JavaScript is disabled in your browser. Please enable JavaScript to view this website.
AB100846

Anti-CLEC4E/MINCLE antibody [AT16E3]

Be the first to review this product! Submit a review

|

(5 Publications)

Mouse Monoclonal CLEC4E/MINCLE antibody. Suitable for Flow Cyt, WB, IHC-P, ICC/IF and reacts with Human samples. Cited in 5 publications. Immunogen corresponding to Recombinant Fragment Protein within Human CLEC4E aa 1 to C-terminus.

View Alternative Names

CLECSF9, MINCLE, UNQ218/PRO244, CLEC4E, C-type lectin domain family 4 member E, C-type lectin superfamily member 9, Macrophage-inducible C-type lectin

4 Images
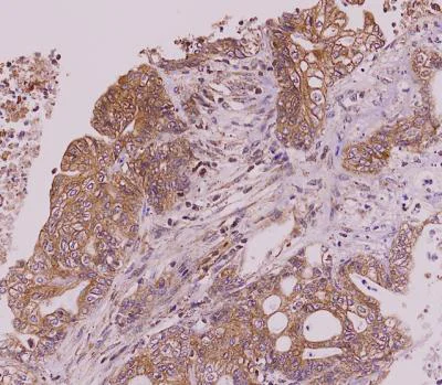
Immunohistochemistry (Formalin/PFA-fixed paraffin-embedded sections) - Anti-CLEC4E/MINCLE antibody [AT16E3] (AB100846)
  • IHC-P

Unknown

Immunohistochemistry (Formalin/PFA-fixed paraffin-embedded sections) - Anti-CLEC4E/MINCLE antibody [AT16E3] (AB100846)

ab100846 staining CLEC4E/MINCLE in colorectal cancer tissue by Immunohistochemistry (Formalin/PFA-fixed paraffin-embedded tissue sections). The sections were subjected to antigen retrieval in 0.1M citric acid. The primary antibody was diluted 1/50 and incubated with the sample for 2 hours at room temperature. Antibody was detected by DAB staining.

This image was generated using the ascites version of the product.

Immunocytochemistry/ Immunofluorescence - Anti-CLEC4E/MINCLE antibody [AT16E3] (AB100846)
  • ICC/IF

Unknown

Immunocytochemistry/ Immunofluorescence - Anti-CLEC4E/MINCLE antibody [AT16E3] (AB100846)

Immunofluorescence of Human HeLa cells stained with ab100846 (1/500) with Texas Red (Red). Nucleus was stained by Hoechst 33342 (Blue).

This image was generated using the ascites version of the product.

Flow Cytometry - Anti-CLEC4E/MINCLE antibody [AT16E3] (AB100846)
  • Flow Cyt

Unknown

Flow Cytometry - Anti-CLEC4E/MINCLE antibody [AT16E3] (AB100846)

Overlay histogram showing HeLa cells stained with ab100846 (red line). The cells were fixed with 80% methanol (5 min) and incubated in 1x PBS / 10% normal goat serum / 0.3M glycine to block non-specific protein-protein interactions. The cells were then incubated with the antibody (ab100846, 1μg/1x106 cells) for 30 min at 22°C. The secondary antibody used was DyLight® 488 goat anti-mouse IgG (H+L) (ab96879) at 1/500 dilution for 30 min at 22°C. Isotype control antibody (black line) was mouse IgG2b [PLPV219] (ab91633, 2μg/1x106 cells) used under the same conditions. Acquisition of >5,000 events was performed.

This image was generated using the ascites version of the product.

Please note that Abcam do not have any data for use of this antibody on non-fixed cells. We welcome any customer feedback.

Western blot - Anti-CLEC4E/MINCLE antibody [AT16E3] (AB100846)
  • WB

Unknown

Western blot - Anti-CLEC4E/MINCLE antibody [AT16E3] (AB100846)

This image was generated using the ascites version of the product.

