JavaScript is disabled in your browser. Please enable JavaScript to view this website.
AB236130

Anti-CLIC4 antibody [EPR14253] - BSA and Azide free

Be the first to review this product! Submit a review

|

(1 Publication)

Rabbit Recombinant Monoclonal CLIC4 antibody. Carrier free. Suitable for IP, WB, ICC/IF, Flow Cyt (Intra), IHC-P and reacts with Human samples. Cited in 1 publication.

View Alternative Names

Chloride intracellular channel protein 4, Glutaredoxin-like oxidoreductase CLIC4, Intracellular chloride ion channel protein p64H1, CLIC4

5 Images
Immunocytochemistry/ Immunofluorescence - Anti-CLIC4 antibody [EPR14253] - BSA and Azide free (AB236130)
  • ICC/IF

Supplier Data

Immunocytochemistry/ Immunofluorescence - Anti-CLIC4 antibody [EPR14253] - BSA and Azide free (AB236130)

Immunofluorescence analysis of HeLa cells (-20°C Acetone-fixed) labeling CLIC4 with ab183043 at 1/500 dilution followed by Goat anti rabbit IgG (AlexaFluor® 488) secondary at 1/200 dilution and counter-stained with DAPI (blue).

This data was developed using the same antibody clone in a different buffer formulation containing PBS, BSA, glycerol, and sodium azide (ab183043).

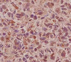
Immunohistochemistry (Formalin/PFA-fixed paraffin-embedded sections) - Anti-CLIC4 antibody [EPR14253] - BSA and Azide free (AB236130)
  • IHC-P

Supplier Data

Immunohistochemistry (Formalin/PFA-fixed paraffin-embedded sections) - Anti-CLIC4 antibody [EPR14253] - BSA and Azide free (AB236130)

Immunohistochemical analysis of paraffin embedded Human melanoma tissue labeling CLIC4 with ab183043 at 1/100 dilution followed by pre-diluted HRP-conjugated secondary antibody and counter-stained with Hematoxylin.

This data was developed using the same antibody clone in a different buffer formulation containing PBS, BSA, glycerol, and sodium azide (ab183043).

Perform heat mediated antigen retrieval with EDTA buffer pH 9 before commencing with IHC staining protocol.

Flow Cytometry (Intracellular) - Anti-CLIC4 antibody [EPR14253] - BSA and Azide free (AB236130)
  • Flow Cyt (Intra)

Supplier Data

Flow Cytometry (Intracellular) - Anti-CLIC4 antibody [EPR14253] - BSA and Azide free (AB236130)

Intracellular flow cytometric analysis of Raji cells (paraformaldehyde-fixed, 2%) labeling CLIC4 with ab183043 at 1/90 dilution (red) or a rabbit IgG (negative) (green), followed by Goat anti rabbit IgG (FITC) secondary at 1/150 dilution.

This data was developed using the same antibody clone in a different buffer formulation containing PBS, BSA, glycerol, and sodium azide (ab183043).

Immunocytochemistry/ Immunofluorescence - Anti-CLIC4 antibody [EPR14253] - BSA and Azide free (AB236130)
  • ICC/IF

Supplier Data

Immunocytochemistry/ Immunofluorescence - Anti-CLIC4 antibody [EPR14253] - BSA and Azide free (AB236130)

Immunofluorescence analysis of HepG2 cells (paraformaldehyde-fixed, 4%) labeling CLIC4 with ab183043 at 1/500 dilution followed by Goat anti rabbit IgG (AlexaFluor® 488) secondary at 1/200 dilution and counter-stained with DAPI (blue).

This data was developed using the same antibody clone in a different buffer formulation containing PBS, BSA, glycerol, and sodium azide (ab183043).

Immunoprecipitation - Anti-CLIC4 antibody [EPR14253] - BSA and Azide free (AB236130)
  • IP

Supplier Data

Immunoprecipitation - Anti-CLIC4 antibody [EPR14253] - BSA and Azide free (AB236130)

Western blot analysis of immunoprecipitation pellet from Human Raji cell lysate immunoprecipitated using ab183043 at 1/50 dilution.
Anti-Rabbit IgG (HRP), specific to the non-reduced form of IgG secondary antibody used at 1/1500 dilution.

