JavaScript is disabled in your browser. Please enable JavaScript to view this website.
AB324498

Anti-CLEC14A antibody [EPR30281-548] - BSA and Azide free

Be the first to review this product! Submit a review

|

(0 Publication)

Rabbit Recombinant Monoclonal CLEC14A antibody. Carrier free. Suitable for Flow Cyt, IHC-P, WB and reacts with Human samples.

View Alternative Names

C14orf27, EGFR5, UNQ236/PRO269, CLEC14A, C-type lectin domain family 14 member A, Epidermal growth factor receptor 5, EGFR-5

10 Images
Flow Cytometry - Anti-CLEC14A antibody [EPR30281-548] - BSA and Azide free (AB324498)
  • Flow Cyt

Supplier Data

Flow Cytometry - Anti-CLEC14A antibody [EPR30281-548] - BSA and Azide free (AB324498)

This data was developed using ab324497, the same antibody clone in a different buffer formulation.

Flow cytometric analysis of HEK-293 (human embryonic kidney epithelial cell, Left) / HUVEC (human umbilical vein endothelial cell, Right) cells labelling CLEC14A with ab324497 at 1/500 dilution (0.1ug) (Red) compared with a Rabbit monoclonal IgG (ab172730) (Black) isotype control and an unlabelled control (cells without incubation with primary antibody and secondary antibody).

Goat Anti-Rabbit IgG (Alexa Fluor® 488, ab150081) at 1/5000 dilution was used as the secondary antibody.

Gated on viable cells.
Low expression : HEK-293.

Immunohistochemistry (Formalin/PFA-fixed paraffin-embedded sections) - Anti-CLEC14A antibody [EPR30281-548] - BSA and Azide free (AB324498)
  • IHC-P

Supplier Data

Immunohistochemistry (Formalin/PFA-fixed paraffin-embedded sections) - Anti-CLEC14A antibody [EPR30281-548] - BSA and Azide free (AB324498)

This data was developed using ab324497, the same antibody clone in a different buffer formulation.

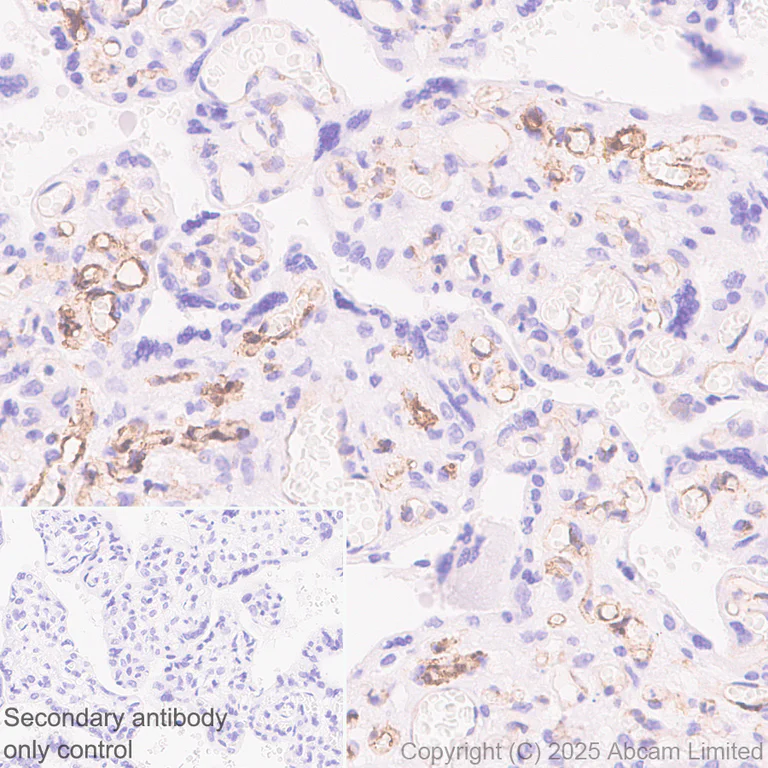
Immunohistochemical analysis of paraffin-embedded Human clear cell carcinoma of kidney tissue labeling CLEC14A with ab324497 at 1/1000 (0.498 ug/ml) dilution, followed by a ready to use LeicaDS9800 (Bond™ Polymer Refine Detection).

