JavaScript is disabled in your browser. Please enable JavaScript to view this website.
AB170899

Anti-CLN5 antibody [EPR12197(B)]

  • BOND RX™ Validated
  • RabMAb
  • Recombinant
  • KO Validated
  • What is this?

5

(1 Review)

|

(11 Publications)

Anti-CLN5 antibody [EPR12197(B)] (ab170899) is a rabbit monoclonal antibody detecting CLN5 in Western Blot, IHC-P, ICC/IF. Suitable for Human, Mouse, Rat.

- Biophysical QC for unrivalled batch-batch consistency

View Alternative Names

BMPS, CLN5, Bis(monoacylglycero)phosphate synthase CLN5, BMP synthase CLN5, Ceroid-lipofuscinosis neuronal protein 5, Palmitoyl protein thioesterase CLN5, S-depalmitoylase CLN5, Protein CLN5

8 Images
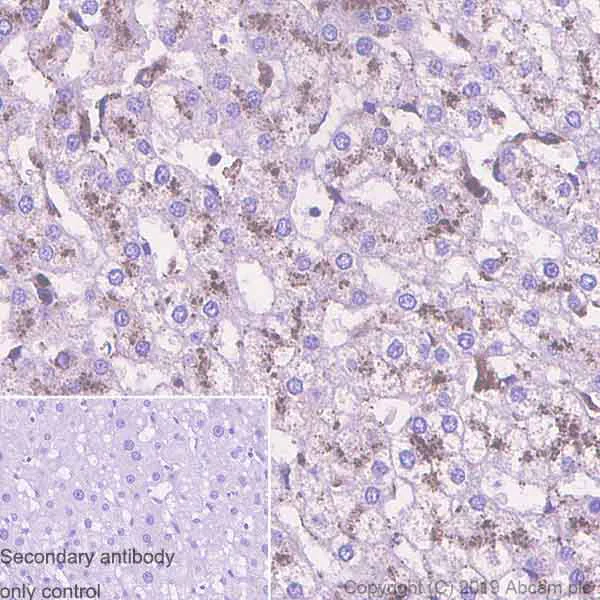
Immunohistochemistry (Formalin/PFA-fixed paraffin-embedded sections) - Anti-CLN5 antibody [EPR12197(B)] (AB170899)
  • IHC-P

Unknown

Immunohistochemistry (Formalin/PFA-fixed paraffin-embedded sections) - Anti-CLN5 antibody [EPR12197(B)] (AB170899)

Immunohistochemistry (Formalin/PFA-fixed paraffin-embedded sections) analysis of human liver tissue sections labeling CLN5 with purified ab170899 at 1/2000 dilution (0.22 µg/mL). Heat mediated antigen retrieval using Bond™ Epitope Retrieval Solution 2 (pH 9.0) . Rabbit specific IHC polymer detection kit HRP/DAB (ab209101) was used as the secondary antibody. Negative control : PBS instead of the primary antibody. Hematoxylin was used as a counterstain.

Immunocytochemistry/ Immunofluorescence - Anti-CLN5 antibody [EPR12197(B)] (AB170899)
  • ICC/IF

Supplier Data

Immunocytochemistry/ Immunofluorescence - Anti-CLN5 antibody [EPR12197(B)] (AB170899)

Immunofluorescent analysis of A431 cells labeling CLN5 with unpurified ab170899 at 1/100 dilution (green). DAPI nuclear staining (blue).

Immunocytochemistry/ Immunofluorescence - Anti-CLN5 antibody [EPR12197(B)] (AB170899)
  • ICC/IF

Unknown

Immunocytochemistry/ Immunofluorescence - Anti-CLN5 antibody [EPR12197(B)] (AB170899)

Immunocytochemistry/ Immunofluorescence analysis of T-47D (Human ductal breast epithelial tumor epithelial cell) cells labeling CLN5 with purified ab170899 at 1/50 dilution (8.7 μg/mL). Cells were fixed in 4% Paraformaldehyde and permeabilized with 0.1% TritonX-100. Cells were counterstained with ab195889 Anti-alpha Tubulin antibody [DM1A] - Microtubule Marker (Alexa Fluor® 594) 1/200 (2.5 μg/mL). Goat anti rabbit IgG (Alexa Fluor® 488, ab150077) was used as the secondary antibody at 1/1000 (2 μg/mL) dilution. DAPI (blue) was used as nuclear counterstain. PBS instead of the primary antibody was used as the secondary antibody only control.