All lanes:

Western blot - Anti-CLEC4E/MINCLE antibody [AT16E3] (ab100846) at 1/1000 dilution

All lanes:

HeLa Cell Lysate at 35 µg

Secondary

All lanes:

goat anti-mouse conjugated to HRP

Predicted band size: 25 kDa

true

Key facts

Host species

Mouse

Clonality

Monoclonal

Clone number

AT16E3

Isotype

IgG2b

Light chain type

kappa

Carrier free

No

Reacts with

Human

Applications

Flow Cyt, WB, ICC/IF, IHC-P

applications

Immunogen

Recombinant Fragment Protein within Human CLEC4E aa 1 to C-terminus. The exact immunogen used to generate this antibody is proprietary information.

Q9ULY5

Reactivity data

{ "title": "Reactivity Data", "filters": { "stats": ["", "Species", "Dilution Info", "Notes"], "tabs": { "all-applications": {"fullname" : "All Applications", "shortname": "All Applications"}, "FlowCyt" : {"fullname" : "Flow Cytometry", "shortname":"Flow Cyt"}, "WB" : {"fullname" : "Western blot", "shortname":"WB"}, "IHCP" : {"fullname" : "Immunohistochemistry (Formalin/PFA-fixed paraffin-embedded sections)", "shortname":"IHC-P"}, "ICCIF" : {"fullname" : "Immunocytochemistry/ Immunofluorescence", "shortname":"ICC/IF"} }, "product-promise": { "all": "all", "testedAndGuaranteed": "tested", "guaranteed": "expected", "predicted": "predicted", "notRecommended": "not-recommended" } }, "values": { "Human": { "FlowCyt-species-checked": "testedAndGuaranteed", "FlowCyt-species-dilution-info": "", "FlowCyt-species-notes": "<p><a href='/en-us/products/primary-antibodies/mouse-igg2b-kappa-monoclonal-7e10g10-isotype-control-ab170192'>ab170192</a> - Mouse monoclonal IgG2b, is suitable for use as an isotype control with this antibody.</p>", "WB-species-checked": "testedAndGuaranteed", "WB-species-dilution-info": "", "WB-species-notes": "<p></p>", "IHCP-species-checked": "testedAndGuaranteed", "IHCP-species-dilution-info": "", "IHCP-species-notes": "<p></p>", "ICCIF-species-checked": "testedAndGuaranteed", "ICCIF-species-dilution-info": "", "ICCIF-species-notes": "<p></p>" } } }

Product details

This product was changed from ascites to tissue culture supernatant on 08/08/2019. Please note that the dilutions may need to be adjusted accordingly. If you have any questions, please do not hesitate to contact our scientific support team

Properties and storage information

Form
Liquid
Purity
Tissue culture supernatant
Storage buffer
pH: 7.4 Preservative: 0.1% Sodium azide Constituents: PBS
Shipped at conditions
Blue Ice
Appropriate short-term storage conditions
+4°C
Appropriate long-term storage conditions
-20°C
Aliquoting information
Upon delivery aliquot
Storage information
Avoid freeze / thaw cycle

Product protocols

For this product, it's our understanding that no specific protocols are required. You can visit:

Target data

Calcium-dependent lectin that acts as a pattern recognition receptor (PRR) of the innate immune system : recognizes damage-associated molecular patterns (DAMPs) of abnormal self and pathogen-associated molecular patterns (PAMPs) of bacteria and fungi (PubMed : 18509109, PubMed : 23602766). The PAMPs notably include mycobacterial trehalose 6,6'-dimycolate (TDM), a cell wall glycolipid with potent adjuvant immunomodulatory functions (PubMed : 23602766, PubMed : 24101491). Interacts with signaling adapter Fc receptor gamma chain/FCER1G to form a functional complex in myeloid cells (By similarity). Binding of mycobacterial trehalose 6,6'-dimycolate (TDM) to this receptor complex leads to phosphorylation of the immunoreceptor tyrosine-based activation motif (ITAM) of FCER1G, triggering activation of SYK, CARD9 and NF-kappa-B, consequently driving maturation of antigen-presenting cells and shaping antigen-specific priming of T-cells toward effector T-helper 1 and T-helper 17 cell subtypes (By similarity). Also recognizes alpha-mannose residues on pathogenic fungi of the genus Malassezia and mediates macrophage activation (By similarity). Through recognition of DAMPs released upon nonhomeostatic cell death, enables immune sensing of damaged self and promotes inflammatory cell infiltration into the damaged tissue (By similarity).
See full target information CLEC4E

Publications (5)

Recent publications for all applications. Explore the full list and refine your search

Journal of biochemical and molecular toxicology 38:e70062 PubMed39575578

2024

Mincle Maintains M1 Polarization of Macrophages and Contributes to Renal Aging Through the Syk/NF-κB Pathway.