Positive staining on endothelial cells of human clear cell carcinoma of kidney.
The primary antibody was incubated for 30 mins at room temperature.
The immunostaining was performed on a Leica Biosystems BOND® RX instrument

Counterstained with Hematoxylin.

Secondary antibody only control : Secondary antibody is a ready to use LeicaDS9800 (Bond™ Polymer Refine Detection).

Heat mediated antigen retrieval was performed with Tris-EDTA buffer (pH 9.0, Epitope Retrieval Solution2) for 20 mins

Immunohistochemistry (Formalin/PFA-fixed paraffin-embedded sections) - Anti-CLEC14A antibody [EPR30281-548] - BSA and Azide free (AB324498)
  • IHC-P

Supplier Data

Immunohistochemistry (Formalin/PFA-fixed paraffin-embedded sections) - Anti-CLEC14A antibody [EPR30281-548] - BSA and Azide free (AB324498)

This data was developed using ab324497, the same antibody clone in a different buffer formulation.

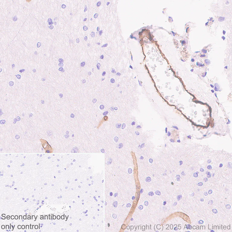
Immunohistochemical analysis of paraffin-embedded Human cerebrum tissue labeling CLEC14A with ab324497 at 1/1000 (0.498 ug/ml) dilution, followed by a ready to use LeicaDS9800 (Bond™ Polymer Refine Detection).

Positive staining on endothelial cells of human cerebrum.
The primary antibody was incubated for 30 mins at room temperature.
The immunostaining was performed on a Leica Biosystems BOND® RX instrument

Counterstained with Hematoxylin.

Secondary antibody only control : Secondary antibody is a ready to use LeicaDS9800 (Bond™ Polymer Refine Detection).

Heat mediated antigen retrieval was performed with Tris-EDTA buffer (pH 9.0, Epitope Retrieval Solution2) for 20 mins

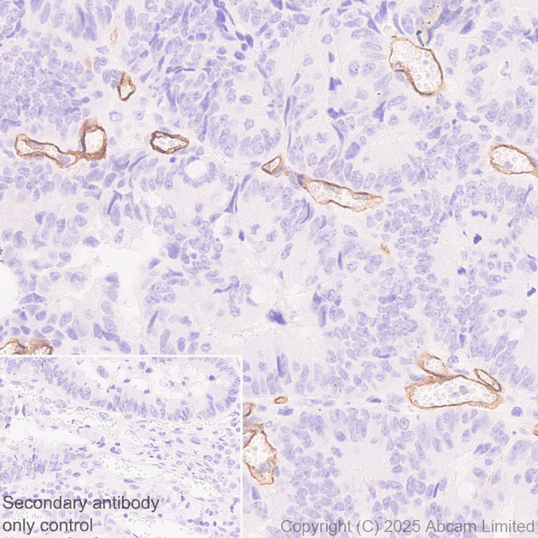
Immunohistochemistry (Formalin/PFA-fixed paraffin-embedded sections) - Anti-CLEC14A antibody [EPR30281-548] - BSA and Azide free (AB324498)
  • IHC-P

Supplier Data

Immunohistochemistry (Formalin/PFA-fixed paraffin-embedded sections) - Anti-CLEC14A antibody [EPR30281-548] - BSA and Azide free (AB324498)

This data was developed using ab324497, the same antibody clone in a different buffer formulation.

