JavaScript is disabled in your browser. Please enable JavaScript to view this website.
AB61830

Anti-CLIP170 antibody [mAbcam61830]

Be the first to review this product! Submit a review

|

(3 Publications)

Mouse Monoclonal CLIP170 antibody. Suitable for WB, IHC-P, ICC/IF and reacts with Human samples. Cited in 3 publications.

View Alternative Names

CYLN1, RSN, CLIP1, CAP-Gly domain-containing linker protein 1, Cytoplasmic linker protein 1, Cytoplasmic linker protein 170 alpha-2, Reed-Sternberg intermediate filament-associated protein, Restin, CLIP-170

3 Images
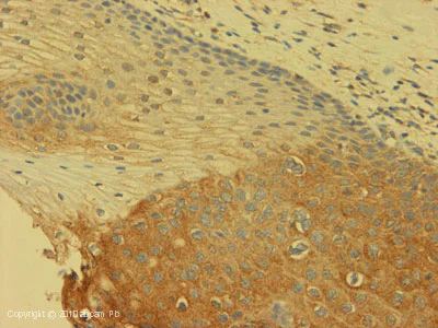
Immunohistochemistry (Formalin/PFA-fixed paraffin-embedded sections) - Anti-CLIP170 antibody [mAbcam61830] (AB61830)
  • IHC-P

Unknown

Immunohistochemistry (Formalin/PFA-fixed paraffin-embedded sections) - Anti-CLIP170 antibody [mAbcam61830] (AB61830)

IHC image of ab61830 staining in Human Cervical carcinoma formalin fixed paraffin embedded tissue section, performed on a Leica BondTM system using the standard protocol F. The section was pre-treated using heat mediated antigen retrieval with sodium citrate buffer (pH6, epitope retrieval solution 1) for 20 mins. The section was then incubated with ab61830, 5µg/ml, for 15 mins at room temperature and detected using an HRP conjugated compact polymer system. DAB was used as the chromogen. The section was then counterstained with haematoxylin and mounted with DPX.

For other IHC staining systems (automated and non-automated) customers should optimize variable parameters such as antigen retrieval conditions, primary antibody concentration and antibody incubation times.

Immunocytochemistry/ Immunofluorescence - Anti-CLIP170 antibody [mAbcam61830] (AB61830)
  • ICC/IF

Unknown

Immunocytochemistry/ Immunofluorescence - Anti-CLIP170 antibody [mAbcam61830] (AB61830)

ICC/IF image of ab61830 stained Hek293 cells. The cells were 4% formaldehyde fixed (10 min) and then incubated in 1%BSA / 10% normal goat serum / 0.3M glycine in 0.1% PBS-Tween for 1h to permeabilise the cells and block non-specific protein-protein interactions. The cells were then incubated with the antibody ab61830 at 10μg/ml overnight at +4°C. The secondary antibody (green) was Alexa Fluor® 488 goat anti- mouse IgG (H+L) used at a 1/1000 dilution for 1h. Alexa Fluor® 594 WGA was used to label plasma membranes (red) at a 1/200 dilution for 1h. DAPI was used to stain the cell nuclei (blue) at a concentration of 1.43μM. This antibody also gave a positive result in HeLa, HepG2, and MCF-7 cell lines in PFA at 10ug/ml

Western blot - Anti-CLIP170 antibody [mAbcam61830] (AB61830)
  • WB

Lab

Western blot - Anti-CLIP170 antibody [mAbcam61830] (AB61830)

Blocking buffer : 3% Milk

Gel type : TA

All lanes:

Western blot - Anti-CLIP170 antibody [mAbcam61830] (ab61830) at 1 µg/mL

All lanes:

Human Skeletal Muscle at 10 µg

Secondary

All lanes:

Goat polyclonal to Mouse IgG - H&L - Pre-Adsorbed (HRP) at 1/5000 dilution

Predicted band size: 162 kDa

Observed band size: 150 kDa,161 kDa,190 kDa

false

Exposure time: 4min

Key facts

Host species

Mouse

Clonality

Monoclonal

Clone number

mAbcam61830

Isotype

IgG1

Carrier free

No

Reacts with

Human

Applications

WB, IHC-P, ICC/IF

applications

Immunogen

The exact immunogen used to generate this antibody is proprietary information.

