-us/products/primary-antibodies/gsdmd-antibody-epr20859-ab219800'>ab219800</a>) at 1/1000 dilution

Lanes 1, 3 and 5:

Untreated THP-1 (human epidermoid carcinoma cell line) whole cell lysate at 20 µg

Lanes 2, 4 and 6:

THP-1 (human epidermoid carcinoma cell line) treated with 50ng/ml TPA for 24 hours, then treated with 5ng/ml LPS for 3 hours and add 1&mu;g/ml BFA for another 3 h whole cell lysate at 20 µg

Secondary

Lanes 1, 2, 5 and 6:

Western blot - Goat Anti-Rabbit IgG H&L (HRP) (<a href='/en-us/products/secondary-antibodies/goat-rabbit-igg-h-l-hrp-ab97051'>ab97051</a>) at 1/20000 dilution

Lanes 3 - 4:

Western blot - Goat Anti-Rabbit IgG H&L (HRP) (<a href='/en-us/products/secondary-antibodies/goat-rabbit-igg-h-l-hrp-ab97051'>ab97051</a>) at 1/5000 dilution

Observed band size: 31 kDa

false

  • Unconjugated

    Anti-cleaved N-terminal GSDMD antibody [EPR20829-408]

Key facts

Host species

Rabbit

Clonality

Monoclonal

Clone number

EPR20829-408

Isotype

IgG

Carrier free

Yes

Reacts with

Human

Applications

WB

applications

Immunogen

The exact immunogen used to generate this antibody is proprietary information.

Specificity

ab215203 mainly recognizes N-terminal GSDMD and can also detect a faint band of full-length GSDMD.

The N-term cleaved Gasdermin-D needs inflammatory caspases in response to canonical and non-canonical inflammasome activators (PubMed: 31548300, PubMed: 27418190, PubMed: 26375259). If need to detect cleavage of GSDMD, please ensure that the samples are treated with inflammation before testing.

FURTHER INFORMATION ON SPECIFICITY (Chinese Version) available under the product protocols section. This file includes key technical notes of experience when using this product.

Reactivity data

{ "title": "Reactivity Data", "filters": { "stats": ["", "Species", "Dilution Info", "Notes"], "tabs": { "all-applications": {"fullname" : "All Applications", "shortname": "All Applications"}, "WB" : {"fullname" : "Western blot", "shortname":"WB"}, "IHCP" : {"fullname" : "Immunohistochemistry (Formalin/PFA-fixed paraffin-embedded sections)", "shortname":"IHC-P"} }, "product-promise": { "all": "all", "testedAndGuaranteed": "tested", "guaranteed": "expected", "predicted": "predicted", "notRecommended": "not-recommended" } }, "values": { "Human": { "WB-species-checked": "testedAndGuaranteed", "WB-species-dilution-info": "", "WB-species-notes": "<p>We recommend using a higher sensitive ECL substrate to increase the band intensity.</p>", "IHCP-species-checked": "notRecommended", "IHCP-species-dilution-info": "", "IHCP-species-notes": "<p></p>" } } }

Product details

What is this antibody validated in?
Anti-cleaved N-terminal GSDMD antibody [EPR20829-408] - BSA and Azide free (ab255983) is a rabbit recombinant monoclonal antibody and is validated for use in Western Blot (WB) in Human samples.

What is the molecular weight of cleaved N-terminal GSDMD?
Anti-cleaved N-terminal GSDMD [EPR20829-408] - BSA and Azide free (ab255983) specifically detects a band for cleaved N-terminal GSDMD (UniProt: P57764) at a molecular weight of 53kDa.

Other related products
We have a range of other formats of antibody clone [EPR20829-408] also available for your convenience: ab215203, Carrier free - ab255983

Patented technology
Our RabMAb® technology is a patented hybridoma-based technology for making rabbit monoclonal antibodies. For details on our patents, please refer to RabMAb® patents.

What are the advantages of a recombinant monoclonal antibody?
This product is a recombinant monoclonal antibody, which offers several advantages including:

  • - High batch-to-batch consistency and reproducibility
  • - Improved sensitivity and specificity
  • - Long-term security of supply
  • - Animal-free batch production

For more information, read more on recombinant antibodies.