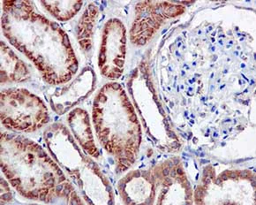
Immunohistochemistry (Formalin/PFA-fixed paraffin-embedded sections) - Anti-CLN5 antibody [EPR12197(B)] (AB170899)
  • IHC-P

Supplier Data

Immunohistochemistry (Formalin/PFA-fixed paraffin-embedded sections) - Anti-CLN5 antibody [EPR12197(B)] (AB170899)

Immunohistochemical analysis of paraffin-embedded Human kidney tissue labeling CLN5 with unpurified ab170899 at 1/100 dilution.

Perform heat mediated antigen retrieval with citrate buffer pH 6 before commencing with IHC staining protocol.

Western blot - Anti-CLN5 antibody [EPR12197(B)] (AB170899)
  • WB

Lab

Western blot - Anti-CLN5 antibody [EPR12197(B)] (AB170899)

Western blot : Rabbit Monoclonal[EPR12197(B)] to CLN5 ab170899 staining at 1/1000 dilution, shown in green; Mouse anti alpha Tubulin (ab7291) loading control staining at 1/20,000 dilution, shown in magenta. A band was observed at 50 kDa in Wild-type U-87 MG cell lysates with no signal observed at this size in CLN5 knockout U-87 MG cell line.

To generate this image, samples were run on an SDS-PAGE gel then transferred onto a nitrocellulose membrane. Membranes were blocked in 3pc Milk in TBS-0.1 % Tween® 20 (TBS-T) before incubation with primary antibodies overnight at 4 °C. Blots were washed four times in TBS-T, incubated with secondary antibodies for 1 h at room temperature, washed again four times then imaged. Secondary antibodies used were Goat anti-Rabbit 800CW & Goat anti-Mouse 680RD at 1/20,000 dilution.

Lanes 1 - 4:

Western blot - Anti-CLN5 antibody [EPR12197(B)] (ab170899) at 1/1000 dilution

Lanes 1 - 4:

Western blot - Anti-CLN5 antibody [EPR12197(B)] - BSA and Azide free (<a href='/en-us/products/primary-antibodies/cln5-antibody-epr12197b-bsa-and-azide-free-ab238931'>ab238931</a>) at 1/1000 dilution

Lane 1:

Wild-type U-87 MG at 20 µg

Lane 2:

CLN5 knockout U-87 MG at 20 µg

Lane 3:

HEK-293 at 20 µg

Lane 4:

Raji at 20 µg

Secondary

All lanes:

Goat anti-Rabbit 800CW & Goat anti-Mouse 680RD at 1/20000 dilution

Predicted band size: 41 kDa

Observed band size: 45-60 kDa

false

Western blot - Anti-CLN5 antibody [EPR12197(B)] (AB170899)
  • WB

Supplier Data

Western blot - Anti-CLN5 antibody [EPR12197(B)] (AB170899)

All lanes:

Western blot - Anti-CLN5 antibody [EPR12197(B)] (ab170899) at 1/1000 dilution

Lane 1:

Fetal kidney lysate at 10 µg

Lane 2:

T47-D cell lysate at 10 µg

Lane 3:

A431 cell lysate at 10 µg

Secondary

All lanes:

Goat anti-rabbit HRP at 1/2000 dilution

Predicted band size: 41 kDa

false

Western blot - Anti-CLN5 antibody [EPR12197(B)] (AB170899)
  • WB

Unknown

Western blot - Anti-CLN5 antibody [EPR12197(B)] (AB170899)

The molecular weights observed are consistent with what have been described in the literature (PMID : 26342652).

All lanes:

Western blot - Anti-CLN5 antibody [EPR12197(B)] (ab170899) at 1/1000 dilution

Lane 1:

NIH/3T3 (Mouse embryonic fibroblast) whole cell lysate at 15 µg

Lane 2:

HepG2 (Human hepatocellular carcinoma epithelial cell) whole cell lysate at 15 µg

Lane 3:

A549 (Human lung carcinoma epithelial cell) whole cell lysate at 15 µg

Secondary

All lanes:

Western blot - Goat Anti-Rabbit IgG H&L (HRP) (<a href='/en-us/products/secondary-antibodies/goat-rabbit-igg-h-l-hrp-ab97051'>ab97051</a>) at 1/20000 dilution

Predicted band size: 41 kDa

Observed band size: 48-52 kDa

false

Western blot - Anti-CLN5 antibody [EPR12197(B)] (AB170899)
  • WB

Unknown

Western blot - Anti-CLN5 antibody [EPR12197(B)] (AB170899)

The molecular weights observed are consistent with what have been described in the literature (PMID : 26342652).

