JavaScript is disabled in your browser. Please enable JavaScript to view this website.
AB197349

Anti-CLEC-2 antibody

Be the first to review this product! Submit a review

|

(1 Publication)

Rabbit Polyclonal CLEC-2 antibody. Suitable for IHC-P and reacts with Human samples. Cited in 1 publication. Immunogen corresponding to Recombinant Full Length Protein corresponding to Human CLEC1B.

View Alternative Names

CLEC2, UNQ721/PRO1384, CLEC1B, C-type lectin domain family 1 member B, C-type lectin-like receptor 2, CLEC-2

1 Images
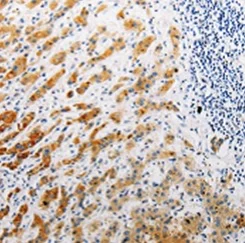
Immunohistochemistry (Formalin/PFA-fixed paraffin-embedded sections) - Anti-CLEC-2 antibody (AB197349)
  • IHC-P

Supplier Data

Immunohistochemistry (Formalin/PFA-fixed paraffin-embedded sections) - Anti-CLEC-2 antibody (AB197349)

Immunohistochemical analysis of paraffin-embedded Human liver tissue sections labeling CLEC-2 with ab197349 at a 1/15 dilution.

Key facts

Host species

Rabbit

Clonality

Polyclonal

Isotype

IgG

Carrier free

No

Reacts with

Human

Applications

IHC-P

applications

Immunogen

Recombinant Full Length Protein corresponding to Human CLEC1B.

Q9P126

Reactivity data

{ "title": "Reactivity Data", "filters": { "stats": ["", "Species", "Dilution Info", "Notes"], "tabs": { "all-applications": {"fullname" : "All Applications", "shortname": "All Applications"}, "IHCP" : {"fullname" : "Immunohistochemistry (Formalin/PFA-fixed paraffin-embedded sections)", "shortname":"IHC-P"} }, "product-promise": { "all": "all", "testedAndGuaranteed": "tested", "guaranteed": "expected", "predicted": "predicted", "notRecommended": "not-recommended" } }, "values": { "Human": { "IHCP-species-checked": "testedAndGuaranteed", "IHCP-species-dilution-info": "1/10 - 1/50", "IHCP-species-notes": "<p></p>" } } }

Properties and storage information

Form
Liquid
Purification technique
Affinity purification Immunogen
Storage buffer
pH: 7.4 Preservative: 0.05% Sodium azide Constituents: PBS, 50% Glycerol (glycerin, glycerine)
Shipped at conditions
Blue Ice
Appropriate short-term storage duration
1-2 weeks
Appropriate short-term storage conditions
+4°C
Appropriate long-term storage conditions
-20°C
Aliquoting information
Upon delivery aliquot
Storage information
Avoid freeze / thaw cycle

Product protocols

For this product, it's our understanding that no specific protocols are required. You can visit:

Target data

C-type lectin-like receptor that serves as a platelet receptor for the lymphatic endothelial marker PDPN (PubMed : 18215137). Plays an essential role in blood/lymphatic vessel separation and thrombus formation through homophilic association (PubMed : 22556408). Acts as a negative regulator of lymphatic endothelial cell behavior by inhibiting proliferation, migration, and tube formation (PubMed : 22556408). Upon ligand binding, triggers a signaling cascade via sequential activation of SRC and SYK tyrosine kinases, leading to activation of PLCG2 (PubMed : 18955485). Through this pathway, mediates platelet adhesion, aggregation, and secretion in response to PDPN-expressing cells. During embryonic development, plays a central role in cerebrovascular formation and blood/lymphatic vessel separation. Interacts with PDPN on neuroepithelial cells to promote platelet activation, thereby ensuring maturation and integrity of cerebrovascular structures and preventing hemorrhage.. (Microbial infection) Acts as a receptor for the platelet-aggregating snake venom protein rhodocytin. Rhodocytin binding leads to tyrosine phosphorylation and this promotes the binding of spleen tyrosine kinase (SYK) and initiation of downstream tyrosine phosphorylation events and activation of PLCG2 (PubMed : 16174766, PubMed : 18955485).. (Microbial infection) Acts as an attachment factor for Human immunodeficiency virus type 1 (HIV-1) and facilitates its capture by platelets (PubMed : 16940507).
See full target information CLEC1B

Publications (1)

Recent publications for all applications. Explore the full list and refine your search

Translational oncology 11:552-558 PubMed29525632

2018

CLEC1B Expression and PD-L1 Expression Predict Clinical Outcome in Hepatocellular Carcinoma with Tumor Hemorrhage.

Applications

Unspecified application

Species

Unspecified reactive species

Kuan Hu,Zhi-Ming Wang,Juan-Ni Li,Sai Zhang,Zhong-Fu Xiao,Yi-Ming Tao
View all publications

Product promise

We are committed to supporting your work with high-quality reagents, and we're here for you every step of the way. In the unlikely event that one of our products does not perform as expected, you're protected by our Product Promise.
For full details, please see our Terms & Conditions

Please note: All products are 'FOR RESEARCH USE ONLY. NOT FOR USE IN DIAGNOSTIC OR THERAPEUTIC PROCEDURES'.

For licensing inquiries, please contact partnerships@abcam.com