This data was developed using the same antibody clone in a different buffer formulation containing PBS, BSA, glycerol, and sodium azide (ab183043).

All lanes:

Immunoprecipitation - Anti-CLIC4 antibody [EPR14253] (<a href='/en-us/products/primary-antibodies/clic4-antibody-epr14253-ab183043'>ab183043</a>)

Predicted band size: 28 kDa

true

  • Unconjugated

    Anti-CLIC4 antibody [EPR14253]

  • 578 PE

    PE Anti-CLIC4 antibody [EPR14253]

Key facts

Host species

Rabbit

Clonality

Monoclonal

Clone number

EPR14253

Isotype

IgG

Carrier free

Yes

Reacts with

Human

Applications

ICC/IF, WB, Flow Cyt (Intra), IP, IHC-P

applications

Immunogen

The exact immunogen used to generate this antibody is proprietary information.

Reactivity data

{ "title": "Reactivity Data", "filters": { "stats": ["", "Species", "Dilution Info", "Notes"], "tabs": { "all-applications": {"fullname" : "All Applications", "shortname": "All Applications"}, "IP" : {"fullname" : "Immunoprecipitation", "shortname":"IP"}, "WB" : {"fullname" : "Western blot", "shortname":"WB"}, "ICCIF" : {"fullname" : "Immunocytochemistry/ Immunofluorescence", "shortname":"ICC/IF"}, "FlowCytIntra" : {"fullname" : "Flow Cytometry (Intracellular)", "shortname":"Flow Cyt (Intra)"}, "IHCP" : {"fullname" : "Immunohistochemistry (Formalin/PFA-fixed paraffin-embedded sections)", "shortname":"IHC-P"} }, "product-promise": { "all": "all", "testedAndGuaranteed": "tested", "guaranteed": "expected", "predicted": "predicted", "notRecommended": "not-recommended" } }, "values": { "Human": { "IP-species-checked": "testedAndGuaranteed", "IP-species-dilution-info": "", "IP-species-notes": "<p></p> Perform heat-mediated antigen retrieval with Tris/EDTA buffer pH 9.0 before commencing with IHC staining protocol.", "WB-species-checked": "guaranteed", "WB-species-dilution-info": "", "WB-species-notes": "<p></p>", "ICCIF-species-checked": "testedAndGuaranteed", "ICCIF-species-dilution-info": "", "ICCIF-species-notes": "<p></p>", "FlowCytIntra-species-checked": "testedAndGuaranteed", "FlowCytIntra-species-dilution-info": "", "FlowCytIntra-species-notes": "<p><a href='/en-us/products/primary-antibodies/rabbit-igg-monoclonal-epr25a-isotype-control-ab172730'>ab172730</a> - Rabbit monoclonal IgG, is suitable for use as an isotype control with this antibody.</p>", "IHCP-species-checked": "testedAndGuaranteed", "IHCP-species-dilution-info": "", "IHCP-species-notes": "<p></p> Perform heat-mediated antigen retrieval with Tris/EDTA buffer pH 9.0 before commencing with IHC staining protocol." }, "Mouse": { "IP-species-checked": "predicted", "IP-species-dilution-info": "", "IP-species-notes": "", "WB-species-checked": "predicted", "WB-species-dilution-info": "", "WB-species-notes": "", "ICCIF-species-checked": "predicted", "ICCIF-species-dilution-info": "", "ICCIF-species-notes": "", "FlowCytIntra-species-checked": "predicted", "FlowCytIntra-species-dilution-info": "", "FlowCytIntra-species-notes": "", "IHCP-species-checked": "predicted", "IHCP-species-dilution-info": "", "IHCP-species-notes": "" }, "Rat": { "IP-species-checked": "predicted", "IP-species-dilution-info": "", "IP-species-notes": "", "WB-species-checked": "predicted", "WB-species-dilution-info": "", "WB-species-notes": "", "ICCIF-species-checked": "predicted", "ICCIF-species-dilution-info": "", "ICCIF-species-notes": "", "FlowCytIntra-species-checked": "predicted", "FlowCytIntra-species-dilution-info": "", "FlowCytIntra-species-notes": "", "IHCP-species-checked": "predicted", "IHCP-species-dilution-info": "", "IHCP-species-notes": "" } } }

Product details

ab236130 is the carrier-free version of ab183043.