Conjugation ready
Our carrier-free antibodies are typically supplied in a PBS-only formulation, purified and free of BSA, sodium azide and glycerol. This conjugation-ready format is designed for use with fluorochromes, metal isotopes, oligonucleotides, and enzymes, which makes them ideal for antibody labelling, functional and cell-based assays, flow-based assays (e.g. mass cytometry) and Multiplex Imaging applications.

Use our conjugation kits for antibody conjugates that are ready-to-use in as little as 20 minutes with 1 minute hands-on-time and 100% antibody recovery: available for fluorescent dyes, HRP, biotin and gold.

Compatibility
This product is compatible with the Maxpar® Antibody Labeling Kit from Fluidigm, without the need for antibody preparation. Maxpar® is a trademark of Fluidigm Canada Inc.

Properties and storage information

Form
Liquid
Purification technique
Affinity purification Protein A
Storage buffer
pH: 7.2 - 7.4 Constituents: PBS
Shipped at conditions
Blue Ice
Appropriate short-term storage conditions
+4°C
Appropriate long-term storage conditions
+4°C
Storage information
Do Not Freeze

Supplementary information

This supplementary information is collated from multiple sources and compiled automatically.

Cleaved N-terminal GSDMD also known as cleaved Gasdermin D is a protein fragment derived from the gasdermin D (GSDMD) molecule with an approximate molecular weight of 31-32 kDa. GSDMD is predominantly expressed in the cytosol of immune cells. Upon activation inflammasome pathways cause the cleavage of GSDMD into its active N-terminal fragment known as GSDMD-N. This cleavage is a critical event that translocates the cleaved form to the plasma membrane where it mediates its function.
Biological function summary

The N-terminal fragment of cleaved GSDMD executes an important role in pyroptosis a type of programmed cell death. This fragment forms pores in the cell membrane allowing the release of pro-inflammatory cytokines. GSDMD does not act alone; it functions as part of a larger molecular complex often interacting with caspases like Caspase-1 and inflammatory molecules which enhance its role in immune responses. The formation of membrane pores by cleaved gasdermin D signifies its fundamental job in enabling cellular defense mechanisms against infections.

Pathways

Cleaved N-terminal GSDMD participates in both pyroptosis and canonical inflammasome pathways. In the inflammasome pathway inflammasomes activate caspases that subsequently cleave GSDMD therefore linking it to a broad inflammatory response. This pathway involves proteins such as Caspase-1 and interleukin-1Β which synergize with GSDMD to drive cytokine release. In addition GSDMD cleavage acts downstream of these interactions directly implementing pyroptotic cell death thereby contributing to the body’s innate immune defense.

Cleaved N-terminal GSDMD is notably linked to inflammatory conditions such as sepsis and inflammatory bowel disease. In sepsis the excessive activation of pyroptosis mediated by cleaved GSDMD leads to widespread inflammation and tissue damage. Cleaved GSDMD is also implicated in inflammatory bowel disease where dysregulation of the associated inflammation pathways causes chronic inflammation. In these conditions GSDMD's interaction with Caspase-1 and IL-1Β amplifies the inflammatory responses underlining its potential as a target for therapeutic intervention in managing such diseases.

Product protocols

For this product, it's our understanding that no specific protocols are required. You can visit:

