JavaScript is disabled in your browser. Please enable JavaScript to view this website.
AB307660

Anti-CLEC12A antibody [EPR26967-14]

Be the first to review this product! Submit a review

|

(0 Publication)

Rabbit Recombinant Monoclonal CLEC12A antibody. Suitable for WB and reacts with Human samples.

View Alternative Names

CD371, CLL1, DCAL2, KLRL1, MICL, CLEC12A, C-type lectin domain family 12 member A, C-type lectin-like molecule 1, Dendritic cell-associated lectin 2, Killer cell C-type lectin-like receptor L1, Myeloid inhibitory C-type lectin-like receptor, CLL-1, DCAL-2, hKLRL1

2 Images
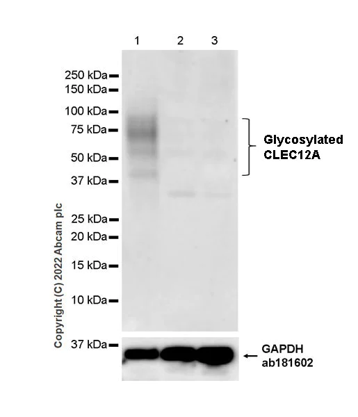
Western blot - Anti-CLEC12A antibody [EPR26967-14] (AB307660)
  • WB

Supplier Data

Western blot - Anti-CLEC12A antibody [EPR26967-14] (AB307660)

Blocking and diluting buffer and concentration : 5% NFDM/TBST Negative control : K562, Jurkat. This antibody only recognises glycosylated CLEC12A. Deglycosylated CLEC12A is not detected by WB with ab307660. In Western blot, anti-GAPDH antibody (ab181602) loading control staining at 1/200000 dilution. Exposure time : 70 seconds

All lanes:

Western blot - Anti-CLEC12A antibody [EPR26967-14] (ab307660) at 1/1000 dilution

Lane 1:

THP-1 (human monocytic leukemia monocyte) whole cell lysate at 20 µg

Lane 2:

K562 (human chronic myelogenous leukemia lymphoblast) whole cell lysate at 20 µg

Lane 3:

Jurkat (human T cell leukemia T lymphocyte) whole cell lysate at 20 µg

Secondary

All lanes:

Western blot - Goat Anti-Rabbit IgG H&L (HRP) (<a href='/en-us/products/secondary-antibodies/goat-rabbit-igg-h-l-hrp-ab97051'>ab97051</a>) at 1/100000 dilution

Observed band size: 40 kDa,80 kDa

false

Exposure time: 70s

Western blot - Anti-CLEC12A antibody [EPR26967-14] (AB307660)
  • WB

Supplier Data

Western blot - Anti-CLEC12A antibody [EPR26967-14] (AB307660)

Blocking and diluting buffer and concentration : 5% NFDM/TBST.

CLEC12A is a glycosylated protein (glycoprotein) and can be deglycosylated by Protein Deglycosylation MIX II.

This blot was developed using a high sensitivity ECL substrate. The high-sensitivity ECL substrate used allows for the detection of proteins in the mid-femtogram range.

In Western blot, anti- Vinculin antibody (ab129002) loading control staining at 1/10000 dilution.

All lanes:

Western blot - Anti-CLEC12A antibody [EPR26967-14] (ab307660) at 1/1000 dilution

Lane 1:

Untreated U937 (human histiocytic lymphoma monocyte) whole cell lysate at 20 µg

Lane 2:

U937 whole cell lysate treated with Protein Deglycosylation Mix II at 20 µg

Secondary

All lanes:

Western blot - Goat Anti-Rabbit IgG H&L (HRP) (<a href='/en-us/products/secondary-antibodies/goat-rabbit-igg-h-l-hrp-ab97051'>ab97051</a>) at 1/20000 dilution

Observed band size: 40-80 kDa

true

Exposure time: 147s

  • Carrier free

    Anti-CLEC12A antibody [EPR26967-14] - BSA and Azide free

Key facts

Host species

Rabbit

Clonality

Monoclonal

Clone number

EPR26967-14

Isotype

IgG

Carrier free

No

Reacts with

Human

Applications

WB

applications

Immunogen

The exact immunogen used to generate this antibody is proprietary information.

Specificity

This antibody only recognises glycosylated CLEC12A. Deglycosylated CLEC12A is not detected by WB with ab307660.

The antibody only detects the glycosylated version.

