JavaScript is disabled in your browser. Please enable JavaScript to view this website.
AB192907

Anti-CLNS1A/CLCI antibody - C-terminal

Be the first to review this product! Submit a review

|

(2 Publications)

Rabbit Polyclonal CLNS1A/CLCI antibody. C-terminal. Suitable for IP, WB, IHC-P and reacts with Human, Mouse samples. Cited in 2 publications. Immunogen corresponding to Synthetic Peptide within Human CLNS1A aa 150 to C-terminus.

View Alternative Names

CLCI, ICLN, CLNS1A, Methylosome subunit pICln, Chloride conductance regulatory protein ICln, Chloride ion current inducer protein, Reticulocyte pICln, I(Cln), ClCI

4 Images
Immunohistochemistry (Formalin/PFA-fixed paraffin-embedded sections) - Anti-CLNS1A/CLCI antibody - C-terminal (AB192907)
  • IHC-P

Supplier Data

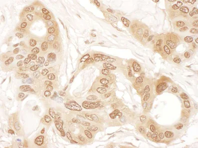
Immunohistochemistry (Formalin/PFA-fixed paraffin-embedded sections) - Anti-CLNS1A/CLCI antibody - C-terminal (AB192907)

ab192907 staining CLNS1A/CLCI in human ovarian carcinoma tissue sections. Primary antibody used at a dilution of 1/1000.

Counterstain : Hematoxylin (blue).

Immunohistochemistry (Formalin/PFA-fixed paraffin-embedded sections) - Anti-CLNS1A/CLCI antibody - C-terminal (AB192907)
  • IHC-P

Unknown

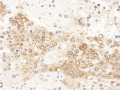
Immunohistochemistry (Formalin/PFA-fixed paraffin-embedded sections) - Anti-CLNS1A/CLCI antibody - C-terminal (AB192907)

ab192907 staining CLNS1A/CLCI in mouse tetratoma tissue sections. Primary antibody was used at a dilution of 1/1000.

Counterstain : Hematoxylin (blue).

Immunoprecipitation - Anti-CLNS1A/CLCI antibody - C-terminal (AB192907)
  • IP

Supplier Data

Immunoprecipitation - Anti-CLNS1A/CLCI antibody - C-terminal (AB192907)

Detection of CLNS1A/CLCI in immunoprecipitates of 293T whole cell lysate prepared using NETN lysis buffer (1 mg for IP, 20% of IP loaded) using ab192907 at 6 μg/mg lysate for IP (Lane 1) and at 1 μg/ml for subsequent Western blot detection. Lane 2 represents control IgG IP.

Detection : Chemiluminescence with an exposure time of 30 seconds.

All lanes:

Immunoprecipitation - Anti-CLNS1A/CLCI antibody - C-terminal (ab192907)

Predicted band size: 26 kDa

false

Western blot - Anti-CLNS1A/CLCI antibody - C-terminal (AB192907)
  • WB

Supplier Data

Western blot - Anti-CLNS1A/CLCI antibody - C-terminal (AB192907)

Lysates prepared using NETN lysis buffer.

All lanes:

Western blot - Anti-CLNS1A/CLCI antibody - C-terminal (ab192907) at 0.1 µg/mL

Lane 1:

HeLa whole cell lysate at 50 µg

Lane 2:

293T whole cell lysate at 50 µg

Lane 3:

Jurkat whole cell lysate at 50 µg

Lane 4:

TCMK-1 whole cell lysate at 50 µg

Lane 5:

NIH3T3 whole cell lysate at 50 µg

Predicted band size: 26 kDa

true

Exposure time: 30s

Key facts

Host species

Rabbit

Clonality

Polyclonal

Isotype

IgG

Carrier free

No

Reacts with

Mouse, Human

Applications

IP, IHC-P, WB

applications

Immunogen

Synthetic Peptide within Human CLNS1A aa 150 to C-terminus. The exact immunogen used to generate this antibody is proprietary information.