Immunohistochemical analysis of paraffin-embedded Human colon carcinoma tissue labeling CLEC14A with ab324497 at 1/1000 (0.498 ug/ml) dilution, followed by a ready to use LeicaDS9800 (Bond™ Polymer Refine Detection).

Positive staining on endothelial cells of human colon carcinoma.
The primary antibody was incubated for 30 mins at room temperature.
The immunostaining was performed on a Leica Biosystems BOND® RX instrument

Counterstained with Hematoxylin.

Secondary antibody only control : Secondary antibody is a ready to use LeicaDS9800 (Bond™ Polymer Refine Detection).

Heat mediated antigen retrieval was performed with Tris-EDTA buffer (pH 9.0, Epitope Retrieval Solution2) for 20 mins

Immunohistochemistry (Formalin/PFA-fixed paraffin-embedded sections) - Anti-CLEC14A antibody [EPR30281-548] - BSA and Azide free (AB324498)
  • IHC-P

Supplier Data

Immunohistochemistry (Formalin/PFA-fixed paraffin-embedded sections) - Anti-CLEC14A antibody [EPR30281-548] - BSA and Azide free (AB324498)

This data was developed using ab324497, the same antibody clone in a different buffer formulation.

Immunohistochemical analysis of paraffin-embedded Human placenta tissue labeling CLEC14A with ab324497 at 1/1000 (0.498 ug/ml) dilution, followed by a ready to use LeicaDS9800 (Bond™ Polymer Refine Detection).

Positive staining on endothelial cells of human placenta.
The primary antibody was incubated for 30 mins at room temperature.
The immunostaining was performed on a Leica Biosystems BOND® RX instrument

Counterstained with Hematoxylin.

Secondary antibody only control : Secondary antibody is a ready to use LeicaDS9800 (Bond™ Polymer Refine Detection).

Heat mediated antigen retrieval was performed with Tris-EDTA buffer (pH 9.0, Epitope Retrieval Solution2) for 20 mins

Immunohistochemistry (Formalin/PFA-fixed paraffin-embedded sections) - Anti-CLEC14A antibody [EPR30281-548] - BSA and Azide free (AB324498)
  • IHC-P

Supplier Data

Immunohistochemistry (Formalin/PFA-fixed paraffin-embedded sections) - Anti-CLEC14A antibody [EPR30281-548] - BSA and Azide free (AB324498)

This data was developed using ab324497, the same antibody clone in a different buffer formulation.

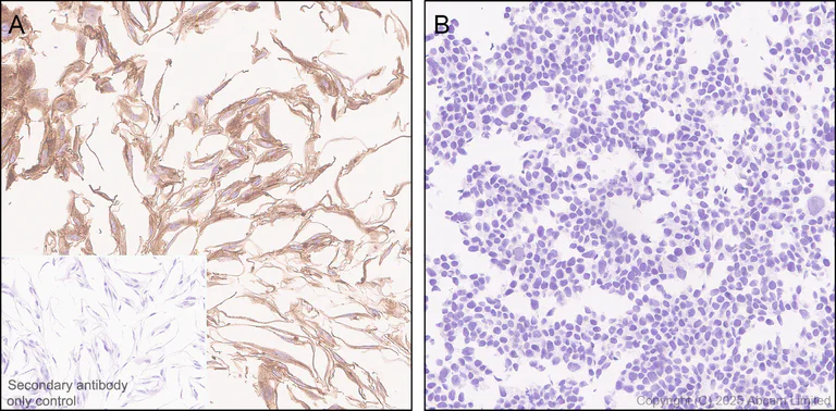
Immunohistochemical analysis of paraffin-embedded (A) HUVEC (human umbilical vein endothelial cell) cell pellet. (B) HEK-293 (human embryonic kidney epithelial cell) cell pellet. tissue labeling CLEC14A with ab324497 at 1/1000 (0.498 ug/ml) dilution, followed by a ready to use LeicaDS9800 (Bond™ Polymer Refine Detection).