Reactivity data

{ "title": "Reactivity Data", "filters": { "stats": ["", "Species", "Dilution Info", "Notes"], "tabs": { "all-applications": {"fullname" : "All Applications", "shortname": "All Applications"}, "WB" : {"fullname" : "Western blot", "shortname":"WB"}, "IHCP" : {"fullname" : "Immunohistochemistry (Formalin/PFA-fixed paraffin-embedded sections)", "shortname":"IHC-P"}, "ICCIF" : {"fullname" : "Immunocytochemistry/ Immunofluorescence", "shortname":"ICC/IF"}, "FlowCyt" : {"fullname" : "Flow Cytometry", "shortname":"Flow Cyt"}, "IP" : {"fullname" : "Immunoprecipitation", "shortname":"IP"} }, "product-promise": { "all": "all", "testedAndGuaranteed": "tested", "guaranteed": "expected", "predicted": "predicted", "notRecommended": "not-recommended" } }, "values": { "Human": { "WB-species-checked": "testedAndGuaranteed", "WB-species-dilution-info": "1/1000", "WB-species-notes": "<p></p>", "IHCP-species-checked": "notRecommended", "IHCP-species-dilution-info": "", "IHCP-species-notes": "<p></p>", "ICCIF-species-checked": "notRecommended", "ICCIF-species-dilution-info": "", "ICCIF-species-notes": "<p></p>", "FlowCyt-species-checked": "notRecommended", "FlowCyt-species-dilution-info": "", "FlowCyt-species-notes": "<p></p>", "IP-species-checked": "notRecommended", "IP-species-dilution-info": "", "IP-species-notes": "<p></p>" }, "Mouse": { "WB-species-checked": "notRecommended", "WB-species-dilution-info": "1/1000", "WB-species-notes": "<p></p>", "IHCP-species-checked": "notRecommended", "IHCP-species-dilution-info": "", "IHCP-species-notes": "<p></p>", "ICCIF-species-checked": "notRecommended", "ICCIF-species-dilution-info": "", "ICCIF-species-notes": "", "FlowCyt-species-checked": "notRecommended", "FlowCyt-species-dilution-info": "", "FlowCyt-species-notes": "<p></p>", "IP-species-checked": "notRecommended", "IP-species-dilution-info": "", "IP-species-notes": "" }, "Rat": { "WB-species-checked": "notRecommended", "WB-species-dilution-info": "1/1000", "WB-species-notes": "<p></p>", "IHCP-species-checked": "notRecommended", "IHCP-species-dilution-info": "", "IHCP-species-notes": "<p></p>", "ICCIF-species-checked": "notRecommended", "ICCIF-species-dilution-info": "", "ICCIF-species-notes": "", "FlowCyt-species-checked": "notRecommended", "FlowCyt-species-dilution-info": "", "FlowCyt-species-notes": "", "IP-species-checked": "notRecommended", "IP-species-dilution-info": "", "IP-species-notes": "" } } }

Product details

Patented technology
Our RabMAb® technology is a patented hybridoma-based technology for making rabbit monoclonal antibodies. For details on our patents, please refer to RabMAb® patents.

What are the advantages of a recombinant monoclonal antibody?
This product is a recombinant monoclonal antibody, which offers several advantages including:

  • - High batch-to-batch consistency and reproducibility
  • - Improved sensitivity and specificity
  • - Long-term security of supply
  • - Animal-free batch production

For more information, read more on recombinant antibodies.

Properties and storage information

Form
Liquid
Purification technique
Affinity purification Protein A
Storage buffer
pH: 7.2 - 7.4 Preservative: 0.01% Sodium azide Constituents: PBS, 40% Glycerol (glycerin, glycerine), 0.05% BSA
Shipped at conditions
Blue Ice
Appropriate short-term storage duration
1-2 weeks
Appropriate short-term storage conditions
+4°C
Appropriate long-term storage conditions
-20°C
Aliquoting information
Upon delivery aliquot
Storage information
Avoid freeze / thaw cycle

Product protocols

For this product, it's our understanding that no specific protocols are required. You can visit:

Target data

Myeloid inhibitory C-type lectin receptor that acts as a negative regulator of myeloid cell activation (PubMed : 14739280, PubMed : 15238421, PubMed : 16239426, PubMed : 34234773, PubMed : 38367667, PubMed : 38386511, PubMed : 39143217). Myeloid cell inhibition is required to limit proinflammatory pathways and protect against excessive inflammation (By similarity). Specifically recognizes and binds various structures, such as neutrophil extracellular traps (NETs) or monosodium urate crystals (PubMed : 38367667, PubMed : 38386511, PubMed : 39143217). Also acts as a pattern-recognition receptor for pathogen-associated molecules, such as plasmodium hemozoin or mycobacterial micolic acid (PubMed : 31269448, PubMed : 36542980). Ligand-binding induces phosphorylation of its ITIM motif, followed by recruitment of tyrosine-protein phosphatases PTPN6 and PTPN11, which counteract tyrosine-protein kinase SYK, thereby preventing myeloid cell activation (PubMed : 14739280, PubMed : 16239426, PubMed : 34234773). Acts as a pattern-recognition receptor for NETs in neutrophils : specifically recognizes DNA in NETs, leading to inhibit neutrophil activation and limit further NET formation (PubMed : 39143217). This regulation is essential for controlling key neutrophil responses and limit NET-mediated inflammatory conditions (By similarity). Also recognizes dead cells by acting as a receptor for monosodium urate crystals, leading to down-regulate neutrophil activation (PubMed : 38367667, PubMed : 38386511). Binding to monosodium urate crystals also promotes the type I interferon response (By similarity). Acts as an inhibitor of natural killer (NK) cell cytotoxicity (PubMed : 15238421). Also acts as an ihibitor of dendritic cell maturation in an IL10-dependent manner (PubMed : 16239426).
See full target information CLEC12A

Product promise

We are committed to supporting your work with high-quality reagents, and we're here for you every step of the way. In the unlikely event that one of our products does not perform as expected, you're protected by our Product Promise.
For full details, please see our Terms & Conditions

Please note: All products are 'FOR RESEARCH USE ONLY. NOT FOR USE IN DIAGNOSTIC OR THERAPEUTIC PROCEDURES'.

For licensing inquiries, please contact partnerships@abcam.com