JavaScript is disabled in your browser. Please enable JavaScript to view this website.
AB223188

Anti-CLEC9A antibody [EPR22324]

Be the first to review this product! Submit a review

|

(8 Publications)

Anti-CLEC9A antibody [EPR22324] (ab223188) is a rabbit monoclonal antibody detecting CLEC9A in Flow Cytometry, IHC-P. Suitable for Human.

- Biophysical QC for unrivalled batch-batch consistency

View Alternative Names

CD370, UNQ9341/PRO34046, CLEC9A, C-type lectin domain family 9 member A

5 Images
Flow Cytometry - Anti-CLEC9A antibody [EPR22324] (AB223188)
  • Flow Cyt

Supplier Data

Flow Cytometry - Anti-CLEC9A antibody [EPR22324] (AB223188)

Flow cytometric analysis of Human peripheral blood mononuclear cell (PBMC) cells labeling CLEC9A with ab223188 at 1/50 dilution. Cells were stained with Rabbit monoclonal IgG (ab172730) (Left) or ab223188 (Right). Then stained with Alexa Fluor® 647-conjugated anti-CD3, PE conjugated anti-HLA-DR and BV421 conjugated anti-CD141. Data shown was firstly gated out lymphocytes, then gated on viable CD3(-) HLA-DR (+) APC cells.

CLEC9A is selectively expressed on CD141+DC cells (Q2, ~0.05% in PBMC) and expression pattern was described in literature. (PMID : 20479116).

Immunohistochemistry (Formalin/PFA-fixed paraffin-embedded sections) - Anti-CLEC9A antibody [EPR22324] (AB223188)
  • IHC-P

Supplier Data

Immunohistochemistry (Formalin/PFA-fixed paraffin-embedded sections) - Anti-CLEC9A antibody [EPR22324] (AB223188)

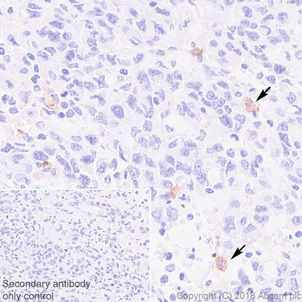
Immunohistochemical analysis of paraffin-embedded human gastric cancer tissue labeling CLEC9A with ab223188 at 1/1000 dilution, followed Goat Anti-Rabbit IgG H&L (HRP) Ready to use. Positive staining on dendritic cells (arrows) of human gastric cancer (PMID : 18408006; PMID : 20479116) is observed. Counterstained with hematoxylin.

Secondary antibody only control : Used PBS instead of primary antibody, secondary antibody is a Goat Anti-Rabbit IgG H&L (HRP) Ready to use.

Perform heat mediated antigen retrieval with Tris/EDTA buffer pH 9.0 before commencing with IHC staining protocol.

Immunohistochemistry (Formalin/PFA-fixed paraffin-embedded sections) - Anti-CLEC9A antibody [EPR22324] (AB223188)
  • IHC-P

Supplier Data

Immunohistochemistry (Formalin/PFA-fixed paraffin-embedded sections) - Anti-CLEC9A antibody [EPR22324] (AB223188)

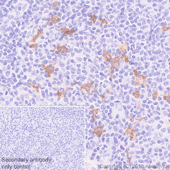
Immunohistochemical analysis of paraffin-embedded human thyoma tissue labeling CLEC9A with ab223188 at 1/1000 dilution, followed by Goat Anti-Rabbit IgG H&L (HRP) Ready to use. Membranous staining on dendritic cells of human thymoma (PMID : 18408006; PMID : 20479116) is observed. Counterstained with hematoxylin.

Secondary antibody only control : Used PBS instead of primary antibody, secondary antibody is Goat Anti-Rabbit IgG H&L (HRP) Ready to use.

Perform heat mediated antigen retrieval with Tris/EDTA buffer pH 9.0 before commencing with IHC staining protocol.

