JavaScript is disabled in your browser. Please enable JavaScript to view this website.
AB203467

Anti-Cleaved PARP1 antibody [E51] - BSA and Azide free

Be the first to review this product! Submit a review

|

(5 Publications)

Rabbit Recombinant Monoclonal PARP1 antibody. Carrier free. Suitable for WB, IHC-P and reacts with Human, Rat, Mouse samples. Cited in 5 publications.

View Alternative Names

ADPRT, PPOL, PARP1, Poly [ADP-ribose] polymerase 1, PARP-1, ADP-ribosyltransferase diphtheria toxin-like 1, DNA ADP-ribosyltransferase PARP1, NAD(+) ADP-ribosyltransferase 1, Poly[ADP-ribose] synthase 1, Protein poly-ADP-ribosyltransferase PARP1, ARTD1, ADPRT 1

6 Images
Immunohistochemistry (Formalin/PFA-fixed paraffin-embedded sections) - Anti-Cleaved PARP1 antibody [E51] - BSA and Azide free (AB203467)
  • IHC-P

Unknown

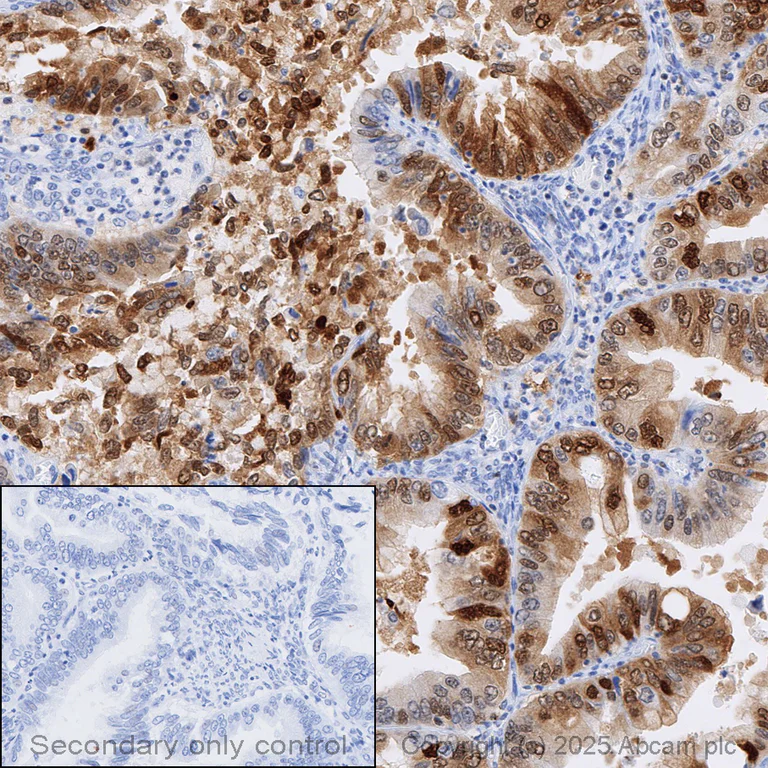
Immunohistochemistry (Formalin/PFA-fixed paraffin-embedded sections) - Anti-Cleaved PARP1 antibody [E51] - BSA and Azide free (AB203467)

Immunohistochemical staining of paraffin embedded human breast carcinoma tissue with unpurified ab32064 at a 1/100 dilution.

This data was developed using the same antibody clone in a different buffer formulation containing PBS, BSA, glycerol, and sodium azide (ab32064).

Immunohistochemistry (Formalin/PFA-fixed paraffin-embedded sections) - Anti-Cleaved PARP1 antibody [E51] - BSA and Azide free (AB203467)
  • IHC-P

Unknown

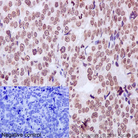
Immunohistochemistry (Formalin/PFA-fixed paraffin-embedded sections) - Anti-Cleaved PARP1 antibody [E51] - BSA and Azide free (AB203467)

Immunohistochemical staining of paraffin embedded human ovarian carcinoma with purified ab32064 at a working dilution of 1 in 100. The secondary antibody used is a HRP polymer for rabbit IgG. Counterstained with hematoxylin. Antigen retrieval was perfomed using Tris-EDTA buffer, pH 9.0.

