JavaScript is disabled in your browser. Please enable JavaScript to view this website.
AB133669

Anti-CLP1 antibody [EPR7180(2)]

Be the first to review this product! Submit a review

|

(4 Publications)

Rabbit Recombinant Monoclonal CLP1 antibody. Suitable for IHC-P, WB and reacts with Human samples. Cited in 4 publications.

View Alternative Names

HEAB, CLP1, Polyribonucleotide 5'-hydroxyl-kinase Clp1, Polyadenylation factor Clp1, Polynucleotide kinase Clp1, Pre-mRNA cleavage complex II protein Clp1

4 Images
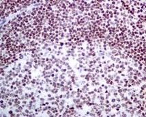
Immunohistochemistry (Formalin/PFA-fixed paraffin-embedded sections) - Anti-CLP1 antibody [EPR7180(2)] (AB133669)
  • IHC-P

Unknown

Immunohistochemistry (Formalin/PFA-fixed paraffin-embedded sections) - Anti-CLP1 antibody [EPR7180(2)] (AB133669)

Immunohistochemical analysis of paraffin-embedded Human tonsil tissue labelling CLP1 with ab133669 at 1/100 dilution.

Perform heat mediated antigen retrieval with citrate buffer pH 6 before commencing with IHC staining protocol.

Immunohistochemistry (Formalin/PFA-fixed paraffin-embedded sections) - Anti-CLP1 antibody [EPR7180(2)] (AB133669)
  • IHC-P

Unknown

Immunohistochemistry (Formalin/PFA-fixed paraffin-embedded sections) - Anti-CLP1 antibody [EPR7180(2)] (AB133669)

Immunohistochemical analysis of paraffin-embedded Human colon tissue labelling CLP1 with ab133669 at 1/100 dilution.

Perform heat mediated antigen retrieval with citrate buffer pH 6 before commencing with IHC staining protocol.

Western blot - Anti-CLP1 antibody [EPR7180(2)] (AB133669)
  • WB

Unknown

Western blot - Anti-CLP1 antibody [EPR7180(2)] (AB133669)

All lanes:

Western blot - Anti-CLP1 antibody [EPR7180(2)] (ab133669) at 1/1000 dilution

Lane 1:

HeLa cell lysate at 10 µg

Lane 2:

HepG2 cell lysate at 10 µg

Lane 3:

293T cell lysate at 10 µg

Secondary

All lanes:

Goat anti-rabbit HRP conjugated at 1/2000 dilution

Predicted band size: 48 kDa

false

OI-RD Scanning - Anti-CLP1 antibody [EPR7180(2)] (AB133669)
  • OI-RD Scanning

Unknown

OI-RD Scanning - Anti-CLP1 antibody [EPR7180(2)] (AB133669)

We have systematically measured KD (the equilibrium dissociation constant between the antibody and its antigen), of more than 840 recombinant antibodies to assess not only their individual KD values but also to see the average affinity of antibody. Based on the comparison with published literature values for mouse monoclonal antibodies, Recombinant antibodies appear to be on average 1-2 order of magnitude higher affinity.

  • Carrier free

    Anti-CLP1 antibody [EPR7180(2)] - BSA and Azide free

Key facts

Host species

Rabbit

Clonality

Monoclonal

Clone number

EPR7180(2)

Isotype

IgG

Carrier free

No

Reacts with

Human

Applications

WB, IHC-P

applications

Immunogen

The exact immunogen used to generate this antibody is proprietary information.

Reactivity data

{ "title": "Reactivity Data", "filters": { "stats": ["", "Species", "Dilution Info", "Notes"], "tabs": { "all-applications": {"fullname" : "All Applications", "shortname": "All Applications"}, "IHCP" : {"fullname" : "Immunohistochemistry (Formalin/PFA-fixed paraffin-embedded sections)", "shortname":"IHC-P"}, "IP" : {"fullname" : "Immunoprecipitation", "shortname":"IP"}, "WB" : {"fullname" : "Western blot", "shortname":"WB"}, "FlowCytIntra" : {"fullname" : "Flow Cytometry (Intracellular)", "shortname":"Flow Cyt (Intra)"} }, "product-promise": { "all": "all", "testedAndGuaranteed": "tested", "guaranteed": "expected", "predicted": "predicted", "notRecommended": "not-recommended" } }, "values": { "Human": { "IHCP-species-checked": "testedAndGuaranteed", "IHCP-species-dilution-info": "1/100 - 1/250", "IHCP-species-notes": "<p></p>", "IP-species-checked": "notRecommended", "IP-species-dilution-info": "", "IP-species-notes": "<p></p>", "WB-species-checked": "testedAndGuaranteed", "WB-species-dilution-info": "1/1000 - 1/10000", "WB-species-notes": "<p></p>", "FlowCytIntra-species-checked": "notRecommended", "FlowCytIntra-species-dilution-info": "", "FlowCytIntra-species-notes": "<p></p>" } } }

Product details

Species reactivity
Mouse, Rat: We have preliminary internal testing data to indicate this antibody may not react with these species.
Please contact us for more information.

Patented technology
Our RabMAb® technology is a patented hybridoma-based technology for making rabbit monoclonal antibodies. For details on our patents, please refer to RabMAb® patents.