P54105

Reactivity data

{ "title": "Reactivity Data", "filters": { "stats": ["", "Species", "Dilution Info", "Notes"], "tabs": { "all-applications": {"fullname" : "All Applications", "shortname": "All Applications"}, "IP" : {"fullname" : "Immunoprecipitation", "shortname":"IP"}, "WB" : {"fullname" : "Western blot", "shortname":"WB"}, "IHCP" : {"fullname" : "Immunohistochemistry (Formalin/PFA-fixed paraffin-embedded sections)", "shortname":"IHC-P"} }, "product-promise": { "all": "all", "testedAndGuaranteed": "tested", "guaranteed": "expected", "predicted": "predicted", "notRecommended": "not-recommended" } }, "values": { "Human": { "IP-species-checked": "testedAndGuaranteed", "IP-species-dilution-info": "2-10 µg/mg of lysate", "IP-species-notes": "<p></p>", "WB-species-checked": "testedAndGuaranteed", "WB-species-dilution-info": "1/1000 - 1/2000", "WB-species-notes": "<p></p>", "IHCP-species-checked": "testedAndGuaranteed", "IHCP-species-dilution-info": "1/1000 - 1/5000", "IHCP-species-notes": "<p></p>" }, "Mouse": { "IP-species-checked": "guaranteed", "IP-species-dilution-info": "", "IP-species-notes": "", "WB-species-checked": "testedAndGuaranteed", "WB-species-dilution-info": "1/1000 - 1/2000", "WB-species-notes": "<p></p>", "IHCP-species-checked": "testedAndGuaranteed", "IHCP-species-dilution-info": "1/1000 - 1/5000", "IHCP-species-notes": "<p></p>" }, "Rat": { "IP-species-checked": "predicted", "IP-species-dilution-info": "", "IP-species-notes": "", "WB-species-checked": "predicted", "WB-species-dilution-info": "", "WB-species-notes": "", "IHCP-species-checked": "predicted", "IHCP-species-dilution-info": "", "IHCP-species-notes": "" }, "Chinese hamster": { "IP-species-checked": "predicted", "IP-species-dilution-info": "", "IP-species-notes": "", "WB-species-checked": "predicted", "WB-species-dilution-info": "", "WB-species-notes": "", "IHCP-species-checked": "predicted", "IHCP-species-dilution-info": "", "IHCP-species-notes": "" }, "Cow": { "IP-species-checked": "predicted", "IP-species-dilution-info": "", "IP-species-notes": "", "WB-species-checked": "predicted", "WB-species-dilution-info": "", "WB-species-notes": "", "IHCP-species-checked": "predicted", "IHCP-species-dilution-info": "", "IHCP-species-notes": "" }, "Dog": { "IP-species-checked": "predicted", "IP-species-dilution-info": "", "IP-species-notes": "", "WB-species-checked": "predicted", "WB-species-dilution-info": "", "WB-species-notes": "", "IHCP-species-checked": "predicted", "IHCP-species-dilution-info": "", "IHCP-species-notes": "" }, "Goat": { "IP-species-checked": "predicted", "IP-species-dilution-info": "", "IP-species-notes": "", "WB-species-checked": "predicted", "WB-species-dilution-info": "", "WB-species-notes": "", "IHCP-species-checked": "predicted", "IHCP-species-dilution-info": "", "IHCP-species-notes": "" }, "Horse": { "IP-species-checked": "predicted", "IP-species-dilution-info": "", "IP-species-notes": "", "WB-species-checked": "predicted", "WB-species-dilution-info": "", "WB-species-notes": "", "IHCP-species-checked": "predicted", "IHCP-species-dilution-info": "", "IHCP-species-notes": "" }, "Orangutan": { "IP-species-checked": "predicted", "IP-species-dilution-info": "", "IP-species-notes": "", "WB-species-checked": "predicted", "WB-species-dilution-info": "", "WB-species-notes": "", "IHCP-species-checked": "predicted", "IHCP-species-dilution-info": "", "IHCP-species-notes": "" }, "Pig": { "IP-species-checked": "predicted", "IP-species-dilution-info": "", "IP-species-notes": "", "WB-species-checked": "predicted", "WB-species-dilution-info": "", "WB-species-notes": "", "IHCP-species-checked": "predicted", "IHCP-species-dilution-info": "", "IHCP-species-notes": "" }, "Rabbit": { "IP-species-checked": "predicted", "IP-species-dilution-info": "", "IP-species-notes": "", "WB-species-checked": "predicted", "WB-species-dilution-info": "", "WB-species-notes": "", "IHCP-species-checked": "predicted", "IHCP-species-dilution-info": "", "IHCP-species-notes": "" }, "Sheep": { "IP-species-checked": "predicted", "IP-species-dilution-info": "", "IP-species-notes": "", "WB-species-checked": "predicted", "WB-species-dilution-info": "", "WB-species-notes": "", "IHCP-species-checked": "predicted", "IHCP-species-dilution-info": "", "IHCP-species-notes": "" }, "Xenopus laevis": { "IP-species-checked": "predicted", "IP-species-dilution-info": "", "IP-species-notes": "", "WB-species-checked": "predicted", "WB-species-dilution-info": "", "WB-species-notes": "", "IHCP-species-checked": "predicted", "IHCP-species-dilution-info": "", "IHCP-species-notes": "" } } }