Positive staining on (A) HUVEC cell pellet, no staining on (B) HEK-293 cell pellet.
The primary antibody was incubated for 30 mins at room temperature.
The immunostaining was performed on a Leica Biosystems BOND® RX instrument

Counterstained with Hematoxylin.

Secondary antibody only control : Secondary antibody is a ready to use LeicaDS9800 (Bond™ Polymer Refine Detection).

Heat mediated antigen retrieval was performed with Tris-EDTA buffer (pH 9.0, Epitope Retrieval Solution2) for 20 mins

Western blot - Anti-CLEC14A antibody [EPR30281-548] - BSA and Azide free (AB324498)
  • WB

Supplier Data

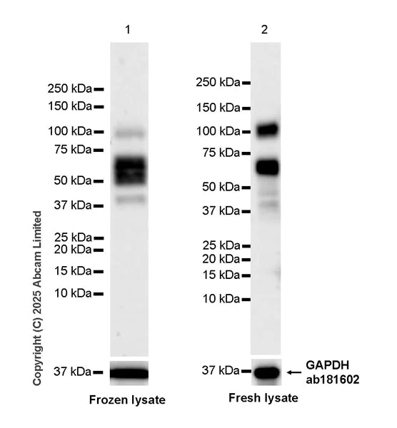
Western blot - Anti-CLEC14A antibody [EPR30281-548] - BSA and Azide free (AB324498)

This data was developed using ab324497, the same antibody clone in a different buffer formulation.

Blocking and diluting buffer and concentration : 5% NFDM/TBST.

In lane 1, the lysate was stored at -80℃ prior to Western Blotting. The bands beneath the target band (60 kDa) are likey to be degradation products. In lane 2, To minimize protein degradation, cell was lysed immediately after harvest and then applied to a gel and transfer membrane for Western blotting as soon as possible.

The expression profile/ molecular weight observed is consistent with what has been described in the literature (PMID : 28671670).

In Western blot, Anti-GAPDH antibody [EPR16891] - Loading Control (ab181602) staining at 1/200000 dilution.

All lanes:

Western blot - Anti-CLEC14A antibody [EPR30281-548] (<a href='/en-us/products/primary-antibodies/clec14a-antibody-epr30281-548-ab324497'>ab324497</a>) at 1/1000 dilution

Lane 1:

HUVEC (human umbilical vein endothelial cell) whole cell lysate (Frozen lysate) at 20 µg

Lane 2:

HUVEC (human umbilical vein endothelial cell) whole cell lysate (Fresh lysate) at 20 µg

Secondary

All lanes:

Western blot - Goat Anti-Rabbit IgG H&L (HRP) (<a href='/en-us/products/secondary-antibodies/goat-rabbit-igg-h-l-hrp-ab97051'>ab97051</a>) at 1/100000 dilution

Observed band size: 40-60 kDa,36 kDa

false

Exposure time: 92s

Western blot - Anti-CLEC14A antibody [EPR30281-548] - BSA and Azide free (AB324498)
  • WB

Supplier Data

Western blot - Anti-CLEC14A antibody [EPR30281-548] - BSA and Azide free (AB324498)

This data was developed using ab324497, the same antibody clone in a different buffer formulation.

Blocking and diluting buffer and concentration : 5% NFDM/TBST.

The expression profile/ molecular weight observed is consistent with what has been described in the literature (PMID : 28671670).

In Western blot, Anti-GAPDH antibody [EPR16891] - Loading Control (ab181602) staining at 1/200000 dilution.