Target data

Gasdermin-D. Precursor of a pore-forming protein that plays a key role in host defense against pathogen infection and danger signals (PubMed : 26375003, PubMed : 26375259, PubMed : 27281216). This form constitutes the precursor of the pore-forming protein : upon cleavage, the released N-terminal moiety (Gasdermin-D, N-terminal) binds to membranes and forms pores, triggering pyroptosis (PubMed : 26375003, PubMed : 26375259, PubMed : 27281216).. Gasdermin-D, N-terminal. Promotes pyroptosis in response to microbial infection and danger signals (PubMed : 26375003, PubMed : 26375259, PubMed : 27418190, PubMed : 28392147, PubMed : 32820063, PubMed : 34289345, PubMed : 38040708, PubMed : 38530158, PubMed : 38599239). Produced by the cleavage of gasdermin-D by inflammatory caspases CASP1, CASP4 or CASP5 in response to canonical, as well as non-canonical (such as cytosolic LPS) inflammasome activators (PubMed : 26375003, PubMed : 26375259, PubMed : 27418190). After cleavage, moves to the plasma membrane where it strongly binds to inner leaflet lipids, including monophosphorylated phosphatidylinositols, such as phosphatidylinositol 4-phosphate, bisphosphorylated phosphatidylinositols, such as phosphatidylinositol (4,5)-bisphosphate, as well as phosphatidylinositol (3,4,5)-bisphosphate, and more weakly to phosphatidic acid and phosphatidylserine (PubMed : 27281216, PubMed : 29898893, PubMed : 36227980). Homooligomerizes within the membrane and forms pores of 10-15 nanometers (nm) of inner diameter, allowing the release of mature interleukin-1 (IL1B and IL18) and triggering pyroptosis (PubMed : 27281216, PubMed : 27418190, PubMed : 29898893, PubMed : 33883744, PubMed : 38040708, PubMed : 38530158, PubMed : 38599239). Gasdermin pores also allow the release of mature caspase-7 (CASP7) (By similarity). In some, but not all, cells types, pyroptosis is followed by pyroptotic cell death, which is caused by downstream activation of ninjurin-1 (NINJ1), which mediates membrane rupture (cytolysis) (PubMed : 33472215, PubMed : 37198476). Also forms pores in the mitochondrial membrane, resulting in release of mitochondrial DNA (mtDNA) into the cytosol (By similarity). Gasdermin-D, N-terminal released from pyroptotic cells into the extracellular milieu rapidly binds to and kills both Gram-negative and Gram-positive bacteria, without harming neighboring mammalian cells, as it does not disrupt the plasma membrane from the outside due to lipid-binding specificity (PubMed : 27281216). Under cell culture conditions, also active against intracellular bacteria, such as Listeria monocytogenes (By similarity). Also active in response to MAP3K7/TAK1 inactivation by Yersinia toxin YopJ, which triggers cleavage by CASP8 and subsequent activation (By similarity). Required for mucosal tissue defense against enteric pathogens (By similarity). Activation of the non-canonical inflammasome in brain endothelial cells can lead to excessive pyroptosis, leading to blood-brain barrier breakdown (By similarity). Strongly binds to bacterial and mitochondrial lipids, including cardiolipin (PubMed : 27281216). Does not bind to unphosphorylated phosphatidylinositol, phosphatidylethanolamine nor phosphatidylcholine (PubMed : 27281216).. Gasdermin-D, p13. Transcription coactivator produced by the cleavage by CASP3 or CASP7 in the upper small intestine in response to dietary antigens (By similarity). Required to maintain food tolerance in small intestine : translocates to the nucleus and acts as a coactivator for STAT1 to induce the transcription of CIITA and MHC class II molecules, which in turn induce type 1 regulatory T (Tr1) cells in upper small intestine (By similarity).. Gasdermin-D, p40. Produced by the cleavage by papain allergen (PubMed : 35794369). After cleavage, moves to the plasma membrane and homooligomerizes within the membrane and forms pores of 10-15 nanometers (nm) of inner diameter, allowing the specific release of mature interleukin-33 (IL33), promoting type 2 inflammatory immune response (PubMed : 35794369).
See full target information GSDMD

Publications (1)

Recent publications for all applications. Explore the full list and refine your search

Nature communications 11:2212 PubMed32371889

2020

N-GSDMD trafficking to neutrophil organelles facilitates IL-1β release independently of plasma membrane pores and pyroptosis.

Applications

Unspecified application

Species

Unspecified reactive species

Mausita Karmakar,Martin Minns,Elyse N Greenberg,Jose Diaz-Aponte,Kersi Pestonjamasp,Jennifer L Johnson,Joseph K Rathkey,Derek W Abbott,Kun Wang,Feng Shao,Sergio D Catz,George R Dubyak,Eric Pearlman
View all publications
websiteProtocolBooklet
zh

Product promise

We are committed to supporting your work with high-quality reagents, and we're here for you every step of the way. In the unlikely event that one of our products does not perform as expected, you're protected by our Product Promise.
For full details, please see our Terms & Conditions

Please note: All products are 'FOR RESEARCH USE ONLY. NOT FOR USE IN DIAGNOSTIC OR THERAPEUTIC PROCEDURES'.

For licensing inquiries, please contact partnerships@abcam.com