Reactivity data

{ "title": "Reactivity Data", "filters": { "stats": ["", "Species", "Dilution Info", "Notes"], "tabs": { "all-applications": {"fullname" : "All Applications", "shortname": "All Applications"}, "FlowCyt" : {"fullname" : "Flow Cytometry", "shortname":"Flow Cyt"}, "WB" : {"fullname" : "Western blot", "shortname":"WB"}, "IHCP" : {"fullname" : "Immunohistochemistry (Formalin/PFA-fixed paraffin-embedded sections)", "shortname":"IHC-P"}, "ICCIF" : {"fullname" : "Immunocytochemistry/ Immunofluorescence", "shortname":"ICC/IF"} }, "product-promise": { "all": "all", "testedAndGuaranteed": "tested", "guaranteed": "expected", "predicted": "predicted", "notRecommended": "not-recommended" } }, "values": { "Human": { "FlowCyt-species-checked": "notRecommended", "FlowCyt-species-dilution-info": "1 µg for 10^6 Cells", "FlowCyt-species-notes": "<p><a href='/en-us/products/primary-antibodies/mouse-igg1-kappa-monoclonal-15-6e10a7-isotype-control-ab170190'>ab170190</a> - Mouse monoclonal IgG1, is suitable for use as an isotype control with this antibody.</p>", "WB-species-checked": "testedAndGuaranteed", "WB-species-dilution-info": "1 µg/mL", "WB-species-notes": "<p></p>", "IHCP-species-checked": "testedAndGuaranteed", "IHCP-species-dilution-info": "5 µg/mL", "IHCP-species-notes": "<p></p>", "ICCIF-species-checked": "testedAndGuaranteed", "ICCIF-species-dilution-info": "10 µg/mL", "ICCIF-species-notes": "<p></p>" }, "Mouse": { "FlowCyt-species-checked": "notRecommended", "FlowCyt-species-dilution-info": "1 µg for 10^6 Cells", "FlowCyt-species-notes": "<p><a href='/en-us/products/primary-antibodies/mouse-igg1-kappa-monoclonal-15-6e10a7-isotype-control-ab170190'>ab170190</a> - Mouse monoclonal IgG1, is suitable for use as an isotype control with this antibody.</p>", "WB-species-checked": "predicted", "WB-species-dilution-info": "", "WB-species-notes": "", "IHCP-species-checked": "predicted", "IHCP-species-dilution-info": "", "IHCP-species-notes": "", "ICCIF-species-checked": "predicted", "ICCIF-species-dilution-info": "", "ICCIF-species-notes": "" }, "Rat": { "FlowCyt-species-checked": "notRecommended", "FlowCyt-species-dilution-info": "1 µg for 10^6 Cells", "FlowCyt-species-notes": "<p><a href='/en-us/products/primary-antibodies/mouse-igg1-kappa-monoclonal-15-6e10a7-isotype-control-ab170190'>ab170190</a> - Mouse monoclonal IgG1, is suitable for use as an isotype control with this antibody.</p>", "WB-species-checked": "predicted", "WB-species-dilution-info": "", "WB-species-notes": "", "IHCP-species-checked": "predicted", "IHCP-species-dilution-info": "", "IHCP-species-notes": "", "ICCIF-species-checked": "predicted", "ICCIF-species-dilution-info": "", "ICCIF-species-notes": "" } } }

Product details

Want a custom formulation?
This antibody clone is manufactured by Abcam. If you require a custom buffer formulation or conjugation for your experiments, please contact orders@abcam.com

Properties and storage information

Form
Liquid
Purification technique
Affinity purification
Storage buffer
pH: 7.4 Preservative: 0.02% Sodium azide Constituents: PBS, 6.97% L-Arginine
Shipped at conditions
Blue Ice
Appropriate short-term storage duration
1-2 weeks
Appropriate short-term storage conditions
+4°C
Appropriate long-term storage conditions
-20°C
Aliquoting information
Upon delivery aliquot
Storage information
Avoid freeze / thaw cycle

Product protocols

For this product, it's our understanding that no specific protocols are required. You can visit:

Target data

Binds to the plus end of microtubules and regulates the dynamics of the microtubule cytoskeleton. Promotes microtubule growth and microtubule bundling. Links cytoplasmic vesicles to microtubules and thereby plays an important role in intracellular vesicle trafficking. Plays a role macropinocytosis and endosome trafficking.
See full target information CLIP1

Publications (3)

Recent publications for all applications. Explore the full list and refine your search

Cells 12: PubMed36611882

2022

Human Placental Endothelial Cell and Trophoblast Heterogeneity and Differentiation Revealed by Single-Cell RNA Sequencing.

Applications

Unspecified application

Species

Unspecified reactive species

Han Li,Hao Peng,Wei Hong,Yingying Wei,Haojun Tian,Xiaojie Huang,Linyan Jia,Jing Zheng,Tao Duan,Qizhi He,Kai Wang

International journal of oncology 61: PubMed36102310

2022

LIS1 interacts with CLIP170 to promote tumor growth and metastasis via the Cdc42 signaling pathway in salivary gland adenoid cystic carcinoma.

Applications

Unspecified application

Species

Unspecified reactive species

Lijun Li,Zhihao Wen,Ni Kou,Jing Liu,Dong Jin,Lina Wang,Fu Wang,Lu Gao

Clinical cancer research : an official journal of the American Association for Cancer Research 26:632-642 PubMed31597663

2019

Metformin Abrogates Age-Associated Ovarian Fibrosis.

Applications

Unspecified application

Species

Unspecified reactive species

Curtis W McCloskey,David P Cook,Brendan S Kelly,Feryel Azzi,Christian H Allen,Amanda Forsyth,Jeremy Upham,Katey J Rayner,Douglas A Gray,Robert W Boyd,Sangeeta Murugkar,Bryan Lo,Dominique Trudel,Mary K Senterman,Barbara C Vanderhyden
View all publications

Product promise

We are committed to supporting your work with high-quality reagents, and we're here for you every step of the way. In the unlikely event that one of our products does not perform as expected, you're protected by our Product Promise.
For full details, please see our Terms & Conditions

Please note: All products are 'FOR RESEARCH USE ONLY. NOT FOR USE IN DIAGNOSTIC OR THERAPEUTIC PROCEDURES'.

For licensing inquiries, please contact partnerships@abcam.com