JavaScript is disabled in your browser. Please enable JavaScript to view this website.
AB248605

Anti-CLP1 antibody [EPR7180(2)] - BSA and Azide free

Be the first to review this product! Submit a review

|

(1 Publication)

Rabbit Recombinant Monoclonal CLP1 antibody. Carrier free. Suitable for IHC-P, WB and reacts with Human samples. Cited in 1 publication.

View Alternative Names

HEAB, CLP1, Polyribonucleotide 5'-hydroxyl-kinase Clp1, Polyadenylation factor Clp1, Polynucleotide kinase Clp1, Pre-mRNA cleavage complex II protein Clp1

4 Images
Immunohistochemistry (Formalin/PFA-fixed paraffin-embedded sections) - Anti-CLP1 antibody [EPR7180(2)] - BSA and Azide free (AB248605)
  • IHC-P

Unknown

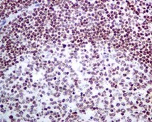
Immunohistochemistry (Formalin/PFA-fixed paraffin-embedded sections) - Anti-CLP1 antibody [EPR7180(2)] - BSA and Azide free (AB248605)

This data was developed using ab133669, the same antibody clone in a different buffer formulation.

Immunohistochemical analysis of paraffin-embedded Human tonsil tissue labelling CLP1 with ab133669 at 1/100 dilution.

Perform heat mediated antigen retrieval with citrate buffer pH 6 before commencing with IHC staining protocol.

Immunohistochemistry (Formalin/PFA-fixed paraffin-embedded sections) - Anti-CLP1 antibody [EPR7180(2)] - BSA and Azide free (AB248605)
  • IHC-P

Unknown

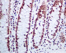
Immunohistochemistry (Formalin/PFA-fixed paraffin-embedded sections) - Anti-CLP1 antibody [EPR7180(2)] - BSA and Azide free (AB248605)

This data was developed using ab133669, the same antibody clone in a different buffer formulation.

Immunohistochemical analysis of paraffin-embedded Human colon tissue labelling CLP1 with ab133669 at 1/100 dilution.

Perform heat mediated antigen retrieval with citrate buffer pH 6 before commencing with IHC staining protocol.

Western blot - Anti-CLP1 antibody [EPR7180(2)] - BSA and Azide free (AB248605)
  • WB

Unknown

Western blot - Anti-CLP1 antibody [EPR7180(2)] - BSA and Azide free (AB248605)

This data was developed using ab133669, the same antibody clone in a different buffer formulation.

All lanes:

Western blot - Anti-CLP1 antibody [EPR7180(2)] (<a href='/en-us/products/primary-antibodies/clp1-antibody-epr71802-ab133669'>ab133669</a>) at 1/1000 dilution

Lane 1:

HeLa cell lysate at 10 µg

Lane 2:

HepG2 cell lysate at 10 µg

Lane 3:

293T cell lysate at 10 µg

Secondary

All lanes:

Goat anti-rabbit HRP conjugated at 1/2000 dilution

Predicted band size: 48 kDa

false

OI-RD Scanning - Anti-CLP1 antibody [EPR7180(2)] - BSA and Azide free (AB248605)
  • OI-RD Scanning

Unknown

OI-RD Scanning - Anti-CLP1 antibody [EPR7180(2)] - BSA and Azide free (AB248605)

We have systematically measured KD (the equilibrium dissociation constant between the antibody and its antigen), of more than 840 recombinant antibodies to assess not only their individual KD values but also to see the average affinity of antibody. Based on the comparison with published literature values for mouse monoclonal antibodies, Recombinant antibodies appear to be on average 1-2 order of magnitude higher affinity.

Key facts

Host species

Rabbit

Clonality

Monoclonal

Clone number

EPR7180(2)

Isotype

IgG

Carrier free

Yes

Reacts with

Human

Applications

IHC-P, WB

applications

Immunogen

The exact immunogen used to generate this antibody is proprietary information.

Reactivity data

{ "title": "Reactivity Data", "filters": { "stats": ["", "Species", "Dilution Info", "Notes"], "tabs": { "all-applications": {"fullname" : "All Applications", "shortname": "All Applications"}, "IHCP" : {"fullname" : "Immunohistochemistry (Formalin/PFA-fixed paraffin-embedded sections)", "shortname":"IHC-P"}, "IP" : {"fullname" : "Immunoprecipitation", "shortname":"IP"}, "WB" : {"fullname" : "Western blot", "shortname":"WB"}, "FlowCytIntra" : {"fullname" : "Flow Cytometry (Intracellular)", "shortname":"Flow Cyt (Intra)"} }, "product-promise": { "all": "all", "testedAndGuaranteed": "tested", "guaranteed": "expected", "predicted": "predicted", "notRecommended": "not-recommended" } }, "values": { "Human": { "IHCP-species-checked": "testedAndGuaranteed", "IHCP-species-dilution-info": "", "IHCP-species-notes": "<p></p> Perform heat-mediated antigen retrieval with citrate buffer pH 6 before commencing with IHC staining protocol.", "IP-species-checked": "notRecommended", "IP-species-dilution-info": "", "IP-species-notes": "<p></p>", "WB-species-checked": "testedAndGuaranteed", "WB-species-dilution-info": "", "WB-species-notes": "<p></p>", "FlowCytIntra-species-checked": "notRecommended", "FlowCytIntra-species-dilution-info": "", "FlowCytIntra-species-notes": "<p></p>" } } }

Product details

ab248605 is the carrier-free version of ab133669.