All lanes:

Western blot - Anti-CLN5 antibody [EPR12197(B)] (ab170899) at 1/5000 dilution

All lanes:

C6 (Rat glial tumor glial cell) whole cell lysate at 15 µg

Secondary

All lanes:

Western blot - Goat Anti-Rabbit IgG H&L (HRP) (<a href='/en-us/products/secondary-antibodies/goat-rabbit-igg-h-l-hrp-ab97051'>ab97051</a>) at 1/20000 dilution

Predicted band size: 41 kDa

Observed band size: 48-52 kDa

false

  • Carrier free

    Anti-CLN5 antibody [EPR12197(B)] - BSA and Azide free

  • 578 PE

    PE Anti-CLN5 antibody [EPR12197(B)]

  • 665 Alexa Fluor® 647

    Alexa Fluor® 647 Anti-CLN5 antibody [EPR12197(B)]

  • 565 Alexa Fluor® 555

    Alexa Fluor® 555 Anti-CLN5 antibody [EPR12197(B)]

  • 617 Alexa Fluor® 594

    Alexa Fluor® 594 Anti-CLN5 antibody [EPR12197(B)]

  • 660 APC

    APC Anti-CLN5 antibody [EPR12197(B)]

  • 519 Alexa Fluor® 488

    Alexa Fluor® 488 Anti-CLN5 antibody [EPR12197(B)]

  • 775 Alexa Fluor® 750

    Alexa Fluor® 750 Anti-CLN5 antibody [EPR12197(B)]

Key facts

Host species

Rabbit

Clonality

Monoclonal

Clone number

EPR12197(B)

Isotype

IgG

Carrier free

No

Reacts with

Mouse, Rat, Human

Applications

IHC-P, WB, ICC/IF

applications

Immunogen

The exact immunogen used to generate this antibody is proprietary information.

Specificity

The mouse and rat recommendation is based on the WB results. We do not guarantee IHC-P for mouse and rat.

Reactivity data

{ "title": "Reactivity Data", "filters": { "stats": ["", "Species", "Dilution Info", "Notes"], "tabs": { "all-applications": {"fullname" : "All Applications", "shortname": "All Applications"}, "IHCP" : {"fullname" : "Immunohistochemistry (Formalin/PFA-fixed paraffin-embedded sections)", "shortname":"IHC-P"}, "ICCIF" : {"fullname" : "Immunocytochemistry/ Immunofluorescence", "shortname":"ICC/IF"}, "WB" : {"fullname" : "Western blot", "shortname":"WB"} }, "product-promise": { "all": "all", "testedAndGuaranteed": "tested", "guaranteed": "expected", "predicted": "predicted", "notRecommended": "not-recommended" } }, "values": { "Human": { "IHCP-species-checked": "testedAndGuaranteed", "IHCP-species-dilution-info": "1/2000", "IHCP-species-notes": "<p>For unpurified use at 1/100-1/120 dilution.</p><p>The mouse and rat recommendation is based on the WB results. We do not guarantee IHC-P for mouse and rat.</p>", "ICCIF-species-checked": "testedAndGuaranteed", "ICCIF-species-dilution-info": "1/50", "ICCIF-species-notes": "<p><strong>For unpurified use at 1/100-1/250 dilution.</strong></p>", "WB-species-checked": "testedAndGuaranteed", "WB-species-dilution-info": "1/1000 - 1/10000", "WB-species-notes": "<p></p>" }, "Mouse": { "IHCP-species-checked": "guaranteed", "IHCP-species-dilution-info": "", "IHCP-species-notes": "", "ICCIF-species-checked": "guaranteed", "ICCIF-species-dilution-info": "", "ICCIF-species-notes": "", "WB-species-checked": "testedAndGuaranteed", "WB-species-dilution-info": "1/1000 - 1/10000", "WB-species-notes": "<p></p>" }, "Rat": { "IHCP-species-checked": "guaranteed", "IHCP-species-dilution-info": "", "IHCP-species-notes": "", "ICCIF-species-checked": "guaranteed", "ICCIF-species-dilution-info": "", "ICCIF-species-notes": "", "WB-species-checked": "testedAndGuaranteed", "WB-species-dilution-info": "1/1000 - 1/10000", "WB-species-notes": "<p></p>" } } }

Product details

What is this antibody validated in?
Anti-CLN5 antibody [EPR12197(B)] (ab170899) is a rabbit recombinant monoclonal antibody and is validated for use in Western Blot (WB), Immunohistochemistry (IHC-P), Immunocytochemistry/immunofluorescence (ICC/IF) in Human, Mouse, Rat samples.

