JavaScript is disabled in your browser. Please enable JavaScript to view this website.
AB315328

Anti-CLEC4A antibody [EPR26969-125]

  • BOND RX™ Validated
  • 20ul selling size
  • RabMAb
  • Recombinant
  • What is this?

Be the first to review this product! Submit a review

|

(0 Publication)

Rabbit Recombinant Monoclonal CLECSF6 antibody. Suitable for IHC-P, ICC/IF, Flow Cyt and reacts with Human, Transfected cell line - Human samples.

View Alternative Names

CD367, CLECSF6, DCIR, LLIR, HDCGC13P, CLEC4A, C-type lectin domain family 4 member A, C-type lectin DDB27, C-type lectin superfamily member 6, Dendritic cell immunoreceptor, Lectin-like immunoreceptor

8 Images
Immunohistochemistry (Formalin/PFA-fixed paraffin-embedded sections) - Anti-CLEC4A antibody [EPR26969-125] (AB315328)
  • IHC-P

Supplier Data

Immunohistochemistry (Formalin/PFA-fixed paraffin-embedded sections) - Anti-CLEC4A antibody [EPR26969-125] (AB315328)

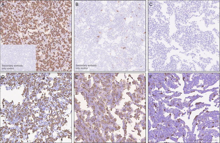
Immunohistochemical analysis of paraffin-embedded (A, D) HEK-293T (human embryonic kidney epithelial cell) transfected with a human CLEC4A expression vector containing a his tag. (B, E) HEK-293T (human embryonic kidney epithelial cell) transfected with a human CLEC4C expression vector containing a his tag. (C, F) HEK-293T transfected with empty vector containing a his tag. Tissue labeling CLEC4A with ab315328 at 1/2000 (0.254 ug/ml) dilution, followed by a ready to use LeicaDS9800 (Bond™ Polymer Refine Detection).

Positive staining on (A) HEK-293T transfected with a human CLEC4A expression vector containing a his tag. Weak staining on (B) HEK-293T transfected with a human CLEC4C expression vector containing a his tag. No staining on (C) HEK-293T transfected with empty vector containing a his tag. The section A, B, C was incubated with ab315328 for 30 mins at room temperature. The section D, E, F was incubated with anti-his tag antibody for 30 mins at room temperature. The immunostaining was performed on a Leica Biosystems BOND® RX instrument. Counterstained with Hematoxylin.

Secondary antibody only control : Secondary antibody is a ready to use LeicaDS9800 (Bond™ Polymer Refine Detection).

Heat mediated antigen retrieval was performed with Tris-EDTA buffer (pH 9.0, Epitope Retrieval Solution2) for 20 mins.

Immunohistochemistry (Formalin/PFA-fixed paraffin-embedded sections) - Anti-CLEC4A antibody [EPR26969-125] (AB315328)
  • IHC-P

Supplier Data

Immunohistochemistry (Formalin/PFA-fixed paraffin-embedded sections) - Anti-CLEC4A antibody [EPR26969-125] (AB315328)

Immunohistochemical analysis of paraffin-embedded Human liver tissue labeling CLEC4A with ab315328 at 1/2000 (0.254 ug/ml) dilution, followed by a ready to use LeicaDS9800 (Bond™ Polymer Refine Detection).

Negative control : no staining on human liver (PMID : 34409028). The section was incubated with ab315328 for 30 mins at room temperature. The immunostaining was performed on a Leica Biosystems BOND® RX instrument. Counterstained with Hematoxylin.

Secondary antibody only control : Secondary antibody is a ready to use LeicaDS9800 (Bond™ Polymer Refine Detection).

Heat mediated antigen retrieval was performed with Tris-EDTA buffer (pH 9.0, Epitope Retrieval Solution2) for 20 mins.