All lanes:

Western blot - Anti-CLEC14A antibody [EPR30281-548] (<a href='/en-us/products/primary-antibodies/clec14a-antibody-epr30281-548-ab324497'>ab324497</a>) at 1/1000 dilution

Lane 1:

Human hypothalamus tissue lysate at 20 µg

Lane 2:

Human testis tissue lysate at 20 µg

Lane 3:

Human colon tissue lysate at 20 µg

Lane 4:

Human small intestine tissue lysate at 20 µg

Lane 5:

Human pancreas tissue lysate at 20 µg

Lane 6:

Human spleen tissue lysate at 20 µg

Secondary

All lanes:

Goat Anti-Rabbit IgG (HRP) with minimal cross-reactivity with human IgG at 1/2000 dilution

Observed band size: 40-60 kDa,100 kDa,36 kDa

false

Exposure time: 180s

Western blot - Anti-CLEC14A antibody [EPR30281-548] - BSA and Azide free (AB324498)
  • WB

Supplier Data

Western blot - Anti-CLEC14A antibody [EPR30281-548] - BSA and Azide free (AB324498)

This data was developed using ab324497, the same antibody clone in a different buffer formulation.

Blocking and diluting buffer and concentration : 5% NFDM/TBST.

Low expression : HEK-293, THP-1.

The expression profile/ molecular weight observed is consistent with what has been described in the literature (PMID : 28671670).

In Western blot, Anti-GAPDH antibody [EPR16891] - Loading Control (ab181602) staining at 1/200000 dilution.

All lanes:

Western blot - Anti-CLEC14A antibody [EPR30281-548] (<a href='/en-us/products/primary-antibodies/clec14a-antibody-epr30281-548-ab324497'>ab324497</a>) at 1/1000 dilution

Lane 1:

HUVEC (human umbilical vein endothelial cell) whole cell lysate at 20 µg

Lane 2:

EA.hy926 (human somatic cell hybrid endothelial cell) whole cell lysate at 20 µg

Lane 3:

HEK-293 (human embryonic kidney epithelial cell) whole cell lysate at 20 µg

Lane 4:

THP-1 (human monocytic leukemia monocyte) whole cell lysate at 20 µg

Secondary

All lanes:

Western blot - Goat Anti-Rabbit IgG H&L (HRP) (<a href='/en-us/products/secondary-antibodies/goat-rabbit-igg-h-l-hrp-ab97051'>ab97051</a>) at 1/100000 dilution

Observed band size: 40-60 kDa,100 kDa,36 kDa

false

Exposure time: 92s

Western blot - Anti-CLEC14A antibody [EPR30281-548] - BSA and Azide free (AB324498)
  • WB

Supplier Data

Western blot - Anti-CLEC14A antibody [EPR30281-548] - BSA and Azide free (AB324498)

This data was developed using ab324497, the same antibody clone in a different buffer formulation.

Blocking and diluting buffer and concentration : 5% NFDM/TBST.

CLEC14A is a glycoprotein of approximately 40-60, 100 kDa and detected as a 35-50, 90 kDa band after treated with Peptide : N-glycosidase F (PNGase F).

The expression profile/ molecular weight observed is consistent with what has been described in the literature (PMID : 28671670).

In Western blot, Anti-GAPDH antibody [EPR16891] - Loading Control (ab181602) staining at 1/200000 dilution.

All lanes:

Western blot - Anti-CLEC14A antibody [EPR30281-548] (<a href='/en-us/products/primary-antibodies/clec14a-antibody-epr30281-548-ab324497'>ab324497</a>) at 1/1000 dilution

Lane 1:

Untreated HUVEC whole cell lysate at 20 µg

Lane 2:

HUVEC whole cell lysate treated with Peptide: N-glycosidase F (PNGase F) at 20 µg

Secondary

All lanes:

Western blot - Goat Anti-Rabbit IgG H&L (HRP) (<a href='/en-us/products/secondary-antibodies/goat-rabbit-igg-h-l-hrp-ab97051'>ab97051</a>) at 1/100000 dilution

Observed band size: 40-60 kDa,100 kDa,36 kDa

false

Exposure time: 180s

Key facts

Host species

Rabbit

Clonality

Monoclonal

Clone number

EPR30281-548

Isotype

IgG

Carrier free

Yes

Reacts with

Human

Applications

IHC-P, Flow Cyt, WB

applications

Immunogen

The exact immunogen used to generate this antibody is proprietary information.