What is the molecular weight of CLN5?
Anti-CLN5 [EPR12197(B)] (ab170899) specifically detects a band for CLN5 (UniProt: O75503) at a molecular weight of 41kDa.

Trial sizes available!
Test your antibody or perform pre-screening before committing to a larger quantity. Sold in 10µl. Discover our selection of trial-size antibodies.

Other related products
We have a range of other formats of antibody clone [EPR12197(B)] also available for your convenience: ab170899, Carrier free - ab238931, PE - ab317909, APC - ab317948, Alexa Fluor® 488 - ab317989, Alexa Fluor® 594 - ab318031, Alexa Fluor® 555 - ab318073, Alexa Fluor® 647 - ab318114, Alexa Fluor® 750 - ab321166

Patented technology
Our RabMAb® technology is a patented hybridoma-based technology for making rabbit monoclonal antibodies. For details on our patents, please refer to RabMAb® patents.

What are the advantages of a recombinant monoclonal antibody?
This product is a recombinant monoclonal antibody, which offers several advantages including:

  • - High batch-to-batch consistency and reproducibility
  • - Improved sensitivity and specificity
  • - Long-term security of supply
  • - Animal-free batch production

For more information, read more on recombinant antibodies.

Properties and storage information

Form
Liquid
Purification technique
Affinity purification Protein A
Storage buffer
Preservative: 0.01% Sodium azide Constituents: PBS, 40% Glycerol (glycerin, glycerine), 0.05% BSA
Shipped at conditions
Blue Ice
Appropriate short-term storage duration
1-2 weeks
Appropriate short-term storage conditions
+4°C
Appropriate long-term storage conditions
-20°C
Aliquoting information
Upon delivery aliquot
Storage information
Avoid freeze / thaw cycle

Product protocols

For this product, it's our understanding that no specific protocols are required. You can visit:

Target data

Bis(monoacylglycero)phosphate synthase CLN5, secreted form. Catalyzes the synthesis of bis(monoacylglycero)phosphate (BMP) via transacylation of 2 molecules of lysophosphatidylglycerol (LPG) (PubMed : 37708259). BMP also known as lysobisphosphatidic acid plays a key role in the formation of intraluminal vesicles and in maintaining intracellular cholesterol homeostasis (PubMed : 37708259). Can use only LPG as the exclusive lysophospholipid acyl donor for base exchange and displays BMP synthase activity towards various LPGs (LPG 14 : 0, LPG 16 : 0, LPG 18 : 0, LPG 18 : 1) with a higher preference for longer chain lengths (PubMed : 37708259). Plays a role in influencing the retrograde trafficking of lysosomal sorting receptors SORT1 and IGF2R from the endosomes to the trans-Golgi network by controlling the recruitment of retromer complex to the endosomal membrane (PubMed : 22431521). Regulates the localization and activation of RAB7A which is required to recruit the retromer complex to the endosomal membrane (PubMed : 22431521).. Exhibits palmitoyl protein thioesterase (S-depalmitoylation) activity in vitro and most likely plays a role in protein S-depalmitoylation.
See full target information Ceroid-lipofuscinosis neuronal protein 5

Publications (11)

Recent publications for all applications. Explore the full list and refine your search

Nature communications 15:9937 PubMed39548099

2024

Functionally overlapping intra- and extralysosomal pathways promote bis(monoacylglycero)phosphate synthesis in mammalian cells.

Applications

Unspecified application

Species

Unspecified reactive species

Dominik Bulfon,Johannes Breithofer,Gernot F Grabner,Nermeen Fawzy,Anita Pirchheim,Heimo Wolinski,Dagmar Kolb,Lennart Hartig,Martin Tischitz,Clara Zitta,Greta Bramerdorfer,Achim Lass,Ulrike Taschler,Dagmar Kratky,Peter Greimel,Robert Zimmermann

Frontiers in genetics 14:1212228 PubMed37614821

2023

Long-term safety and dose escalation of intracerebroventricular CLN5 gene therapy in sheep supports clinical translation for CLN5 Batten disease.