PBS was used instead of the primary antibody as the negative control (inset).

This data was developed using the same antibody clone in a different buffer formulation containing PBS, BSA, glycerol, and sodium azide (ab32064).

Immunohistochemistry (Formalin/PFA-fixed paraffin-embedded sections) - Anti-Cleaved PARP1 antibody [E51] - BSA and Azide free (AB203467)
  • IHC-P

Lab

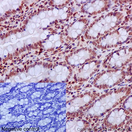
Immunohistochemistry (Formalin/PFA-fixed paraffin-embedded sections) - Anti-Cleaved PARP1 antibody [E51] - BSA and Azide free (AB203467)

This data was developed using ab32064, the same antibody clone in a different buffer formulation.

Immunohistochemical analysis of formalin fixed paraffin embedded human ovarian carcinoma labelling Cleaved PARP1 with ab32064 at a concentration of 0.5µg/ml. The immunostaining was performed on a Ventana DISCOVERY ULTRA (Roche Tissue Diagnostics) instrument with a OptiView DAB IHC Detection Kit. Heat mediated antigen retrieval was performed with DISCOVERY cell conditioning solution (CC1) 100°C, pH8.5 for 32mins. ab32064 anti-Cleaved PARP1 antibody [E51] was incubated for 16mins at 37°C. Sections were counterstained with Hematoxylin II. Image inset shows absence of staining in secondary antibody only control.

Customers are encouraged to optimise antigen retrieval conditions, antibody concentration, incubation times and temperature for best results in their own IHC assay workflow (automated and manual).

Immunohistochemistry (Formalin/PFA-fixed paraffin-embedded sections) - Anti-Cleaved PARP1 antibody [E51] - BSA and Azide free (AB203467)
  • IHC-P

Unknown

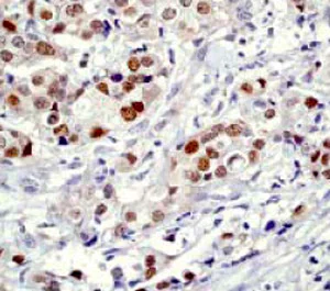
Immunohistochemistry (Formalin/PFA-fixed paraffin-embedded sections) - Anti-Cleaved PARP1 antibody [E51] - BSA and Azide free (AB203467)

Immunohistochemical staining of paraffin embedded rat colon with purified ab32064 at a working dilution of 1/100. The secondary antibody used is a HRP polymer for rabbit IgG. The sample is counterstained with hematoxylin. Antigen retrieval was perfomed using Tris-EDTA buffer, pH 9.0.

PBS was used instead of the primary antibody as the negative control (inset).

This data was developed using the same antibody clone in a different buffer formulation containing PBS, BSA, glycerol, and sodium azide (ab32064).

Western blot - Anti-Cleaved PARP1 antibody [E51] - BSA and Azide free (AB203467)
  • WB

Lab

Western blot - Anti-Cleaved PARP1 antibody [E51] - BSA and Azide free (AB203467)

This data was developed using the same antibody clone in a different buffer formulation (ab32064).

Lanes 1 - 6 : Merged signal (red and green). Green - ab32064 observed at 27 kDa. Red - loading control ab8245 (Mouse anti-GAPDH antibody [6C5]) observed at 37 kDa.

ab32064 was shown to react with Cleaved PARP1 in wild-type HAP1 cells in Western blot with loss of signal observed in PARP1 knockout sample.Wild-type HAP1 and PARP1 knockout cell lysates were subjected to SDS-PAGE. Membranes were blocked in 3 % milk in TBS-T (0.1 % Tween®) before incubation with ab32064 and ab8245 (Mouse anti-GAPDH antibody [6C5]) overnight at 4°C at a 1 in 10000 dilution and a 1 in 20000 dilution respectively. Blots were incubated with Goat anti-Rabbit IgG H&L (IRDye® 800CW) preabsorbed (ab216773) and Goat anti-Mouse IgG H&L (IRDye® 680RD) preabsorbed (ab216776) secondary antibodies at 1 in 20000 dilution for 1 h at room temperature before imaging.