Reactivity data

{ "title": "Reactivity Data", "filters": { "stats": ["", "Species", "Dilution Info", "Notes"], "tabs": { "all-applications": {"fullname" : "All Applications", "shortname": "All Applications"}, "FlowCyt" : {"fullname" : "Flow Cytometry", "shortname":"Flow Cyt"}, "IHCP" : {"fullname" : "Immunohistochemistry (Formalin/PFA-fixed paraffin-embedded sections)", "shortname":"IHC-P"}, "WB" : {"fullname" : "Western blot", "shortname":"WB"}, "ICCIF" : {"fullname" : "Immunocytochemistry/ Immunofluorescence", "shortname":"ICC/IF"} }, "product-promise": { "all": "all", "testedAndGuaranteed": "tested", "guaranteed": "expected", "predicted": "predicted", "notRecommended": "not-recommended" } }, "values": { "Human": { "FlowCyt-species-checked": "testedAndGuaranteed", "FlowCyt-species-dilution-info": "", "FlowCyt-species-notes": "<p></p>", "IHCP-species-checked": "testedAndGuaranteed", "IHCP-species-dilution-info": "", "IHCP-species-notes": "<p></p> Perform heat-mediated antigen retrieval with Tris/EDTA buffer pH 9.0 before commencing with IHC staining protocol.", "WB-species-checked": "testedAndGuaranteed", "WB-species-dilution-info": "", "WB-species-notes": "<p></p>", "ICCIF-species-checked": "notRecommended", "ICCIF-species-dilution-info": "", "ICCIF-species-notes": "<p></p>" } } }

Product details

ab324498 is the carrier-free version of ab324497

Patented technology
Our RabMAb® technology is a patented hybridoma-based technology for making rabbit monoclonal antibodies. For details on our patents, please refer to RabMAb® patents.

What are the advantages of a recombinant monoclonal antibody?
This product is a recombinant monoclonal antibody, which offers several advantages including:

  • - High batch-to-batch consistency and reproducibility
  • - Improved sensitivity and specificity
  • - Long-term security of supply
  • - Animal-free batch production

For more information, read more on recombinant antibodies.

Conjugation ready
Our carrier-free antibodies are typically supplied in a PBS-only formulation, purified and free of BSA, sodium azide and glycerol. This conjugation-ready format is designed for use with fluorochromes, metal isotopes, oligonucleotides, and enzymes, which makes them ideal for antibody labelling, functional and cell-based assays, flow-based assays (e.g. mass cytometry) and Multiplex Imaging applications.

Use our conjugation kits for antibody conjugates that are ready-to-use in as little as 20 minutes with 1 minute hands-on-time and 100% antibody recovery: available for fluorescent dyes, HRP, biotin and gold.

Compatibility
This product is compatible with the Maxpar® Antibody Labeling Kit from Fluidigm, without the need for antibody preparation. Maxpar® is a trademark of Fluidigm Canada Inc.

Properties and storage information

Form
Liquid
Purification technique
Affinity purification Protein A
Storage buffer
pH: 7.2 - 7.4 Constituents: PBS
Shipped at conditions
Blue Ice
Appropriate short-term storage conditions
+4°C
Appropriate long-term storage conditions
+4°C

Product protocols

For this product, it's our understanding that no specific protocols are required. You can visit:

Product promise

We are committed to supporting your work with high-quality reagents, and we're here for you every step of the way. In the unlikely event that one of our products does not perform as expected, you're protected by our Product Promise.
For full details, please see our Terms & Conditions

Please note: All products are 'FOR RESEARCH USE ONLY. NOT FOR USE IN DIAGNOSTIC OR THERAPEUTIC PROCEDURES'.

For licensing inquiries, please contact partnerships@abcam.com