Applications

Unspecified application

Species

Unspecified reactive species

Lingshuang Sun,Hua Liu,Kehui Shi,Meng Wei,Hongli Jiang

Heliyon 10:e27172 PubMed38463883

2024

CLEC4E upregulation in gastric cancer: A potential therapeutic target correlating with tumor-associated macrophages.

Applications

Unspecified application

Species

Unspecified reactive species

Qin Jiang,Dan Xiao,Ao Wang,Qiong Yu,Ying Yin,Jingchong Wu,Yan Zhang,Tian Jin,Baicheng Kuang,Yegui Jia

Nature immunology 21:513-524 PubMed32284594

2020

Transcriptional profiling and therapeutic targeting of oxidative stress in neuroinflammation.

Applications

Unspecified application

Species

Unspecified reactive species

Andrew S Mendiola,Jae Kyu Ryu,Sophia Bardehle,Anke Meyer-Franke,Kenny Kean-Hooi Ang,Chris Wilson,Kim M Baeten,Kristina Hanspers,Mario Merlini,Sean Thomas,Mark A Petersen,Alexander Williams,Reuben Thomas,Victoria A Rafalski,Rosa Meza-Acevedo,Reshmi Tognatta,Zhaoqi Yan,Samuel J Pfaff,Michael R Machado,Catherine Bedard,Pamela E Rios Coronado,Xiqian Jiang,Jin Wang,Michael A Pleiss,Ari J Green,Scott S Zamvil,Alexander R Pico,Benoit G Bruneau,Michelle R Arkin,Katerina Akassoglou

The Journal of infectious diseases 221:647-659 PubMed31562757

2019

Activation of C-Type Lectin Receptor and (RIG)-I-Like Receptors Contributes to Proinflammatory Response in Middle East Respiratory Syndrome Coronavirus-Infected Macrophages.

Applications

Unspecified application

Species

Unspecified reactive species

Xiaoyu Zhao,Hin Chu,Bosco Ho-Yin Wong,Man Chun Chiu,Dong Wang,Cun Li,Xiaojuan Liu,Dong Yang,Vincent Kwok-Man Poon,Jianpiao Cai,Jasper Fuk-Woo Chan,Kelvin Kai-Wang To,Jie Zhou,Kwok-Yung Yuen

Nature 532:245-9 PubMed27049944

2016

The necrosome promotes pancreatic oncogenesis via CXCL1 and Mincle-induced immune suppression.

Applications

Unspecified application

Species

Unspecified reactive species

Lena Seifert,Gregor Werba,Shaun Tiwari,Nancy Ngoc Giao Ly,Sara Alothman,Dalia Alqunaibit,Antonina Avanzi,Rocky Barilla,Donnele Daley,Stephanie H Greco,Alejandro Torres-Hernandez,Matthew Pergamo,Atsuo Ochi,Constantinos P Zambirinis,Mridul Pansari,Mauricio Rendon,Daniel Tippens,Mautin Hundeyin,Vishnu R Mani,Cristina Hajdu,Dannielle Engle,George Miller
View all publications

Product promise

We are committed to supporting your work with high-quality reagents, and we're here for you every step of the way. In the unlikely event that one of our products does not perform as expected, you're protected by our Product Promise.
For full details, please see our Terms & Conditions

Please note: All products are 'FOR RESEARCH USE ONLY. NOT FOR USE IN DIAGNOSTIC OR THERAPEUTIC PROCEDURES'.

For licensing inquiries, please contact partnerships@abcam.com