Properties and storage information

Form
Liquid
Purification technique
Affinity purification Immunogen
Purification notes
ab192907 was affinity purified using an epitope specific to CLNS1A/CLCI immobilized on solid support
Storage buffer
pH: 7 - 8 Preservative: 0.09% Sodium azide Constituents: 99% Tris citrate/phosphate
Shipped at conditions
Blue Ice
Appropriate short-term storage duration
1-2 weeks
Appropriate short-term storage conditions
+4°C
Appropriate long-term storage conditions
-20°C
Aliquoting information
Upon delivery aliquot
Storage information
Avoid freeze / thaw cycle

Product protocols

For this product, it's our understanding that no specific protocols are required. You can visit:

Target data

Involved in both the assembly of spliceosomal snRNPs and the methylation of Sm proteins (PubMed : 10330151, PubMed : 11713266, PubMed : 18984161, PubMed : 21081503). Chaperone that regulates the assembly of spliceosomal U1, U2, U4 and U5 small nuclear ribonucleoproteins (snRNPs), the building blocks of the spliceosome, and thereby plays an important role in the splicing of cellular pre-mRNAs (PubMed : 10330151, PubMed : 18984161). Most spliceosomal snRNPs contain a common set of Sm proteins SNRPB, SNRPD1, SNRPD2, SNRPD3, SNRPE, SNRPF and SNRPG that assemble in a heptameric protein ring on the Sm site of the small nuclear RNA to form the core snRNP (Sm core) (PubMed : 10330151). In the cytosol, the Sm proteins SNRPD1, SNRPD2, SNRPE, SNRPF and SNRPG are trapped in an inactive 6S pICln-Sm complex by the chaperone CLNS1A that controls the assembly of the core snRNP (PubMed : 10330151, PubMed : 18984161). Dissociation by the SMN complex of CLNS1A from the trapped Sm proteins and their transfer to an SMN-Sm complex triggers the assembly of core snRNPs and their transport to the nucleus (PubMed : 10330151, PubMed : 18984161).
See full target information CLNS1A

Publications (2)

Recent publications for all applications. Explore the full list and refine your search

Cancer research communications 3:2233-2243 PubMed37861290

2023

PRMT5 Inhibitors Regulate DNA Damage Repair Pathways in Cancer Cells and Improve Response to PARP Inhibition and Chemotherapies.

Applications

Unspecified application

Species

Unspecified reactive species

Jack Carter,Michael Hulse,Monisha Sivakumar,Jessica Burtell,Venkat Thodima,Min Wang,Anjana Agarwal,Komali Vykuntam,Jacob Spruance,Neha Bhagwat,Joseph Rager,Bruce Ruggeri,Peggy Scherle,Koichi Ito

Journal of oncology 2022:2292481 PubMed35586205

2022

DNAJA1 Stabilizes EF1A1 to Promote Cell Proliferation and Metastasis of Liver Cancer Mediated by miR-205-5p.

Applications

Unspecified application

Species

Unspecified reactive species

Lizhi Yi,Shunhui He,Zhengyu Cheng,Xi Chen,Xiaoli Ren,Yang Bai
View all publications

Product promise

We are committed to supporting your work with high-quality reagents, and we're here for you every step of the way. In the unlikely event that one of our products does not perform as expected, you're protected by our Product Promise.
For full details, please see our Terms & Conditions

Please note: All products are 'FOR RESEARCH USE ONLY. NOT FOR USE IN DIAGNOSTIC OR THERAPEUTIC PROCEDURES'.

For licensing inquiries, please contact partnerships@abcam.com