Immunohistochemistry (Formalin/PFA-fixed paraffin-embedded sections) - Anti-CLEC4A antibody [EPR26969-125] (AB315328)
  • IHC-P

Supplier Data

Immunohistochemistry (Formalin/PFA-fixed paraffin-embedded sections) - Anti-CLEC4A antibody [EPR26969-125] (AB315328)

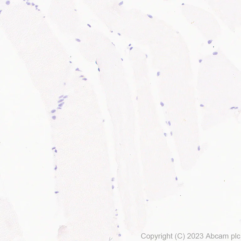
Immunohistochemical analysis of paraffin-embedded Human skeletal muscle tissue labeling CLEC4A with ab315328 at 1/2000 (0.254 ug/ml) dilution, followed by a ready to use LeicaDS9800 (Bond™ Polymer Refine Detection).

Negative control : no staining on human skeletal muscle. The section was incubated with ab315328 for 30 mins at room temperature. The immunostaining was performed on a Leica Biosystems BOND® RX instrument. Counterstained with Hematoxylin.

Secondary antibody only control : Secondary antibody is a ready to use LeicaDS9800 (Bond™ Polymer Refine Detection).

Heat mediated antigen retrieval was performed with Tris-EDTA buffer (pH 9.0, Epitope Retrieval Solution2) for 20 mins.

Immunohistochemistry (Formalin/PFA-fixed paraffin-embedded sections) - Anti-CLEC4A antibody [EPR26969-125] (AB315328)
  • IHC-P

Supplier Data

Immunohistochemistry (Formalin/PFA-fixed paraffin-embedded sections) - Anti-CLEC4A antibody [EPR26969-125] (AB315328)

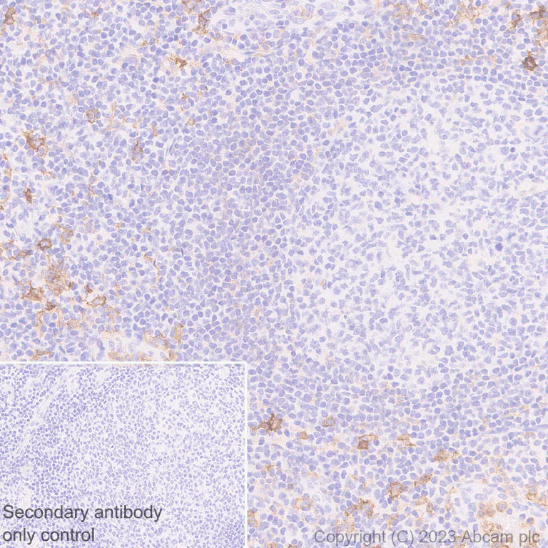
Immunohistochemical analysis of paraffin-embedded Human spleen tissue labeling CLEC4A with ab315328 at 1/2000 (0.254 ug/ml) dilution, followed by a ready to use LeicaDS9800 (Bond™ Polymer Refine Detection).

Positive staining on human spleen. The section was incubated with ab315328 for 30 mins at room temperature. The immunostaining was performed on a Leica Biosystems BOND® RX instrument. Counterstained with Hematoxylin.

Secondary antibody only control : Secondary antibody is a ready to use LeicaDS9800 (Bond™ Polymer Refine Detection).

Heat mediated antigen retrieval was performed with Tris-EDTA buffer (pH 9.0, Epitope Retrieval Solution2) for 20 mins.

Immunohistochemistry (Formalin/PFA-fixed paraffin-embedded sections) - Anti-CLEC4A antibody [EPR26969-125] (AB315328)
  • IHC-P

Supplier Data

Immunohistochemistry (Formalin/PFA-fixed paraffin-embedded sections) - Anti-CLEC4A antibody [EPR26969-125] (AB315328)