Flow Cytometry - Anti-CLEC9A antibody [EPR22324] (AB223188)
  • Flow Cyt

Supplier Data

Flow Cytometry - Anti-CLEC9A antibody [EPR22324] (AB223188)

Flow cytometric analysis of HEK-293T (human epithelial cell line from embryonic kidney transformed with large T antigen) transfected with GFP-tagged CLEC9A overexpression construct, labeling CLEC9A with ab223188 at 1/500 dilution (Right) compared with a Rabbit IgG, monoclonal [EPR25A] - Isotype Control (ab172730) (Left). Goat anti rabbit IgG (Alexa Fluor® 647, ab150079) was used as the secondary antibody at 1/2000 dilution. Gated on viable cells.

Immunohistochemistry (Formalin/PFA-fixed paraffin-embedded sections) - Anti-CLEC9A antibody [EPR22324] (AB223188)
  • IHC-P

Supplier Data

Immunohistochemistry (Formalin/PFA-fixed paraffin-embedded sections) - Anti-CLEC9A antibody [EPR22324] (AB223188)

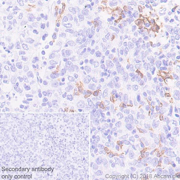
Immunohistochemical analysis of paraffin-embedded human tonsil tissue labeling CLEC9A with ab223188 at 1/1000 dilution, followed by Rabbit specific IHC polymer detection kit HRP/DAB Ready to use (ab209101). Positive staining on dendritic cells of human tonsil (PMID : 18408006; PMID : 20479116) is observed. Counterstained with hematoxylin.

Secondary antibody only control : Used PBS instead of primary antibody, secondary antibody is Rabbit specific IHC polymer detection kit HRP/DAB Ready to use (ab209101).

Perform heat mediated antigen retrieval with Tris/EDTA buffer pH 9.0 before commencing with IHC staining protocol.

Key facts

Host species

Rabbit

Clonality

Monoclonal

Clone number

EPR22324

Isotype

IgG

Carrier free

No

Reacts with

Human

Applications

Flow Cyt, IHC-P

applications

Immunogen

The exact immunogen used to generate this antibody is proprietary information.

Reactivity data

{ "title": "Reactivity Data", "filters": { "stats": ["", "Species", "Dilution Info", "Notes"], "tabs": { "all-applications": {"fullname" : "All Applications", "shortname": "All Applications"}, "IP" : {"fullname" : "Immunoprecipitation", "shortname":"IP"}, "FlowCyt" : {"fullname" : "Flow Cytometry", "shortname":"Flow Cyt"}, "WB" : {"fullname" : "Western blot", "shortname":"WB"}, "ICCIF" : {"fullname" : "Immunocytochemistry/ Immunofluorescence", "shortname":"ICC/IF"}, "IHCP" : {"fullname" : "Immunohistochemistry (Formalin/PFA-fixed paraffin-embedded sections)", "shortname":"IHC-P"} }, "product-promise": { "all": "all", "testedAndGuaranteed": "tested", "guaranteed": "expected", "predicted": "predicted", "notRecommended": "not-recommended" } }, "values": { "Human": { "IP-species-checked": "notRecommended", "IP-species-dilution-info": "", "IP-species-notes": "<p></p>", "FlowCyt-species-checked": "testedAndGuaranteed", "FlowCyt-species-dilution-info": "1/50", "FlowCyt-species-notes": "<p></p>", "WB-species-checked": "notRecommended", "WB-species-dilution-info": "", "WB-species-notes": "<p></p>", "ICCIF-species-checked": "notRecommended", "ICCIF-species-dilution-info": "", "ICCIF-species-notes": "<p></p>", "IHCP-species-checked": "testedAndGuaranteed", "IHCP-species-dilution-info": "1/1000", "IHCP-species-notes": "<p></p>" } } }

Product details

What is this antibody validated in?
Anti-CLEC9A antibody [EPR22324] (ab223188) is a rabbit recombinant monoclonal antibody and is validated for use in Flow Cytometry (Flow Cyt), Immunohistochemistry (IHC-P) in Human samples.

