JavaScript is disabled in your browser. Please enable JavaScript to view this website.
AB111105

Anti-CLEC2D antibody

Be the first to review this product! Submit a review

|

(1 Publication)

Goat Polyclonal CLEC2D antibody. Suitable for IHC-P and reacts with Human samples. Cited in 1 publication. Immunogen corresponding to Synthetic Peptide within Human CLEC2D conjugated to Keyhole Limpet Haemocyanin.

View Alternative Names

CLAX, LLT1, OCIL, CLEC2D, C-type lectin domain family 2 member D, Lectin-like NK cell receptor, Lectin-like transcript 1, Osteoclast inhibitory lectin, LLT-1

2 Images
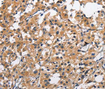
Immunohistochemistry (Formalin/PFA-fixed paraffin-embedded sections) - Anti-CLEC2D antibody (AB111105)
  • IHC-P

Unknown

Immunohistochemistry (Formalin/PFA-fixed paraffin-embedded sections) - Anti-CLEC2D antibody (AB111105)

ab111105, at 3.75µg/ml, staining CLED2D in formalin-fixed, paraffin-embedded Human Tonnsil tissue by Immunohistochemistry.

Immunohistochemistry (Formalin/PFA-fixed paraffin-embedded sections) - Anti-CLEC2D antibody (AB111105)
  • IHC-P

Unknown

Immunohistochemistry (Formalin/PFA-fixed paraffin-embedded sections) - Anti-CLEC2D antibody (AB111105)

ab111105, at 3.75µg/ml, staining CLED2D in formalin-fixed, paraffin-embedded Human Placenta tissue by Immunohistochemistry.

Key facts

Host species

Goat

Clonality

Polyclonal

Isotype

IgG

Carrier free

No

Reacts with

Human

Applications

IHC-P

applications

Immunogen

Synthetic Peptide within Human CLEC2D conjugated to Keyhole Limpet Haemocyanin. The exact immunogen used to generate this antibody is proprietary information.

Q9UHP7

Reactivity data

{ "title": "Reactivity Data", "filters": { "stats": ["", "Species", "Dilution Info", "Notes"], "tabs": { "all-applications": {"fullname" : "All Applications", "shortname": "All Applications"}, "IHCP" : {"fullname" : "Immunohistochemistry (Formalin/PFA-fixed paraffin-embedded sections)", "shortname":"IHC-P"} }, "product-promise": { "all": "all", "testedAndGuaranteed": "tested", "guaranteed": "expected", "predicted": "predicted", "notRecommended": "not-recommended" } }, "values": { "Human": { "IHCP-species-checked": "testedAndGuaranteed", "IHCP-species-dilution-info": "3.75 µg/mL", "IHCP-species-notes": "<p></p> Perform heat-mediated antigen retrieval with citrate buffer pH 6 before commencing with IHC staining protocol." }, "Cow": { "IHCP-species-checked": "predicted", "IHCP-species-dilution-info": "", "IHCP-species-notes": "" }, "Dog": { "IHCP-species-checked": "predicted", "IHCP-species-dilution-info": "", "IHCP-species-notes": "" } } }

Properties and storage information

Form
Liquid
Purification technique
Affinity purification Immunogen
Storage buffer
pH: 7.3 Preservative: 0.02% Sodium azide Constituents: Tris buffered saline, 0.5% BSA
Shipped at conditions
Blue Ice
Appropriate short-term storage conditions
+4°C
Appropriate long-term storage conditions
-20°C
Aliquoting information
Upon delivery aliquot
Storage information
Avoid freeze / thaw cycle

Product protocols

For this product, it's our understanding that no specific protocols are required. You can visit:

Target data

Receptor for KLRB1 that protects target cells against natural killer cell-mediated lysis (PubMed : 16339513, PubMed : 20843815). Inhibits osteoclast formation (PubMed : 14753741, PubMed : 15123656). Inhibits bone resorption (PubMed : 14753741). Modulates the release of interferon-gamma (PubMed : 15104121). Binds high molecular weight sulfated glycosaminoglycans (PubMed : 15123656).
See full target information CLEC2D

Publications (1)

Recent publications for all applications. Explore the full list and refine your search

Redox biology 86:103826 PubMed40825268

2025

Macrophages and macrophage extracellular vesicles confer cancer ferroptosis resistance via PRDX6-mediated mitophagy inhibition.

Applications

Unspecified application

Species

Unspecified reactive species

Naisheng Zheng,Fuli Li,Qing Huang,Xian Huang,Tomasz Maj
View all publications

Product promise

We are committed to supporting your work with high-quality reagents, and we're here for you every step of the way. In the unlikely event that one of our products does not perform as expected, you're protected by our Product Promise.
For full details, please see our Terms & Conditions

Please note: All products are 'FOR RESEARCH USE ONLY. NOT FOR USE IN DIAGNOSTIC OR THERAPEUTIC PROCEDURES'.

For licensing inquiries, please contact partnerships@abcam.com