What are the advantages of a recombinant monoclonal antibody?
This product is a recombinant monoclonal antibody, which offers several advantages including:

  • - High batch-to-batch consistency and reproducibility
  • - Improved sensitivity and specificity
  • - Long-term security of supply
  • - Animal-free batch production

For more information, read more on recombinant antibodies.

Properties and storage information

Form
Liquid
Purification technique
Affinity purification Protein A
Storage buffer
pH: 7.2 - 7.4 Preservative: 0.01% Sodium azide Constituents: PBS, 50% Tissue culture supernatant, 40% Glycerol (glycerin, glycerine), 0.05% BSA
Shipped at conditions
Blue Ice
Appropriate short-term storage conditions
+4°C
Appropriate long-term storage conditions
-20°C
Storage information
Stable for 12 months at -20°C

Product protocols

For this product, it's our understanding that no specific protocols are required. You can visit:

Target data

Polynucleotide kinase that can phosphorylate the 5'-hydroxyl groups of double-stranded RNA (dsRNA), single-stranded RNA (ssRNA), double-stranded DNA (dsDNA) and double-stranded DNA : RNA hybrids. dsRNA is phosphorylated more efficiently than dsDNA, and the RNA component of a DNA : RNA hybrid is phosphorylated more efficiently than the DNA component. Plays a key role in both tRNA splicing and mRNA 3'-end formation. Component of the tRNA splicing endonuclease complex : phosphorylates the 5'-terminus of the tRNA 3'-exon during tRNA splicing; this phosphorylation event is a prerequisite for the subsequent ligation of the two exon halves and the production of a mature tRNA (PubMed : 24766809, PubMed : 24766810). Its role in tRNA splicing and maturation is required for cerebellar development (PubMed : 24766809, PubMed : 24766810). Component of the pre-mRNA cleavage complex II (CF-II), which seems to be required for mRNA 3'-end formation. Also phosphorylates the 5'-terminus of exogenously introduced short interfering RNAs (siRNAs), which is a necessary prerequisite for their incorporation into the RNA-induced silencing complex (RISC). However, endogenous siRNAs and microRNAs (miRNAs) that are produced by the cleavage of dsRNA precursors by DICER1 already contain a 5'-phosphate group, so this protein may be dispensible for normal RNA-mediated gene silencing.
See full target information CLP1

Publications (4)

Recent publications for all applications. Explore the full list and refine your search

Neuron 110:1340-1357.e7 PubMed35139363

2022

Suppression of premature transcription termination leads to reduced mRNA isoform diversity and neurodegeneration.

Applications

Unspecified application

Species

Unspecified reactive species

Geneva R LaForce,Jordan S Farr,Jingyi Liu,Cydni Akesson,Evren Gumus,Otis Pinkard,Helen C Miranda,Katherine Johnson,Thomas J Sweet,Ping Ji,Ai Lin,Jeff Coller,Polyxeni Philippidou,Eric J Wagner,Ashleigh E Schaffer

Molecular cell 77:1206-1221.e7 PubMed31980388

2020

A Cancer-Specific Ubiquitin Ligase Drives mRNA Alternative Polyadenylation by Ubiquitinating the mRNA 3' End Processing Complex.

Applications

Unspecified application

Species

Unspecified reactive species

Seung Wook Yang,Lei Li,Jon P Connelly,Shaina N Porter,Kiran Kodali,Haiyun Gan,Jung Mi Park,Klementina Fon Tacer,Heather Tillman,Junmin Peng,Shondra M Pruett-Miller,Wei Li,Patrick Ryan Potts

Molecular and cellular biochemistry 458:159-169 PubMed31020492

2019

Biological effects of cyclosporin A on CD3CD161 and CD3CD161 lymphocytes.

Applications

Unspecified application

Species

Unspecified reactive species

Aravinthan Adithan,Judith Sharmila John Peter,Mohammad Amjad Hossain,Chang-Won Kang,Bumseok Kim,Nam Soo Kim,Ki-Chul Hwang,Jong-Hoon Kim

Cell 157:651-63 PubMed24766810

2014

CLP1 founder mutation links tRNA splicing and maturation to cerebellar development and neurodegeneration.

Applications

IF, WB

Species

Unspecified reactive species, Unspecified reactive species

Ashleigh E Schaffer,Veerle R C Eggens,Ahmet Okay Caglayan,Miriam S Reuter,Eric Scott,Nicole G Coufal,Jennifer L Silhavy,Yuanchao Xue,Hulya Kayserili,Katsuhito Yasuno,Rasim Ozgur Rosti,Mostafa Abdellateef,Caner Caglar,Paul R Kasher,J Leonie Cazemier,Marian A Weterman,Vincent Cantagrel,Na Cai,Christiane Zweier,Umut Altunoglu,N Bilge Satkin,Fesih Aktar,Beyhan Tuysuz,Cengiz Yalcinkaya,Huseyin Caksen,Kaya Bilguvar,Xiang-Dong Fu,Christopher R Trotta,Stacey Gabriel,André Reis,Murat Gunel,Frank Baas,Joseph G Gleeson
View all publications

Product promise

We are committed to supporting your work with high-quality reagents, and we're here for you every step of the way. In the unlikely event that one of our products does not perform as expected, you're protected by our Product Promise.
For full details, please see our Terms & Conditions

Please note: All products are 'FOR RESEARCH USE ONLY. NOT FOR USE IN DIAGNOSTIC OR THERAPEUTIC PROCEDURES'.

For licensing inquiries, please contact partnerships@abcam.com