Species reactivity
Mouse, Rat: We have preliminary internal testing data to indicate this antibody may not react with these species.
Please contact us for more information.

Patented technology
Our RabMAb® technology is a patented hybridoma-based technology for making rabbit monoclonal antibodies. For details on our patents, please refer to RabMAb® patents.

What are the advantages of a recombinant monoclonal antibody?
This product is a recombinant monoclonal antibody, which offers several advantages including:

  • - High batch-to-batch consistency and reproducibility
  • - Improved sensitivity and specificity
  • - Long-term security of supply
  • - Animal-free batch production

For more information, read more on recombinant antibodies.

Conjugation ready
Our carrier-free antibodies are typically supplied in a PBS-only formulation, purified and free of BSA, sodium azide and glycerol. This conjugation-ready format is designed for use with fluorochromes, metal isotopes, oligonucleotides, and enzymes, which makes them ideal for antibody labelling, functional and cell-based assays, flow-based assays (e.g. mass cytometry) and Multiplex Imaging applications.

Use our conjugation kits for antibody conjugates that are ready-to-use in as little as 20 minutes with 1 minute hands-on-time and 100% antibody recovery: available for fluorescent dyes, HRP, biotin and gold.

Compatibility
This product is compatible with the Maxpar® Antibody Labeling Kit from Fluidigm, without the need for antibody preparation. Maxpar® is a trademark of Fluidigm Canada Inc.

Properties and storage information

Form
Liquid
Purification technique
Affinity purification Protein A
Storage buffer
pH: 7.2 - 7.4 Constituents: PBS
Shipped at conditions
Blue Ice
Appropriate short-term storage conditions
+4°C
Appropriate long-term storage conditions
+4°C
Storage information
Do Not Freeze

Product protocols

For this product, it's our understanding that no specific protocols are required. You can visit:

Target data

Polynucleotide kinase that can phosphorylate the 5'-hydroxyl groups of double-stranded RNA (dsRNA), single-stranded RNA (ssRNA), double-stranded DNA (dsDNA) and double-stranded DNA : RNA hybrids. dsRNA is phosphorylated more efficiently than dsDNA, and the RNA component of a DNA : RNA hybrid is phosphorylated more efficiently than the DNA component. Plays a key role in both tRNA splicing and mRNA 3'-end formation. Component of the tRNA splicing endonuclease complex : phosphorylates the 5'-terminus of the tRNA 3'-exon during tRNA splicing; this phosphorylation event is a prerequisite for the subsequent ligation of the two exon halves and the production of a mature tRNA (PubMed : 24766809, PubMed : 24766810). Its role in tRNA splicing and maturation is required for cerebellar development (PubMed : 24766809, PubMed : 24766810). Component of the pre-mRNA cleavage complex II (CF-II), which seems to be required for mRNA 3'-end formation. Also phosphorylates the 5'-terminus of exogenously introduced short interfering RNAs (siRNAs), which is a necessary prerequisite for their incorporation into the RNA-induced silencing complex (RISC). However, endogenous siRNAs and microRNAs (miRNAs) that are produced by the cleavage of dsRNA precursors by DICER1 already contain a 5'-phosphate group, so this protein may be dispensible for normal RNA-mediated gene silencing.
See full target information CLP1

Publications (1)

Recent publications for all applications. Explore the full list and refine your search

Immunity, inflammation and disease 10:e727 PubMed36301031

2022

Forkhead box M1 recruits FoxP3 Treg cells to induce immune escape in hilar cholangiocarcinoma.

Applications

Unspecified application

Species

Unspecified reactive species

Kai Ma,Zhaowei Sun,Xueliang Li,Jingyun Guo,Qinlei Wang,Mujian Teng
View all publications

Product promise

We are committed to supporting your work with high-quality reagents, and we're here for you every step of the way. In the unlikely event that one of our products does not perform as expected, you're protected by our Product Promise.
For full details, please see our Terms & Conditions

Please note: All products are 'FOR RESEARCH USE ONLY. NOT FOR USE IN DIAGNOSTIC OR THERAPEUTIC PROCEDURES'.

For licensing inquiries, please contact partnerships@abcam.com