All lanes:

Western blot - Anti-Cleaved PARP1 antibody [E51] (<a href='/en-us/products/primary-antibodies/cleaved-parp1-antibody-e51-ab32064'>ab32064</a>) at 1/10000 dilution

Lane 1:

Wild-type (1uM Staurosporine for 3hrs) HAP1 cell lysate at 20 µg

Lane 2:

Wild-type (Staurosporine control) HAP1 cell lysate at 20 µg

Lane 3:

PARP1 knockout (1uM Staurosporine for 3hrs) HAP1 cell lysate at 20 µg

Lane 4:

PARP1 knockout (Staurosporine control) HAP1 cell lysate at 20 µg

Lane 5:

HeLa (1uM Staurosporine for 3hrs) cell lysate at 20 µg

Lane 6:

HeLa cell lysate at 20 µg

Predicted band size: 113 kDa

Observed band size: 27 kDa

false

Western blot - Anti-Cleaved PARP1 antibody [E51] - BSA and Azide free (AB203467)
  • WB

Lab

Western blot - Anti-Cleaved PARP1 antibody [E51] - BSA and Azide free (AB203467)

This data was developed using the same antibody clone in a different buffer formulation (ab32064). Western blot : Anti-PARP1 antibody [E51] (ab32064) staining at 1/10000 dilution, shown in green; Mouse anti-Alpha Tubulin [DM1A] (ab7291) loading control staining at 1/20000 dilution, shown in magenta. In Western blot, ab32064 was shown to bind specifically to PARP1. A band was observed at 27 kDa in wild-type A549 cell lysates with no signal observed at this size in PARP1 knockout cell line. To generate this image, wild-type and PARP1 knockout A549 cell lysates were analysed. First, samples were run on an SDS-PAGE gel then transferred onto a nitrocellulose membrane. Membranes were blocked in 3% milk in TBS-0.1% Tween® 20 (TBS-T) before incubation with primary antibodies overnight at 4°C. Blots were washed four times in TBS-T, incubated with secondary antibodies for 1 h at room temperature, washed again four times then imaged. Secondary antibodies used were Goat anti-Rabbit IgG H&L 800CW and Goat anti-Mouse IgG H&L 680RD at 1/20000 dilution.

All lanes:

Western blot - Anti-Cleaved PARP1 antibody [E51] (<a href='/en-us/products/primary-antibodies/cleaved-parp1-antibody-e51-ab32064'>ab32064</a>) at 1/10000 dilution

Lane 1:

Wild-type A549 control staurosporine (0 uM, 72 h) cell lysate at 20 µg

Lane 2:

Wild-type A549 treated staurosporine (3 uM, 24 h) cell lysate at 20 µg

Lane 3:

Wild-type A549 control staurosporine (3 uM, 72 h) cell lysate at 20 µg

Lane 4:

PARP1 knockout A549 treated staurosporine (3 uM, 24 h) cell lysate at 20 µg

Observed band size: 27 kDa

false

Key facts

Host species

Rabbit

Clonality

Monoclonal

Clone number

E51

Isotype

IgG

Carrier free

Yes

Reacts with

Mouse, Rat, Human

Applications

WB, IHC-P

applications

Immunogen

The exact immunogen used to generate this antibody is proprietary information.

Specificity

This antibody is specific for the p25 cleaved form of human PARP1.