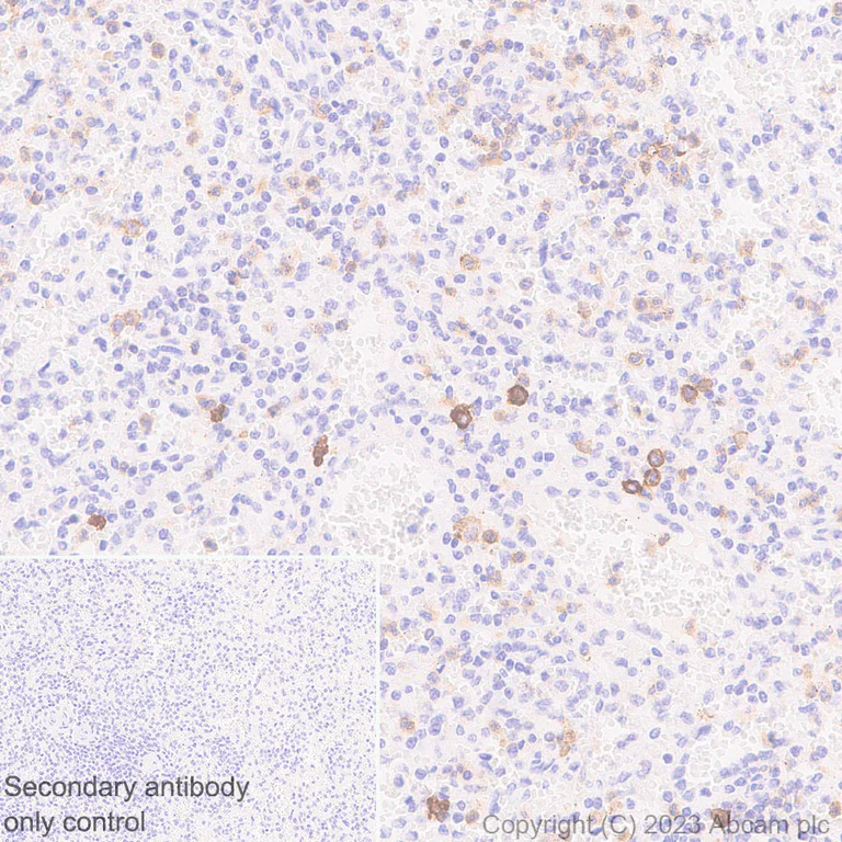
Immunohistochemical analysis of paraffin-embedded Human tonsil tissue labeling CLEC4A with ab315328 at 1/2000 (0.254 ug/ml) dilution, followed by a ready to use LeicaDS9800 (Bond™ Polymer Refine Detection).

Positive staining on human tonsil (PMID : 10438934). The section was incubated with ab315328 for 30 mins at room temperature. The immunostaining was performed on a Leica Biosystems BOND® RX instrument. Counterstained with Hematoxylin.

Secondary antibody only control : Secondary antibody is a ready to use LeicaDS9800 (Bond™ Polymer Refine Detection).

Heat mediated antigen retrieval was performed with Tris-EDTA buffer (pH 9.0, Epitope Retrieval Solution2) for 20 mins.

Immunocytochemistry/ Immunofluorescence - Anti-CLEC4A antibody [EPR26969-125] (AB315328)
  • ICC/IF

Supplier Data

Immunocytochemistry/ Immunofluorescence - Anti-CLEC4A antibody [EPR26969-125] (AB315328)

Immunofluorescent analysis of 4% Paraformaldehyde-fixed, 0.1% Tween-20 permeabilized Human PBMC (human primary peripheral blood mononuclear cell) cells labelling CLEC4A with ab315328 at 1/50 (10.06 ug/ml) dilution, followed by ab150081 Goat Anti-Rabbit IgG H&L (Alexa Fluor® 488) preadsorbed antibody at 1/1000 (2 ug/ml) dilution (Green).

Confocal image showing membranous staining in subsets of human PBMCs. Image was taken with a confocal microscope(Leica-Microsystems, TCS SP8).

ab195889 Anti-alpha Tubulin mouse monoclonal antibody - Microtubule Marker (Alexa Fluor® 594) was used to counterstain tubulin at 1/200 (2.5 ug/ml) dilution (Red). The Nuclear counterstain was DAPI (Blue).

Secondary antibody only control : Secondary antibody is ab150081 Goat Anti-Rabbit IgG H&L (Alexa Fluor® 488) preadsorbed at 1/1000 (2 ug/ml) dilution.

Flow Cytometry - Anti-CLEC4A antibody [EPR26969-125] (AB315328)
  • Flow Cyt

Supplier Data

Flow Cytometry - Anti-CLEC4A antibody [EPR26969-125] (AB315328)

Flow cytometric analysis of Human PBMC (human peripheral blood mononuclear cell) cells labelling CLEC4A with ab315328 at 1/500 dilution (0.1 ug, Right) compared with a Rabbit monoclonal IgG (ab172730) / Left isotype control.