Trial sizes available!
Test your antibody or perform pre-screening before committing to a larger quantity. Sold in 10µl. Discover our selection of trial-size antibodies.

Other related products
We have a range of other formats of antibody clone [EPR22324] also available for your convenience: ab223188, Carrier free - ab245121, Alexa Fluor® 555 - ab313594, Alexa Fluor® 647 - ab315359

Properties and storage information

Form
Liquid
Purification technique
Affinity purification Protein A
Storage buffer
pH: 7.2 - 7.4 Preservative: 0.01% Sodium azide Constituents: PBS, 40% Glycerol (glycerin, glycerine), 0.05% BSA
Shipped at conditions
Blue Ice
Appropriate short-term storage duration
1-2 weeks
Appropriate short-term storage conditions
+4°C
Appropriate long-term storage conditions
-20°C
Aliquoting information
Upon delivery aliquot
Storage information
Avoid freeze / thaw cycle

Product protocols

For this product, it's our understanding that no specific protocols are required. You can visit:

Target data

Functions as an endocytic receptor on a small subset of myeloid cells specialized for the uptake and processing of material from dead cells. Recognizes filamentous form of actin in association with particular actin-binding domains of cytoskeletal proteins, including spectrin, exposed when cell membranes are damaged, and mediate the cross-presentation of dead-cell associated antigens in a Syk-dependent manner.
See full target information CLEC9A

Publications (8)

Recent publications for all applications. Explore the full list and refine your search

Nature 644:1058-1068 PubMed40659786

2025

Microbiota-driven antitumour immunity mediated by dendritic cell migration.

Applications

Unspecified application

Species

Unspecified reactive species

Nina Yi-Tzu Lin,Shota Fukuoka,Shohei Koyama,Daisuke Motooka,Dieter M Tourlousse,Yuko Shigeno,Yuki Matsumoto,Hiroyuki Yamano,Kazutoshi Murotomi,Hideyuki Tamaki,Takuma Irie,Eri Sugiyama,Shogo Kumagai,Kota Itahashi,Tokiyoshi Tanegashima,Kaori Fujimaki,Sachiko Ito,Mariko Shindo,Takahiro Tsuji,Hiroaki Wake,Keisuke Watanabe,Yuka Maeda,Tomohiro Enokida,Makoto Tahara,Riu Yamashita,Takao Fujisawa,Motoo Nomura,Akihito Kawazoe,Koichi Goto,Toshihiko Doi,Kohei Shitara,Hiroyuki Mano,Yuji Sekiguchi,Shota Nakamura,Yoshimi Benno,Hiroyoshi Nishikawa

Cell reports 40:111201 PubMed35977482

2022

Stromal remodeling regulates dendritic cell abundance and activity in the tumor microenvironment.

Applications

Unspecified application

Species

Unspecified reactive species

Athanasios Papadas,Gauri Deb,Alexander Cicala,Adam Officer,Chelsea Hope,Adam Pagenkopf,Evan Flietner,Zachary T Morrow,Philip Emmerich,Joshua Wiesner,Garrett Arauz,Varun Bansal,Karla Esbona,Christian M Capitini,Kristina A Matkowskyj,Dustin A Deming,Katerina Politi,Scott I Abrams,Olivier Harismendy,Fotis Asimakopoulos

Journal of immunology (Baltimore, Md. : 1950) 209:606-620 PubMed35817516

2022

An In Vivo Model of Human Macrophages in Metastatic Melanoma.

Applications

Unspecified application

Species

Unspecified reactive species

Valentin Voillet,Trisha R Berger,Kelly M McKenna,Kelly G Paulson,Wei Hong Tan,Kimberly S Smythe,Daniel S Hunter,William J Valente,Stephanie Weaver,Jean S Campbell,Teresa S Kim,David R Byrd,Jason H Bielas,Robert H Pierce,Aude G Chapuis,Raphaël Gottardo,Anthony Rongvaux

Frontiers in oncology 12:866293 PubMed35574364

2022

Prognostic Relevance of Estrogen Receptor Status in Circulating Tumor Cells in Breast Cancer Patients Treated With Endocrine Therapy.