Reactivity data

{ "title": "Reactivity Data", "filters": { "stats": ["", "Species", "Dilution Info", "Notes"], "tabs": { "all-applications": {"fullname" : "All Applications", "shortname": "All Applications"}, "WB" : {"fullname" : "Western blot", "shortname":"WB"}, "ICCIF" : {"fullname" : "Immunocytochemistry/ Immunofluorescence", "shortname":"ICC/IF"}, "IHCP" : {"fullname" : "Immunohistochemistry (Formalin/PFA-fixed paraffin-embedded sections)", "shortname":"IHC-P"} }, "product-promise": { "all": "all", "testedAndGuaranteed": "tested", "guaranteed": "expected", "predicted": "predicted", "notRecommended": "not-recommended" } }, "values": { "Human": { "WB-species-checked": "testedAndGuaranteed", "WB-species-dilution-info": "", "WB-species-notes": "<p></p>", "ICCIF-species-checked": "notRecommended", "ICCIF-species-dilution-info": "", "ICCIF-species-notes": "<p></p>", "IHCP-species-checked": "testedAndGuaranteed", "IHCP-species-dilution-info": "", "IHCP-species-notes": "<p></p> Perform heat-mediated antigen retrieval with Tris/EDTA buffer pH 9.0 before commencing with IHC staining protocol." }, "Mouse": { "WB-species-checked": "guaranteed", "WB-species-dilution-info": "", "WB-species-notes": "<p></p>", "ICCIF-species-checked": "notRecommended", "ICCIF-species-dilution-info": "", "ICCIF-species-notes": "<p></p>", "IHCP-species-checked": "predicted", "IHCP-species-dilution-info": "", "IHCP-species-notes": "" }, "Rat": { "WB-species-checked": "guaranteed", "WB-species-dilution-info": "", "WB-species-notes": "", "ICCIF-species-checked": "notRecommended", "ICCIF-species-dilution-info": "", "ICCIF-species-notes": "<p></p>", "IHCP-species-checked": "testedAndGuaranteed", "IHCP-species-dilution-info": "", "IHCP-species-notes": "<p></p> Perform heat-mediated antigen retrieval with Tris/EDTA buffer pH 9.0 before commencing with IHC staining protocol." }, "Chinese hamster": { "WB-species-checked": "predicted", "WB-species-dilution-info": "", "WB-species-notes": "", "ICCIF-species-checked": "notRecommended", "ICCIF-species-dilution-info": "", "ICCIF-species-notes": "", "IHCP-species-checked": "predicted", "IHCP-species-dilution-info": "", "IHCP-species-notes": "" } } }

Product details

ab203467 is the carrier-free version of ab32064.

Patented technology
Our RabMAb® technology is a patented hybridoma-based technology for making rabbit monoclonal antibodies. For details on our patents, please refer to RabMAb® patents.

What are the advantages of a recombinant monoclonal antibody?
This product is a recombinant monoclonal antibody, which offers several advantages including:

  • - High batch-to-batch consistency and reproducibility
  • - Improved sensitivity and specificity
  • - Long-term security of supply
  • - Animal-free batch production

For more information, read more on recombinant antibodies.

Conjugation ready
Our carrier-free antibodies are typically supplied in a PBS-only formulation, purified and free of BSA, sodium azide and glycerol. This conjugation-ready format is designed for use with fluorochromes, metal isotopes, oligonucleotides, and enzymes, which makes them ideal for antibody labelling, functional and cell-based assays, flow-based assays (e.g. mass cytometry) and Multiplex Imaging applications.

Use our conjugation kits for antibody conjugates that are ready-to-use in as little as 20 minutes with 1 minute hands-on-time and 100% antibody recovery: available for fluorescent dyes, HRP, biotin and gold.

Compatibility
This product is compatible with the Maxpar® Antibody Labeling Kit from Fluidigm, without the need for antibody preparation. Maxpar® is a trademark of Fluidigm Canada Inc.

Properties and storage information

Form
Liquid
Purification technique
Affinity purification Protein A
Storage buffer
pH: 7.2 - 7.4 Constituents: PBS
Shipped at conditions
Blue Ice
Appropriate short-term storage conditions
+4°C
Appropriate long-term storage conditions
+4°C
Storage information
Do Not Freeze

Supplementary information

This supplementary information is collated from multiple sources and compiled automatically.