Goat Anti-Rabbit IgG (Alexa Fluor® 488, ab150081) at 1/5000 dilution was used as the secondary antibody.

Gated on viable cells. Cells are co-stained with CD3 conjugated to Alexa Fluor®647.

Flow Cytometry - Anti-CLEC4A antibody [EPR26969-125] (AB315328)
  • Flow Cyt

Supplier Data

Flow Cytometry - Anti-CLEC4A antibody [EPR26969-125] (AB315328)

Flow cytometric analysis of Human PBMC (human peripheral blood mononuclear cell) cells labelling CLEC4A with ab315328 at 1/500 dilution (0.1 ug, Right) compared with a Rabbit monoclonal IgG (ab172730) / Left isotype control.

Goat Anti-Rabbit IgG (Alexa Fluor® 488, ab150081) at 1/5000 dilution was used as the secondary antibody.

Gated on viable cells. Cells are co-stained with CD11b conjugated to BV421.

Key facts

Host species

Rabbit

Clonality

Monoclonal

Clone number

EPR26969-125

Isotype

IgG

Carrier free

No

Reacts with

Human

Applications

IHC-P, Flow Cyt, ICC/IF

applications

Immunogen

The exact immunogen used to generate this antibody is proprietary information.

Specificity

There is 51% homology between the antibody immunogen and the CLEC4C protein. IHC data suggests weak cross-reactivity with CLEC4C.

Reactivity data

{ "title": "Reactivity Data", "filters": { "stats": ["", "Species", "Dilution Info", "Notes"], "tabs": { "all-applications": {"fullname" : "All Applications", "shortname": "All Applications"}, "IHCP" : {"fullname" : "Immunohistochemistry (Formalin/PFA-fixed paraffin-embedded sections)", "shortname":"IHC-P"}, "ICCIF" : {"fullname" : "Immunocytochemistry/ Immunofluorescence", "shortname":"ICC/IF"}, "FlowCyt" : {"fullname" : "Flow Cytometry", "shortname":"Flow Cyt"}, "WB" : {"fullname" : "Western blot", "shortname":"WB"}, "IP" : {"fullname" : "Immunoprecipitation", "shortname":"IP"} }, "product-promise": { "all": "all", "testedAndGuaranteed": "tested", "guaranteed": "expected", "predicted": "predicted", "notRecommended": "not-recommended" } }, "values": { "Human": { "IHCP-species-checked": "testedAndGuaranteed", "IHCP-species-dilution-info": "1/2000", "IHCP-species-notes": "<p></p> Perform heat-mediated antigen retrieval with Tris/EDTA buffer pH 9.0 before commencing with IHC staining protocol.", "ICCIF-species-checked": "testedAndGuaranteed", "ICCIF-species-dilution-info": "1/50", "ICCIF-species-notes": "<p></p>", "FlowCyt-species-checked": "testedAndGuaranteed", "FlowCyt-species-dilution-info": "1/500", "FlowCyt-species-notes": "<p></p>", "WB-species-checked": "notRecommended", "WB-species-dilution-info": "", "WB-species-notes": "<p></p>", "IP-species-checked": "notRecommended", "IP-species-dilution-info": "", "IP-species-notes": "<p></p>" }, "Mouse": { "IHCP-species-checked": "notRecommended", "IHCP-species-dilution-info": "", "IHCP-species-notes": "<p></p>", "ICCIF-species-checked": "notRecommended", "ICCIF-species-dilution-info": "", "ICCIF-species-notes": "", "FlowCyt-species-checked": "notRecommended", "FlowCyt-species-dilution-info": "", "FlowCyt-species-notes": "", "WB-species-checked": "notRecommended", "WB-species-dilution-info": "", "WB-species-notes": "<p></p>", "IP-species-checked": "notRecommended", "IP-species-dilution-info": "", "IP-species-notes": "" }, "Rat": { "IHCP-species-checked": "notRecommended", "IHCP-species-dilution-info": "", "IHCP-species-notes": "<p></p>", "ICCIF-species-checked": "notRecommended", "ICCIF-species-dilution-info": "", "ICCIF-species-notes": "", "FlowCyt-species-checked": "notRecommended", "FlowCyt-species-dilution-info": "", "FlowCyt-species-notes": "", "WB-species-checked": "notRecommended", "WB-species-dilution-info": "", "WB-species-notes": "<p></p>", "IP-species-checked": "notRecommended", "IP-species-dilution-info": "", "IP-species-notes": "" }, "Transfected cell line - Human": { "IHCP-species-checked": "testedAndGuaranteed", "IHCP-species-dilution-info": "1/2000", "IHCP-species-notes": "<p></p> Perform heat-mediated antigen retrieval with Tris/EDTA buffer pH 9.0 before commencing with IHC staining protocol.", "ICCIF-species-checked": "notRecommended", "ICCIF-species-dilution-info": "", "ICCIF-species-notes": "", "FlowCyt-species-checked": "notRecommended", "FlowCyt-species-dilution-info": "", "FlowCyt-species-notes": "", "WB-species-checked": "notRecommended", "WB-species-dilution-info": "", "WB-species-notes": "", "IP-species-checked": "notRecommended", "IP-species-dilution-info": "", "IP-species-notes": "" } } }

