JavaScript is disabled in your browser. Please enable JavaScript to view this website.
AB185282

Anti-CLEC3A antibody

Be the first to review this product! Submit a review

|

(3 Publications)

Rabbit Polyclonal CLEC3A antibody. Suitable for IHC-P and reacts with Human samples. Cited in 3 publications. Immunogen corresponding to Recombinant Fragment Protein within Human CLEC3A aa 50 to C-terminus.

View Alternative Names

CLECSF1, UNQ700/PRO1345, CLEC3A, C-type lectin domain family 3 member A, C-type lectin superfamily member 1, Cartilage-derived C-type lectin

1 Images
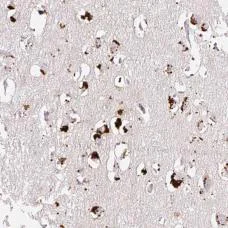
Immunohistochemistry (Formalin/PFA-fixed paraffin-embedded sections) - Anti-CLEC3A antibody (AB185282)
  • IHC-P

Supplier Data

Immunohistochemistry (Formalin/PFA-fixed paraffin-embedded sections) - Anti-CLEC3A antibody (AB185282)

Immunohistochemical analysis of paraffin-embedded Human cerebral cortex tissue labeling CLEC3A with ab185282 at 1/5000 dilution.

Key facts

Host species

Rabbit

Clonality

Polyclonal

Isotype

IgG

Carrier free

No

Reacts with

Human

Applications

IHC-P

applications

Immunogen

Recombinant Fragment Protein within Human CLEC3A aa 50 to C-terminus. The exact immunogen used to generate this antibody is proprietary information.

O75596

Reactivity data

{ "title": "Reactivity Data", "filters": { "stats": ["", "Species", "Dilution Info", "Notes"], "tabs": { "all-applications": {"fullname" : "All Applications", "shortname": "All Applications"}, "IHCP" : {"fullname" : "Immunohistochemistry (Formalin/PFA-fixed paraffin-embedded sections)", "shortname":"IHC-P"} }, "product-promise": { "all": "all", "testedAndGuaranteed": "tested", "guaranteed": "expected", "predicted": "predicted", "notRecommended": "not-recommended" } }, "values": { "Human": { "IHCP-species-checked": "testedAndGuaranteed", "IHCP-species-dilution-info": "1/5000 - 1/10000", "IHCP-species-notes": "<p></p> Perform heat-mediated antigen retrieval with citrate buffer pH 6 before commencing with IHC staining protocol." } } }

Properties and storage information

Form
Liquid
Purification technique
Affinity purification Immunogen
Storage buffer
pH: 7.2 Preservative: 0.02% Sodium azide Constituents: PBS, 40% Glycerol (glycerin, glycerine)
Shipped at conditions
Blue Ice
Appropriate short-term storage duration
1-2 weeks
Appropriate short-term storage conditions
+4°C
Appropriate long-term storage conditions
-20°C
Aliquoting information
Upon delivery aliquot
Storage information
Avoid freeze / thaw cycle

Product protocols

For this product, it's our understanding that no specific protocols are required. You can visit:

Target data

Promotes cell adhesion to laminin-332 and fibronectin.
See full target information CLEC3A

Publications (3)

Recent publications for all applications. Explore the full list and refine your search

Journal of experimental & clinical cancer research : CR 40:312 PubMed34615546

2021

Mutant NPM1-regulated lncRNA HOTAIRM1 promotes leukemia cell autophagy and proliferation by targeting EGR1 and ULK3.

Applications

Unspecified application

Species

Unspecified reactive species

Yipei Jing,Xueke Jiang,Li Lei,Meixi Peng,Jun Ren,Qiaoling Xiao,Yao Tao,Yonghong Tao,Junpeng Huang,Lu Wang,Yuting Tang,Zailin Yang,Zesong Yang,Ling Zhang

Molecular medicine reports 21:1739-1748 PubMed32319617

2020

Suppression of CLEC3A inhibits osteosarcoma cell proliferation and promotes their chemosensitivity through the AKT1/mTOR/HIF1α signaling pathway.

Applications

Unspecified application

Species

Unspecified reactive species

Chong Ren,Runsang Pan,Lisong Hou,Huaping Wu,Junkang Sun,Wenguang Zhang,Xiaobin Tian,Houping Chen

Cancer medicine 8:3748-3760 PubMed31129920

2019

CLEC3A, MMP7, and LCN2 as novel markers for predicting recurrence in resected G1 and G2 pancreatic neuroendocrine tumors.

Applications

Unspecified application

Species

Unspecified reactive species

Masami Miki,Takamasa Oono,Nao Fujimori,Takehiro Takaoka,Ken Kawabe,Yoshihiro Miyasaka,Takao Ohtsuka,Daisuke Saito,Masafumi Nakamura,Yasuyuki Ohkawa,Yoshinao Oda,Mikita Suyama,Tetsuhide Ito,Yoshihiro Ogawa
View all publications

Product promise

We are committed to supporting your work with high-quality reagents, and we're here for you every step of the way. In the unlikely event that one of our products does not perform as expected, you're protected by our Product Promise.
For full details, please see our Terms & Conditions

Please note: All products are 'FOR RESEARCH USE ONLY. NOT FOR USE IN DIAGNOSTIC OR THERAPEUTIC PROCEDURES'.

For licensing inquiries, please contact partnerships@abcam.com