Cleaved PARP1 also known as cPARP is a fragment of the PARP1 protein an important DNA repair enzyme. The full PARP1 protein has a molecular weight of approximately 116 kDa but after cleavage during apoptosis the cleaved PARP1 fragments typically have a molecular weight of around 89 kDa and 24 kDa. PARP1 is expressed abundantly in the cell nucleus where it plays important roles in maintaining genomic integrity. The cleavage of PARP1 is a common marker for cell apoptosis pointing towards its breakdown in response to cellular stress.
Biological function summary

The enzymatic function of PARP1 involves the transfer of ADP-ribose units from NAD+ to target proteins a process known as ADP-ribosylation. PARP1 operates as a part of the base excision repair complex essential in DNA repair processes. The cleaved form of PARP1 no longer facilitates DNA repair marking a shift towards apoptosis. When PARP1 is cleaved it indicates caspase activity implying cells are undergoing programmed cell death.

Pathways

Cleaved PARP1 is deeply involved in the apoptosis and DNA damage response pathways. In the apoptosis pathway PARP1 interacts with key proteins like caspase-3 which cleaves PARP during apoptosis. In the DNA damage response PARP1 collaborates with proteins such as XRCC1 facilitating the base excision repair pathway important for fixing single-strand DNA breaks. These pathways highlight the dual role of PARP1 in promoting cell survival through repair and cell death via apoptosis.

Cleaved PARP1 serves as an important marker in cancer and neurodegenerative diseases. In cancer research elevated levels of cleaved PARP1 suggest increased rates of apoptosis in response to anti-cancer therapies linking it to tumor suppression efforts. In neurodegenerative diseases excessive activation and cleavage of PARP1 can result in cell death exacerbating conditions like Alzheimer's disease. Through these contexts cleaved PARP1 connects to other therapeutic targets such as caspase proteins in cancer and to potential PARP inhibitors in neurodegenerative disorders.

Product protocols

For this product, it's our understanding that no specific protocols are required. You can visit:

Target data

Poly-ADP-ribosyltransferase that mediates poly-ADP-ribosylation of proteins and plays a key role in DNA repair (PubMed : 17177976, PubMed : 18055453, PubMed : 18172500, PubMed : 19344625, PubMed : 19661379, PubMed : 20388712, PubMed : 21680843, PubMed : 22582261, PubMed : 23230272, PubMed : 25043379, PubMed : 26344098, PubMed : 26626479, PubMed : 26626480, PubMed : 30104678, PubMed : 31796734, PubMed : 32028527, PubMed : 32241924, PubMed : 32358582, PubMed : 33186521, PubMed : 34465625, PubMed : 34737271). Mediates glutamate, aspartate, serine, histidine or tyrosine ADP-ribosylation of proteins : the ADP-D-ribosyl group of NAD(+) is transferred to the acceptor carboxyl group of target residues and further ADP-ribosyl groups are transferred to the 2'-position of the terminal adenosine moiety, building up a polymer with an average chain length of 20-30 units (PubMed : 19764761, PubMed : 25043379, PubMed : 28190768, PubMed : 29954836, PubMed : 35393539, PubMed : 7852410, PubMed : 9315851). Serine ADP-ribosylation of proteins constitutes the primary form of ADP-ribosylation of proteins in response to DNA damage (PubMed : 33186521, PubMed : 34874266). Specificity for the different amino acids is conferred by interacting factors, such as HPF1 and NMNAT1 (PubMed : 28190768, PubMed : 29954836, PubMed : 32028527, PubMed : 33186521, PubMed : 33589610, PubMed : 34625544, PubMed : 34874266). Following interaction with HPF1, catalyzes serine ADP-ribosylation of target proteins; HPF1 confers serine specificity by completing the PARP1 active site (PubMed : 28190768, PubMed : 29954836, PubMed : 32028527, PubMed : 33186521, PubMed : 33589610, PubMed : 34625544, PubMed : 34874266). Also catalyzes tyrosine ADP-ribosylation of target proteins following interaction with HPF1 (PubMed : 29954836, PubMed : 30257210). Following interaction with NMNAT1, catalyzes glutamate and aspartate ADP-ribosylation of target proteins; NMNAT1 confers glutamate and aspartate specificity (By similarity). PARP1 initiates the repair of DNA breaks : recognizes and binds DNA breaks within chromatin and recruits HPF1, licensing serine ADP-ribosylation of target proteins, such as histones (H2BS6ADPr and H3S10ADPr), thereby promoting decompaction of chromatin and the recruitment of repair factors leading to the reparation of DNA strand breaks (PubMed : 17177976, PubMed : 18172500, PubMed : 19344625, PubMed : 19661379, PubMed : 23230272, PubMed : 27067600, PubMed : 34465625, PubMed : 34874266). HPF1 initiates serine ADP-ribosylation but restricts the polymerase activity of PARP1 in order to limit the length of poly-ADP-ribose chains (PubMed : 33683197, PubMed : 34732825, PubMed : 34795260). In addition to base excision repair (BER) pathway, also involved in double-strand breaks (DSBs) repair : together with TIMELESS, accumulates at DNA damage sites and promotes homologous recombination repair by mediating poly-ADP-ribosylation (PubMed : 26344098, PubMed : 30356214). Mediates the poly-ADP-ribosylation of a number of proteins, including itself, APLF, CHFR, RPA1 and NFAT5 (PubMed : 17396150, PubMed : 19764761, PubMed : 24906880, PubMed : 34049076). In addition to proteins, also able to ADP-ribosylate DNA : catalyzes ADP-ribosylation of DNA strand break termini containing terminal phosphates and a 2'-OH group in single- and double-stranded DNA, respectively (PubMed : 27471034). Required for PARP9 and DTX3L recruitment to DNA damage sites (PubMed : 23230272). PARP1-dependent PARP9-DTX3L-mediated ubiquitination promotes the rapid and specific recruitment of 53BP1/TP53BP1, UIMC1/RAP80, and BRCA1 to DNA damage sites (PubMed : 23230272). PARP1-mediated DNA repair in neurons plays a role in sleep : senses DNA damage in neurons and promotes sleep, facilitating efficient DNA repair (By similarity). In addition to DNA repair, also involved in other processes, such as transcription regulation, programmed cell death, membrane repair, adipogenesis and innate immunity (PubMed : 15607977, PubMed : 17177976, PubMed : 19344625, PubMed : 27256882, PubMed : 32315358, PubMed : 32844745, PubMed : 35124853, PubMed : 35393539, PubMed : 35460603). Acts as a repressor of transcription : binds to nucleosomes and modulates chromatin structure in a manner similar to histone H1, thereby altering RNA polymerase II (PubMed : 15607977, PubMed : 22464733). Acts both as a positive and negative regulator of transcription elongation, depending on the context (PubMed : 27256882, PubMed : 35393539). Acts as a positive regulator of transcription elongation by mediating poly-ADP-ribosylation of NELFE, preventing RNA-binding activity of NELFE and relieving transcription pausing (PubMed : 27256882). Acts as a negative regulator of transcription elongation in response to DNA damage by catalyzing poly-ADP-ribosylation of CCNT1, disrupting the phase separation activity of CCNT1 and subsequent activation of CDK9 (PubMed : 35393539). Involved in replication fork progression following interaction with CARM1 : mediates poly-ADP-ribosylation at replication forks, slowing fork progression (PubMed : 33412112). Poly-ADP-ribose chains generated by PARP1 also play a role in poly-ADP-ribose-dependent cell death, a process named parthanatos (By similarity). Also acts as a negative regulator of the cGAS-STING pathway (PubMed : 32315358, PubMed : 32844745, PubMed : 35460603). Acts by mediating poly-ADP-ribosylation of CGAS : PARP1 translocates into the cytosol following phosphorylation by PRKDC and catalyzes poly-ADP-ribosylation and inactivation of CGAS (PubMed : 35460603). Acts as a negative regulator of adipogenesis : catalyzes poly-ADP-ribosylation of histone H2B on 'Glu-35' (H2BE35ADPr) following interaction with NMNAT1, inhibiting phosphorylation of H2B at 'Ser-36' (H2BS36ph), thereby blocking expression of pro-adipogenetic genes (By similarity). Involved in the synthesis of ATP in the nucleus, together with NMNAT1, PARG and NUDT5 (PubMed : 27257257). Nuclear ATP generation is required for extensive chromatin remodeling events that are energy-consuming (PubMed : 27257257).. Poly [ADP-ribose] polymerase 1, processed C-terminus. Promotes AIFM1-mediated apoptosis (PubMed : 33168626). This form, which translocates into the cytoplasm following cleavage by caspase-3 (CASP3) and caspase-7 (CASP7) in response to apoptosis, is auto-poly-ADP-ribosylated and serves as a poly-ADP-ribose carrier to induce AIFM1-mediated apoptosis (PubMed : 33168626).. Poly [ADP-ribose] polymerase 1, processed N-terminus. This cleavage form irreversibly binds to DNA breaks and interferes with DNA repair, promoting DNA damage-induced apoptosis.
See full target information PARP1