Product details

Patented technology
Our RabMAb® technology is a patented hybridoma-based technology for making rabbit monoclonal antibodies. For details on our patents, please refer to RabMAb® patents.

What are the advantages of a recombinant monoclonal antibody?
This product is a recombinant monoclonal antibody, which offers several advantages including:

  • - High batch-to-batch consistency and reproducibility
  • - Improved sensitivity and specificity
  • - Long-term security of supply
  • - Animal-free batch production

For more information, read more on recombinant antibodies.

Properties and storage information

Form
Liquid
Purification technique
Affinity purification Protein A
Storage buffer
pH: 7.2 - 7.4 Preservative: 0.01% Sodium azide Constituents: PBS, 40% Glycerol (glycerin, glycerine), 0.05% BSA
Shipped at conditions
Blue Ice
Appropriate short-term storage duration
1-2 weeks
Appropriate short-term storage conditions
+4°C
Appropriate long-term storage conditions
-20°C
Aliquoting information
Upon delivery aliquot
Storage information
Avoid freeze / thaw cycle

Product protocols

For this product, it's our understanding that no specific protocols are required. You can visit:

Target data

C-type lectin receptor that binds carbohydrates mannose and fucose but also weakly interacts with N-acetylglucosamine (GlcNAc) in a Ca(2+)-dependent manner (PubMed : 27015765). Involved in regulating immune reactivity (PubMed : 10438934, PubMed : 18258799). Once triggered by antigen, it is internalized by clathrin-dependent endocytosis and delivers its antigenic cargo into the antigen presentation pathway resulting in cross-priming of CD8(+) T cells. This cross-presentation and cross-priming are enhanced by TLR7 and TLR8 agonists with increased expansion of the CD8(+) T cells, high production of IFNG and TNF with reduced levels of IL4, IL5 and IL13 (PubMed : 18258799, PubMed : 20530286). In plasmacytoid dendritic cells, inhibits TLR9-mediated IFNA and TNF production (PubMed : 18258799). May be involved via its ITIM motif (immunoreceptor tyrosine-based inhibitory motifs) in the inhibition of B-cell-receptor-mediated calcium mobilization and protein tyrosine phosphorylation (PubMed : 10438934).. (Microbial infection) Involved in the interaction between HIV-1 virus and dendritic cells. Enhances HIV-1 binding/entry and virus infection. Requires ITIM motif-associated signal transduction pathway involving phosphatases PTPN6 and PTPN11, SYK, Src kinases and MAP kinases.
See full target information CLEC4A

Product promise

We are committed to supporting your work with high-quality reagents, and we're here for you every step of the way. In the unlikely event that one of our products does not perform as expected, you're protected by our Product Promise.
For full details, please see our Terms & Conditions

Please note: All products are 'FOR RESEARCH USE ONLY. NOT FOR USE IN DIAGNOSTIC OR THERAPEUTIC PROCEDURES'.

For licensing inquiries, please contact partnerships@abcam.com