Applications

Unspecified application

Species

Unspecified reactive species

Nadia L Mitchell,Samantha J Murray,Martin P Wellby,Graham K Barrell,Katharina N Russell,Ashley R Deane,John R Wynyard,Madeleine J Palmer,Anila Pulickan,Phillipa M Prendergast,Widler Casy,Steven J Gray,David N Palmer

Journal of clinical laboratory analysis 36:e24712 PubMed36347825

2022

HAGLROS knockdown restrained cell proliferation, migration and invasion and facilitated apoptosis in laryngeal cancer via miR-138-5p/CLN5 axis.

Applications

Unspecified application

Species

Unspecified reactive species

Dehui Fu,Yongwang Huang,Shanshan Wang,Jing Liu,Chao Li

Oncology letters 21:387 PubMed33777210

2021

Knockdown of CLN5 inhibits the tumorigenic properties of glioblastoma cells via the Akt/mTOR signaling pathway.

Applications

Unspecified application

Species

Unspecified reactive species

Jiexia Xing,Ying Li,Huilan Zhao

Cell death discovery 6:18 PubMed32257390

2020

Proteomic and functional analyses in disease models reveal CLN5 protein involvement in mitochondrial dysfunction.

Applications

WB

Species

Human

Stefano Doccini,Federica Morani,Claudia Nesti,Francesco Pezzini,Giulio Calza,Rabah Soliymani,Giovanni Signore,Silvia Rocchiccioli,Katja M Kanninen,Mikko T Huuskonen,Marc H Baumann,Alessandro Simonati,Maciej M Lalowski,Filippo M Santorelli

Scientific reports 9:151 PubMed30655561

2019

Autophagy-lysosome pathway alterations and alpha-synuclein up-regulation in the subtype of neuronal ceroid lipofuscinosis, CLN5 disease.

Applications

Unspecified application

Species

Unspecified reactive species

Jessie Adams,Melissa Feuerborn,Joshua A Molina,Alexa R Wilden,Babita Adhikari,Theodore Budden,Stella Y Lee

Molecular and cellular biology 38: PubMed30037983

2018

An Alzheimer's Disease-Linked Loss-of-Function CLN5 Variant Impairs Cathepsin D Maturation, Consistent with a Retromer Trafficking Defect.

Applications

Unspecified application

Species

Unspecified reactive species

Yasir H Qureshi,Vivek M Patel,Diego E Berman,Milankumar J Kothiya,Jessica L Neufeld,Badri Vardarajan,Min Tang,Dolly Reyes-Dumeyer,Rafael Lantigua,Martin Medrano,Ivonne J Jiménez-Velázquez,Scott A Small,Christiane Reitz

Human molecular genetics 27:1711-1722 PubMed29514215

2018

Loss of CLN7 results in depletion of soluble lysosomal proteins and impaired mTOR reactivation.

Applications

Unspecified application

Species

Unspecified reactive species

Tatyana Danyukova,Khandsuren Ariunbat,Melanie Thelen,Nahal Brocke-Ahmadinejad,Sara E Mole,Stephan Storch

Cell death discovery 3:17075 PubMed29090099

2017

A signature of enhanced lipid metabolism, lipid peroxidation and aldehyde stress in therapy-induced senescence.

Applications

WB

Species

Unspecified reactive species

Amy C Flor,Don Wolfgeher,Ding Wu,Stephen J Kron

Experimental cell research 357:40-50 PubMed28442266

2017

CLN5 is cleaved by members of the SPP/SPPL family to produce a mature soluble protein.

Applications

Unspecified application

Species

Unspecified reactive species

Felix Jules,Etienne Sauvageau,Karine Dumaresq-Doiron,Javier Mazzaferri,Martina Haug-Kröper,Regina Fluhrer,Santiago Costantino,Stephane Lefrancois
View all publications

Product promise

We are committed to supporting your work with high-quality reagents, and we're here for you every step of the way. In the unlikely event that one of our products does not perform as expected, you're protected by our Product Promise.
For full details, please see our Terms & Conditions

Please note: All products are 'FOR RESEARCH USE ONLY. NOT FOR USE IN DIAGNOSTIC OR THERAPEUTIC PROCEDURES'.

For licensing inquiries, please contact partnerships@abcam.com