Publications (5)

Recent publications for all applications. Explore the full list and refine your search

Nature communications 16:1295 PubMed39900923

2025

Plant-nanoparticles enhance anti-PD-L1 efficacy by shaping human commensal microbiota metabolites.

Applications

Unspecified application

Species

Unspecified reactive species

Yun Teng,Chao Luo,Xiaolan Qiu,Jingyao Mu,Mukesh K Sriwastva,Qingbo Xu,Minmin Liu,Xin Hu,Fangyi Xu,Lifeng Zhang,Juw Won Park,Jae Yeon Hwang,Maiying Kong,Zhanxu Liu,Xiang Zhang,Raobo Xu,Jun Yan,Michael L Merchant,Craig J McClain,Huang-Ge Zhang

Oxidative medicine and cellular longevity 2022:8550817 PubMed39282148

2022

Triptonide Inhibits the Cervical Cancer Cell Growth via Downregulating the RTKs and Inactivating the Akt-mTOR Pathway.

Applications

Unspecified application

Species

Unspecified reactive species

Li-Na Zhou,Shi-Qing Peng,Xue-Lian Chen,Xiao-Ren Zhu,An-Qi Jin,Yuan-Yuan Liu,Li-Xia Zhu,Ya-Qun Zhu

Cell host & microbe 30:944-960.e8 PubMed35654045

2022

Gut bacterial isoamylamine promotes age-related cognitive dysfunction by promoting microglial cell death.

Applications

Unspecified application

Species

Unspecified reactive species

Yun Teng,Jingyao Mu,Fangyi Xu,Xiangcheng Zhang,Mukesh K Sriwastva,Qiaohong M Liu,Xiaohong Li,Chao Lei,Kumaran Sundaram,Xin Hu,Lifeng Zhang,Juw Won Park,Jae Yeon Hwang,Eric C Rouchka,Xiang Zhang,Jun Yan,Michael L Merchant,Huang-Ge Zhang

Molecular medicine reports 23: PubMed33398374

2021

Melatonin inhibits proliferation and viability and promotes apoptosis in colorectal cancer cells via upregulation of the microRNA-34a/449a cluster.

Applications

Unspecified application

Species

Unspecified reactive species

Guangyu Ji,Wenjuan Zhou,Xian Li,Jingyi Du,Xinyue Li,Hongbo Hao

Molecular medicine reports 16:2985-2991 PubMed28677799

2017

Baicalin prevents the apoptosis of endplate chondrocytes by inhibiting the oxidative stress induced by H2O2.

Applications

Unspecified application

Species

Unspecified reactive species

Yutao Pan,Di Chen,Qingyou Lu,Lifeng Liu,Xia Li,Zengchun Li
View all publications

Product promise

We are committed to supporting your work with high-quality reagents, and we're here for you every step of the way. In the unlikely event that one of our products does not perform as expected, you're protected by our Product Promise.
For full details, please see our Terms & Conditions

Please note: All products are 'FOR RESEARCH USE ONLY. NOT FOR USE IN DIAGNOSTIC OR THERAPEUTIC PROCEDURES'.

For licensing inquiries, please contact partnerships@abcam.com