Applications

Unspecified application

Species

Unspecified reactive species

Ying Zhou,Jinmei Zhou,Jinyi Xiao,Yuehua Wang,Hao Wang,Haoyuan Shi,Chunyan Yue,Fei Jia,Ping Li,Zhiyuan Hu,Yanlian Yang,Zefei Jiang,Tao Wang

Cancer cell 40:545-557.e13 PubMed35427494

2022

Ovarian cancer immunogenicity is governed by a narrow subset of progenitor tissue-resident memory T cells.

Applications

Unspecified application

Species

Unspecified reactive species

Carmen M Anadon,Xiaoqing Yu,Kay Hänggi,Subir Biswas,Ricardo A Chaurio,Alexandra Martin,Kyle K Payne,Gunjan Mandal,Patrick Innamarato,Carly M Harro,Jessica A Mine,Kimberly B Sprenger,Carla Cortina,John J Powers,Tara Lee Costich,Bradford A Perez,Chandler D Gatenbee,Sandhya Prabhakaran,Douglas Marchion,Mirjam H M Heemskerk,Tyler J Curiel,Alexander R Anderson,Robert M Wenham,Paulo C Rodriguez,Jose R Conejo-Garcia

Advanced science (Weinheim, Baden-Wurttemberg, Germany) 9:e2103029 PubMed35064757

2022

Smad4 Deficiency Promotes Pancreatic Cancer Immunogenicity by Activating the Cancer-Autonomous DNA-Sensing Signaling Axis.

Applications

Unspecified application

Species

Unspecified reactive species

Wenjing Xiong,Wenzhuo He,Tiantian Wang,Shuai He,Feifei Xu,Zining Wang,Xiaojuan Wang,Hui Guo,Jianhua Ling,Huanling Zhang,Yongxiang Liu,Kaili Xing,Mengyun Li,Hongxia Zhang,Jiahui Li,Ningning Niu,Jing Xue,Qiuyao Zhan,Ze-Xian Liu,Jin-Xin Bei,Peng Huang,Jinyun Liu,Liangping Xia,Xiaojun Xia

Frontiers in immunology 12:683396 PubMed34177929

2021

Characterization of Human Lymphoid Tissue Immune Cells by Multispectral Confocal Imaging and Quantitative Image Analysis; Implications for HIV Reservoir Characterization.

Applications

Unspecified application

Species

Unspecified reactive species

Eirini Moysi,Perla M Del Rio Estrada,Fernanda Torres-Ruiz,Gustavo Reyes-Terán,Richard A Koup,Constantinos Petrovas

Cell reports. Medicine 2:100166 PubMed33521697

2021

A distinct innate immune signature marks progression from mild to severe COVID-19.

Applications

Unspecified application

Species

Unspecified reactive species

Stéphane Chevrier,Yves Zurbuchen,Carlo Cervia,Sarah Adamo,Miro E Raeber,Natalie de Souza,Sujana Sivapatham,Andrea Jacobs,Esther Bachli,Alain Rudiger,Melina Stüssi-Helbling,Lars C Huber,Dominik J Schaer,Jakob Nilsson,Onur Boyman,Bernd Bodenmiller
View all publications

Product promise

We are committed to supporting your work with high-quality reagents, and we're here for you every step of the way. In the unlikely event that one of our products does not perform as expected, you're protected by our Product Promise.
For full details, please see our Terms & Conditions

Please note: All products are 'FOR RESEARCH USE ONLY. NOT FOR USE IN DIAGNOSTIC OR THERAPEUTIC PROCEDURES'.

For licensing inquiries, please contact partnerships@abcam.com