JavaScript is disabled in your browser. Please enable JavaScript to view this website.
AB198166

Anti-CLPS antibody

Be the first to review this product! Submit a review

|

(1 Publication)

Rabbit Polyclonal CLPS antibody. Suitable for IHC-P and reacts with Human samples. Cited in 1 publication. Immunogen corresponding to Recombinant Fragment Protein within Human Colipase.

View Alternative Names

Colipase, CLPS

2 Images
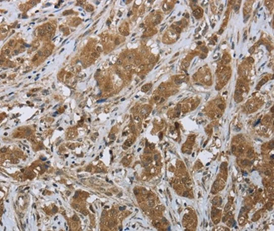
Immunohistochemistry (Formalin/PFA-fixed paraffin-embedded sections) - Anti-CLPS antibody (AB198166)
  • IHC-P

Supplier Data

Immunohistochemistry (Formalin/PFA-fixed paraffin-embedded sections) - Anti-CLPS antibody (AB198166)

Immunohistochemical analysis of paraffin-embedded human esophagus cancer tissue labeling CLPS with ab198166 at a 1/45 dilution.

Immunohistochemistry (Formalin/PFA-fixed paraffin-embedded sections) - Anti-CLPS antibody (AB198166)
  • IHC-P

Supplier Data

Immunohistochemistry (Formalin/PFA-fixed paraffin-embedded sections) - Anti-CLPS antibody (AB198166)

Immunohistochemical analysis of paraffin-embedded human breast cancer tissue labeling CLPS with ab198166 at a 1/45 dilution.

Key facts

Host species

Rabbit

Clonality

Polyclonal

Isotype

IgG

Carrier free

No

Reacts with

Human

Applications

IHC-P

applications

Immunogen

Recombinant Fragment Protein within Human Colipase. The exact immunogen used to generate this antibody is proprietary information.

P04118

Reactivity data

{ "title": "Reactivity Data", "filters": { "stats": ["", "Species", "Dilution Info", "Notes"], "tabs": { "all-applications": {"fullname" : "All Applications", "shortname": "All Applications"}, "IHCP" : {"fullname" : "Immunohistochemistry (Formalin/PFA-fixed paraffin-embedded sections)", "shortname":"IHC-P"} }, "product-promise": { "all": "all", "testedAndGuaranteed": "tested", "guaranteed": "expected", "predicted": "predicted", "notRecommended": "not-recommended" } }, "values": { "Human": { "IHCP-species-checked": "testedAndGuaranteed", "IHCP-species-dilution-info": "1/50 - 1/200", "IHCP-species-notes": "<p></p>" } } }

Properties and storage information

Form
Liquid
Purification technique
Affinity purification Immunogen
Storage buffer
pH: 7.4 Preservative: 0.05% Sodium azide Constituents: 50% Glycerol (glycerin, glycerine), 49% PBS
Shipped at conditions
Blue Ice
Appropriate short-term storage duration
1-2 weeks
Appropriate short-term storage conditions
+4°C
Appropriate long-term storage conditions
-20°C
Aliquoting information
Upon delivery aliquot
Storage information
Avoid freeze / thaw cycle

Product protocols

For this product, it's our understanding that no specific protocols are required. You can visit:

Target data

Colipase is a cofactor of pancreatic lipase. It allows the lipase to anchor itself to the lipid-water interface. Without colipase the enzyme is washed off by bile salts, which have an inhibitory effect on the lipase.. Enterostatin has a biological activity as a satiety signal.
See full target information Colipase

Publications (1)

Recent publications for all applications. Explore the full list and refine your search

Scientific reports 13:5788 PubMed37031254

2023

Possible frequent multiple mitochondrial DNA copies in a single nucleoid in HeLa cells.

Applications

Unspecified application

Species

Unspecified reactive species

Vojtěch Pavluch,Tomáš Špaček,Hana Engstová,Andrea Dlasková,Petr Ježek
View all publications

Product promise

We are committed to supporting your work with high-quality reagents, and we're here for you every step of the way. In the unlikely event that one of our products does not perform as expected, you're protected by our Product Promise.
For full details, please see our Terms & Conditions

Please note: All products are 'FOR RESEARCH USE ONLY. NOT FOR USE IN DIAGNOSTIC OR THERAPEUTIC PROCEDURES'.

For licensing inquiries, please contact partnerships@abcam.com