Patented technology
Our RabMAb® technology is a patented hybridoma-based technology for making rabbit monoclonal antibodies. For details on our patents, please refer to RabMAb® patents.

What are the advantages of a recombinant monoclonal antibody?
This product is a recombinant monoclonal antibody, which offers several advantages including:

  • - High batch-to-batch consistency and reproducibility
  • - Improved sensitivity and specificity
  • - Long-term security of supply
  • - Animal-free batch production

For more information, read more on recombinant antibodies.

Conjugation ready
Our carrier-free antibodies are typically supplied in a PBS-only formulation, purified and free of BSA, sodium azide and glycerol. This conjugation-ready format is designed for use with fluorochromes, metal isotopes, oligonucleotides, and enzymes, which makes them ideal for antibody labelling, functional and cell-based assays, flow-based assays (e.g. mass cytometry) and Multiplex Imaging applications.

Use our conjugation kits for antibody conjugates that are ready-to-use in as little as 20 minutes with 1 minute hands-on-time and 100% antibody recovery: available for fluorescent dyes, HRP, biotin and gold.

Compatibility
This product is compatible with the Maxpar® Antibody Labeling Kit from Fluidigm, without the need for antibody preparation. Maxpar® is a trademark of Fluidigm Canada Inc.

Properties and storage information

Form
Liquid
Purification technique
Affinity purification Protein A
Storage buffer
pH: 7.2 - 7.4 Constituents: PBS
Shipped at conditions
Blue Ice
Appropriate short-term storage conditions
+4°C
Appropriate long-term storage conditions
+4°C
Storage information
Do Not Freeze

Product protocols

For this product, it's our understanding that no specific protocols are required. You can visit:

Target data

In the soluble state, catalyzes glutaredoxin-like thiol disulfide exchange reactions with reduced glutathione as electron donor (PubMed : 25581026, PubMed : 37759794). Can insert into membranes and form voltage-dependent multi-ion conductive channels. Membrane insertion seems to be redox-regulated and may occur only under oxidizing conditions (By similarity) (PubMed : 16176272). Has alternate cellular functions like a potential role in angiogenesis or in maintaining apical-basolateral membrane polarity during mitosis and cytokinesis. Could also promote endothelial cell proliferation and regulate endothelial morphogenesis (tubulogenesis). Promotes cell-surface expression of HRH3.
See full target information CLIC4

Publications (1)

Recent publications for all applications. Explore the full list and refine your search

Molecular neurobiology 60:672-686 PubMed36357613

2022

Mito-TEMPO, a Mitochondria-Targeted Antioxidant, Improves Cognitive Dysfunction due to Hypoglycemia: an Association with Reduced Pericyte Loss and Blood-Brain Barrier Leakage.

Applications

Unspecified application

Species

Unspecified reactive species

Lu Lin,Zhou Chen,Cuihua Huang,Yubin Wu,Lishan Huang,Lijing Wang,Sujie Ke,Libin Liu
View all publications

Product promise

We are committed to supporting your work with high-quality reagents, and we're here for you every step of the way. In the unlikely event that one of our products does not perform as expected, you're protected by our Product Promise.
For full details, please see our Terms & Conditions

Please note: All products are 'FOR RESEARCH USE ONLY. NOT FOR USE IN DIAGNOSTIC OR THERAPEUTIC PROCEDURES'.

For licensing inquiries, please contact partnerships@abcam.com